Description of a clinical case of bullous scleroderma in a somatically impaired patient
- Authors: Snarskaya E.S.1, Teplyuk N.P.1, Shnakhova L.M.1, Myshlyanova D.A.1, Semiklet J.M.1
- 
							Affiliations: 
							- I.M. Sechenov First Moscow State Medical University (Sechenov University)
 
- Issue: Vol 27, No 4 (2024)
- Pages: 435-447
- Section: DERMATOLOGY
- Submitted: 02.07.2024
- Accepted: 31.07.2024
- Published: 23.09.2024
- URL: https://rjsvd.com/1560-9588/article/view/634008
- DOI: https://doi.org/10.17816/dv634008
- ID: 634008
Cite item
Abstract
Bullous scleroderma is a rare variant of localized scleroderma characterized by the formation of subepidermal tense blisters. At the moment, the etiology and pathogenesis of dermatosis is not fully understood, but a number of authors consider the pathology of the endocrine system as a trigger for the development of localized and systemic scleroderma.
Untimely or erroneous diagnosis of bullous scleroderma leads to the risk of developing a systemic process, irreversible cosmetic defects and even disability.
Treatment of bullous scleroderma should be complex and multicourse with the inclusion of systemic glucocorticoids, antibacterial and cytostatic drugs, agents that improve microcirculation, as well as topical glucocorticoids of the 3-4th class of activity, regenerating agents. Physiotherapeutic methods of treatment such as PUVA and UVA therapy are widely used; there are reports on the successful use of a combination of immunosuppressive mycophenolate mofetil and extracorporeal photopheresis, as well as intravenous infusions of N-acetylcysteine. In addition to traditional drug and physiotherapy therapies, the use of biological therapies is currently being considered.
The article presents a rare case of scleroderma bullosa on the background of pronounced chronic endocrine pathology. The interest of this clinical case lies not only in the rare form of the disease and the progressive nature of the course of dermatosis, but also in the probable association of dermatosis with the patient's endocrine gland diseases in the form of panhypopituitarism due to adenohypophysis macroadenoma with the development of secondary hypothyroidism and adrenal insufficiency. In our observation, the steady negative dynamics of the skin process — from localised plaque scleroderma with subsequent transformation into the bullous form, and further into a probable systemic process — drew attention.
Taking into account the severity of the disease course, the presence of concomitant chronic endocrinopathy, as well as positive specific serological reactions for the systemic form of scleroderma, in the presented clinical case the patient needs an interdisciplinary approach and constant dispensary observation.
Keywords
Full Text
BACKGROUND
Bullous scleroderma is a rare variant of localized scleroderma characterized by the appearance of subepidermal tense blisters within plaques of scleroderma. When these blisters rupture, they reveal an extensive eroded surface [1–3]. This form of dermatosis was first described by P.A. Morrow in 1896 [4].
Cases of bullous scleroderma are extremely rare: as of 2012, not more than 100 cases were reported in the literature worldwide. This form accounts for 1.4 to 7.5% of all cases of localized scleroderma [5, 6].
The etiology and pathogenesis of bullous scleroderma remain debatable [7]. A number of authors have identified obstruction of cutaneous lymphatic vessels in the context of the sclerotic process in the dermis as a key factor in blister formation [8], which explains the most frequent localization of eruptions on the skin of the lower limbs [9]. However, this theory does not explain the formation of bullous elements in the absence of lymphatic vessel obstruction and with subsequent lymphangiectasia on histopathological examination of a skin biopsy [7, 10]. However, as early as in 2002, Rencic et al. [6] identified four main pathogenetic mechanisms for the formation of bullous elements in bullous scleroderma: subepidermal edema, secondary lymphangiectasia associated with dermal fibrosis, obstruction of cutaneous lymphatic vessels, and immune-mediated damage to the dermoepidermal junction. Fernandez-Flores et al. [7] described three cases of bullous scleroderma, highlighting mechanical trauma as the leading trigger for the onset of the dermatosis. Also, a number of authors have observed an association between certain autoimmune diseases and endocrine pathology [11, 12]. Thus, in a 2024 study, not only was a link established between thyroid diseases inducing hypothyroidism and scleroderma, but an inverse correlation was also found between thyroid hormone levels and the activity of the autoimmune process [13]. Wu et al. [14] in their systematic review described an increase in prolactin produced by the pituitary in patients with scleroderma compared to the control group. In 2008, a clinical case of scleroderma with erosive-ulcerative skin lesions associated with panhypopituitarism due to probable impaired blood supply to the pituitary vessels was described for the first time in a 53-year-old female patient [15]. Isolated cases of bullous scleroderma in the setting of graft-versus-host disease [16, 17], radiotherapy [18], medications, and other autoimmune conditions have also been described [19–22].
