Multisystem Langerhans cell histiocytosis in adults: the significance of cutaneous manifestations in early diagnosis
- Authors: Teplyuk N.P.1, Grabovskaya O.V.1, Tertychnyy A.S.1, Kiseleva O.Y.1, Ignatiev D.V.1, Djahaia E.Y.1
-
Affiliations:
- I.M. Sechenov First Moscow State Medical University (Sechenov University)
- Issue: Vol 28, No 1 (2025)
- Pages: 75-86
- Section: DERMATOLOGY
- Submitted: 24.10.2024
- Accepted: 01.02.2025
- Published: 06.05.2025
- URL: https://rjsvd.com/1560-9588/article/view/637444
- DOI: https://doi.org/10.17816/dv637444
- ID: 637444
Cite item
Abstract
Langerhans cell histiocytosis is a rare disease characterized by the proliferation of Langerhans cells in various organs and tissues, including the skin, bones, lungs, and pituitary gland. The precursor cell, as recent studies have shown, is the myeloid dendritic cell. The severity of the disease is mainly determined by the extent and nature of organ involvement, as well as the number of systems affected. Diagnosis of Langerhans cell histiocytosis requires a comprehensive approach (clinical evaluation, histological analysis, immunohistochemical studies, radiological methods and molecular genetic tests).
This article presents a clinical case of a 28-year-old female patient with multisystem Langerhans cell histiocytosis, whose nonspecific skin eruptions were misdiagnosed as seborrheic dermatitis for five years. An inadequate reaction to glucocorticosteroid treatment, along with the presence of comorbid conditions such as diabetes insipidus and severe bullous lung lesions, necessitated additional diagnostic investigations. The final diagnosis was established after immunohistochemical examination of skin and lung biopsies, which revealed the expression of CD68 and CD1a in infiltrating cells.
It is important to emphasize that skin manifestations are often the first symptom of a multisystem process. Early recognition of Langerhans cell histiocytosis and timely diagnosis can significantly affect the course of the disease and improve the patient's quality of life.
Full Text
Актуальность
Общие сведения
Гистиоцитоз из клеток Лангерганса (ГКЛ) ― крайне редкое заболевание, характеризуемое аномальной инфильтрацией различных органов и систем тканей клетками, фенотипически схожими с нормальными клетками Лангерганса (CD1a+/CD207+). Тяжесть заболевания в основном определяется степенью и характером поражения органов, а также количеством вовлечённых систем. Заболевание может затрагивать любые органы и системы, но чаще всего поражаются кости, кожа, лёгкие и гипофиз [1].
Первые упоминания о данном заболевании относятся к началу 1900-х годов, когда были описаны случаи быстро прогрессирующих и смертельных болезней у детей с поражением костей, кожи, печени и селезёнки. Позднее на основе схожей гистологической картины эти заболевания были объединены американским патологоанатомом Луисом Лихтенстайном (Louis Lichtenstein) под термином «гистиоцитоз Х», где «Х» обозначало неизвестную природу клеток [1, 2]. В 1970-х годах французский патолог Кристиан Незелоф (Christian Nezelof) установил сходство патологических клеток с внутриэпидермальными макрофагами ― клетками Лангерганса [3]. В настоящее время «гистиоцитоз из клеток Лангерганса» является универсальным термином, объединяющим все клинические проявления данной лангергансоклеточной патологии.
Гистиоцитоз из клеток Лангерганса ― очень редкое заболевание, которое может дебютировать в любом возрасте. Заболеваемость среди детей составляет 4–5 случаев на миллион в год, тогда как у взрослых болезнь встречается ещё реже ― 1–2 случая на 1 миллион [4, 5].
Этиология и патогенез
Этиология и патогенез ГКЛ остаются недостаточно изученными. Недавние исследования показали, что клеткой-предшественником является миелоидная дендритная клетка, а не дифференцированная эпидермальная клетка Лангерганса. Значительный вклад в понимание патогенеза заболевания внесло обнаружение мутаций в генах сигнального пути MAPK, среди которых наиболее часто встречаются мутации BRAF V600E и MAP [1, 2, 5]. Установлено также, что ключевую роль в развитии моносистемного лёгочного гистиоцитоза играет курение [6, 7].
Классификация
Гистиоцитоз из клеток Лангерганса относится к гистиоцитарным заболеваниям. Классификация гистиоцитарных заболеваний необычайно сложна, и её эволюция отражает как развитие медицинской науки, так и углубление понимания этих заболеваний. Первая классификация гистиоцитозов, предложенная Международным обществом гистиоцитологов в 1987 году, разделяла их на лангергансоклеточные и нелангергансоклеточные гистиоцитозы, основываясь на наличии или отсутствии специфических клеток ― клеток Лангерганса [8]. Современная классификация гистиоцитарных заболеваний учитывает не только морфологические и иммуногистохимические характеристики, но также фенотипические, молекулярные, генетические и клинические особенности. В 2016 году состоялся пересмотр классификации гистиоцитарным обществом, и теперь она включает пять групп:
- Группа L: лангергансоклеточный гистиоцитоз и болезнь Эрдгейма–Честера.
