Cholinergic urticaria: novel aspects of pathogenesis, diagnosis and management
- Authors: Borzova E.Y.1,2, Popova C.Y.1, Kurowski M.3, Rukhadze M.T.4,5, Darlenski R.6, Zaborova V.A.1, Kurshev V.V.1
-
Affiliations:
- I.M. Sechenov First Moscow State Medical University (Sechenov University)
- Veltischev Research and Clinical Institute for Pediatrics
- Medical University of Lodz
- Center of Allergy and Immunology
- Teaching University Geomedi
- Trakia University
- Issue: Vol 24, No 3 (2021)
- Pages: 211-226
- Section: DERMATOLOGY
- Submitted: 29.06.2021
- Accepted: 26.08.2021
- Published: 15.06.2021
- URL: https://rjsvd.com/1560-9588/article/view/72329
- DOI: https://doi.org/10.17816/dv72329
- ID: 72329
Cite item
Full Text
Abstract
Cholinergic urticaria (CholU) is a chronic inducible urticaria, characterised by itchy pinpoint wheals up to 3 mm in diameter, surrounded by a prominent flare, that occur following an exposure to characteristic triggers such as active or passive heating, physical exercise, emotions, hot or spicy foods.
Key pathophysiologic mechanisms include immediate hypersensitivity to autologous sweat antigens, functional sweating disorders, impaired acethylcholine metabolism, abnormal skin vascular permeability and disturbed skin innervation.
Clinical manifestations of CholU may vary from typical itchy pinpoint urticarial lesions, angioedema to anaphylaxis. Atypical CholU forms include cholinergic pruritus, cholinergic dermographism, cold cholinergic urticaria and persistent cholinergic erythema.
The diagnosis of cholinergic urticaria relies on patient’s history, clinical manifestations and challenge tests.
Treatment options include nonsedating H1 antihistamines in standard or increased doses. The evidence is accumulating for the use of biological treatment with omalizumab in cholinergic urticaria. The prospect of personalized treatment of cholinergic urticaria include autologous sweat desensitization.
The main research efforts in ColdU are directed at optimizing diagnostic approaches and developing innovative therapeutic options.
Full Text
ВВЕДЕНИЕ
Холинергическая крапивница (ХнК) ― хроническая индуцированная крапивница, характеризующаяся появлением зудящих мелкоточечных волдырей после воздействия триггерных факторов, таких как физическая нагрузка, эмоции, воздействие высоких температур (приём горячей ванны/душа, высокие температуры окружающей среды), а также после употребление острой и горячей пищи (рис. 1) [1–3].
Рис. 1. Триггерные факторы холинергической крапивницы. ХнК ― холинергическая крапивница. / Fig. 1. Triggers of cholinergic urticarial. ХнК ― cholinergic urticaria.
Актуальность проблемы ХнК обусловлена преимущественным поражением лиц молодого возраста [4], выраженным снижением качества их жизни [5], успеваемости и работоспособности при тяжёлой форме ХнК [5].
Первое описание крапивницы, индуцированной физической нагрузкой (с современных позиций ― холинергическая крапивница), выполнено в 1924 г. и принадлежит выдающемуся американскому клиницисту Уильяму Дьюку (William Waddell Duke) [6, 7]. Пациент в возрасте 22 лет, описанный Duke, в течение нескольких месяцев отмечал уртикарные высыпания на теле при высокой температуре окружающей среды, после физической или умственной нагрузки, во время переживания сильных эмоций [7].
ХОЛИНЕРГИЧЕСКАЯ КРАПИВНИЦА: НОВЫЕ АСПЕКТЫ В ИЗУЧЕНИИ ЗАБОЛЕВАНИЯ
Эпидемиология
Распространённость ХнК среди населения изу-чается в эпидемиологических исследованиях путём анкетирования и провокационных тестов, а среди пациентов с различными вариантами крапивниц ― по данным реальной клинической практики и международных регистров.
Известно, что ХнК чаще встречается у молодых пациентов. В исследовании T. Zuberbier с колл. [8] частота ХнК среди 493 школьников и студентов Берлина в возрасте от 15 до 35 лет составила 11,2%, в аналогичном исследовании K. Godse с соавт. [9] среди 600 индийских студентов в возрасте от 18 до 22 лет ХнК страдали 25 из них (4,16%).
В исследовании британских дерматологов [10] частота ХнК составляет 0,2% среди амбулаторных дерматологических пациентов и 7% среди пациентов с различными вариантами крапивниц. В настоящее время проводится международное проспективное регистровое исследование CURE (Сhronic Urticaria Registry), в котором уточняются данные по частоте встречаемости ХнК у пациентов с хроническими крапивницами.
Средняя продолжительность заболевания составляет 4–7,5 лет [3]. Спонтанная ремиссия наблюдается у 12,5; 35,5 и 67,9% пациентов с ХнК в течение 1 года, 5 и 13 лет соответственно [11].
Учитывая взаимосвязь холинергической крапивницы и физической нагрузки, особый интерес представляет распространённость ХнК среди спортсменов, в частности профессиональных атлетов и лиц, подвергающихся экстремальным нагрузкам. По данным болгарских учёных [12], ХнК, обусловленная физической нагрузкой, выявлена у 4 из 30 обследуемых спортсменов, включая представителей лёгкой и тяжёлой атлетики, плавания и бокса. Однако следует отметить, что в исследовании 1977 года не проводилась верификация диагноза ХнК с помощью провокационных тестов, в связи с чем данный вопрос требует дальнейшего изучения.
Патогенез
К основным аспектам патогенеза ХнК относят дегрануляцию тучных клеток [13], нарушения метаболизма ацетилхолина [14], потоотделения и кожной иннервации [15], а также аутоиммунные механизмы, обус-ловленные гиперчувствительностью к аутоантигенам потовой жидкости [16]. Несмотря на многочисленные исследования в этой области, патогенез ХнК во многом остаётся неясным.
В основе патогенеза ХнК лежaт нарушения кожной реактивности в ответ на холинергическую стимуляцию (например, ацетилхолином) [14]. Ацетилхолин ― холинергический нейромедиатор, реализующий своё действие, взаимодействуя с мускарин- и никотинчувствительными холинорецепторами [17]. К биологическим эффектам ацетилхолина в коже относится стимуляция потоотделения вследствие активации мускаринчувствительных рецепторов на постганглионарных холинергических нервных окончаниях, осуществляющих иннервацию потовых желёз. В исследованиях in vitro показана активация клеточной линии тучных клеток ацетилхолином посредством взаимодействия с М3-холинорецепторами [18].
Известно, что характерные уртикарные высыпания можно индуцировать под действием холиномиметиков (метахолин, пилокарпин), а также купировать их локальным применением антагонистов ацетилхолина (атропин), что подтверждает патогенетическое значение ацетилхолина при ХнК [19]. У пациентов с ХнК отмечено снижение активности ацетилхолинэстеразы (фермента, катализирующего гидролиз ацетилхолина) в синаптической щели при сравнении с другими вариантами крапивниц у пациентов [20], что может способствовать локальному накоплению ацетилхолина у пациентов с ХнК [21, 22]. Установлено также транзиторное повышение экспрессии мускаринчувствительных рецепторов в области уртикарных высыпаний у пациентов с ХнК [23]. Таким образом, при ХнК наблюдаются нарушения метаболизма ацетилхолина и кожной реактивности к холинергической стимуляции, однако точные механизмы участия ацетилхолина в патогенезе заболевания остаются недостаточно изученными.