The clinical presentation of bullous scleroderma is a typical pinkish-brown or greyish-whitish plaque ranging from 5 to 20 cm in diameter, surrounded by a rim of erythema, on the surface of which blisters with clear, less often serous or hemorrhagic contents, are located [3, 6, 7, 23]. When the blisters rupture, an extensive eroded surface with poorly defined borders around the ruptured bullous element is revealed [24]. The scarring process is extremely complex, often with secondary infection, subsequent atrophy, and persistent skin hyperpigmentation [3]. Typical subjective sensations are pain, a feeling of tightness, and less often itching in the area of the eruptions [3].
The histological pattern of bullous scleroderma consists in thickening of collagen fiber bundles and hyalinization, dilation of the cutaneous lymphatic vessels, and the formation of subepidermal blisters at the level of the lamina densa. In the epidermis, atrophy is observed, with possible vacuolization of basal keratinocytes and infiltration of the dermoepidermal junction by lymphocytes and plasma cells [1, 25].
Laboratory diagnosis of bullous scleroderma includes complete blood count, clinical chemistry test, and clinical urinalysis [26, 27]. Additional patient examination methods involve determining the levels of antinuclear factor, anti-topoisomerase I antibodies, anticentromere antibodies, and anti-RNA polymerase III antibodies to exclude systemic involvement [28–30], as well as testing for anti-Borrelia antibodies [31, 32]. Instrumental diagnostic methods include computed tomography and magnetic resonance imaging to exclude deeper tissue involvement [33, 34], dermatoscopy as a method for assessing the degree of process activity [35], and pathological examination of biopsy material [36].
The diagnosis of bullous scleroderma is made based on the patient’s history, clinical presentation of the disease, and histological examination findings. Patients are recommended to undergo a thorough examination and consult a rheumatologist to rule out systemic scleroderma and other connective tissue diseases. When cosmetic defects form, a consultation with a plastic surgeon is conducted to determine the possibility of surgical correction [30].
During diagnostics, bullous scleroderma should be differentiated from the bullous form of lupus erythematosus, pemphigus vulgaris, and bullous pemphigoid of Lever (Table 1) [1, 3, 7, 25, 37–39].
Table 1. Differential diagnosis of scleroderma bullosa
| Diagnosis | Scleroderma bullosa | Lupus erythematosus bullosa | Vulgar vesicles | Lever’s bullous pemphigoid | 
| Age, years | 40–50 | Young people | 40–60 | ≥70–80 | 
| Gender | More common in women | More common in women | Similar incidence | Similar incidence | 
| Localisation of rashes | More often affecting the lower limbs, but can be generalized | Generalized | Mucous membranes, generalized distribution on the skin | More commonly generalized | 
| Clinical picture | Ivory-colored plaques, on the surface of which are blisters filled with clear or hemorrhagic fluid. When these blisters rupture, an eroded surface is revealed with indistinct borders at the periphery of the ruptured bulla | Tense vesiculobullous lesions on normal or erythematous skin, tending to group. Erosions that form upon blister rupture leave prolonged depigmentation after epithelialization | On mucous membranes: mild solitary blisters on apparently unchanged mucous membranes, rapidly transforming into erosions. On the skin: blisters on unchanged skin with serous contents | Tense blisters in the setting of edematous erythema with serous or serous-hemorrhagic content. After the blisters rupture, erosions rapidly epithelialize, forming yellow-brown crusts | 
| Subjective symptoms | Tenderness and a feeling of tightness | Often pruritus | Burning, tenderness | Pruritus, burning | 
| Pathohistology | In the dermis: thickening of collagen fibers, hyalinization, and dilation of lymphatic vessels at the level of the lamina densa. In the epidermis: atrophy and vacuolization of basal cells | In the dermis: neutrophilic microabscesses in dermal papillae, basophilic degeneration of collagen, mucinosis, perivascular infiltrates. In the epidermis: vacuolization of basal cells | Intraepidermal blisters, basal cells tightly attached to the basement membrane (“tombstone appearance”). Acantholytic cells may be present in the blister cavity | In the dermis: inflammatory infiltrate consisting of eosinophilic and neutrophilic leukocytes, subepidermal blister | 
| Specific studies | Antinuclear factor (HEp-2), anti-topoisomerase I antibodies (anti-Scl 70), anticentromere antibodies, anti-RNA polymerase III antibodies, and antibodies to Borrelia burgdorferi | Antinuclear antibodies, anti-extractable nuclear antigens antibodies, anti-native DNA antibodies, anti-cytoplasmic antigens antibodies (SS-A, SS-B), antiphospholipid antibodies, anti-cardiolipin antibodies, anti-nucleosome antibodies, lupus anticoagulant, complement component testing (C3, C4), anti- collagen type VII antibodies | Circulating anti-desmoglein 3 and anti-desmoglein 1 antibodies (ELISA), anti-130 kDa and anti-160 kDa antibodies (immunoblot), “fish-scale” antibody deposition around keratinocytes in the spinous layer of the epidermis (direct IF) | Circulating antibodies (indirect IF), anti-BP180 and BP230 antibodies (ELISA), anti-180 kDa and anti-230 kDa antibodies (immunoblot), antibody deposition along the lamina lucida (direct IF) | 
Note. ИФА (ELISA) ― enzyme-linked immunosorbent assay; РИФ ― immunofluorescence reaction.
