Lichen sclerosus as a variant of limited scleroderma with damage to the anogenital region
- Authors: Bagramova G.E.1, Snarskaya E.S.2, Shnakhova L.M.2, Semenchak Y.A.2
-
Affiliations:
- Peoples’ Friendship University of Russia
- The First Sechenov Moscow State Medical University (Sechenov University)
- Issue: Vol 24, No 3 (2021)
- Pages: 243-250
- Section: DERMATOLOGY
- Submitted: 06.06.2021
- Accepted: 22.08.2021
- Published: 15.06.2021
- URL: https://rjsvd.com/1560-9588/article/view/71340
- DOI: https://doi.org/10.17816/dv71340
- ID: 71340
Cite item
Full Text
Abstract
Lichen sclerosus is one of the clinical variants of limited scleroderma, a feature of which is the defeat of the anogenital zone. The issues of the etiology and pathogenesis of lichen sclerosus remain not fully understood, despite numerous studies in which the polygenic nature of inheritance and multifactoriality in the implementation of dermatosis are noted.
With the progression of the scleroatrophic process and the absence of timely pathogenetic therapy, there is a high probability of the development of comorbid pathology with a whole range of symptoms, such as urinary (dysuria, recurrent urinary tract infections - cystitis, urethritis, cystourethritis), gastrointestinal (pain during defecation, chronic constipation), vaginal severe dryness and increased sensitivity of the vaginal mucosa, burning, itching).
Treatment of patients with lichen sclerosus with lesions of the anogenital zone causes great difficulties. In cases of isolated localization of scleroatrophic lesions of anogenital localization, difficulties may arise in the differential diagnosis with diseases of similar localization, such as vitiligo, atrophic lichen planus, basal cell carcinoma, contact dermatitis, nonspecific balanoposthitis, Keir's erythroplasia. Treatment of limited scleroderma, the clinical variant of which is lichen sclerosus, should be multi-course and complex, with the obligatory use of penicillin antibiotics, hyaluronidase-based drugs, drugs that improve microcirculation, vitamins, immunoregulators and physiotherapeutic methods.
Thus, early diagnosis and timely pathogenetic therapy contribute to the prevention of the risks of developing genitourinary syndrome, progression of tissue sclerosis, and psychoemotional disorders.
This article presents a clinical case of diagnosis and treatment of a patient with lichen sclerosus.
Full Text
ВВЕДЕНИЕ
Особый интерес представляет один из клинических вариантов ограниченной склеродермии ― склероатрофический лихен ― хронический аутоиммунный дерматоз, поражающий кожные покровы и ткани аногенитальной области [1, 2].
Склероатрофический лихен аногенитальной локализации встречается у женщин в 3 раза чаще, чем у мужчин [3, 4]. В гинекологической практике частота встречаемости склероатрофического лихена вульвы составляет 17 случаев на 1000 населения [3], согласно литературным данным ― 146 случаев на 1000 000 женщин в год [5]. Однако, учитывая сложности диагностики, распространённость склероатрофических поражений аногенитальной зоны может быть выше, чем в представленных исследованиях.
Склероатрофический лихен с поражением аногенитальной области может развиться в любом возрасте, при этом пик заболеваемости у женщин приходится на возраст 45–55 лет (климактерический и/или постклимактерический период), у мужчин ― после 40 лет [1–5].
Вопросы этиологии и патогенеза склероатрофического лихена остаются не до конца изученными, несмотря на многочисленные исследования, в которых отмечается полигенный характер наследования и мультифакториальность в реализации дерматоза [1–5] .
Спектр жалоб, предъявляемых больными со склероатрофическими поражениями генитальной локализации, может быть достаточно вариабельным ― от целого спектра ощущений до полного их отсутствия. Основными жалобами на пике развития склероза являются косметические дефекты кожи и слизистой оболочки с потерей их анатомической структуры, болезненность, умеренный зуд, ощущение «ползающих мурашек», однако в ряде случаев поражение аногенитальной локализации может развиться в начале заболевания инкогнито.
При прогрессировании склероатрофического процесса и отсутствии своевременной патогенетической терапии высока вероятность развития коморбидной патологии с целым спектром симптомов. Так, сопровождающие прогрессирование и распространение процесса уринарные симптомы включают развитие дизурии и рецидивирующих инфекций мочеполовых путей (цистит, уретрит, цистоуретрит). Спектр гастроинтестинальных проявлений включает болезненность при акте дефекации и хронические запоры. Наиболее значительными могут быть вагинальные симптомы, когда пациентки отмечают выраженную сухость и повышенную чувствительность слизистой влагалища, жжение и постоянный зуд [6, 7]. При прогрессировании склероза развиваются эрозии и трещины в аногенитальной зоне. Выраженные вагинальные симптомы обусловливают развитие сексуальной дисфункции, что проявляется отсутствием лубрикации, диспареунией и, соответственно, психосоматическими расстройствами [1, 6, 7].