Важнoe значение в патогенезе ХнК принадлежит дегрануляции тучных клеток с высвобождением гистамина [24]. В исследовании A.P. Kaplan с соавт. [13] впервые продемонстрировано сопровождаемое повышением гистамина в крови возникновение мелкоточечных уртикарных высыпаний после 10-минутного бега у 2 из 3 пациентов с ХнК. N.A. Soter с колл. [25] также показали достоверное повышение уровня гистамина в крови после физической нагрузки у 7 пациентов с ХнК. Вместе с тем факторы, приводящие к активации тучных клеток при ХнК, требуют уточнения.
На возможность активации тучных клеток под действием сывороточных факторов при ХнК указывают ранние работы по пассивному переносу сыворотки от пациентов с ХнК здоровым лицам или обезьянам рода макак (реакция Праустница–Кюстнера)1 [26, 27], а также клинические доказательства кожной аутореактивности (положительная внутрикожная проба с аутологичной сывороткой) [24, 28]. Однако требуется идентификация циркулирующих сывороточных факторов и их дальнейшее изучение при ХнК.
Согласно современным представлениям, при ХнК возможны нарушения потоотделения в виде его снижения (гипогидроз) или полного отсутствия (ангидроз) [15]. Наблюдение пациентов c ХнК после физической нагрузки, у которых уртикарные элементы локализуются только в области гипогидроза, но не возникают в областях ангидроза, в которых мускариновые М3-рецепторы полностью отсутствуют, указывает на зависимость уртикарных высыпаний от процесса потоотделения [15]. Предполагается, что при физической нагрузке высвобождающийся из нервных окончаний ацетилхолин не полностью захватывается холинергическими рецепторами эккриновых желёз, и в результате взаимодействует с мускариновыми М3-рецепторами на поверхности тучных клеток, располагающихся вблизи эккриновых желёз, что приводит к их дегрануляции и вызывает уртикарные высыпания [15].
На современном этапе при ХнК особое внимание уделяется аутоиммунным реакциям на аутоантигены потовой жидкости, впервые описанные в 1994 г. J. Adachi и соавт. [16]. Реакции гиперчувствительности немедленного типа к антигенам пота по результатам внутрикожного тестирования с аутологичной потовой жидкостью выявляются у 65,7% пациентов с ХнК [29]. Кроме того, in vitro высвобождение гистамина из базофилов под действием потовой жидкости у пациентов с ХнК опосредуется специфическим IgE к частично очищенному антигену пота [16, 29]. Одним из возможных антигенов человеческого пота является белок MGL_1304 Malassezia globosa, к которому выявлены IgE-антитела у 14 из 24 обследованных пациентов с ХнК [30].
При гиперчувствительности к потовой жидкости высвобождение антигенов пота в окружающую дерму, по-видимому, происходит вследствие окклюзии выводных протоков потовых желёз [31]. Таким образом, cвязывание антигенов пота с IgE-молекулами на поверхности тучных клеток, расположенных вокруг устьев потовых желёз, приводит к их дегрануляции, вызывая уртикарные высыпания. Важно отметить, что в потовой жидкости, помимо электролитов, содержатся аминокислоты, пептиды (протеазы, ингибиторы протеаз и антимикробные пептиды), иммуноглобулины (IgA, IgE), а также провоспалительные цитокины (например, ИЛ-1α, ИЛ-1β, ИЛ-8, ИЛ-31) [32, 33], в связи с чем возможно участие как иммунных, так и неиммунных механизмов в развитии ХнК [34].
Гистологическая картина
Локальное воспаление в коже у пациентов с ХнК характеризуется дегрануляцией тучных клеток [35], повышенной экспрессией адгезивных молекул и хемокинов [36] и образованием воспалительного инфильтрата вокруг сосудов сосочкового слоя дермы, волосяных фолликулов и потовых желёз [37]. В исследовании N. Haas и соавт. [36] на ранних этапах формирования уртикарных высыпаний при ХнК отмечалось повышение экспрессии P-селектина GMP-140 (CD62) в области посткапиллярных венул в сосочковом слое дермы. Известно, что повышение экспрессии хемокинов (ССL2/MCP-1, ССL5/RANTES, CCL17/TARC) коррелирует с количеством тучных клеток и лимфоцитов в воспалительном инфильтрате дермы у пациентов с ХнК [22]. В локальном воспалении кожи при ХнК участвуют лимфоциты, нейтрофилы и эозинофилы [24, 27]. Лимфоцитарная инфильтрация представлена CD4+ и CD8+ субпопуляциями Т-лимфоцитов [15, 22]. Особенностью гистологической картины кожи пациентов с ХнК с сопутствующим ангидрозом/гипогидрозом является повышенное локальное накопление тучных клеток и лимфоцитов [22]. В отличие от ХнК с сопутствующим гипогидрозом, у пациентов с ангидрозом отмечается лимфоцитарная инфильтрация вокруг потовых желёз [15].
Классификация
Согласно федеральным клиническим рекомендациям [38], крапивницы делят на острые (≤6 нед.) и хронические (>6 нед.), по клиническим подтипам ― на спонтанные и индуцированные (табл. 1) [38]. Среди индуцированных крапивниц выделяют физические крапивницы и особые крапивницы, к которым относится и ХнК [39]. Характеристика патогенетических подтипов ХнК представлена в табл. 2 [4].
Таблица 1. Классификация хронической крапивницы по федеральным клиническим рекомендациям РААКИ (2019) [38] / Table 1. The classification of chronic urticaria according to the Federal Clinical Recommendations of the Russian Association of Allergists and Clinical Immunologists (2019) [38]
Крапивница | |
хроническая спонтанная (идиопатическая) | индуцируемая |
Появление волдырей и/или ангиоотёков в период от 6 нед. и более вследствие известных1 и неизвестных причин | Симптоматический дермографизм2 Индуцируемая холодом3 Крапивница от давления4 Солнечная Индуцируемая теплом5 Вибрационный ангиоотёк Холинергическая Контактная Аквагенная |
Примечание. 1 Например, аутореактивная крапивница вследствие наличия аутоантител, активирующих тучные клетки.
2 Форма, известная как дермографическая крапивница.
3 Известна как холодовая контактная крапивница.
4 Известна как замедленная крапивница от давления.
5 Известна как тепловая контактная крапивница.
Таблица 2. Характеристика подтипов холинергической крапивницы (адаптировано из [4]) / Table 2. The subtype characteristics of cholinergic urticaria (adapted from [4])
Подтип | Клинические особенности | Внутрикожное тестирование | |||
ангиоотёки | гипогидроз | атопия | с аутологичным пÓтом | с аутологичной сывороткой | |
С гиперчувствительностью к поту без ангиоотёка | Нет | Нет | Не определено | Положительная | Отрицательная |
Фолликулярный | Не определено | Не определено | Не определено | Отрицательная | Положительная |
С периферическим ангиоотёком | Характерно | Нет | Часто | Положительная | Отрицательная |
Сопровождающаяся приобретённым гипоангидрозом | Не определено | Всегда | Реже | Положительная / отрицательная | Не определено |
Клиническая картина
Клинически ХнК проявляется в течение 15–20 мин после воздействия триггерных факторов в виде зудящих мелкоточечных волдырей (1–3 мм в диаметре) на фоне выраженной гиперемии (рис. 2), которые разрешаются в течение часа [40, 41]. Клинические проявления ХнК могут варьировать от поражения кожных покровов, ангиоотёка до анафилаксии2 [42–44]. В исследовании K. Petalas с соавт. [45] показана более высокая частота встречаемости бронхиальной гиперчувствительности у пациентов с ХнК (42%), чем у пациентов с хронической крапивницей (7%) или здоровых пациентов (7%). Характеристика атипичных форм ХнК представлена в табл. 3 [46–49].