Treatment of the bullous form of scleroderma should be comprehensive and involve multiple courses, including systemic glucocorticoids, antibacterial and cytostatic agents, medications that improve microcirculation, as well as topical glucocorticoids of potency classes III–IV and regenerative agents [6, 40, 41]. Non-pharmacological treatment methods are widely used, such as PUVA (psoralen + ultraviolet A) and UVA therapy [6, 42]. In 2008, Schlaak et al. [43] reported successful use of a combination of the immunosuppressive drug mycophenolate mofetil at a dose of 2 g/day and extracorporeal photopheresis in a patient with extensive bullous and erosive-ulcerative skin lesions. Successful treatment of a skin ulcerative defect in a patient with bullous scleroderma using intravenous infusions of N-acetylcysteine at a dose of 15 mg/kg per hour over 5 hours daily for 14 days has been described [44]. In addition to conventional pharmacological and non-pharmacological methods, the use of biologics is currently being considered [45].
CASE DESCRIPTION
Patient information
Patient T., a 48-year-old woman, presented with complaints of extensive eruptions located on the skin of the face, trunk, upper and lower extremities, accompanied by tenderness, a feeling of tightness, and pruritus.
History. The patient considered herself unwell from March 2019, when, following an injection of an ibandronic acid product, initial eruptions appeared on the abdominal skin accompanied by pruritus. Upon consulting a dermatologist in her locality, a diagnosis of allergic dermatitis was made, and she was prescribed dexamethasone at a dose of 4 mg twice intramuscularly, antihistamines, and topical glucocorticoids. On therapy, a slight positive response was noted, as evidence by a reduced erythema intensity of the eruptions. However, by October–November 2019, the patient observed a spread of eruptions in the form of bluish-burgundy patches on the trunk and both upper and lower limbs, and reported a sensation of tightness in the affected areas.
In December 2019, upon a follow-up visit to the dermatologist, a clinical diagnosis of scleroderma was first established, and a consultation with a rheumatologist was recommended. Following laboratory investigations for antinuclear antibodies (HEp-2, titer: 1:640 sp), a systemic pathological process was excluded, and active topical therapy with glucocorticoids and calcineurin inhibitors was advised.
Throughout 2020, the dermatitis continued to progress steadily amid the unfavorable epidemiological situation (COVID-19 pandemic). The patient did not receive vaccination and contracted COVID-19, without complications.
In November–December 2021, the patient noted the appearance of bullae on the existing lesions, which ruptured when damaged by clothing, resulting in moist erosions. She self-administered antihistamines, gently applied Fucorcin topically to the eroded areas, and used Solcoseryl gel.
In March 2022, due to the extent, progression, and severity of the skin condition, she was hospitalized at the V.A. Rakhmanov Clinic of Dermatology and Venereology, where a diagnosis of “localized scleroderma, bullous form” was established. Systemic glucocorticoid therapy with prednisolone at 40 mg/day was initiated, followed by dose tapering with appropriate corrective therapy, as well as antibacterial therapy. During therapy, a marked positive response was observed, including regression of bullous eruptions and epithelialization of erosions. No evidence of systemic involvement was detected upon further evaluation.
Since December 2022, the patient has experienced another exacerbation of the dermatitis, which occurred following mechanical trauma to the temporal region of the head. Subsequently, she noted an increase in the lesion in the temporal area to 3 cm in diameter, as well as the appearance of new lesions and enlargement of existing lesions on the trunk and limbs.
Comorbidities: pituitary macroadenoma for which non-radical adenectomy was conducted in 2011; panhypopituitarism with secondary hypothyroidism and adrenal insufficiency; secondary hypogonadism; amenorrhea; osteoporosis.
Allergic history: Non-contributory.
Physical, laboratory, and instrumental findings
Status localis: The skin involvement is extensive and of a chronic inflammatory nature, presenting multiple lesions localized on the temporal regions, neck, abdominal skin, lower back, and thighs.
Fig. 1. Bullous scleroderma: foci on the skin of the left temporal region.
Eruptions on the skin of the left temporal region are represented by pink erosions with rounded contours, surrounded by yellow-brown crusts (Figure 1). The eruptions on the abdominal skin extend to the skin of the mammary glands and present as pink-red and greyish-white extensive areas with rounded shapes and blurred borders, measuring up to 15–20 cm in diameter. The lesion surface displays isolated bullous elements with flaccid upper layer, containing clear and serous-hemorrhagic fluid, alternating with reddish erosive areas ranging from 1 to 10 cm in diameter, the majority of which are covered with large dark brown crusts (Figure 2).
Fig. 2. Multiple foci on the skin of the abdomen and mammary glands (general view).
Fig. 3. Multiple foci on the skin of the left lateral surface of the trunk.