- Группа С: кожные и кожно-слизистые нелангергансоклеточные гистиоцитозы (включая ювенильную ксантогранулёму).
- Группа М: злокачественные гистиоцитозы.
- Группа R: болезнь Розаи–Дорфмана и различные некожные гистиоцитозы.
- Группа H: гемофагоцитарный лимфогистиоцитоз и синдром активации макрофагов [9].
Существует альтернативная классификация Всемирной организации здравоохранения 2016 года, в которой ГКЛ рассматривается в разделе «Опухоли из гистиоцитов и дендритных клеток». Данная классификация включает восемь ключевых нозологических форм [10].
Учитывая значительную вариабельность клинических проявлений, ГКЛ классифицируют по распространённости патологического процесса следующим образом:
- монофокальный (одиночный очаг поражения в любом органе);
- мультифокальный моносистемный (несколько очагов поражения в одной системе органов);
- мультисистемный (поражение более чем двух органов или систем);
- отдельно выделяют моносистемный лёгочный гистиоцитоз (изолированное поражение лёгких, чаще ассоциированное с курением) [11].
Диагностика
Диагностика ГКЛ представляет собой сложную задачу и требует комплексного подхода, включающего клиническую оценку, гистологический анализ, иммуногистохимические исследования, радиологические методы и молекулярно-генетические тесты. Основным критерием диагностики является обнаружение в биоптате клеток Лангерганса, экспрессирующих на своей поверхности CD1a, лангерин (CD207), CD68 и протеин S100 [11]. Лангерин (CD207) является компонентом гранул Бирбека, которые представляют собой характерные включения в цитоплазме клеток Лангерганса и могут быть идентифицированы с помощью электронной микроскопии, что является патогномоничным признаком ГКЛ [12]. Кроме того, в половине случаев выявляются соматические мутации в сигнальном пути MAP-киназы, наиболее частыми из которых являются мутации в генах BRAF V600E (50%) и MAP2K1 (25%) [10].
В связи с разнообразием клинических проявлений кожных поражений при ГКЛ диагностика заболевания представляет значительную сложность, и пациенты могут длительное время получать лечение по поводу других дерматозов.
Клиническая картина
Поражение кожи при ГКЛ является одним из самых заметных симптомов и по частоте встречаемости занимает второе место после поражения костей [13]. Как правило, поражение кожи при ГКЛ ассоциировано с мультисистемным процессом [14]. В ретроспективном анализе Z. Li и соавт. [15], охватывающем 918 случаев ГКЛ в Китае (от новорождённых до пациентов в возрасте 65 лет), у 510 (56%) были зафиксированы кожные поражения, причём в 106 (12%) случаях кожные высыпания были первоначальным проявлением заболевания.
Для ГКЛ характерны разнообразные и неспецифические кожные высыпания в виде мелких эритематозных или телесного цвета папул и пустул, которые могут быть чётко ограниченными или распространёнными, одиночными или множественными, что затрудняет правильную постановку диагноза. Клинически эти проявления могут напоминать себорейный дерматит или экзематозную сыпь, которая может сопровождаться петехиями или пурпурой, чешуйками и корками. Чаще всего процесс локализуется на коже лица, головы и верхней части туловища [16].
Клинические проявления ГКЛ других органов и систем неспецифичны и могут быть схожи с другими, более распространёнными заболеваниями. У 75% пациентов наблюдается поражение костей, причём могут быть затронуты любые кости организма, но чаще кости черепа, позвоночник, рёбра и кости нижних и верхних конечностей. Симптомы включают боль и отёк в области поражения. В 50% случаев страдает гормональная функция гипофиза, причём несахарный диабет часто выступает предиктором заболевания и может проявиться задолго до поражения других органов и систем. Интересно, что среди основных причин развития заболевания у пациентов с несахарным диабетом 10% приходится на ГКЛ.
Помимо недостатка антидиуретического гормона могут наблюдаться нарушения синтеза гормона роста, тиреотропина, гонадотропинов и кортикотропина. Даже при успешном лечении ГКЛ пациенты нуждаются в пожизненной заместительной гормональной терапии. Симптомы поражения гипофиза включают чрезмерную жажду и мочеиспускание, усталость, увеличение щитовидной железы, метаболический синдром, нарушение менструального цикла у женщин, снижение либидо и эректильную дисфункцию у мужчин.
Поражение органов дыхания наблюдается в 40–50% случаев, чаще всего в виде изолированного поражения, ассоциированного с курением, но может быть и частью мультисистемного процесса. Мутации в гене BRAF и других генах, связанных с развитием рака лёгких, также были обнаружены при моносистемном лёгочном ГКЛ, что поддерживает онкологическую теорию происхождения заболевания. В клинической картине поражения лёгких преобладают боль в грудной клетке, одышка, кашель, а на поздних стадиях возможно развитие спонтанных пневмотораксов.