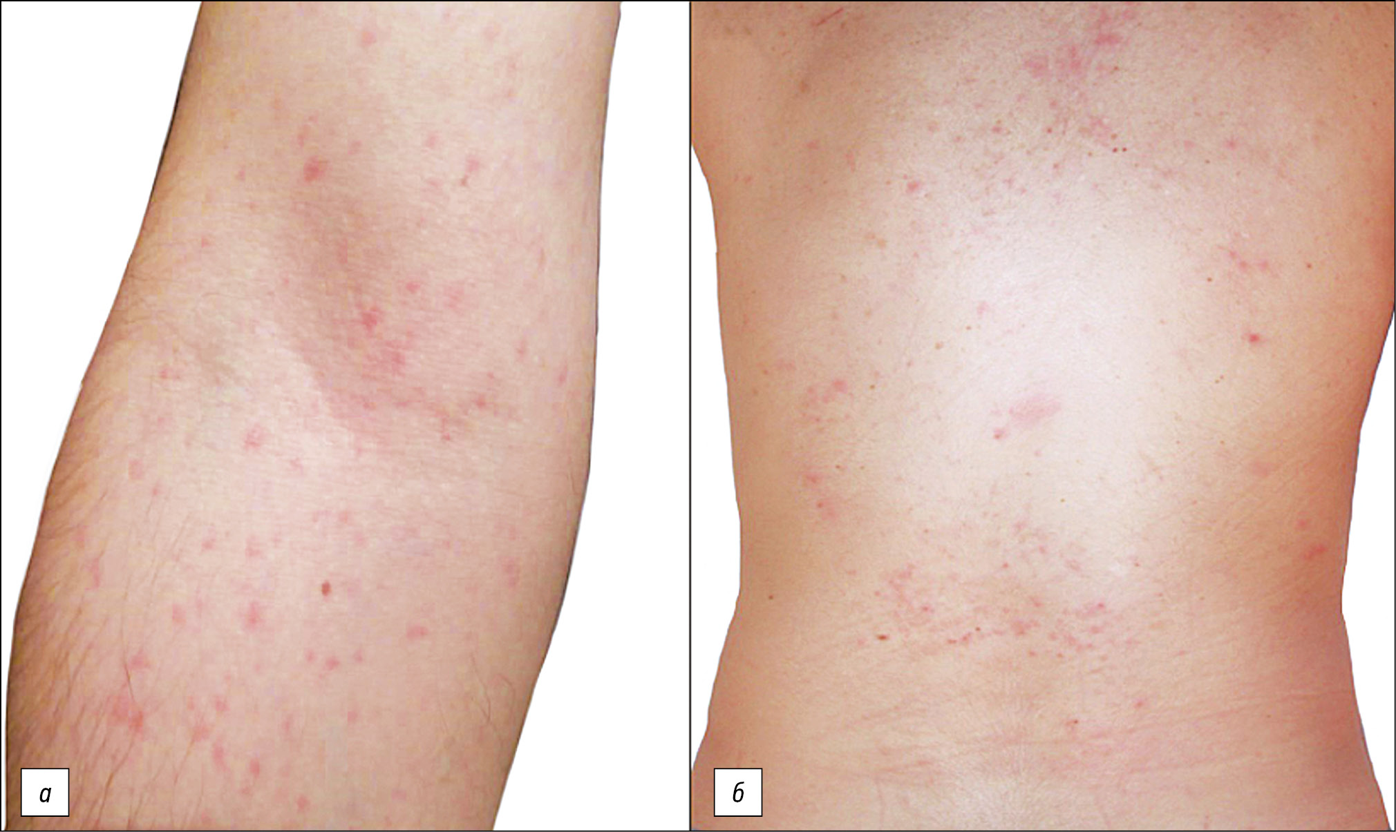
Рис. 2. Характерные уртикарные высыпания при холинергической крапивнице: a ― на коже руки пациента в возрасте 33 лет; б ― на коже спины пациентки в возрасте 41 года. / Fig. 2. Typical urticarial lesions in cholinergic urticaria: a ― in a male patient aged 33; б ― in a female patient aged 41.
Таблица 3. Атипичные формы холинергической крапивницы / Table 3. Atypical forms of cholinergic urticaria
Атипичная формы | Триггерные факторы | Характеристика уртикарных элементов | Клинические особенности |
Холинергический зуд | Пассивное согревание, физическая нагрузка, эмоции | Уртикарные высыпания отсутствуют | Возможно прогрессирование в холинергическую крапивницу |
Холинергический дермографизм | Механическое раздражение кожи | Мелкоточечные уртикарные элементы, характеризующиеся быстрым возникновением и бесследным исчезновением в течение часа | Может наблюдаться самостоятельно и в сочетании с холинергической крапивницей |
Холодовая холинергическая крапивница | Сочетание системного охлаждения и физической нагрузки | Типичные мелкоточечные уртикарные высыпания | Клиническая картина развивается только при сочетании двух триггерных факторов |
Персистирующая холинергическая эритема | Физическая нагрузка | Множественные небольшие симметричные мономорфные пятна, преимущественная локализация: туловище, верхние конечности | Клиническая картина в виде персистирующих высыпаний обусловлена сохранением единичных пятен не более 1 ч и появлением новых пятен на близлежащих участках кожного покрова |
При ХнК возможна сезонность симптомов с преобладанием обострений в зимний период [50]. При ретроспективном анализе данных 644 пациентов с ХнК обострения преимущественно наблюдались в ноябре-феврале с максимальной обращаемостью в декабре и наименьшей ― в августе. Примерно у 40% пациентов симптомы ХнК наблюдались исключительно зимой [51]. Предполагается, что сезонность ХнК может быть обусловлена окклюзией выводных протоков потовых желёз при генерализованном гипо- и ангидрозе в зимний период [31].
Особый интерес представляет взаимосвязь ХнК и аллергических заболеваний [52, 53]. По данным исследования S. Altrichter с колл. [52], у пациентов с ХнК наблюдается высокая частота атопии3 ― 57%, в частности частота встречаемости атопического дерматита составляет 30%, аллергического ринита ― 20%, бронхиальной астмы ― 20% [52–54].
Симптомы ХнК оказывают негативное влияние на качество жизни пациентов, включая повседневную деятельность, эмоции, социальную активность и занятия спортом [55]. По данным опросника для оценки уровня качества жизни пациентов с ХнК (CholU-QoL), разработанного немецкой группой учёных из Университета Шарите (Берлин), в 15% случаев ХнК отмечено выраженное снижение качества жизни [5]. В исследовании E. Poon и соавт. [56], у пациентов с ХнК отмечено более выраженное снижение качества жизни по данным дерматологического опросника DQLI (Dermatological Quality Life Index), чем у пациентов с другими типами крапивниц (хроническая идиопатическая крапивница с ангиоотёками, хроническая идиопатическая крапивница в сочетании с замедленной крапивницей от давления, симптоматический дермографизм и уртикарный васкулит). Показатели DQLI у пациентов с ХнК сопоставимы с таковыми при тяжёлом атопическом дерматите и превышают у больных с псориазом и акне [56].