On the skin of the lateral surfaces of the thighs and partially on the buttocks and sacral region, eruptions are represented by white-pink plaques, on the surface of which there are red erosions measuring up to 5 cm in diameter with dark brown crusts at the periphery of the lesions (Figures 3, 4). On the skin of the anterior surfaces of both thighs, there are linear elongated plaques with blurred borders, on which areas of greyish atrophy, burgundy erosions, and large greyish-brown crusts alternate (Figure 5).
Fig. 4. Foci in the sacral region.
Fig. 5. Multiple foci on the anterior surface of the thighs.
On the neck, symmetrical plaques of rounded and irregular shapes with clear borders are observed. The plaque on the right side of the neck is white with a smooth, shiny surface measuring up to 12 cm in diameter (Figure 6, a). The plaque on the left side of the neck is whitish-pink with isolated brown crusts on the surface (Figure 6, b).
Fig. 6. Skin foci on the left shoulder (a) and right shoulder and neck (b).
Subjectively, the patient reports a feeling of tightness, tenderness, and itching.
Laboratory investigations: Complete blood count: erythrocytes, 4.65×10^12/l; hemoglobin, 139 g/l; hematocrit, 42%; platelets, 381×10^9/l; leucocytes, 7.74×10^9/l; lymphocytes, 33.4%; neutrophils, 59%; monocytes, 2.3%; eosinophils, 4.3%; basophils, 1.1%; erythrocyte sedimentation rate, 14 mm/h; color index, 0.9; clinical chemistry test: glucose, 5.86 mmol/l; total protein, 74 g/l; albumin, 46.1 g/l; urea, 4.5 mmol/l; uric acid, 399.50 µmol/l; creatinine, 82 µmol/l; total bilirubin, 17.9 µmol/l; direct bilirubin, 3 µmol/l; cholesterol, 5.7 mmol/l; triglycerides, 0.91 mmol/l; high-density lipoproteins, 1.6 mmol/l; alanine aminotransferase, 62 u/l; aspartate aminotransferase, 71 u/l; lactate dehydrogenase, 132 u/l; alkaline phosphatase, 138 u/l; gamma-glutamyl transferase, 156 u/l; c-reactive protein, 11.8 mg/l; rheumatoid factor, 165 u/ml; urinalysis, color, yellow; specific gravity, 1.021; transparency, slightly cloudy; ph, 5; protein, negative; glucose, negative; ketones, negative; nitrites, negative; urobilinogen, normal; leucocytes, 3–6 per field of view; erythrocytes, negative; mucus, slightly present; bacteria, slightly present; coagulation profile, activated partial thromboplastin time, 1.19; prothrombin (quick), 85%; international normalized ratio, 1.09; prothrombin time, 12 seconds; fibrinogen, 4.72 g/l; notably, there is a tenfold increase in rheumatoid factor levels, along with elevated liver transaminases, uric acid, cholesterol, and C-reactive protein.
Borrelia infection testing: IgG antibodies to Borrelia burgdorferi: negative;
Antinuclear factor (HEp-2), 1/640; anti-topoisomerase I antibodies (Scl-70), 54 IU/L; anticentromere antibodies, 12 IU/L;
Conclusion: A fourfold increase in antinuclear factor has been detected, along with elevated reference values for anti-DNA topoisomerase I antibodies and anticentromere antibodies, which may indicate a probable development of a systemic process.
Hormone blood testing: Adrenocorticotropic hormone, 5 pg/ml; cortisol, 38 nmol/l; thyroid-stimulating hormone, 0.1 miu/l; triiodothyronine, 0.23 nmol/l; follicle-stimulating hormone, 0.12 miu/ml, luteinizing hormone, 0.09 miu/ml; prolactin, 560 miu/l; estradiol, 27 pmol/l.
Conclusion: a total decrease in hormone levels produced by both the anterior pituitary and peripheral endocrine glands is observed, with a slight increase in prolactin reference values.
Endocrinologist consultation: Due to decompensated hypothyroidism and secondary adrenal insufficiency, replacement therapy with thyroid hormones (Euthyrox 150 mg in the morning) and adrenal cortex hormones (Cortef 5 mg in the morning and 2.5 mg in the evening) is recommended under the supervision of an endocrinologist at the place of residence and with monitoring of thyroid and adrenal hormone levels.