Поражение печени встречается в 10–30% случаев и может проявляться двумя способами ― опухолевыми образованиями или увеличением печени и склерозирующим холангитом, приводящим к терминальной стадии цирроза. Частыми симптомами поражения печени являются боль в эпигастральной области, желтуха, тошнота и рвота. Более редкими считаются поражения спинного мозга, лимфоузлов, дёсен, мочеполовой системы1 [4, 17].
Описание случая
О пациенте
Пациентка М., 28 лет, поступила в Клинику кожных и венерических болезней имени В.А. Рахманова Первого Московского государственного медицинского университета имени И.М. Сеченова (далее Клиника кожных и венерических болезней им. Рахманова) с жалобами на высыпания на коже лица, волосистой части головы, туловища и верхних конечностей.
Анамнез заболевания. Считает себя больной в течение пяти лет, когда впервые отметила появление высыпаний на коже волосистой части головы, сопровождающихся зудом. Высыпания самостоятельно регрессировали, но впоследствии появлялись вновь. Пациентка наблюдалась в местном кожно-венерологическом диспансере с диагнозом себорейного дерматита и получала лечение топическими стероидами, которые давали кратковременный положительный эффект. В связи с обострением кожного процесса в апреле 2023 года пациентка находилась на стационарном лечении в Клинике кожных и венерических болезней им. Рахманова. Рассматривался диагноз дискератоза Дарье, однако при гистологическом исследовании он был исключён. В качестве рабочего диагноза предполагался атопический дерматит с вторичной пиодермией, по поводу чего пациентка получала антибактериальную, антигистаминную и иммуносупрессивную терапию глюкокортикоидами (преднизолон в дозе 40 мг/сут). В процессе лечения наблюдалось улучшение состояния кожного процесса при снижении суточной дозы препарата до 10 мг в течение двух месяцев, однако впоследствии кожный процесс вновь прогрессировал, и у пациентки развился выраженный медикаментозный синдром Иценко–Кушинга. С 2021 года помимо кожных проявлений пациентку стала беспокоить одышка при подъёме на 4–5-й этаж. Женщина дважды находилась на лечении в специализированных стационарах с диагнозом кистозно-буллёзной трансформации лёгких. В 2022 году у пациентки неоднократно возникал спонтанный пневмоторакс, в связи с чем она получала лечение в отделении торакальной хирургии: дренирование плевральной полости, частичную плеврэктомию, краевую резекцию VII, VIII и IX сегментов правого лёгкого и IV, V сегментов левого лёгкого с последующей аппликацией силиконовым клеем. Гистологические исследования оказались малоинформативными, состояние пациентки не улучшалось, однако точный диагноз установлен не был. Учитывая жалобы на постоянную жажду и полиурию, в ноябре 2022 года был диагностирован несахарный диабет, в связи с чем назначена терапия десмопрессином (рис. 1).
Рис. 1. График последовательности появления симптомов (кожные поражения были первым симптомом, появившимся в 2018 году, однако диагноз был установлен только в сентябре 2023 года). Из архива кафедры кожных и венерических болезней им. В.А. Рахманова, зав. Олисова О.Ю., 2025; публикуется впервые.
Fig. 1. Timeline of symptom onset in patient M. with a diagnosis of Langerhans cell histiocytosis. Skin involvement was the first symptom, appearing in 2018, but the diagnosis was only confirmed in September 2023. From the archive of the Department of Dermatology and Venereology named after V.A. Rakhmanov, head O.Yu. Olisova, 2025; published for the first time.
В октябре 2023 года в тяжёлом состоянии пациентка госпитализирована в Клинику кожных и венерических болезней им. Рахманова и переведена в отделение реанимации.
Результаты физикального, лабораторного и инструментального исследования
Общий статус. Состояние тяжёлое. Температура тела 36,6ºC. Сознание ясное, на вопросы отвечает правильно, критика сохранена, эмоционально лабильна. Лежит с приподнятым изголовьем. Ожирение по кушингоидному типу с отложением жира в области живота и туловища, при этом конечности тонкие. Лицо одутловатое, лунообразное.
Локальный статус. Кожный процесс хронического воспалительного характера. На коже лица, туловища, верхних и нижних конечностей наблюдаются множественные папулёзные и единичные пустулёзные элементы с плотно прилегающими серозными корками. Папулы размером 2–3 мм, розового цвета, округлых форм, полушаровидные, склонны к группировке. На коже груди, живота и конечностей видны множественные стрии длиной до 30 см, синюшно-розового цвета. В субмаммарной области справа на фоне эритемы визуализируются две эрозии диаметром 1 см и 4 см, слева ― две эрозии по 1 см (рис. 2). Ногтевые пластины изменены, с багрово-коричневыми вкраплениями.
Рис. 2. Множественные папулёзные и единичные пустулёзные элементы с плотно прилегающими серозными корками розового цвета, склонными к группировке. Множественные стрии длиной до 30 см синюшно-розового цвета. Фото из архива кафедры кожных и венерических болезней им. В.А. Рахманова, зав. Олисова О.Ю., 2025; публикуются впервые.
Fig. 2. Multiple papular and isolated pustular lesions with tightly adherent serous crusts, pink in color, prone to grouping. Numerous striae up to 30 cm in length, bluish-pink in color. Photo from the archive of the Department of Dermatology and Venereology named after V.A. Rakhmanov, head O.Yu. Olisova, 2025; published for the first time.