Диагностика
Учитывая характерную клиническую картину ХнК и eё возникновение после воздействия триггерных факторов, клинический диагноз в большинстве случаев не представляет затруднений. Диагностика ХнК основана на данных анамнеза, клинического осмотра и результатах провокационных тестов. С помощью провокационных тестов при ХнК, как и при физических крапивницах, проводится подтверждение диагноза, определяется порог чувствительности к триггерам (например, к физической нагрузке), а также оценивается тяжесть заболевания и эффективность терапии [3]. В исследовании H.D. Komarow с соавт. [41], анамнестические данные подтверждались результатами провокационных тестов лишь у 62% из 76 пациентов с физическими крапивницами. Обращает внимание, что через год у 4 из 38 пациентов с изначально положительными провокационными тестами наблюдалось разрешение симптомов заболевания [41].
Для подтверждения диагноза ХнК проводят провокационные тесты с физической нагрузкой (тредмил-тест; велоэргометрия). Реже используют провокационные тесты пассивного согревания c горячей ванной (20–30 мин при температуре 40–42ºC) или сауной, сопровождаемые подъёмом температуры тела пациента по меньшей мере на 1ºC [19, 57]. Провокационные тесты выполняются не менее чем через 24 ч после разрешения симптомов. Приём антигистаминных препаратов следует исключить за 3 дня до проведения провокационных тестов, а использование глюкокортикоидов ― за 7 дней. Безопасность является основным требованием, предъявляемым к нагрузочным тестам.
Ранее в диагностике ХнК использовалось внутрикожное тестирование с метахолином [58]. У некоторых пациентов с ХнК при внутрикожном введении метахолина развиваются типичные для ХнК мелкоточечные уртикарные элементы. Однако в связи с низкой чувствительностью (33%) данный тест практически не используется в клинической практике [59].
Дифференциальная диагностика
Дифференциальный диагноз ХнК проводится с анафилаксией, индуцированной физической нагрузкой (АнИФУ). АнИФУ ― тяжёлое заболевание, при котором анафилаксия может развиться в любой момент физической нагрузки. Триггерами АнИФУ являются физическая активность: медленная ходьба; оживлённая прогулка; аэробные виды спорта, такие как бег, езда на велосипеде, лыжный спорт, теннис, танцы и плавание [60, 61]. Продолжительность эпизодов может варьировать, в то время как частота эпизодов имеет тенденцию к снижению либо остаётся неизменной [62]. У 10% пациентов с АнИФУ системные реакции возникают вследствие физических упражнений, в остальных случаях требуется наличие дополнительного триггерного фактора (пищевые продукты / лекарственные препараты, например нестероидные противовоспалительные) [62].
Возможно развитие АнИФУ после приёма пищевых аллергенов, предположительно вследствие повышенной системной абсорбции и продукции медиаторов воспаления [62]. Пищевая анафилаксия, индуцируемая физической нагрузкой, развивается в основном в период от 10 мин до 4–6 ч после приёма пищи и носит характер IgE-опосредованной аллергической реакции [63, 64]. Наиболее часто развитие пищевой анафилаксии, индуцируемой физической нагрузкой, связано с приёмом в пищу пшеницы (омега-5-глиадина), морепродуктов, орехов, различных видов мяса, коровьего молока, фруктов и овощей (помидоры, апельсины, виноград), грибов, алкоголя [64]. У таких пациентов определяется повышение уровня специфических антител IgE к определённому пищевому аллергену и/или положительные кожные тесты с пищевыми аллергенами [42, 63]. Имеются данные о связи пищевой анафилаксии, индуцируемой физической нагрузкой, с острым коронарным синдромом, в частности с синдромом Коуниса4 [65].
Выделяют классическую и вариантную анафилаксию, индуцированную физической нагрузкой. Классическая форма характеризуется крупными уртикарными элементами (10–15 мм), в то время как вариантная ― мелкоточечными (2–4 мм) [59]. При АнИФУ в сыворотке крови повышается концентрация триптазы, высвобождаемой при активации тучных клеток. Уровень триптазы сыворотки крови, полученный в течение 30 мин после эпизода анафилаксии, является подтверждением диагноза АнИФУ [43, 66]. Дифференциальная диагностика ХнК и анафилаксии физического усилия представлена в табл. 4 [59].
Таблица 4. Дифференциальная диагностика холинергической крапивницы и анафилаксии физического усилия (модификация таблицы G.W. Volcheck и соавт. [59]) / Table 4. Differential diagnosis of cholinergic urticaria and exercise-induced anaphylaxis (Modified from Volcheck et al. [59])
Заболевание | Триггерные факторы | Уртикарные элементы | Анафилаксия | |
характер | размер, мм | |||
Холинергическая крапивница | Воздействие тепла, стресс, физические упражнения | Точечные | 2–4 | Редко |
Анафилаксия, индуцированная физической нагрузкой | Физическая нагрузка | Классические | 10–15 | Часто |
Вариантная анафилаксия физического усилия | Физическая нагрузка | Точечные | 2–4 | Часто |
Пищевая анафилаксия, индуцируемая физической нагрузкой | Сочетание физической нагрузки и пищевых аллергенов | Классические | 10–15 | Часто |
Bажно отличать ХнК от других хронических индуцируемых крапивниц. Схожая клиническая картина (точечные уртикарные высыпания) при ХнК и некоторых других хронических индуцированных крапивницах (аквагенная, тепловая) обусловливает сложность дифференциальной диагностики, однако их отличают триггерные факторы. Главным отличием ХнК от аквагенной крапивницы являются высыпания при контакте с горячей водой (40–42ºC), в свою очередь аквагенная крапивница развивается при контакте с водой любой температуры [3, 67]. Похожая клиническая картина и наличие общего триггерного фактора ― эмоционального напряжения ― обусловливают сложность дифференциальной диагностики ХнК от адренергической крапивницы, главным отличием которой является наличие области более бледного цвета вокруг волдырей вследствие вазоконстрикции [68].
Представляет интерес дифференциальная диагностика атипичных форм ХнК. Холинергический дермографизм следует отличать от симптоматического ― наиболее распространённой формы физической крапивницы с характерными линейными уртикарными элементами и зудом в ответ на механическое штриховое раздражение кожи [46]. В свою очередь, холинергический дермографизм может наблюдаться у некоторых пациентов с ХнК, у которых дермографическая реакция состоит из сгруппированных мелкоточечных волдырей, характерных для ХнК, в месте штрихового раздражения кожи тупым предметом [46].
Лечение
Терапия ХнК направлена на предотвращение воздействия триггерных факторов и достижение контроля над симптомами заболевания [39]. Важно отметить, что лечение ХнК нередко является трудной задачей для клинициста, так как у 67% пациентов симптомы ХнК не контролируются проводимой терапией [5].
Пациентам с тяжёлым течением ХнК рекомендовано избегать интенсивной физической нагрузки и стрессовых ситуаций, посещение сауны, горячих ванн, употребление горячей или острой пищи. Важно отметить, что полное исключение триггерных факторов не всегда представляется возможным, в частности, являются актуальными вопросы, касающиеся физической нагрузки у спортсменов с ХнК. В настоящее время ведётся разработка отечественных рекомендаций для спортсменов с различными формами крапивницы, включая ХнК.
Рекомендации по физической нагрузке для пациентов с холинергической крапивницей и анафилаксией, индуцированной физической нагрузкой [62]:
- Физические упражнения под контролем партнёра, осведомлённого о состоянии пациента и способного оказать неотложную помощь.
- Отказ от физических упражнений в дни с тёплой/жаркой или влажной погодой.
- Снижение интенсивности физических упражнений
- Прекращение упражнений при появлении первых признаков ХнК и АнИФУ (гиперемия, кожный зуд, крапивница).
- Индивидуальные программы упражнений, проводимые под медицинским наблюдением.
- Обязательное наличие и при необходимости использование наборов самопомощи (раствор адреналина гидрохлорида 0,1%).