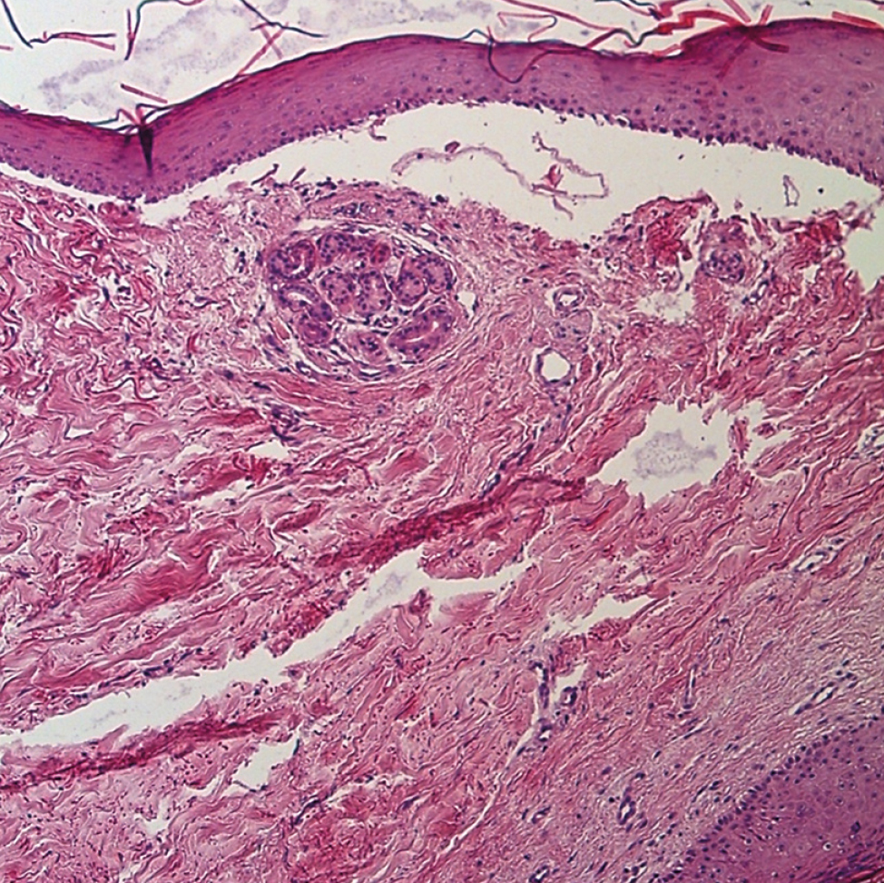
Histopathological examination: Histological examination of the skin flap biopsy revealed epidermal atrophy, focal vacuolization of basal keratinocytes, and edema of the papillary dermis, leading to the formation of subepidermal blisters. In the dermis, hyalinization and thickening of collagen bundles with subsequent sclerosis and dilation of lymphatic vessels were observed. Lymphoplasmacytic infiltrate was noted in the perivascular space and at the dermoepidermal junction (Fig. 7).
Conclusion: The morphological picture is consistent with the diagnosis of “localized scleroderma, bullous form.”
Fig. 7. Pathomorphological picture presents epidermal atrophy, focal vacuolisation of basal keratinocytes, swelling of the papillary layer of the dermis and subepidermal bullae.
Diagnosis
Based on the clinical presentation of the dermatosis, results of histopathological examination, medical history and disease course, a rare form of localized scleroderma — bullous scleroderma — was diagnosed.
Treatment
Treatment included systemic glucocorticoids (prednisolone 40 mg daily with dose tapering) with adjuvant therapy consisting of proton pump inhibitors, potassium, magnesium and calcium supplements combined with vitamin D; antibiotic therapy (ceftriaxone 1,000 mg once daily intramuscularly for 10 days); topical combined corticosteroids with antimicrobial component (Celestoderm with Garamycin) and tissue regeneration-promoting agents (methyluracil ointment applied to erosions and crusts twice daily).
Follow-up status
Following comprehensive therapy, the patient showed marked improvement in skin lesions, with epithelialization and scarring of erosions resulting in ivory-colored skin atrophy zones with irregular borders consistent with the size of bullous scleroderma lesions, and shedding of crusts from eroded areas (Figures 8–12). No new elements appeared. Subjective symptoms resolved.
Fig. 8. Exodus of the nidus into skin atrophy with telangiectasia on the surface and single light brown crusts.
Fig. 9. Exodus of multiple foci on the abdomen and mammary glands into widespread skin atrophy with irregular edges; presence of areas of hyperpigmentation.
Fig. 10. Exodus of foci on the skin of the left lateral surface of the torso.
Fig. 11. Exodus of foci on the skin in the sacral region.
Fig. 12. Exodus of foci on the skin of the lateral inner surface of the thighs into atrophy and hyperpigmentation along the contour of the area of skin atrophy.
Post-treatment blood tests for serological reactions showed a two-fold decrease in antinuclear factor (HEp-2 1/320), as well as normalization of anti-DNA topoisomerase I antibodies (17 IU/mL) and anticentromere antibodies (8 IU/mL).
The patient was recommended follow-up with a rheumatologist for regular monitoring of specific antibody levels, as well as endocrinologist follow-up to monitor pituitary and peripheral endocrine gland hormone levels for appropriate replacement therapy.
DISCUSSION
This article presents a rare clinical case of bullous scleroderma in the context of significant chronic endocrine pathology. The interest of this case lies not only in the rare form of the disease and progressive nature of the dermatosis, but also in the probable association with the patient’s endocrine disorders, namely panhypopituitarism due to pituitary macroadenoma with secondary hypothyroidism and adrenal insufficiency.