Дыхательная система. Частота дыхательных движений 28 в минуту, сатурация кислорода 87%. Дыхание жёсткое, ослабленное в базальных отделах лёгких. В области углов лопаток выслушиваются крепитации и умеренное количество незвонких влажных мелкопузырчатых хрипов.
Сердечно-сосудистая система. Тоны сердца приглушены, ритмичные. Акцент второго тона на лёгочной артерии, систолический шум на верхушке и в точке Боткина. Частота сердечных сокращений и пульс 98 ударов в минуту. Артериальное давление 135/95 мм рт.ст. По данным электрокардиографии выявлена синусовая тахикардия.
Лабораторные исследования. Общий анализ крови: лейкоциты 15,9×10⁹/л (4,0–10,0), нейтрофилы абс. 14,8×10⁹/л (2,0–5,5), лимфоциты абс. 0,4×10⁹/л (1,2–3,0). Биохимический анализ крови: С-реактивный белок 326 мг/л (норма до 5), аланинаминотрансфераза 92 Ед/л (0–32), аспартатаминотрансфераза 58 Ед/л (0–31), щелочная фосфатаза 204 Ед/л (30–120), гамма-глютамилтранспептидаза 452 Ед/л (0–38). Коагулограмма: фибриноген 8 г/л (1,8–4).
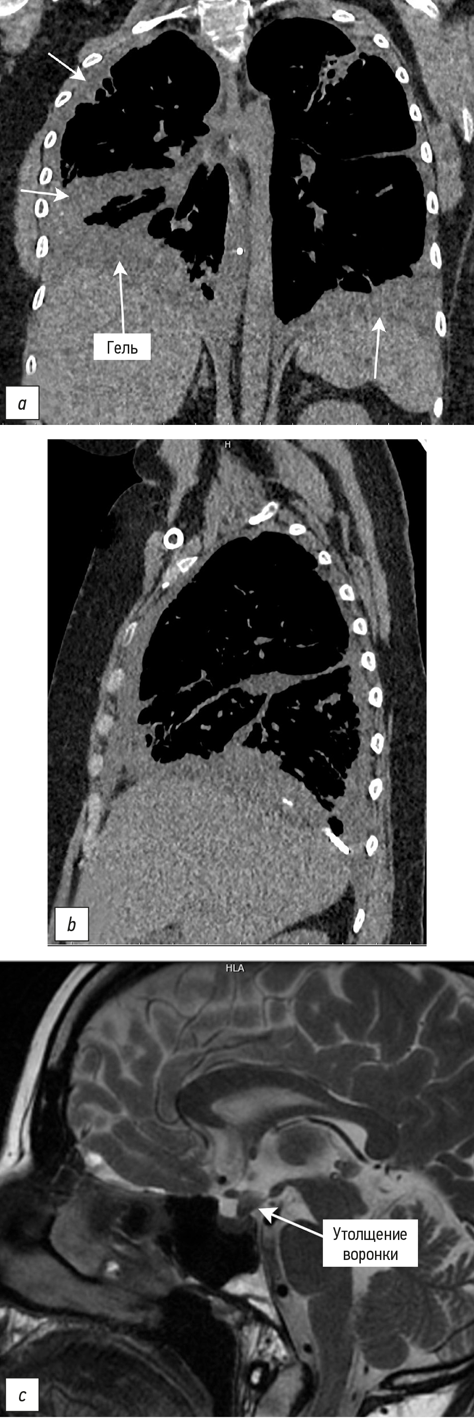
Инструментальная диагностика. Компьютерная томография лёгких (рис. 3): КТ-признаки кистозно-буллёзной трансформации лёгких, пневмофиброза и активного хронического бронхита; состояние после хирургических вмешательств, пневмоторакс отсутствует.
Рис. 3. Инструментальная диагностика: a, b ― компьютерная томография лёгких (КТ-признаки кистозно-буллёзной трансформации лёгких, аппликация силиконовым клеем на месте резекций лёгких); c ― магнитно-резонансная томография головного мозга (утолщение воронки гипофиза, являющееся характерным признаком при гистиоцитозе из клеток Лангерганса). Фото из архива кафедры кожных и венерических болезней им. В.А. Рахманова, зав. Олисова О.Ю., 2025; публикуются впервые.
Fig. 3. Instrumental diagnostics: a, b ― chest computed tomography (CT signs of cystic-bullous lung transformation, silicone glue application at the lung resection sites); c ― magnetic resonance imaging of the brain (pituitary involvement ― thickening of the pituitary stalk, a characteristic feature of Langerhans cell histiocytosis). Photo from the archive of the Department of Dermatology and Venereology named after V.A. Rakhmanov, head O.Yu. Olisova, 2025; published for the first time.