Пациенты с предшествующими эпизодами анафилаксии, индуцированной физической нагрузкой, должны быть направлены к специалисту для аллергологического обследования, обучения профилактике анафилаксии и оказанию самопомощи (противошоковые наборы для самопомощи с 0,1% раствором адреналина гидрохлорида) [69].
Современные международные согласительные документы и отечественные клинические рекомендации предлагают ступенчатый алгоритм к терапии ХнК. Согласно международным (EAACI/GA2LEN/EDF/WAO) и отечественным клиническим рекомендациям по лечению крапивницы, терапией первой линии является применение антигистаминных препаратов второго поколения в стандартных дозах [39]. Доказательная база клинической эффективности неседативных антигистаминных препаратов в стандартных и высоких дозах включает плацебоконтролируемое исследование британских учёных Института дерматологии Святого Иоанна (Лондон) [70], одно неконтролируемое (n=28) и два двойных слепых плацебоконтролируемых исследования учёных Университета Шарите (Берлин) [71–73]. Однако систематический анализ проспективных исследований эффективности антигистаминных препаратов в стандартных и высоких дозах при ХнК (общее число пациентов с ХнК составило 316 человек), проведённый C. Dressler с соавт. [74], указывает на высокий риск систематической ошибки и малую выборку исследований.
При неэффективности антигистаминных препаратов у пациентов с ХнК изучают возможность применения генно-инженерной биологической терапии омализумабом (рекомбинантные гуманизированные моноклональные IgG1-антитела, направленные против циркулирующих иммуноглобулинов класса E) [39], но в настоящее время ХнК не включена в официальные показания к применению омализумаба. В клинических исследованиях также изучается возможность применения лигелизумаба и дупилумаба при ХнК.
Доказательная база применения омализумаба при ХнК включает 1 рандомизированное слепое плацебоконтролируемое исследование, 3 проспективных, 3 ретроспективных исследования и 6 клинический случаев, однако данные исследования характеризовались малой выборкой и отличались режимами дозирования омализумаба (150–300 мг) [75–78]. По данным исследования M.N. Ghazanfar с соавт. [75], у 23 пациентов с ХнК после 6 мес терапии омализумабом отмечалось достоверное снижение тяжести заболевания. В двойном слепом плацебоконтролируемом исследовании G. Gastaminza и соавт. [76] после терапии омализумабом (300 мг) в течение 12 мес у 31,3% из 22 пациентов с ХнК наблюдались отрицательные результаты провокационных тестов с физической нагрузкой. Стоит заметить, что эффективность омализумаба у пациентов с ХнК выражена меньше, чем у пациентов с хронической спонтанной крапивницей. Имеются также указания на более медленный ответ на терапию омализумабом [76, 78] или даже её неэффективность у некоторых пациентов [79].
При тяжёлой ХнК рассматривается возможность применения циклоспорина. Предполагается, что механизм действия циклоспорина при ХнК основан на ингибировании IgE-индуцированного высвобождения гистамина из базофилов и тучных клеток. Опыт применения циклоспорина при ХнК ограничен единичными клиническими случаями [53]. При применении циклоспорина целесообразно проводить контроль артериального давления, а также мониторинг функции почек в связи с возможной токсичностью данного препарата.
Кроме того, в отдельных клинических случаях ХнК имеется опыт успешного лечения комбинацией бутилбромида скополамина с Н1-блокаторами [80], комбинацией антигистаминных препаратов, b-блокаторов и монтелукаста [81], ботулотоксином [82] и даназолом [83]. Обращает на себя внимание клинический случай, описанный A. Sheraz и соавт. [82], с длительной ремиссией ХнК после лечения ботулиническим токсином А с последующим рецидивом заболевания после завершения действия препарата.
В перспективе у пациентов с гиперчувствительностью к антигенам собственного пота изучается возможность применения десенсибилизации аутологичным потом. Пилотные исследования проведены группами японских учёных [84, 85], однако в клинической практике в настоящее время данный метод не применяется.
ЗАКЛЮЧЕНИЕ
Таким образом, ХнК является важной медико-социальной проблемой и перспективной областью для научных исследований. Остаются недостаточно изученными вопросы эпидемиологии заболевания в различных возрастных группах населения, а также у лиц, активно занимающихся спортом. Недавние достижения в изучении патогенеза ХнК открывают перспективы разработки принципов дифференциальной терапии с учётом патогенетических механизмов заболевания. Основными направлениями научного поиска при ХнК являются оптимизация диагностических подходов и разработка инновационных методов терапии.
ДОПОЛНИТЕЛЬНО
Источник финансирования. Исследование не имело финансовой поддержки.
Конфликт интересов. Борзова Е.Ю. подтверждает финансирование научного проекта от GlaxoSmithKline и получение гонораров за образовательные услуги от Novartis и Sanofi. Заборовой В.А. получена грантовая поддержка инициатив конкурса грантов Росмолодёжи на физкультурно-спортивный проект, направленный на привлечение студентов к здоровому образу жизни с использованием онлайн-технологий, «Марафон для жизни». Попова К.Ю., Рухадзе М.Т., Куровски М., Дарленски Р., Куршев В.В. подтверждают отсутствие конфликта интересов в отношении данной статьи.
Вклад авторов. Борзова Е.Ю., Попова К.Ю. ― написание текста рукописи и подготовка иллюстраций; Рухадзе М.Т. ― редакция статьи с позиций согласительных документов EAACI по аллергическим заболеваниям и спорту; Куровски М. ― обзор публикаций по диагностике и дифференциальной диагностике ХнК, редакция статьи; Дарленски Р. ― обзор публикаций по вкладу болгарских учёных в изучение ХнК у спортсменов, по патогенезу ХнК, редакция статьи; Заборова В.А. ― рекомендации для пациентов, занимающихся спортом, редакция статьи с учётом согласительных отечественных документов по дерматологическим заболеваниям и спорту; Куршев В.В. ― рекомендации для пациентов, занимающихся спортом, редакция статьи. Все авторы подтверждают соответствие своего авторства международным критериям ICMJE (разработка концепции, подготовка работы, одобрение финальной версии перед публикацией).
ADDITIONAL INFO
Funding source. The authors recieved no financial support for authorship, and/or publication of this article.
Competing interests. Borzova E.Yu. received research funding from GlaxoSmithKline and honoraria for educational services from Novartis and Sanofi. Zaborova V.A. received a grant support from the Rosmolodezh initiative grant competition for a sport project, focusing on student engagement in a healthy lifestyle using online technologies “Marathon for life”. Popova Ch.Yu., Rukhadze M.T., Kurowski M., Darlenski R., Kurshev V.V. declare no conflicts of interests regarding this article.
Author contribution. Borzova E.Yu., Popova Ch.Yu. ― prepared the manuscript and the figures; Rukhadze M.T. ― edited the manuscript according to the EAACI consensus documents on allergic diseases and sport; Kurowski M. ― reviewed of the publications on the diagnosis and differential diagnosis of CholU and edited the manuscript; Darlenski R. ― reviewed the publications on the research contribution on CholU in athletes by Bulgarian scientists and the CholU pathophysiology, edited the manuscript; Zaborova V.A. ― reviewed the recommendations for patients, who are actively engaged in sports, edited the manuscript according to the national recommendations on skin diseases and sport; Kurshev V.V. ― reviewed the recommendations for patients, who are actively engaged in sports, edited the manuscript. The authors made a substantial contribution to the conception of the work, acquisition, analysis of literature, drafting and revising the work, final approval of the version to be published and agree to be accountable for all aspects of the work.
