Atypical fibroxanthoma of the skin
- Authors: Vertieva E.Y.1, Tertychnyy A.S.1, Tsoy L.V.1, Khorosheva D.A.1, Bocharova T.M.2
-
Affiliations:
- The First Sechenov Moscow State Medical University (Sechenov University)
- Saratov State Medical University named after V.I. Razumovsky
- Issue: Vol 28, No 3 (2025)
- Pages: 233-239
- Section: DERMATO-ONCOLOGY
- Submitted: 24.03.2025
- Accepted: 02.06.2025
- Published: 27.07.2025
- URL: https://rjsvd.com/1560-9588/article/view/677697
- DOI: https://doi.org/10.17816/dv677697
- EDN: https://elibrary.ru/MFHYSI
- ID: 677697
Cite item
Abstract
Atypical fibroxanthomas are rare cutaneous neoplasms classified among fibrohistiocytic tumors. They most commonly develop in elderly individuals with a history of chronic sun damage and are typically located on the head, shoulders, and upper back. Atypical fibroxanthoma is frequently associated with other skin tumors and is characterized by locally destructive growth with extremely rare metastases (1%–2% of cases). However, in immunosuppressed patients, the tumor may demonstrate more aggressive behavior. The clinical presentation of atypical fibroxanthoma is nonspecific. It appears as a pink or reddish-pink nodule or papule. Atypical fibroxanthoma lacks specific dermatoscopic features; common findings include polymorphous vessels (linear, dotted, glomerular, arborizing) and chrysalis structures, which are not sufficient to reliably differentiate it from clinically similar lesions. Its resemblance to aggressive neoplasms such as amelanotic melanoma and Merkel cell carcinoma presents a diagnostic challenge. A definitive diagnosis relies on characteristic histopathologic and immunohistochemical findings. The gold standard of treatment is wide local excision. Mohs micrographic surgery may be considered. Other treatment modalities are not recommended because of the high recurrence rate.
We report a case of atypical fibroxanthoma in a 72-year-old male with photodamaged skin and a history of other skin tumors (basal cell carcinomas self-treated with liquid nitrogen cryotherapy). Histopathologic examination revealed an ulcerated, polymorphic, poorly differentiated tumor with marked anaplasia and areas of epithelioid and spindle-cell morphology. The differential diagnosis included melanoma, fibrosarcoma, and atypical fibroxanthoma. The patient underwent wide excision of the tumor, with the specimen submitted for histologic and immunohistochemical analysis. The postoperative period was uneventful with scar formation, and no recurrence was observed during follow-up.
Full Text
АКТУАЛЬНОСТЬ
Атипичная фиброксантома (АФК) ― редкая фиброгистиоцитарная опухоль, которая ранее рассматривалась как вариант кожной недифференцированной плеоморфной саркомы (старое название ― злокачественная фиброзная гистиоцитома) или кожной плеоморфной дермальной саркомы [1]. Впервые была описана как отдельная нозологическая форма в середине XX века и до сих пор остаётся объектом изучения из-за своей сложности диагностики и риска рецидивирования.
Атипичная фиброксантома возникает обычно в пожилом возрасте, после 70 лет, чаще болеют мужчины. Типичной локализацией являются области, подверженные инсоляции, а именно лицо, плечи, верхняя треть спины [2]. В настоящий момент разделяют атипичную фиброксантому и плеоморфную дермальную саркому, которые отличаются по большей части степенью агрессивности роста (их сравнительная характеристика представлена в табл. 1) [3].
Таблица 1. Сравнительная характеристика атипичной фиброксантомы и плеоморфной дермальной саркомы
Table 1. Comparative characterisation of atypical fibroxanthoma and pleomorphic dermal sarcoma
Характеристика | Атипичная фиброксантома | Плеоморфная дермальная саркома |
Размер, мм | ~10 мм | >20–25 мм |
Глубина инвазии | дерма | дерма и подлежащие ткани |
Некроз | нет | часто |
Периваскулярная инвазия | редко | часто |
Периневральная инвазия | редко | часто |
Клиническая картина АФК неспецифична. Опухоль представлена узлом или узелком розовой или красно-розовой окраски. Характерен быстрый местнодеструктивный рост. По клиническим характеристикам не отличается от ряда других беспигментных опухолей, таких как как беспигментная меланома и карцинома Меркеля.