В случаях изолированной локализации склеро- атрофических поражений аногенитальной локализации могут возникнуть сложности в дифференциальной диагностике с заболеваниями аналогичной локализации, такими как витилиго, атрофическая форма красного плоского лишая, базальноклеточный рак, контактный дерматит, неспецифический баланопостит, эритроплазия Кейра [1].
Типичная клиническая картина склероатрофических поражений аногенитальной локализации представлена чётко контурированными очагами атрофии белесоватой окраски с перламутровым или ливидным оттенком. Очаги поражения могут быть единичными и множественными, иметь различные очертания (округлые, овальные, линейные, неправильные) и цвет (от ярко-розового до белого с желтоватым оттенком в зависимости от стадии заболевания). Поверхность очагов имеет восковидный блеск, периферическая зона при этом цианотичная. В зависимости от стадии патологического процесса могут быть выражены явления индурации или атрофии [1, 2, 5–7].
Клиническая картина склероатрофических поражений у женщин имеет ряд характерных топографических признаков. Так, по нашим данным, в 68,6% случаев страдают ткани вульвы, в 21,6% наблюдается сочетанное поражение тканей вульвы и перианальной области, в 9,8% ― изолированное поражение перианальной области. Склероатрофические изменения аногенитальной области охватывают кожу зоны лобка (65,2%), малых (91,3%) и больших (84,8%) половых губ, клитор (71,4%), наружное отверстие мочеиспускательного канала (71,4%), вход во влагалище (86,8%), а также ткани промежности (76,1%) и перианальной области (47%) [6].
Прогрессирование заболевания у женщин приводит к потере структуры вульвы или даже её редукции [6]. Следует отметить, что склероатрофический лихен вульвы с эрозиями и хроническим гиперкератозом в ряде случаев может осложниться развитием плоскоклеточной карциномы [8].
У мужчин клиническая картина склероатрофических поражений имеет ряд своих топографических особенностей. По нашим данным, наиболее часто (72,7%) встречаются случаи изолированного поражения наружных половых органов, значительно реже (27,3%) ― сочетанные поражение наружных половых органов и перианальной области. Обращают на себя внимание преимущественная локализация склероза на коже головки полового члена (81,8%), в том числе склероз тканей уздечки (54,5%) и губок уретрального канала (45,5%). Несколько реже развивается склероз кожи ствола полового члена (27,3%), перианальной области (27,3%), мошонки (18,3%) [6].
Прогрессирование склероатрофического процесса у мужчин приводит к истончению крайней плоти, сужению и стриктуре уретры; высока вероятность развития парафимоза и фимоза. Плоскоклеточная карцинома полового члена является серьёзным осложнением при склероатрофическом лихене данной локализации [9].
Лечение больных склероатрофическим лихеном с поражением аногенитальной зоны вызывает большие трудности, прежде всего ввиду локализации процесса и часто ошибочной диагностики, что приводит к быстрому прогрессированию и распространению процесса. Согласно стандартам оказания медицинской помощи (Клинические рекомендации по дерматовенерологии, 2020, РОДВК), лечение ограниченной склеродермии, клиническим вариантом которой является склероатрофический лихен, должно быть многокурсовым и комплексным, с обязательным использованием антибиотиков пенициллинового ряда, препаратов на основе гиалуронидазы, препаратов, улучшающих микроциркуляцию, витаминов, иммунорегуляторов, физиотерапевтических методов лечения [1, 2, 6, 10, 11].
ОПИСАНИЕ КЛИНИЧЕСКОГО СЛУЧАЯ
Больная С., 49 лет, обратилась с жалобами на высыпания на кожных покровах туловища и аногенитальной области, сопровождающиеся чувством зуда, сухости, стянутости кожи в области наружных половых органов.
Анамнез жизни. Родилась в 1972 г. в Москве, работает бухгалтером. Из перенесённых заболеваний ― ветряная оспа. Хронические заболевания: гипертоническая болезнь, хронический аднексит, дискинезия желчевыводящих путей. Аллергический анамнез не отягощён. Приём алкоголя и наркотических веществ отрицает.