1 По имени исследователей Karl Prausnitz (1876–1963) и Heinz Küstner (1897–1963), впервые выполнивших реакцию пассивного переноса сыворотки в 1921 г.
2 Анафилаксия ― жизнеугрожающая системная реакция гиперчувствительности, характеризуемая быстрым развитием потенциально жизнеугрожающих изменений гемодинамики и/или нарушений со стороны дыхательной системы. Возможно развитие анафилаксии с поражением кожи, слизистых и желудочно-кишечного тракта без гемодинамических и дыхательных нарушений [43].
3 Атопия —личная или наследственная предрасположенность к выработке антител IgE в ответ на низкие дозы аллергенов, обычно белков, и развитию типичных симптомов, таких как астма, риноконъюнктивит или экзема/дерматит [54].
4 Острый коронарный синдром (синдром Коуниса) проявляется нестабильной вазоспастической/невазоспастической стенокардией или острым инфарктом миокарда, вызванных высвобождением медиаторов воспаления вследствие аллергической реакции [63].
About the authors
Elena Yu. Borzova
I.M. Sechenov First Moscow State Medical University (Sechenov University); Veltischev Research and Clinical Institute for Pediatrics
Author for correspondence.
Email: eborzova@gmail.com
ORCID iD: 0000-0003-1587-9137
SPIN-code: 4779-7664
MD, Dr. Sci. (Med.), Professor
Russian Federation, 4/1 Bolshaya Pirogovskaya street, 119991, Moscow; MoscowChristina Yu. Popova
I.M. Sechenov First Moscow State Medical University (Sechenov University)
Email: popova.derm@gmail.com
ORCID iD: 0000-0002-7855-6207
Postgraduate Student
Russian Federation, 4/1 Bolshaya Pirogovskaya street, 119991, MoscowMarcin Kurowski
Medical University of Lodz
Email: marcin.kurowski@umed.lodz.pl
ORCID iD: 0000-0002-0653-7533
MD, Professor, Clinics of Immunology and Allergy
Poland, LodzMaia T. Rukhadze
Center of Allergy and Immunology; Teaching University Geomedi
Email: maiarukhadze@gmail.com
ORCID iD: 0000-0002-1413-8161
MD, Dr. Sci. (Med.), Professor
Georgia, Tbilisi; TbilisiRazvigor Darlenski
Trakia University
Email: darlenski@abv.bg
ORCID iD: 0000-0002-4220-8040
MD, Dr. Sci. (Med.)
Bulgaria, Stara ZagoraViktoriya A. Zaborova
I.M. Sechenov First Moscow State Medical University (Sechenov University)
Email: vaz111v@gmail.com
ORCID iD: 0000-0001-5044-1152
MD, Dr. Sci. (Med.), Professor
Russian Federation, 4/1 Bolshaya Pirogovskaya street, 119991, MoscowVladislav V. Kurshev
I.M. Sechenov First Moscow State Medical University (Sechenov University)
Email: kurshev.vlad@gmail.com
SPIN-code: 2766-3925
MD, Cand. Sci. (Med.), Assistant
Russian Federation, 4/1 Bolshaya Pirogovskaya street, 119991, MoscowReferences
- Araviyskaya ER, Sokolovsky EV, Gallyamova YuA. Russian Society of Dermatologists and Cosmetologists. Federal clinical guidelines for the management of patients with urticaria. Federal clinical guidelines. Dermatovenerology 2015: Skin diseases. Sexually transmitted infections. 5th ed. revised and updated. Moscow: Delovoy Express; 2016. 768 p. (In Russ).
- Danilycheva IV, Ilyina NI, Luss LV, et al. Federal clinical guidelines. Urticaria. Russian Allergological Journal. 2018;(5):47–62. (In Russ).
- Magerl M, Altrichter S, Borzova E, et al. The definition, diagnostic testing, and management of chronic inducible urticarias ― The EAACI/GA(2)LEN/EDF/UNEV consensus recommendations 2016 update and revision. Allergy. 2016;71(6):780–802. doi: 10.1111/all.12884
- Fukunaga A, Washio K, Hatakeyama M, et al. Cholinergic urticaria: epidemiology, physiopathology, new categorization, and management. Clin Auton Res. 2018;28(1):103–113. doi: 10.1007/s10286-017-0418-6
- Ruft J, Asady A, Staubach P, et al. Development and validation of the Cholinergic Urticaria Quality-of-Life Questionnaire (CholU-QoL). Clin Exp Allergy. 2018;48(4):433–444. doi: 10.1111/cea.13102
- Maurer M. Urticaria and angioedema. Chem Immunol Allergy. 2014;100:101–104. doi: 10.1159/000358614
- Duke WW. Urticaria caused specifically by the action of physical agents. J Am Med Assoc. 1924;5:3–9. doi: 10.1001/jama.1924.02660010007002
- Zuberbier T, Althaus C, Chantraine-Hess S, Czarnetzki BM. Prevalence of cholinergic urticaria in young adults. J Am Acad Dermatol. 1994;31(6):978–981. doi: 10.1016/s0190-9622(94)70267-5
- Godse K, Farooqui S, Nadkarni N, Patil S. Prevalence of cholinergic urticaria in Indian adults. Indian Dermatol Online J. 2013;4:62–63. doi: 10.4103/2229-5178.105493
- Moore-Robinson M, Warin RP. Some clinical aspects of cholinergic urticaria. Br J Dermatol. 1968;80(12):794–799. doi: 10.1111/j.1365-2133.1968.tb11948.x
- Rujitharanawong Ch, Tuchinda P, Chularojanamontri L, et al. Cholinergic urticaria: clinical presentation and natural history in a tropical country. BioMed Research International. 2020;1:6. doi: 10.1155/2020/7301652
- Mikhailov P, Berova N, Andreev VC. Physical urticaria and sport. Cutis. 1977;20(3):381–390.
- Kaplan AP, Gray L, Shaff RE, et al. In vivo studies of mediator release in cold urticaria and cholinergic urticaria. J Allergy Clin Immunol. 1975;55:394–402. doi: 10.1016/0091-6749(75)90078-0
- Dice JP. Physical urticaria. Immunol Allergy Clin North Am 2004;24:225–246. doi: 10.1016/j.iac.2004.01.005
- Sawada Y, Nakamura M, Hino R, Tokura Y. Cholinergic urticaria: studies on the muscarinic cholinergic receptor M3 in anhidrotic and hypohidrotic skin. J Investig Dermatol. 2010;130(11):2683–2686. doi: 10.1038/jid.2010.188
- Adachi J, Aoki T, Yamatodani A. Demonstration of sweat allergy in cholinergic urticaria. J Dermatol Sci. 1994;7(2):142–149. doi: 10.1016/0923-1811(94)90088-4
- Kurzen H, Schallreuter KU. Novel aspects in cutaneous biology of acetylcholine synthesis and acetylcholine receptors. Exp Dermatol. 2004;13(Suppl 4):27–30. doi: 10.1111/j.1600-0625.2004.00258.x
- Bito T, Sawada Y, Tokura Y. Pathogenesis of cholinergic urticaria in relation to sweating. Allergol Int. 2012;61(4):539–544. doi: 10.2332/allergolint.12-RAI-0485
- Commens CA, Greaves MW. Tests to establish the diagnosis in cholinergic urticaria. Br J Dermatol. 1978;98:47–51. doi: 10.1111/j.1365-2133.1978.tb07332.x
- Magnus IA, Thompson RH. Cholinesterase levels in the skin in cholinogenic urticaria and pruritus. Br J Dermatol. 1956;68:283–289. doi: 10.1111/j.1365-2133.1956.tb12819.x
- Takahashi K, Soda R, Kishimoto T, et al. The reactivity of dispersed human lung mast cells and peripheral blood basophils to acetylcholine. Arerugi. 1992;41:686–692.