Метастазирует АФК крайне редко (1–2% случаев), чаще в региональные лимфатические узлы. Факторами, предвещающими агрессивное поведение и метастазирование, являются сосудистая инвазия, рецидивирующий характер течения, деструкция подлежащих тканей, некроз [1]. Часто агрессивное поведение опухоли отмечается на фоне иммуносупрессии. Наиболее часто первичные АФК располагаются на коже головы с метастазированием в структуры околоушной железы и региональные лимфатические узлы [4]. По данным литературы, АФС в 60% случаев сочетаются с другими формами рака кожи ― базальноклеточной и плоскоклеточной карциномами [5].
Дерматоскопия при АФК неспецифична и отличается полиморфными, чаще линейными неправильными сосудами, хризалидами, что характерно для беспигментной меланомы, карциномы Меркеля, выбухающей дерматофибросаркомы и других беспигментных опухолей [6].
В литературе описано всего четыре дерматоскопических наблюдения АФК. Во всех опухолях визуализировались полиморфные сосуды: линейные, точечные, клубочковые, древовидные [7]. Наличие атипичных полиморфных сосудов является типичным для злокачественных образований кожи и служит косвенным признаком опухолевого процесса.
Гистологически выявляют пролиферацию атипичных клеток в дерме, включающую аберрантные веретеновидные клетки, многоядерные гигантские клетки, митозы. Для верификации опухоли всегда необходимо иммуногистохимическое исследование [8]: для АФК характерна положительная экспрессия для виментина, CD68, CD10; отрицательная экспрессия для CD31, CD34, FVIII, S100, цитокератинов, эпителиального мембранного антигена, десмина и гладкомышечного актина. Пролиферативный индекс Ki-67 обычно не превышает 10–20% [9].
Золотым стандартом лечения АФК является хирургическое широкое иссечение опухоли. При крупных опухолях с деструкцией подлежащих тканей возможно проведение операции по методу Моса (Mohs). Другие методы лечения, такие как применение СО2-лазера и жидкого азота, не рекомендованы в связи с высоким риском рецидива [10].
Во время проведения осмотра данного новообразования кожи и при проведении дерматоскопии АФК не отличается от беспигментной меланомы и карциномы Меркеля, таким образом, гистологическое и иммуногистохимическое подтверждение диагноза является обязательным.
Приводим описание клинического случая, выявленного в Клинике кожных и венерических болезней имени В.А. Рахманова ФГАОУ ВО «Первый Московский государственный медицинский университет имени И.М. Сеченова» Минздрава России.
ОПИСАНИЕ СЛУЧАЯ
О пациенте
Пациент, 72 года, обратился с жалобами на быстрорастущий узел на коже головы.
Анамнез болезни. Известно, что у пациента ранее неоднократно диагностировали поверхностные формы базальноклеточных карцином, которые пациент самостоятельно убирал жидким азотом.