Магнитно-резонансная томография гипофиза с контрастированием (см. рис. 3): утолщение воронки гипофиза, отсутствие сигнала от задней доли, накопление контраста в шишковидной железе; мелкоочаговые изменения в головном мозге, активный очаг в области моста и продолговатого мозга; признаки гистиоцитоза (утолщение мамиллярных тел); двусторонний средний отит; патологический компонент в правой верхнечелюстной пазухе.
Эхокардиография: тахикардия; увеличение правого желудочка; двусторонний гидроторакс; фракция выброса 65%.
Низкодозная компьютерная томография костей скелета: очагово-сливные деструктивные изменения в нижней челюсти справа, не противоречащие наблюдаемым при гистиоцитозе; хронические воспалительные специфические изменения правой верхнечелюстной пазухи; диффузный остеопороз; дегенеративно-дистрофические изменения крестцово-подвздошных сочленений (больше слева); постинфарктные изменения в костно-мозговых каналах бедренных и большеберцовых костей.
Магнитно-резонансная томография тазобедренных суставов и бедренных костей: выявленные изменения в костях зоны сканирования, вероятно, носят хронический пролиферативный характер и соответствуют наблюдаемым при ГКЛ.
Спирометрия: нарушение вентиляционной функции лёгких тяжёлой степени; форсированная жизненная ёмкость лёгких 1,78 (49% должного); объём форсированного выдоха за первую секунду 1,34 (43% должного).
Гистологическое исследование биоптатов кожи (рис. 4): кожа в зоне поражения с массивными наложениями некротических масс и лейкоцитов (струп), под которыми обнаруживается регенерирующий эпидермис с лимфогистиоцитарной инфильтрацией. Клетки инфильтрата имеют неровные очертания ядер с бороздками, без чётких ядрышек и чётких границ цитоплазмы, характерные для клеток Лангерганса.
Рис. 4. Гистологическое исследование. Кожа: a ― кожа с массивными наложениями некротических масс и лейкоцитов (струп), под которыми обнаруживается регенерирующий эпидермис с лимфогистиоцитарной инфильтрацией (окраска гематоксилином и эозином, ×150); b ― иммуногистохимия, позитивное окрашивание клеток в реакции с CD1a (иммуногистохимическая реакция, ×250); с ― иммуногистохимия, позитивное окрашивание клеток в реакции с Langerin (CD207) (иммуногистохимическая реакция, ×250). Лёгкие: d ― просветы альвеол заполнены скоплениями клеток с гистиоцитарной морфологией (окраска гематоксилином и эозином, ×200); e ― иммуногистохимия, клетки в просвете альвеол с диффузным позитивным окрашиванием в реакции с CD1a (иммуногистохимическая реакция, ×200). Фото из архива кафедры кожных и венерических болезней им. В.А. Рахманова, зав. Олисова О.Ю., 2025; публикуются впервые.
Fig. 4. Histological examination. Skin: a ― skin with extensive necrotic debris and leukocyte crusts, beneath which regenerating epidermis with lymphohistiocytic infiltration is observed (hematoxylin and eosin staining, ×150); b ― immunohistochemistry, positive staining of cells with CD1a (immunohistochemical reaction, ×250); c ― immunohistochemistry, positive staining of cells with Langerin (CD207) (immunohistochemical reaction, ×250). Lungs: d ― alveolar spaces filled with clusters of cells displaying histiocytic morphology (hematoxylin and eosin staining, ×150); e ― immunohistochemistry, cells in the alveolar spaces showing diffuse positive staining with CD1a (immunohistochemical reaction, ×200). Photo from the archive of the Department of Dermatology and Venereology named after V.A. Rakhmanov, head O.Yu. Olisova, 2025; published for the first time.
Иммуногистохимическое исследование препаратов кожи и лёгкого (см. рис. 4): в ткани кожи выявлены CD68 в клетках инфильтрата (+++), CD1а в клетках инфильтрата (+++); в ткани лёгкого обнаружены позитивно окрашенные клетки, расположенные преимущественно в просвете альвеол и просвете отдельных бронхов.
Определение мутации V600Е гена BRAF: клетки с мутацией V600E гена BRAF в препарате не обнаружены.
Осмотр врачей-специалистов. Консультация невролога: энцефалопатия сочетанного генеза. Консультация эндокринолога: несахарный диабет, медикаментозная компенсация; синдром Иценко–Кушинга, ятрогенный; вторичный гипокортицизм. Консультация психиатра: наблюдается по поводу аффективных расстройств. Консультация пульмонолога: учитывая тяжесть буллёзно-кистозной трансформации лёгких, возможна консультация трансплантологов.
Консилиум в составе пульмонологов, реаниматологов, гематологов, эндокринологов, дерматовенерологов: на основании анамнеза, лабораторных и инструментальных обследований, иммуногистохимического исследования биоптата кожи и лёгких поставлен диагноз «Гистиоцитоз из клеток Лангерганса».
Окончательный диагноз
Мультифокальный и мультисистемный (диссеминированный) гистиоцитоз из клеток Лангерганса.