Анамнез заболевания. Считает себя больной в течение 4 лет, когда впервые отметила появление пятен на коже спины. Обратилась к врачу спустя год, после проявления новых высыпаний. В кожно-венерологическом диспансере по месту жительства был поставлен диагноз ограниченной склеродермии, по поводу которого получила два курса лечения с положительным эффектом. Последнее ухудшение наступило несколько месяцев назад, когда пациентка отметила увеличение размеров старых очагов и появление свежих на коже боковых поверхностей туловища, задней поверхности шеи и паховых складках. В это же время пациентка стала отмечать сухость и умеренный зуд в области гениталий, однако не обратила на эти явления внимания. Самостоятельно применяла топические препараты (Акридерм, троксевазин, крем с витамином F) ― без эффекта. В связи с торпидностью и распространённостью кожного процесса обратилась в клинику кожных и венерических болезней имени В.А. Рахманова и была госпитализирована для подтверждения диагноза и лечения.
Локальный статус при осмотре. Общее состояние больной удовлетворительное.
Кожный процесс носит распространённый хронический подостровоспалительный характер. Высыпания в области шеи, спины, на боковых поверхностях туловища представлены атрофическими пятнами цвета слоновой кости, диаметром до 20 см, неправильных очертаний. Высыпания в области вульвы представлены атрофическими пятнами цвета слоновой кости, округ-лых неправильных очертаний, плотноватой консистенции, сиреневато-перламутрового цвета. Кожа вне очагов поражения бледная, повышенной влажности. Тургор и эластичность соответствуют возрасту. Волосы, ногтевые пластинки кистей и стоп не изменены. Лимфатические узлы не увеличены.
Кожный счёт по Родману 19 баллов, что соответствует 2-й степени тяжести кожного процесса; индекс активности 3 балла, индекс степени поражения и атрофии половых органов и перианальной области 13 баллов (рис. 1–3).
Рис. 1. Больная С., 49 лет. Диагноз: склероатрофический лихен экстрагенитальной и аногенитальной локализации. Множественные склероатрофические очаги на коже молочных желёз. / Fig. 1. Patient S., 49 years old. Diagnosis: lichen sclerosis of extragenital and anogenital localization. Multiple scleroatrophic foci on the skin of the mammary glands.
Рис. 2. Та же больная. Распространённые склероатрофические поражения экстрагенитальной локализации (кожа спины, боковые поверхности туловища, шеи). Кожный счёт по Родману 19 баллов, 2-я степень тяжести процесса; индекс активности 3 балла; индекс степени поражения и атрофии половых органов и перианальной области 13 баллов. / Fig. 2. The same patient. Common scleroatrophic lesions of extragenital localization (skin of the back, lateral surfaces of the trunk, neck). Rodman skin score 19 points, 2 degree of severity of the process, activity index 3 points, index of the degree of damage and atrophy of the genitals and perianal region 13 points.
Рис. 3. Та же больная. Распространённые склероатрофические поражения аногенитальной локализации с поражением больших, малых половых губ, зоны клитора, задней спайки с переходом на зону ануса. / Fig. 3. The same patient. Common scleroatrophic lesions of anogenital localization with lesions of the labia majora, labia minora, clitoris, posterior adhesions with the transition to the anus.
Результаты лабораторных исследований. Показатели клинического и биохимического анализа крови, а также общего анализа мочи в пределах референсных значений.
Ревмопробы: антистрептолизин О ― 600 в 1 мл, С-реактивный белок отрицательный, ревматоидный фактор отрицательный. Антитела к боррелиям IgG, IgM отрицательные; антитела к Scl-70 отрицательные; антицентромерные антитела отрицательные. Анализы на гепатиты В и С, ВИЧ, сифилис отрицательные.
При проведении исследований на инфекции, передающиеся половым путём (ПЦР-диагностика), обнаружены Chlamydia trachomatis; ДНК ВПЧ 16-го типа; ДНК ВПЧ 31-го типа.
Флороценоз урогенитального тракта: обращает внимание соотношение концентрации ДНК микроорганизмов (ДНК Bacteria 6×108 ГЭ/мл, ДНК Lactobacillus spp. 1×108ГЭ/мл, ДНК Gardnerella vaginalis 5×107 ГЭ/мл, ДНК Atopobium vaginae 1×107 ГЭ/мл, ДНК Enterobacteriaceae 5×103 ГЭ/мл), что соответствует бактериальному вагинозу.