Результаты физикального, лабораторного и инструментального исследования
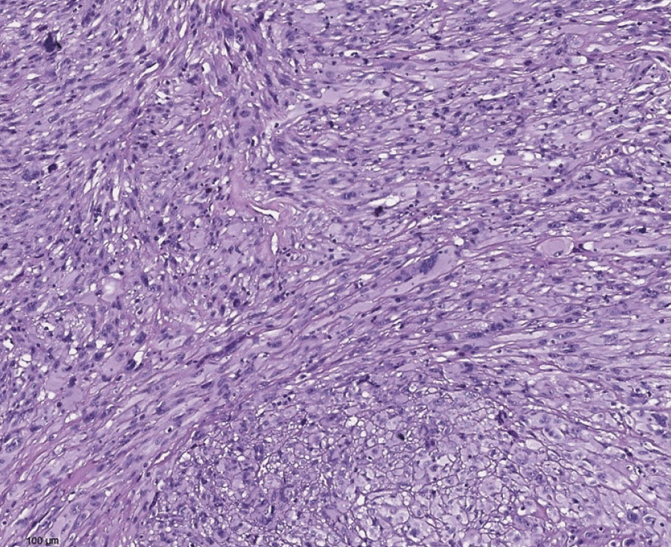
При осмотре (status localis) на коже головы определяется узел розовой окраски, плотной консистенции диаметром около 1 см (рис. 1). Дерматоскопически выявлены атипичные линейные и точечные сосуды, структуры по типу хризалид, корочки (рис. 2). Процесс протекает на фоне множественных рубцов после криодеструкции, очагов актинического кератоза, также выявлен и гистологически верифицирован очаг плоскоклеточной карциномы (рис. 3, 4).
Рис. 1. Атипичная фиброксантома: узелок красно-розовой окраски на фоне фотоповреждённой кожи.
Fig. 1. Atypical fibroxanthoma: red-pink coloured nodule on the background of photodamaged skin.
Рис. 2. Дерматоскопическая картина атипичной фиброксантомы: атипичные сосуды, хризалиды, корки.
Fig. 2. Dermatoscopic picture of atypical fibroxanthoma: atypical vessels, chrysalides, crusts.
Рис. 3. Очаг плоскоклеточной карциномы.
Fig. 3. Squamous cell carcinoma.
Рис. 4. Дерматоскопическая картина плоскоклеточной карциномы: атипичные линейные и точечные сосуды.
Fig. 4. Dermatoscopic picture of squamous cell carcinoma: atypical linear and point vessels.
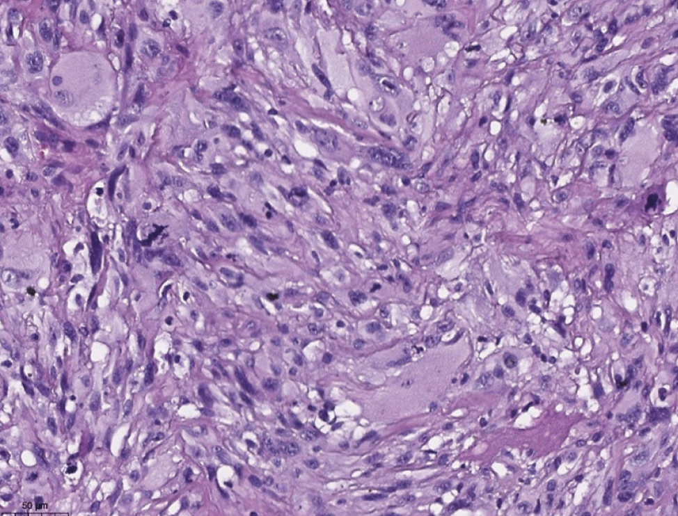
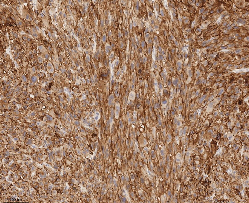
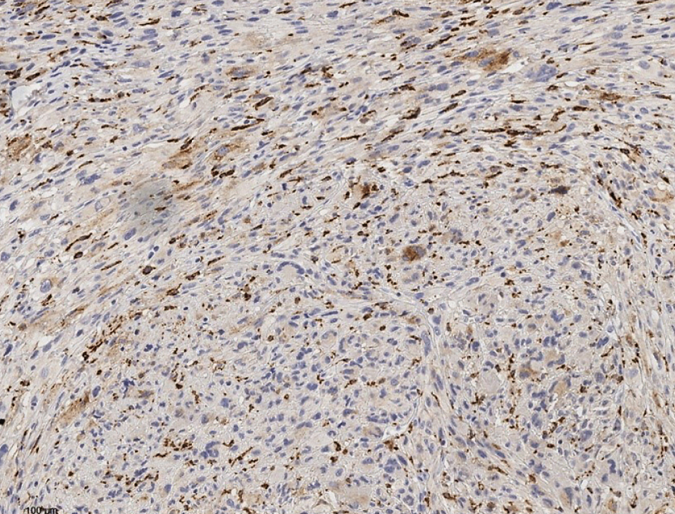
При гистологическом исследовании кожи выявлен инвазивный рост изъязвлённой полиморфноклеточной низкодифференцированной опухоли с выраженной анаплазией, участками эпителиоидно-клеточного, местами веретеновидно-клеточного строения (рис. 5, 6). Дифференциальный диагноз проводился между меланомой, фибросаркомой, атипичной фиброксантомой. Для уточнения гистогенеза проведено иммуногистохимическое исследование с использованием моноклональных антител PanCK (pan-cytokeratin), S100, MelanA, SOX10, CD34, CD10, CD68, SMA (smooth muscle antibody), desmin: экспрессии PanCK, S100, MelanA, SOX10, CD34 в опухолевых клетках не наблюдалась, в то же время отмечались диффузная выраженная экспрессия CD10, CD68 (рис. 7, 8) и позитивная экспрессия SMA, desmin в единичных опухолевых клетках.