Исходы и прогноз
19.10.2023 с целью дообследования и лечения пациентка переведена в отдел орфанных заболеваний Национального медицинского исследовательского центра гематологии. В настоящее время пациентка находится под наблюдением врачей гематолога и пульмонолога, получает биологическую терапию: траметиниб в дозе 1 мг в сутки; десмопрессин по 120 мкг 2 раза в сутки; урсодезоксихлевую кислоту по 500 мг в сутки; по рекомендации психиатра ― венлафаксин в дозе 37,5 мг 2 раза в сутки.
Благодаря присоединению к терапии ингибитора митогенактивируемых протеинкиназ (траметиниб) достигнут положительный эффект в виде регресса папулопустулёзых высыпаний на волосистой части головы, лице, верхней половине туловища, а также эпителизации эрозивных субмаммарных элементов кожи, снижения выраженности дыхательной недостаточности, частичного регресса очагового поражения головного мозга (рис. 5).
Рис. 5. Клиническая картина на момент осмотра в октябре 2024 года: значительный регресс высыпаний, практически полное исчезновение папулёзно-пустулёзных элементов. Фото из архива кафедры кожных и венерических болезней им. В.А. Рахманова, зав. Олисова О.Ю., 2025; публикуются впервые.
Fig. 5. Clinical presentation at the time of examination in October 2024: significant regression of lesions, with almost complete disappearance of papular-pustular elements. Photo from the archive of the Department of Dermatology and Venereology named after V.A. Rakhmanov, head O.Yu. Olisova, 2025; published for the first time.
Обсуждение
Гистиоцитоз из клеток Лангерганса ― редкое заболевание, характеризуемое пролиферацией клеток Лангерганса в различных органах и тканях, включая кожу, кости, лёгкие и гипофиз. Не исключено, что впервые больной может обратиться к дерматологу: кожные поражения, имитирующие другие, более распространённые дерматологические заболевания, такие как себорейный дерматит, экзема, атопический дерматит, фолликулярный дискератоз Дарье и другие дерматозы, нередко приводят к назначению неэффективной терапии и задержке установления правильного диагноза. Лечение ГКЛ зависит от степени системного поражения и тяжести заболевания и включает как иммуносупрессивную терапию, так и таргетные препараты, в частности ингибиторы МЕК1/2-киназ.
В литературе описаны случаи, когда ГКЛ ошибочно диагностирован как «другие заболевания», что приводило к терапевтической резистентности. Например, у одной пациентки с папулёзными высыпаниями на лице диагноз «розацеа» оставался на протяжении двух лет, несмотря на отсутствие эффекта от лечения [18]. В другом случае ГКЛ был ошибочно принят за пузырчатку Гужеро–Хейли–Хейли, и пациент страдал от обширных буллёзных высыпаний на коже в течение трёх месяцев, пока не был установлен правильный диагноз [19].
Как и в описанных примерах, наш случай демонстрирует трудности диагностики кожных проявлений ГКЛ, что указывает на важность тщательного диагностического поиска. Пациентка, представленная в данной работе, изначально лечилась с диагнозом себорейного дерматита, что привело к кратковременному улучшению, но в конечном итоге заболевание прогрессировало и сопровождалось развитием системных проявлений. Неадекватная реакция на системные глюкокортикоиды, включая быстро (за 2 месяца) развившийся синдром Иценко–Кушинга на малых дозах препарата (преднизолон 10 мг) и появление распространённых стрий, заставили сомневаться в поставленном диагнозе. Тщательный анализ клинической картины, сопутствующих заболеваний и проведение иммуногистохимических исследований помогли установить правильный диагноз: «Мультисистемный гистиоцитоз из клеток Лангерганса».
Таким образом, данный случай подчёркивает важность ранней диагностики при кожных проявлениях ГКЛ, особенно в сочетании с системными симптомами. Ранняя постановка диагноза и своевременное назначение адекватной терапии, включая таргетные препараты, могут значительно улучшить прогноз течения заболевания.
Заключение
Гистиоцитоз из клеток Лангерганса ― редкое заболевание, проявляющееся полиморфными кожными высыпаниями, которые могут напоминать другие дерматологические состояния, что значительно затрудняет раннюю диагностику. Тщательный диагностический поиск, включающий гистологические и иммуногистохимические исследования, является ключевым для правильной постановки диагноза и предотвращения ошибочного лечения. Наличие таких системных проявлений, как несахарный диабет вследствие поражения гипофиза и изменения в лёгких, в сочетании с описываемыми кожными высыпаниями могут служить важным диагностическим признаком и наводить на мысль о гистиоцитозе. Представленный случай демонстрирует, что раннее распознавание гистиоцитоза из клеток Лангерганса и своевременная диагностика могут значительно повлиять на исход заболевания и улучшить качество жизни пациента.
Дополнительная информация
Вклад авторов. О.В. Грабовская, Н.П. Теплюк ― концепция статьи, внесение в рукопись существенной (важной) правки с целью повышения научной ценности работы, подготовка и написание статьи; А.С. Тертычный ― проведение гистологического исследования кожи и лёгких, подготовка и написание статьи; О.Ю. Киселева ― обследование и лечение пациентки, написание статьи; Д.В. Игнатьев ― лечение пациента, подготовка и написание статьи; Е.Ю. Джахая ― сбор и обработка материала, анализ литературных данных, подготовка и написание статьи. Все авторы одобрили рукопись (версию для публикации), а также согласились нести ответственность за все аспекты работы, гарантируя надлежащее рассмотрение и решение вопросов, связанных с точностью и добросовестностью любой её части.