- Sawada Y, Nakamura M, Bito T, et al. Decreased expression of acetylcholine esterase in cholinergic urticaria with hypohidrosis or anhidrosis. J Investig Dermatol. 2014;134:276–279. doi: 10.1038/jid.2013.244
- Shelley WB, Shelley ED, Ho AK. Cholinergic urticaria: acetylcholine-receptor-dependent immediate-type hypersensitivity reaction to copper. Lancet. 1983;1(8329):843–846. doi: 10.1016/s0140-6736(83)91386-7
- Horikawa T, Fukunaga A, Nishigori C. New concepts of hive formation in cholinergic urticaria. Curr Allergy Asthma Reports 2009;9:273–279. doi: 10.1007/s11882-009-0038-x
- Soter NA, Wasserman SI, Austen F, Regis McFadden E. Release of mast-cell mediators and alterations in lung function in patients with cholinergic urticaria. NEJM. 1980;302(11):604–608. doi: 10.1056/NEJM198003133021104
- Murphy GM, Greaves MW, Zollman PE, Winkelmann RK. Cholinergic urticaria, passive transfer experiments from human to monkey. Dermatologica. 1988;177(6):338–340. doi: 10.1159/000248603
- Illig L, Heinicke A. Zur Pathogenese der cholinergischen Urticaria. IV. Zur Frage einer echten Antigen-Antikörperreaktion [On the pathogenesis of cholinergic urticaria. IV. On the problem of a true antigen-antibody reaction]. Arch Klin Exp Dermatol. 1967;229(4):360–371.
- Sabroe RA, Grattan CE, Francis DM, et al. The autologous serum skin test: a screening test for autoantibodies in chronic idiopathic urticaria. Br J Dermatol. 1999;140:446–452. doi: 10.1046/j.1365-2133.1999.02707.x
- Takahagi S, Tanaka T, Ishii K, et al. Sweat antigen induces histamine release from basophils of patients with cholinergic urticaria associated with atopic diathesis. Br J Dermatol. 2009;160:426–428. doi: 10.1111/j.1365-2133.2008.08862.x
- Hiragun T, Ishii K, Hiragun M, et al. Fungal protein MGL_1304 in sweat is an allergen for atopic dermatitis patients. J Allergy Clin Immunol. 2013;132(608-615):e604. doi: 10.1016/j.jaci.2013.03.047
- Kobayashi H, Aiba S, Yamagishi T, et al. Cholinergic urticaria, a new pathogenic concept: hypohidrosis due to interference with the delivery of sweat to the skin surface. Dermatology. 2002;3:173–178. doi: 10.1159/000057877
- Abajian M, Schoepke N, Altrichter S, et al. Physical urticarias and cholinergic urticarias. Immunol Allergy Clin North Am 2014;34(1):73–88. doi: 10.1016/j.iac.2013.09.010
- Dai X, Okazaki H, Hanakawa Y, et al. Eccrine sweat contains IL-1a, IL-1b and IL-31 and activates epidermal keratinocytes as a danger signal. PLoS One. 2013;8(7):e67666. doi: 10.1371/journal.pone.0067666
- Nakamizo S, Egawa G, Miyachi Y, Kabashima K. Cholinergic urticaria: pathogenesis-based categorization and its treatment options. J Eur Acad Dermatol Venereol. 2011;26:114–116. doi: 10.1111/j.1468-3083.2011.04017.x
- James MP, Eady RA, Kobza-Black A, et al. Physical urticaria: a microscopical and pharmacological study of mast cell involvement, abstracted. J Invest Dermatol. 1980;74:451.
- Haas N, Schadendorf D, Henz BM. Differential endothelial adhesion molecule expression in early and late whealing reactions. Int Arch Allergy Immunol. 1998;115(3):210–214. doi: 10.1159/000023902
- Winkelmann RK. The histology and immunopathology of dermographism. J Cutan Pathol. 1985;12(6):486–492. doi: 10.1111/j.1600-0560.1985.tb00447.x
- Federal clinical guidelines for the treatment of urticaria. Russian Association of Allergologists and Immunologists; 2019. (In Russ).
- Zuberbier T, Aberer W, Asero R, et al. The EAACI/GA2LEN/EDF/WAO guideline for the definition, classification, diagnosis and management of urticaria. Allergy. 2018;73:1393–1414. doi: 10.1111/all.13397
- Maurer M, Fluhr JW, Kha DA. How to approach chronic inducible urticaria. J Allergy Clin Immunol Pract. 2018;6(4):1119–1130. doi: 10.1016/j.jaip.2018.03.007
- Komarow HD, Arceo S, Young M, et al. Metcalfe dissociation between history and challenge in patients with physical urticaria. J Allergy Clin Immunol Pract. 2014;2(6):786–790. doi: 10.1016/j.jaip.2014.07.008
- Vadas P, Sinilaite А, Chaim M. Cholinergic urticaria with anaphylaxis: an underrecognized clinical entity. J Allergy Clin Immunol Pract. 2016;4(2):284–291. doi: 10.1016/j.jaip.2015.09.021
- Montgomery MD. Cholinergic urticaria and exercise-induced anaphylaxis. Curr Sports Med Rep. 2015;14(1):61–63. doi: 10.1249/jsr.0000000000000111
- Ilyina NI, Zabolotskikh IB, Astafyeva NG, et al. Anaphylactic shock. Clinical recommendations of the Russian Association of Allergologists and Clinical Immunologists and the All-Russian Public organization “Federation of Anesthesiologists and Resuscitators”. Bulletin of Intensive care named after A.I. Saltanov. 2020;(3):15–26. (In Russ). doi: 10.21320/1818-474X-2020-3-15-26
- Petalas K, Kontou-Fili K, Gratziou C. Bronchial hyperresponsiveness in patients with cholinergic urticaria. Ann Allergy Asthma Immunol. 2009;102(5):416–421. doi: 10.1016/S1081-1206(10)60514-5
- Mayou SC, Kobza Black A, Eady RA, Greaves MW. Cholinergic dermographism. Br J Dermatol. 1986;115(3):371–377. doi: 10.1111/j.1365-2133.1986.tb05754.x
- Oda Y, Fukunaga A, Tsujimoto M, et al. Combined cholinergic urticaria and cold-induced cholinergic urticaria with acquired idiopathic generalized anhidrosis. Allergol Int. 2015;64:214–215. doi: 10.1016/j.alit.2014.12.004
- Maltseva N, Borzova E, Fomina D, et al. COLD-CE steering committee. Cold urticarial ― What we know and what we do not know. Allergy. 2021;76(4):1077–1094. doi: 10.1111/all.14674
- Murphy GM, Black AK, Greaves MW. Persisting cholinergic erythema: a variant of cholinergic urticaria. Br J Dermatol. 1983;109(3):343–348. doi: 10.1111/j.1365-2133.1983.tb03551.x
- Shoenfeld Y, Harari Z, Sheonfeld Y, Keren G. Cholinergic urticaria. A seasonal disease. Arch Intern Med. 1981;141:1029–1030. doi: 10.1001/archinte.141.8.1029
- Rho NK. Cholinergic urticaria and hypohidrosis: a clinical reappraisal. Dermatology. 2006;213:357–358. doi: 10.1159/000096205
- Altrichter S, Koch K, Church MK, Maurer M. Atopic predisposition in cholinergic urticaria patients and its implications. J Eur Acad Dermatol Venereol. 2016;30:2060–2065. doi: 10.1111/jdv.13765
- Washio K, Fukunaga A, Onodera M, et al. Clinical characteristics in cholinergic urticaria with palpebral angioedema: report of 15 cases. J Dermatol Sci. 2017;85:135–137. doi: 10.1016/j.jdermsci.2016.11.001
- Anaphylactic shock. In: Allergology. Federal clinical recommendations. Ed. by R.M. Khaitov, N.I. Ilyina. Moscow: Farmarus Print Media; 2014. Р. 35–47. (In Russ).