Рис. 5. Атипичная фиброксантома (окрашивание гематоксилином и эозином, ×100).
Fig. 5. Atypical fibroxanthoma (haematoxylin and eosin staining, ×100).
Рис. 6. Атипичная фиброксантома (окрашивание гематоксилином и эозином, ×200).
Fig. 6. Atypical fibroxanthoma (haematoxylin and eosin staining, ×200).
Рис. 7. Атипичная фиброксантома, ×100. Иммуногистохимическое исследование с антителами к CD10: диффузная выраженная экспрессия.
Fig. 7. Atypical fibroxanthoma, ×100. Immunohistochemistry study with antibodies to CD10: diffuse marked expression.
Рис. 8. Атипичная фиброксантома, ×100. Иммуногистохимическое исследование с антителами к CD68: диффузная выраженная экспрессия.
Fig. 8. Atypical fibroxanthoma, ×100. Immunohistochemistry study with antibodies to CD68: diffuse marked expression.
Отсутствие экспрессии в опухоли цитокератинов позволило исключить саркоматоидную карциному, а отсутствие меланоцитарных маркеров ― исключить меланому.
Дифференциальный диагноз
Атипичную фиброксантому следует дифференцировать от поверхностной плеоморфной недифференцированной саркомы (известна также как злокачественная фиброзная гистиоцитома). Это различие основано на анатомическом уровне инвазии опухоли.
Термин «атипичная фиброксантома» применяется к опухолям, ограниченным дермой, термин «плеоморфная саркома» ― в случаях, когда опухоль распространяется в подкожную клетчатку или опухоль преимущественно расположена в глубоких отделах мягких тканей с распространением опухоли поверхностно в дерму. Это разделение крайне важно, поскольку плеоморфная недифференцированная саркома имеет высокий риск местного рецидива, а также риск метастазирования.
Диагноз
В данном случае с учётом локализации опухоли в дерме, а также морфологических и иммуногистохимических признаков диагноз атипичной фиброксантомы правомочен.
Лечение и результаты последующего наблюдения
Пациенту проведено широкое иссечение опухоли. Материал отправлен на гистологическое и иммуногистохимическое исследование. Послеоперационный период протекал без осложнений с формированием рубца. По результатам динамического наблюдения признаков рецидива опухоли не выявлено.