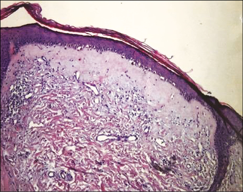
Результат гистологических исследований. Образец № 1 (кожа боковой поверхности живота): гистологические изменения в препарате соответствуют склероатрофическому лихену. Образец № 2 (кожа аногенитальной области): гистологические изменения в препарате соответствуют склероатрофическому лихену (рис. 4).
Рис. 4. Та же больная. Патоморфологическая картина склероатрофических поражений аногенитальной локализации (окраска гематоксилином и эозином, ×40). / Fig. 4. The same patient. Pathomorphological picture of scleroatrophic lesions of anogenital localization (staining with hematoxylin and eosin, ×40).
Консультация гинеколога: выраженные склеро-атрофические изменения наружных половых органов; бактериальный вагиноз; диспанурия.
Клинический диагноз. Склероатрофический лихен экстрагенитальной и аногенитальной локализации. Кожный счёт по Родману 19 баллов, 2-я степень тяжести процесса; индекс активности 3 балла; индекс степени поражения и атрофии половых органов и перианальной области 13 баллов.
Лечение и исходы. В клинике проведена комплексная многокурсовая терапия, согласно клиническим рекомендациям по дерматовенерологии (2020). Комплексная терапия включала:
- инъекции бензилпенициллина натриевой соли в дозе 500 000 ЕД 4 раза в сутки внутримышечно в течение 10 дней (курсовая доза 20 млн ЕД);
- Трентал в дозе 100 мг по 1 таблетке 3 раза в сутки в течение 1 мес;
- бовгиалуронидаза азоксимер в виде вагинальных суппозиториев в дозировке 3000 ЕД 1 раз в сутки каждые 3 дня до курсовой дозы 30 000 ЕД;
- наружно гель Фагогин с бактериофагами по 5–7 мл 2 раза в день в течение 1 мес;
- три сеанса фотодинамической терапии в аногенитальной зоне с использованием фотосенсибилизатора глутамиламидоэтил индола с диапазоном излучения длины волны 660 нм, что соответствует красному спектру световой волны, мощностью излучения 40–70 мВт/см2 (однократная доза составляла 80 Дж/см2), длительностью воздействия 10 мин.
После 3-го курса комплексной терапии отмечалось выраженное уменьшение плотности очагов, отсутствовали рост старых и появление новых очагов. Больная получила 3 курса комплексной терапии с интервалом 1,5 мес.
Пациентка находится на диспансерном учёте; планируется проведение очередного курса лечения.
ЗАКЛЮЧЕНИЕ
Большой клинический интерес вызывают случаи склероатрофического лихена, которые ранее считались довольно редкими и в клинической классификации были отнесены к редким клиническим вариантам ограниченной склеродермии. Согласно литературным данным, в последние десятилетия отмечается значительный рост числа случаев заболевания склероатрофическим лихеном, особенно его распространённых форм с поражением тканей аногенитальной зоны. В целом ряде случаев больные со склеро-атрофическими поражениями аногенитальной зоны оказываются пациентами смежных специалистов (акушеров-гинекологов, урологов, косметологов), которые расценивают изменения тканей как косметический дефект, что приводит к поздней диагностике склеродермии и ошибочной тактике ведения пациентов.
Ранняя диагностика поражений склероатрофическим лихеном аногенитальной локализации и проведение многокурсовой комплексной терапии являются актуальными, прежде всего с позиций профилактики рисков развития генитоуринарного синдрома, прогрессирования склероза тканей, а также психоэмоциональных нарушений у больных.
ДОПОЛНИТЕЛЬНО
Источник финансирования. Авторы заявляют об отсутствии внешнего финансирования при подготовке статьи.
Конфликт интересов. Авторы декларируют отсутствие явных и потенциальных конфликтов интересов, связанных с публикацией настоящей статьи.
Вклад авторов. Г.Э. Баграмова — обзор литературы, подготовка и написание текста; Е.С Снарская , Ю.А. Семенчак — проведение исследования, подготовка и написание текста; Л.М. Шнахова — сбор и анализ литературных источников, подготовка и написание текста. Все авторы подтверждают соответствие своего авторства международным критериям ICMJE (разработка концепции, подготовка работы, одобрение финальной версии перед публикацией).
Согласие пациентов. Пациент добровольно подписал информированное согласие на публикацию персональной медицинской информации в обезличенной форме в журнале «Российский журнал кожных и венерических болезней».
ADDITIONAL INFO
Funding source. This work was not supported by any external sources of funding.
Competing interests. The authors declare that they have no competing interests.