- Itakura A, Tani Y, Kaneko N, Hide M. Impact of chronic urticaria on quality of life and work in Japan: Results of a real-world study. J Dermatol. 2018;45(8):963–970. doi: 10.1111/1346-8138.14502
- Poon E, Seed PT, Greaves MW, Kobza-Black A. The extent and nature of disability in different urticarial conditions. Br J Dermatol. 1999;140(4):667–671. doi: 10.1046/j.1365-2133.1999.02767.x
- Borzova EY. Diagnosis of chronic induced urticarial. Russian Allergological Journal. 2019;16(2):5–13. (In Russ).
- Kiistala R, Kiistala U. Local cholinergic urticaria at methacholine test site. Acta Derm Venereol. 1997;77(1):84–85.
- Volcheck GW, Li JT. Exercise-induced urticaria and anaphylaxis. Mayo Clin Proc. 1997;72(2):140–147. doi: 10.4065/72.2.140
- Payls JD, Cross D. Food-dependent exercise-induced anaphylaxis to corn. J Allergy Clin Immunol. 1998;101:853–854. doi: 10.1016/s0091-6749(98)70317-3
- Bonini M, Palange P. Anaphylaxis and sport. Curr Opin Allergy Clin Immunol. 2014;14(4):323–327. doi: 10.1097/ACI.0000000000000074
- Bennett JR. Anaphylaxis attributed to exercise: considerations for sports medicine specialists. Phys Sportsmed. 2015;43(1):1–12. doi: 10.1080/00913847.2015.1000233
- Maulitz RM, Pratt DS, Schocket AL. Exercise-induced anaphylactic reaction to shellfish. J Allergy Clin Immunol. 1979;63(6):433–434. doi: 10.1016/0091-6749(79)90218-5
- Foong R, Giovannini M, Toit G. Food-dependent exercise-induced anaphylaxis. Curr Opin Allergy Clin Immunol. 2019;19(3):224–228. doi: 10.1097/ACI.0000000000000531
- Kounis NG, Kounis GN, Soufras GD. Exercise-induced urticaria, cholinergic urticaria, and Kounis syndrome. J Pharmacol Pharmacother. 2016;7(1):48–50. doi: 10.4103/0976-500X.179355
- Castells MC, Horan RF, Sheffer AL. Exercise-induced anaphylaxis. Curr Allergy Asthma Rep. 2003;3(1):15–21. doi: 10.1007/s11882-003-0005-x
- Luong KV, Nguyen LT. Aquagenic urticaria: report of a case and review of the literature. Ann Allergy Asthma Immunol. 1998;80:483–485. doi: 10.1016/S1081-1206(10)63071-2
- Kawakami Y, Gokita M, Fukunaga A, Nishigori C. Refractory case of adrenergic urticaria successfully treated with clotiazepam. J Dermatol. 2015;42:635–637. doi: 10.1111/1346-8138.12855
- Muraro A, Roberts G, Worm M, et al. EAACI Food Allergy and Anaphylaxis Guidelines Group. Anaphylaxis: guidelines from the European Academy of Allergy and Clinical Immunology. Allergy. 2014;69(8):1026–1045. doi: 10.1111/all.12437
- Kobza Black A, Aboobaker J, Gibson JR, et al. Acrivastine versus hydroxyzine in the treatment of cholinergic urticaria. A placebo-controlled study. Acta Dermatovenereol. 1988;68:541–544.
- Zuberbier T, Aberer W, Burtin B, et al. Efficacy of cetirizine in cholinergic urticaria. Acta Dermatovenereol. 1995;75:147–149. doi: 10.2340/0001555575147149
- Zuberbier T, Munzberger C, Haustein U, et al. Double-blind crossover study of high-dose cetirizine in cholinergic urticaria. Dermatology. 1996;193:324–327. doi: 10.1159/000246281
- Wosny K, Weller K, Werner A, et al. Antihistamine updosing reduces disease activity in difficult-to-treat cholinergic urticaria patients. J Allergy Clin Immunol. 2016;138(5):1483–1485.e9. doi: 10.1016/j.jaci.2016.05.026
- Dressler C, Werner RN, Eisert L, et al. Maurer M. Chronic inducible urticaria: a systematic review of treatment options. J Allergy Clin Immunol. 2018;141(5):1726–1734. doi: 10.1016/j.jaci.2018.01.031
- Ghazanfar MN, Holm JG, Thomsen SF. Omalizumab for cholinergic urticaria: 6 months prospective study and systematic review of the literature. Dermatol Ther. 2020;33(6):e14010. doi: 10.1111/dth.14010
- Gastaminza G, Azofra J, Nunez-Cordoba JM, et al. Efficacy and safety of omalizumab (xolair) for cholinergic urticaria in patients unresponsive to a double dose of antihistamines: a randomized mixed double-blind and open-label placebo-controlled clinical trial. J Allergy Clin Immunol Pract. 2019;7(5):1599–1609.e1. doi: 10.1016/j.jaip.2018.12.025
- Metz M, Ohanyan T, Church MK, Maurer M. Omalizumab is an effective and rapidly acting therapy in difficult-to-treat chronic urticaria: a retrospective clinical analysis. J Dermatol Sci. 2014;73(1):57–56. doi: 10.1016/j.jdermsci.2013.08.011
- Maurer M, Metz M, Brehler R, et al. Omalizumab treatment in patients with chronic inducible urticaria: a systematic review of published evidence. J Allergy Clin Immunol. 2018;141(2):638–649. doi: 10.1016/j.jaci.2017.06.032
- Sabroe RA. Failure of omalizumab in cholinergic urticaria. Clin Exp Dermatol. 2010;35(4):e127–129. doi: 10.1111/j.1365-2230.2009.03748.x
- Ujiie H, Shimizu T, Natsuga K, et al. Severe cholinergic urticaria successfully treated with scopolamine butylbromide in addition to antihistamines. Clin Exp Dermatol. 2006;31(4):588–589. doi: 10.1111/j.1365-2230.2006.02117.x
- Feinberg JH, Toner CB. Successful treatment of disabling cholinergic urticaria. Mil Med 2008;173(2):217–220. doi: 10.7205/milmed.173.2.217
- Sheraz A, Halpern S. Cholinergic urticaria responding to botulinum toxin injection for axillary hyperhidrosis. Br J Dermatol. 2013;168(6):1369–1370. doi: 10.1111/bjd.12200
- La Shell MS, England RW. Severe refractory cholinergic urticaria treated with danazol. J Drugs Dermatol. 2006;5(7):664–667.
- Kozaru T, Fukunaga A, Taguchi K, et al. Rapid desensitization with autologous sweat in cholinergic urticaria. Allergol Int. 2011;60(3): 277–281. doi: 10.2332/allergolint.10-OA-0269
- Tanaka T, Ishii K, Suzuki H, et al. Cholinergic urticaria successfully treated by immunotherapy with partially purified sweat antigen. Arerugi. 2007;56:54–57.
Supplementary files