ЗАКЛЮЧЕНИЕ
Атипичная фиброксантома является редкой опухолью низкой степени злокачественности. Наиболее частой локализацией является область головы и шеи у пожилых пациентов. Чаще всего АФС наблюдается на фоне фотоповреждения кожи и/или иммуносупрессии и часто сочетается с другими опухолями кожи. Дифференциальная диагностика проводится с беспигментной меланомой, карциномой Меркеля, плоскоклеточной и базальноклеточной карциномами, с кожной плеоморфной дермальной саркомой и выбухающей дерматофибросаркомой. Для верификации опухоли всегда проводится гистологическое и иммуногистохимическое исследование.
ДОПОЛНИТЕЛЬНАЯ ИНФОРМАЦИЯ
Вклад авторов. Е.Ю. Вертиева ― клиническое обследование пациента, постановка диагноза, хирургическое лечение, написание первичного варианта рукописи; А.С. Тертычный — патоморфологическое исследование опухоли, гистологическая верификация диагноза, интерпретация результатов, редактирование текста; Л.В. Цой ― проведение и анализ иммуногистохимического исследования, дифференциальная диагностика, редактирование рукописи; Д.А. Хорошева ― сбор анамнеза и клинических данных, анализ литературы, подготовка иллюстраций, редактирование текста; Т.М. Бочарова ― систематизация данных, поиск литературных источников. Все авторы одобрили рукопись (версию для публикации), а также согласились нести ответственность за все аспекты работы, гарантируя надлежащее рассмотрение и решение вопросов, связанных с точностью и добросовестностью любой её части.
Согласие на публикацию. Авторы получили письменное информированное добровольное согласие пациента на публикацию персональных данных, в том числе фотографий (с закрытием лица), в научном журнале, включая его электронную версию (дата подписания: 24.03.2025). Объём публикуемых данных с пациентом согласован.
Источники финансирования. Отсутствуют.
Раскрытие интересов. Авторы заявляют об отсутствии отношений, деятельности и интересов за последние три года, связанных с третьими лицами (коммерческими и некоммерческими), интересы которых могут быть затронуты содержанием статьи.
Оригинальность. При создании настоящей работы авторы не использовали ранее опубликованные сведения (текст, иллюстрации, данные).
Доступ к данным. Редакционная политика в отношении совместного использования данных к настоящей работе неприменима, новые данные не собирали и не создавали.
Генеративный искусственный интеллект. При создании настоящей статьи технологии генеративного искусственного интеллекта не использовали.
Рассмотрение и рецензирование. Настоящая работа подана в журнал в инициативном порядке и рассмотрена по обычной процедуре. В рецензировании участвовали два внешних рецензента и научный редактор издания.
ADDITIONAL INFORMATION
Author contributions: E.Yu. Vertieva, clinical examination of the patient, diagnosis, surgical treatment, writing the initial version of the manuscript; A.S. Tertychnyy, pathomorphological examination of the tumor, histological verification of the diagnosis, interpretation of the results, editing the text; L.V. Tsoy, conducting and analyzing the immunohistochemical study, differential diagnostics, editing the manuscript; D.A. Khorosheva, collecting anamnesis and clinical data, analyzing the literature, preparing illustrations, editing the text; T.M. Bocharova, systematization of data, searching for literary sources. All authors approved the manuscript (version for publication), and also agreed to be accountable for all aspects of the work, guaranteeing proper consideration and resolution of issues related to the accuracy and integrity of any part of it.
Consent for publication: The authors received written informed voluntary consent from the patient to publish personal data, including photographs (with the face covered), in a scientific journal, including its electronic version (date of signing: 24.03.2025). The volume of published data was agreed upon with the patient.
Funding sources: No funding.
Disclosure of interests: The authors have no relationships, activities or interests for the last three years related with for-profit or not-for-profit third parties whose interests may be affected by the content of the article.
Statement of originality: In creating this work, the authors did not use previously published information (text, illustrations, data).
Data availability statement: The editorial policy regarding data sharing does not apply to this work, and no new data was collected or created.
Generative AI: Generative AI technologies were not used for this article creation.