Our observation highlights the steady progression of the skin condition from localized plaque scleroderma to bullous form, and potentially to a systemic process. According to several studies, decompensated endocrine pathology exacerbates the course and prognosis of scleroderma.
Thus, considering the severity of the disease, presence of concomitant chronic endocrinopathy, and positive specific serological reactions for systemic scleroderma, this case requires an interdisciplinary approach and continuous follow-up.
CONCLUSION
Bullous scleroderma is a relatively rare phenomenon. Increased awareness among clinicians about the bullous form of localized scleroderma will contribute to timely diagnosis, detection of systemic features, and appropriate interdisciplinary management of patients.
ADDITIONAL INFORMATION
Funding source. This study was not supported by any external sources of funding.
Competing interests. The authors declare that they have no competing interests.
Authors' contribution. All authors made a substantial contribution to the conception of the work, acquisition, analysis, interpretation of data for the work, drafting and revising the work, final approval of the version to be published and agree to be accountable for all aspects of the work. E.S. Snarskaya, N.P. Teplyuk ― concept and design of the study, making significant (important) corrections to the manuscript in order to increase the scientific value of the work, writing the article, approval of the final manuscript; L.M. Shnakhova ― making significant (important) corrections to the manuscript in order to increase the scientific value of the work, writing the article, approving the final manuscript; D.A. Myshlyanova ― acquisition, analysis of data and interpretation of results, writing of the article, approval of the final version; Y.M. Semiklet ― obtaining, analyzing data and describing a clinical case, writing an article, approving the final version.
Consent for publication. The patient voluntarily signed informed consent for the publication of personal medical information in anonymized form in the journal “Russian Journal of Skin and Venereal Diseases”.
About the authors
Elena S. Snarskaya
I.M. Sechenov First Moscow State Medical University (Sechenov University)
														Email: snarskaya-dok@mail.ru
				                	ORCID iD: 0000-0002-7968-7663
				                	SPIN-code: 3785-7859
																		                								
MD, Dr. Sci. (Medicine), Professor
Russian Federation, 4/1 Bolshaya Pirogovskaya street, 119991 MoscowNatalya P. Teplyuk
I.M. Sechenov First Moscow State Medical University (Sechenov University)
														Email: teplyukn@gmail.com
				                	ORCID iD: 0000-0002-5800-4800
				                	SPIN-code: 8013-3256
																		                								
MD, Dr. Sci. (Medicine), Professor
Russian Federation, 4/1 Bolshaya Pirogovskaya street, 119991 MoscowLydia M. Shnakhova
I.M. Sechenov First Moscow State Medical University (Sechenov University)
														Email: lika-slm@mail.ru
				                	ORCID iD: 0000-0003-3000-0987
				                	SPIN-code: 5549-5823
																		                								
MD, Cand. Sci. (Medicine)
Russian Federation, 4/1 Bolshaya Pirogovskaya street, 119991 MoscowDiana A. Myshlyanova
I.M. Sechenov First Moscow State Medical University (Sechenov University)
							Author for correspondence.
							Email: dina.myshly@gmail.com
				                	ORCID iD: 0009-0006-0801-2227
				                	SPIN-code: 9002-2365
																		                												                	Russian Federation, 							4/1 Bolshaya Pirogovskaya street, 119991 Moscow
						
Juliya M. Semiklet
I.M. Sechenov First Moscow State Medical University (Sechenov University)
														Email: semiklet.jul@mail.ru
				                	ORCID iD: 0000-0001-7615-3917
				                	SPIN-code: 3245-4770
																		                												                	Russian Federation, 							4/1 Bolshaya Pirogovskaya street, 119991 Moscow
						
References
- Lahouel M, Soua Y, Njim L, et al. An unusual presentation of localized bullous morphea. Dermatol Online J. 2020;26(6):13030/qt6hm3k4g9
- Bakulev AL, Galkina EM, Karakaeva AV, Litvinenko MV. A case of localized bullous scleroderma. Vestnik dermatologii i venerologii. 2016;92(3):97–101. EDN: WGBBOP doi: 10.25208/0042-4609-2016-92-3-97-101