Согласие на публикацию. Авторы получили письменное информированное добровольное согласие пациента на публикацию персональных данных, в том числе фотографий (с закрытием лица), в научном журнале, включая его электронную версию (дата подписания 20.10.2024). Объём публикуемых данных с пациентом согласован.
Источники финансирования. Отсутствуют.
Раскрытие интересов. Авторы заявляют об отсутствии отношений, деятельности и интересов за последние три года, связанных с третьими лицами (коммерческими и некоммерческими), интересы которых могут быть затронуты содержанием статьи.
Оригинальность. При проведении исследования и создании настоящей работы авторы не использовали ранее опубликованные сведения (текст, иллюстрации, данные).
Доступ к данным. Доступ к данным, полученным в настоящем исследовании, закрыт в связи с конфиденциальностью информации, содержащей персональные данные пациента.
Генеративный искусственный интеллект. При создании настоящей статьи технологии генеративного искусственного интеллекта не использовали.
Рассмотрение и рецензирование. Настоящая работа подана в журнал в инициативном порядке и рассмотрена по обычной процедуре. В рецензировании участвовали два внешних рецензента и научный редактор издания.
Additional information
Authors' contributions. O.V. Grabovskaya, N.P. Teplyuk ― article concept, introducing significant (important) edits to the manuscript in order to enhance the scientific value of the work, preparing and writing the article; A.S. Tertychny ― conducting histological examination of the skin and lungs, preparing and writing the article; O.Yu. Kiseleva ― examination and treatment of the patient, writing the article; D.V. Ignatiev ― treatment of the patient, preparing and writing the article; E.Yu. Dzhakhaya ― collection and processing of material, analysis of literary data, preparing and writing the article. Thereby, all authors provided approval of the version to be published and agree to be accountable for all aspects of the work in ensuring that questions related to the accuracy or integrity of any part of the work are appropriately investigated and resolved.
Consent for publication. The patient gave her written voluntary informed consent for the publication of the clinical case and photographic materials in this journal (date of signing 20.10.2024). The scope of the published data has been agreed with the patient.
Funding sources. No funding.
Disclosure of interests. The authors declare that they have no known competing financial interests or personal relationships that could have appeared to influence the work reported in this paper.
Statement of originality. In conducting the research and creating this work, the authors did not use previously published information (text, illustrations, data).
Data availability statement. Access to the data obtained in this study is restricted due to the confidentiality of information containing the patient's personal data.
Generative AI. Generative AI technologies were not used for this article creation.
Provenance and peer-review. This paper was submitted to the journal on an unsolicited basis and reviewed according to the usual procedure. Two external reviewers and the scientific editor of the publication participated in the review.
1 Histiocytosis Association [Internet]. Langerhans cell histiocytosis in adults. Histiocytosis Association, Inc.; 2024. Режим доступа: https://histio.org/langerhans-cell-histiocytosis-in-adults/ Дата обращения: 15.01.2025.
Histiocytosis Association [Internet]. Langerhans cell histiocytosis in adults. Histiocytosis Association, Inc.; 2024 [cited 2025 Jan 15]. Available from: https://histio.org/langerhans-cell-histiocytosis-in-adults/
About the authors
Natalia P. Teplyuk
I.M. Sechenov First Moscow State Medical University (Sechenov University)
Email: teplyukn@gmail.com
ORCID iD: 0000-0002-5800-4800
SPIN-code: 8013-3256
MD, Dr. Sci. (Medicine), Professor
Russian Federation, MoscowOlga V. Grabovskaya
I.M. Sechenov First Moscow State Medical University (Sechenov University)
Email: olgadoctor2013@yandex.ru
ORCID iD: 0000-0002-5259-7481
SPIN-code: 1843-1090
MD, Dr. Sci. (Medicine), Professor
Russian Federation, MoscowAlexander S. Tertychnyy
I.M. Sechenov First Moscow State Medical University (Sechenov University)
Email: atertychnyy@gmail.com
ORCID iD: 0000-0001-5635-6100
SPIN-code: 5150-0535
MD, Dr. Sci. (Medicine), Professor
Russian Federation, MoscowOlga Yu. Kiseleva
I.M. Sechenov First Moscow State Medical University (Sechenov University)
Email: oyukisa@mail.ru
ORCID iD: 0000-0001-8630-3616
Russian Federation, Moscow
Dmitry V. Ignatiev
I.M. Sechenov First Moscow State Medical University (Sechenov University)
Email: dmitrywork@list.ru
ORCID iD: 0000-0001-8751-3965
SPIN-code: 6743-7960
Russian Federation, Moscow
Elizaveta Yu. Djahaia
I.M. Sechenov First Moscow State Medical University (Sechenov University)
Author for correspondence.