Provenance and peer-review: The present paper was submitted to the journal on a proactive basis and reviewed according to the usual procedure. Two external reviewers and the scientific editor of the publication participated in the review.
About the authors
Ekaterina Yu. Vertieva
The First Sechenov Moscow State Medical University (Sechenov University)
Author for correspondence.
Email: ivertieva@gmail.com
ORCID iD: 0000-0002-1088-2911
SPIN-code: 3712-8453
MD, Cand. Sci. (Medicine)
Russian Federation, MoscowAlexander S. Tertychnyy
The First Sechenov Moscow State Medical University (Sechenov University)
Email: atertychyy@gmail.com
ORCID iD: 0000-0001-5635-6100
SPIN-code: 5150-0535
MD, Dr. Sci. (Medicine), Professor
Russian Federation, MoscowLarisa V. Tsoy
The First Sechenov Moscow State Medical University (Sechenov University)
Email: dr.lvtsoy@gmail.com
ORCID iD: 0000-0001-9072-2311
SPIN-code: 9581-6228
MD, Cand. Sci. (Medicine), Associate Professor
Russian Federation, MoscowDiana A. Khorosheva
The First Sechenov Moscow State Medical University (Sechenov University)
Email: 5_97@inbox.ru
ORCID iD: 0009-0006-1296-5848
Russian Federation, Moscow
Tatiana M. Bocharova
Saratov State Medical University named after V.I. Razumovsky
Email: tatuana.bocharova@yandex.ru
ORCID iD: 0009-0002-4361-1357
Russian Federation, Saratov
References
- Rosenfeld D, Alam M, van Tine B, Council ML. Atypical fibroxanthoma: A malignant tumor of the skin and soft tissue. J Am Acad Dermatol. 2020;83(6):e429–e430 doi: 10.1016/j.jaad.2020.07.022
- Agaimy A. The many faces of atypical fibroxanthoma. Semin Diagn Pathol. 2023;40(4):306–312. doi: 10.1053/j.semdp.2023.06.001
- Ríos-Viñuela E, Pons Benavent M, Monteagudo C, et al. Atypical fibroxanthoma and pleomorphic dermal sarcoma: A two-center retrospective study of 74 cases. Actas Dermosifiliogr. 2022;113(6):654–656. doi: 10.1016/j.ad.2021.09.008
- Helwig EB, May D. Atypical fibroxanthoma of the skin with metastasis. Cancer. 1986;57(2):368–376. doi: 10.1002/1097-0142(19860115)57:2<368::aid-cncr2820570230>3.0.co;2-n
- Bitel A, Schönlebe J, Krönert C, Wollina U. Atypical fibroxanthoma: An analysis of 105 tumors. Dermatol Ther. 2020;33(6):e13962. doi: 10.1111/dth.13962
- Pitarch G. Dermoscopic rainbow pattern in atypical fibroxanthoma. Actas Dermosifiliogr. 2014;105(1):97–99. doi: 10.1016/j.ad.2012.11.010
- Alves R, Ocaña J, Vale E, et al. Basal cell carcinoma and atypical fibroxanthoma: An unusual collision tumor. J Am Acad Dermatol. 2010;63(3):e74–e76. doi: 10.1016/j.jaad.2009.11.685
- Fisher JC, Jones M, Hurd DS. Atypical fibroxanthoma: A case report and literature review. J Am Osteopath Coll Dermatol. 2017;37(2):17–19.
- Piras V, Ferreli C, Atzori L, et al. Atypical fibroxanthoma/pleomorphic dermal sarcoma of the scalp with aberrant expression of HMB-45: A pitfall in dermatopathology. Pathologica. 2020;112(2):105–109. doi: 10.32074/1591-951X-39-19
- Nguyen CM, Chong K, Cassarino D. Clear cell atypical fibroxanthoma: A case report and review of the literature. J Cutan Pathol. 2016;43(6):538–542. doi: 10.1111/cup.12696
Supplementary files