- Illustrated guide to dermatology. For preparation of doctors for accreditation. Ed. by O.Y. Olisova, N.P. Teplyuk. Moscow: GEOTAR-Media; 2023. 376 р. (In Russ). doi: 10.33029/9704-7375-7-DER-2023-1-376
- Jia H, Chen XH, Shi JH, et al. A case of bullous morphea reported in mainland China. Int J Dermatol. 2002;41(12):949–950. EDN: BEXCVN doi: 10.1046/j.1365-4362.2002.16672.x
- Venturi M, Pinna AL, Pilloni L, et al. Bullous morphoea: A retrospective study. Clin Exp Dermatol. 2017;42(5):532–535. doi: 10.1111/ced.13127
- Rencic A, Goyal S, Mofid M, et al. Bullous lesions in scleroderma. Int J Dermatol. 2002;41(6):335–339. EDN: EUHWSB doi: 10.1046/j.1365-4362.2002.01360.x
- Fernandez-Flores A, Gatica-Torres M, Tinoco-Fragoso F, et al. Three cases of bullous morphea: Histopathologic findings with implications regarding pathogenesis. J Cutan Pathol. 2015;42(2):144–149. doi: 10.1111/cup.12418
- Kavala M, Zindanci I, Demirkesen C, et al. Intertriginous bullous morphea: A clue for the pathogenesis? Indian J Dermatol Venereol Leprol. 2007;73(4):262–264. doi: 10.4103/0378-6323.33640
- Daoud MS, Su WP, Leiferman KM, Perniciaro C. Bullous morphea: Clinical, pathologic, and immunopathologic evaluation of thirteen cases. J Am Acad Dermatol. 1994;30(6):937–943. doi: 10.1016/s0190-9622(94)70113-x
- Ahn SK, Won JH, Lee SH, et al. ’Swiss cheese’ lymphangiectasia in a case of solitary morphea profunda. J Dermatol. 1997;24(10):666–669. doi: 10.1111/j.1346-8138.1997.tb02313.x
- Chakravarty SD, Markenson JA. Rheumatic manifestations of endocrine disease. Curr Opin Rheumatol. 2013;25(1):37–43. doi: 10.1097/BOR.0b013e32835b4f3f
- Markenson JA. Rheumatic manifestations of endocrine diseases. Curr Opin Rheumatol. 2010;22(1):64–71. doi: 10.1097/BOR.0b013e328333dd38
- Cherim A, Petca RC, Dumitrascu MC, et al. Thyroid disorders in systemic sclerosis: A comprehensive review. J Clin Med. 2024;13(2):415. EDN: RJURFZ doi: 10.3390/jcm13020415
- Wu Y, Li ML, Han HJ, et al. Elevated plasma/serum levels of prolactin in patients with systemic sclerosis: A systematic review and meta-analysis. Medicine (Baltimore). 2020;99(38):e22239. doi: 10.1097/MD.0000000000022239
- Katsantonis JC, Protopsaltis J, Kokkoris S, et al. Systemic sclerosis associated with generalized vasculitis and hypopituitarism. Rheumatol Int. 2008;28(11):1165–1168. doi: 10.1007/s00296-008-0586-8
- Moreno JC, Valverde F, Martinez F, et al. Bullous scleroderma-like changes in chronic graft-versus-host disease. J Eur Acad Dermatol Venereol. 2003;17(2):200–203. EDN: BGSQMB doi: 10.1046/j.1468-3083.2003.00606.x
- Jachiet M, de Masson A, Peffault de Latour R, et al. Skin ulcers related to chronic graft-versus-host disease: Clinical findings and associated morbidity. Br J Dermatol. 2014;171(1):63–68. doi: 10.1111/bjd.12828
- Petersen E, Yazdani L, Hymes SR. A case of radiation-induced bullous morphea/lichen sclerosus overlap in a breast cancer patient. Rep Pract Oncol Radiother. 2018;23(1):47–49. doi: 10.1016/j.rpor.2017.11.004
- Wooten MD, Scott JW, Miller AM, Boh E. Chronic myelogenous leukemia and porphyria cutanea tarda in a patient with limited systemic sclerosis. South Med J. 1998;91(5):493–495. EDN: ENLPOP doi: 10.1097/00007611-199805000-00019
- Wu KH, Dai YS, Tsai MJ, et al. Lichen sclerosus et atrophicus, bullous morphea, and systemic lupus erythematosus: A case report. J Microbiol Immunol Infect. 2000;33(1):53–56.
- Iskandarli M, Gerceker Turk B, Yaman B, Unal I. Rare association of morphea with vesicular pemphigoid. G Ital Dermatol Venereol. 2016;151(5):562–563.
- Maglie R, Baffa ME, Montefusco F, et al. Case report: Bullous pemphigoid associated with morphea and lichen sclerosus: Coincidental diseases or pathogenetic association? Front Immunol. 2022;13:887279. doi: 10.3389/fimmu.2022.887279.
- Sánchez-Pérez S, Escandell-González I, Pinazo-Canales MI, Jordá-Cuevas E. [Bullous morphea: Description of a new case and discussion of etiologic and pathogenic factors in bulla formation. (In Spanish)]. Acta Dermosifiliogr. 2017;108(1):75–76. doi: 10.1016/j.ad.2016.07.010.
- Su WP, Greene SL. Bullous morphea profunda. Am J Dermatopathol. 1986;8(2):144–147. doi: 10.1097/00000372-198604000-00009
- Samtsov AV, Belousova IE. Bullous dermatoses: monograph. Saint Petersburg: Kosta; 2012. 144 р. (In Russ).