Email: elizaveta_djahaia@mail.ru
ORCID iD: 0009-0002-3741-6619
Russian Federation, Moscow
References
- Allen CE, Merad M, McClain KL. Langerhans-cell histiocytosis. N Engl J Med. 2018;379(9):856–868. doi: 10.1056/NEJMra1607548
- Hoffman R, Benz EJ, Silberstein LE, et al. Hematology: Basic principles and practice. 8th ed. Philadelphia, Elsevier; 2023. 2704 p.
- Nezelof C, Basset F, Rousseau MF. Histiocytosis X histogenetic arguments for a Langerhans cell origin. Biomedicine. 1973;18(5):365–371.
- Krooks J, Minkov M, Weatherall AG. Langerhans cell histiocytosis in children: History, classification, pathobiology, clinical manifestations, and prognosis. J Am Acad Dermatol. 2018;78(6):1035–1044. EDN: YGVDRB doi: 10.1016/j.jaad.2017.05.059
- Wang BB, Ye JR, Li YL, et al. Multisystem involvement Langerhans cell histiocytosis in an adult: A case report. World J Clin Cases. 2020;8(20):4966–4974. EDN: EJVLCI doi: 10.12998/wjcc.v8.i20.4966
- Samareh Fekri M, Salajegheh F, Nakhaie M, Rezaei Zadeh Rukerd M. Spontaneous pneumothorax with isolated pulmonary Langerhans cell histiocytosis in an adult case: A common manifestation of rare disease. Clin Case Rep. 2023;11(6):e7567. EDN: IXPPBQ doi: 10.1002/ccr3.7567
- Miao H, Zhao A, Duan M, et al. Clinical presentation and prognostic analysis of adult patients with Langerhans cell histiocytosis with pulmonary involvement. BMC Cancer. 2020;20(1):911. EDN: OVTKND doi: 10.1186/s12885-020-07421-z
- Voitkovskaya KS, Chernyaev AL. Langerhans’ cell histiocytosis. Pulmonologiya. 2013;(1):90–94. (In Russ.) EDN: QCKIIF doi: 10.18093/0869-0189-2013-0-1-90-94
- Emile JF, Abla O, Fraitag S, et al. Revised classification of histiocytoses and neoplasms of the macrophage-dendritic cell lineages. Blood. 2016;127(22):2672–2681. doi: 10.1182/blood-2016-01-690636
- Campo E, Harris NL, Pileri SA, et al. WHO Classification of tumours of haematopoietic and lymphoid tissues. 4th ed. Lyon, France: International Agency for Research on Cancer; 2017. 585 p.
- Goyal G, Tazi A, Go RS, et al. International expert consensus recommendations for the diagnosis and treatment of Langerhans cell histiocytosis in adults. Blood. 2022;139(17):2601–2614. EDN: FCTIMJ doi: 10.1182/blood.2021014343
- Ungari M, Ferrero G, Varotti E, et al. Langerhans cell histiocytosis of an intra-mammary lymph node in an 18-year-old woman. Pathologica. 2020;112(1):50–55. EDN: BIUFTU doi: 10.32074/1591-951x-27-19
- Haupt R, Minkov M, Astigarraga I, et al. Langerhans cell histiocytosis (LCH): Guidelines for diagnosis, clinical work-up, and treatment for patients till the age of 18 years. Pediatr Blood Cancer. 2013;60(2):175–184. doi: 10.1002/pbc.24367
- Ehrhardt MJ, Humphrey SR, Kelly ME, et al. The natural history of skin-limited Langerhans cell histiocytosis: A single-institution experience. J Pediatr Hematol Oncol. 2014;36(8):613–616. doi: 10.1097/MPH.0000000000000248
- Li Z, Yanqiu L, Yan W, et al. Two case report studies of Langerhans cell histiocytosis with an analysis of 918 patients of Langerhans cell histiocytosis in literatures published in China. Int J Dermatol. 2010;49(10):1169–1174. doi: 10.1111/j.1365-4632.2009.04360.x
- Belysheva TS, Valiev TT, Murashkin NN. Dermatologic masks of langerhans cell histiocytosis. Case report. Consilium Medicum. 2022;24(8):541–546. EDN: HKTMZD doi: 10.26442/20751753.2022.8.201817
- Yavropoulou MP, Tsoli M, Kaltsas G. Neuroendocrine manifestations of Langerhans cell histiocytosis. Handb Clin Neurol. 2021;181:127–135. EDN: CPQMLO doi: 10.1016/B978-0-12-820683-6.00009-9
- Błażewicz I, Biernat W, Kowalczyk A, et al. Adult onset of multisystem Langerhans cell histiocytosis with skin and lymph node involvement. Postepy Dermatol Alergol. 2015;32(3):225–228. doi: 10.5114/pdia.2014.40970
- Lau LD, Vu M, Nirenburg A, Scardamaglia L. Adult multisystem Langerhans cell histiocytosis with cutaneous involvement manifesting as extensive flexural erosions. BMJ Case Rep. 2023;16(8):e254205. EDN: ZMDGDB doi: 10.1136/bcr-2022-254205
Supplementary files