Author contribution. G.E. Bagramova — review of lite-rature, preparation and writing of the text; E.S Snarskaya, Yu.A. Semenchak — research, preparation and writing of the text; L.M. Shnakhova — collection and analysis of literary sources, preparation and writing of the text. The authors made a substantial contribution to the conception of the work, acquisition, analysis of literature, drafting and revising the work, final approval of the version to be published and agree to be accountable for all aspects of the work.
Patients permission. The patient voluntarily signed an informed consent to the publication of personal medical information in depersonalized form in the journal “Russian journal of skin and venereal diseases”.
About the authors
Gayane E. Bagramova
Peoples’ Friendship University of Russia
Email: bagramovaga@mail.ru
ORCID iD: 0000-0003-4615-7356
SPIN-code: 2687-8252
MD, Dr. Sci. (Med.), Professor
Russian Federation, MoscowElena S. Snarskaya
The First Sechenov Moscow State Medical University (Sechenov University)
Email: snarskaya-dok@mail.ru
ORCID iD: 0000-0002-7968-7663
SPIN-code: 3785-7859
Scopus Author ID: 8714450500
MD, Dr. Sci. (Med.), Professor
Russian Federation, 2 building 2 st. Bolshaya Pirogovskaya, 119992, MoscowLydia M. Shnakhova
The First Sechenov Moscow State Medical University (Sechenov University)
Email: Lika-slm@mail.ru
ORCID iD: 0000-0003-3000-0987
assistant
Russian Federation, 2 building 2 st. Bolshaya Pirogovskaya, 119992, MoscowYulia A. Semenchak
The First Sechenov Moscow State Medical University (Sechenov University)
Author for correspondence.
Email: y.semenchak@bk.ru
ORCID iD: 0000-0002-6608-0301
SPIN-code: 8580-1871
MD, Cand. Sci. (Med.), Assistant
Russian Federation, 2 building 2 st. Bolshaya Pirogovskaya, 119992, MoscowReferences
- Snarskaya ES, Semenchuk YA. Scleroatrophic lichen of anogenital localization: clinical and morphological, differential diagnostic features and a comprehensive method of treatment. RMJ. Medical Review. 2019;3(12):9–12. (In Russ).
- Kirtschig G. Lichen sclerosus — presentation, diagnosis and management. Dtsch Arztebl. 2016;113:337–343. doi: 10.3238/arztebl.2016.0337
- Goldstein AT, Marinoff SC, Christopher K, et al. Prevalence of vulvar lichen sclerosus in a general gynecology practice. J Reprod Med. 2005;50(7):477–480.
- Kizer WS, Prarie T, Morey AF. Balanitis xerotica obliterans: epidemiologic distribution in an equal access health care system. South Med J. 2003;96(1):9–11. doi: 10.1097/00007611-200301000-00004
- Fistarol SK, Itin PH. Diagnosis and treatment of lichen sclerosus: an update. Am J Clin Dermatol. 2013;14(1):27–47. doi: 10.1007/s40257-012-0006-4
- Snarskaya ES, Semenchuk YA. Gender and clinical and topographic features of the anogenital zone lesion in patients with limited scleroderma. Russian Journal of Skin and Venereal Diseases. 2020;23(3):165–173. (In Russ). doi: 10.17816/dv48930
- Ignatovsky AV, Agakishizade NE. Scleroatrophic lichen of the vulva and genitourinary syndrome: issues of diagnosis and treatment. Medical Alphabet. 2019;1(7):39–41. (In Russ). doi: 10.33667/2078-5631-2019-1-7(382)-39-41
- Bleeker MC, Visser PJ, Overbeek LI, et al. Lichen sclerosus: Incidence and risk of vulvar squamous cell carcinoma. Cancer Epidemiol Biomark Prev. 2016;25(8):1224–1230. doi: 10.1158/1055-9965.epi-16-0019
- Weyers W. Hypertrophic Lichen sclerosus with dyskeratosis and parakeratosis ― a common presentation of vulvar Lichen sclerosus not associated with a significant risk of malignancy. Am J Dermatopatho. 2013;35(7):713–721. doi: 10.1097/dad.0b013e31827e7ea9
- Akel R, Fuller C. Updates in lichen sclerosis: British Association of Dermatologists guidelines for the management of lichen sclerosus 2018. Br J Dermatol. 2018;178(4):823–824. doi: 10.1111/bjd.16445
- Russian Society of Dermatovenerologists and Cosmetologists. Federal clinical guidelines. Dermatovenerology. 2020 [Accessed: 12.02.2021]. (In Russ). Available from: https://www.rodv.ru/klinicheskie-rekomendacii/
Supplementary files