- Gorkiewicz-Petkow A, Kalinska-Bienias A. Systemic involvement in localized scleroderma/morphea. Clin Dermatol. 2015;33(5):556–562. doi: 10.1016/j.clindermatol.2015.05.009
- Arkachaisri T, Fertig N, Pino S, Medsger TA. Serum autoantibodies and their clinical associations in patients with childhood- and adultonset linear scleroderma. A single-center study. J Rheumatol. 2008;35(12):2439–2444. doi: 10.3899/jrheum.080098
- Krieg T, Takehara K. Skin disease: A cardinal feature of systemic sclerosis. Rheumatology (Oxford). 2009;48(3):14–18.
- Desbois AC, Cacoub P. Systemic sclerosis: An update in 2016. Autoimmun Rev. 2016;15(5):417–426. EDN: WPTHQP doi: 10.1016/j.autrev.2016.01.007
- Van den Hoogen F, Khanna D, Fransen J, et al. 2013 Classification criteria for systemic sclerosis: An American College of Rheumatology / European League against Rheumatism collaborative initiative. Arthritis Rheum. 2013;72(11):1747–1755. doi: 10.1136/annrheumdis-2013-204424
- Xie CB, Cowper S, Odell ID. Morphea after Borrelia-induced facial nerve palsy. J Scleroderma Relat Disord. 2021;6(1):111–113. doi: 10.1177/2397198320956892
- Șandru F, Popa A, Petca A, et al. Etiologic role of Borrelia burgdorferi in morphea: A case report. Exp Ther Med. 2020;20(3):2373–2376. doi: 10.3892/etm.2020.8815
- Fett N, Werth VP. Update on morphea: Part II. Outcome measures and treatment. J Am Acad Dermatol. 2011;64(2):231–242. doi: 10.1016/j.jaad.2010.05.046
- Schanz S, Fierlbeck G, Ulmer A, et al. Localized scleroderma: MR findings and clinical features. Radiology. 2011;260(3):817–824. doi: 10.1148/radiol.11102136
- Florez-Pollack S, Kunzler E, Jacobe HT. Morphea: Current concepts. Clin Dermatol. 2018;36(4):475–486. doi: 10.1016/j.clindermatol.2018.04.005
- Onajin O, Wieland CN, Peters MS, et al. Clinicopathologic and immunophenotypic features of eosinophilic fasciitis and morphea profunda: A comparative study of 27 cases. J Am Acad Dermatol. 2018;78(1):121–128. doi: 10.1016/j.jaad.2017.06.148
- Sprow G, Afarideh M, Dan J, et al. Bullous systemic lupus erythematosus in females. Int J Womens Dermatol. 2022;8(3):e034. EDN: AIPDXW doi: 10.1097/JW9.0000000000000034
- Malik AM, Tupchong S, Huang S, et al. An updated review of pemphigus diseases. Medicina (Kaunas). 2021;57(10):1080. doi: 10.3390/medicina57101080
- Pratasava V, Sahni VN, Suresh A, et al. Bullous pemphigoid and other pemphigoid dermatoses. Medicina (Kaunas). 2021;57(10):1061. doi: 10.3390/medicina57101061
- Yasar S, Mumcuoglu CT, Serdar ZA, Gunes P. A case of lichen sclerosus et atrophicus accompanying bullous morphea. Ann Dermatol. 2011;23(Suppl 3):S354–359. doi: 10.5021/ad.2011.23.S3.S354
- Micalizzi C, Parodi A, Rebora A. Generalized bullous morphoea. Efficacy of salazopyrin. Clin Exp Dermatol. 1996;21(3):246–247. doi: 10.1111/j.1365-2230.1996.tb00080.x
- EI-Mofty M, Zaher H, Bosseila M, et al. Low-dose broad-band UVA in morphea using a new method for evaluation. Photodermatol Photoimmunol Photomed. 2000;16(2):43. doi: 10.1034/j.1600-0781.2000.d01-1.x
- Schlaak M, Friedlein H, Kauer F, et al. Successful therapy of a patient with therapy recalcitrant generalized bullous scleroderma by extracorporeal photopheresis and mycophenolate mofetil. J Eur Acad Dermatol Venereol. 2008;22(5):631–633. doi: 10.1111/j.1468-3083.2007.02403.x
- Rosato E, Veneziano ML, di Mario A, et al. Ulcers caused by bullous morphea: Successful therapy with N-acetylcysteine and topical wound care. Int J Immunopathol Pharmacol. 2013;26(1):259–262. doi: 10.1177/039463201302600128
- Martin LK, Kirsner RS. Ulcers caused by bullous morphea treated with tissue-engineered skin. Int J Dermatol. 2003;42(5):402–404. EDN: BGSCKH doi: 10.1046/j.1365-4362.2003.01763.x
Supplementary files
 
				
			 
					 
						 
						 
									
 
  
  
  Email this article
			Email this article 
 Open Access
		                                Open Access Access granted
						Access granted Subscription or Fee Access
		                                							Subscription or Fee Access
		                                					













