Differential diagnosis of ulcerative lesions in a patient with pyoderma gangrenosum in association with ulcerative colitis and multiple endocrine neoplasia
- Authors: Teplyuk N.P.1, Grabovskaya O.V.1, Radenska-Lopovok S.G.1, Bobkova A.E.1, Martynenko D.M.1, Busol V.N.1, Metelkina E.A.1
-
Affiliations:
- I.M. Sechenov First Moscow State Medical University (Sechenov University)
- Issue: Vol 28, No 1 (2025)
- Pages: 41-52
- Section: DERMATOLOGY
- Submitted: 20.10.2024
- Accepted: 31.01.2025
- Published: 06.05.2025
- URL: https://rjsvd.com/1560-9588/article/view/637189
- DOI: https://doi.org/10.17816/dv637189
- ID: 637189
Cite item
Abstract
Differential diagnosis of chronic ulcers of non-infectious nature remains a complex interdisciplinary problem.
Pyoderma gangrenosum is a rare autoinflammatory disease, which is referred to the group of neutrophilic dermatoses and is clinically manifested by the rapid development of painful, long-term persistent, recurrent skin ulcers with irregular, undermined borders of red-violet colour and surrounding erythema. Annually from 3 to 10 cases of pyoderma gangrenosum per million people are reported. To the present time, the etiology and pathogenesis of pyoderma gangrenosum remain completely unstudied, and the diagnosis is complicated by the rare incidence of the disease and non-specificity of cutaneous manifestations.
In this article the observation of a long-term course of pyoderma gangrenosum in a 58-year-old female with ulcerative colitis and multiple endocrine neoplasia type I. The differential diagnosis between pyoderma gangrenosum with necrotising ulcerative vasculitis was performed. Based on the results of the comprehensive examination, the final diagnosis of pyoderma gangrenosum was established.
This clinical observation demonstrates the necessity for the detailed examination of patients in order to make a correct diagnosis and prescribe adequate treatment on time.
Full Text
Актуальность
Гангренозная пиодермия ― редкое аутовоспалительное заболевание, относится к группе нейтрофильных дерматозов и клинически проявляется быстрым развитием болезненных, длительно персистирующих, рецидивирующих язвенных поражений на коже с неровными, подрытыми, валикообразными краями багрово-синюшного цвета и окружающей эритемой [1, 2]. Впервые гангренозная пиодермия была описана французскими дерматологами Л. Броком и К. Саймоном в 1908 году; тогда авторами использовался термин «phagédénisme géométrique» для описания длительно не заживающего, обширного язвенного поражения кожи. В 1930-е годы Л.А. Брунстинг, В.Х. Гекерман и П.А. О’Лири рассматривали гангренозную пиодермию как проявление скрытой инфекции и предложили для заболевания название, которое используется до настоящего времени, хотя и не отражает лежащих в основе патогенеза аутовоспалительных патологических процессов [3].
Ежегодно выявляются от 3 до 10 случаев гангренозной пиодермии на 1 млн человек, тем не менее указанные данные могут быть занижены в связи со сложностью диагностики [4]. Средний возраст больных гангренозной пиодермией составляет от 43 до 59 лет [5, 6]; на пациентов старше 50 лет приходится до 70% всех случаев заболевания [7]. Множественные поражения кожи обычно формируются у лиц моложе 60 лет [5]. Заболевание чаще встречается у женщин [6].
Этиология гангренозной пиодермии неизвестна, а патогенез весьма сложен и до конца не изучен. В соответствии с последними данными, при гангренозной пиодермии имеет место нарушение регуляции врождённого иммунитета с чрезмерной активацией фагоцитов и формированием инфламмасом, гиперпродукцией провоспалительных цитокинов (TNF-α, IL-1, IL-6, IL-8, IL-12, IL-15, IL-17, IL-23 и IL-36) и С5а-компонента системы комплемента, а также дермальный таксис нейтрофилов с формированием нейтрофильного интрадермального инфильтрата [2]. Заболевание часто ассоциируется с воспалительными заболеваниями кишечника, артритами различной этиологии [5], гемобластозами и миеломой [8].
Ошибки в диагностике затрудняют подбор терапии, поэтому важно собрать подробный анамнез и руководствоваться данными осмотра пациента, лабораторных и инструментальных исследований, гистологической картиной. Заболевание отличается хроническим, длительным течением; полной или частичной ремиссии в виде рубцевания язв достигают более 70% больных; рецидивы отмечаются в 17–40% случаев [5, 6].
Выраженность болевого синдрома и длительное лечение гангренозной пиодермии представляют собой тяжёлое бремя для морального состояния пациента, значительно снижая качество жизни [9]. Препаратами первой линии при лечении гангренозной пиодермии являются системные глюкокортикоиды, иммуносупрессивные препараты; с учётом современных данных патогенеза гангренозной пиодермии в качестве инновационного метода лечения предлагается применение ингибиторов TNF-α (адалимумаб), IL-1 (анакинра, канакинумаб), IL-17 (секукинумаб), IL-12 и IL-23 (устекинумаб), IL-36 (спесолимаб) и фракции С5а комплемента (вилобелимаб) [10], Janus-киназы (тофацитиниб и барицитиниб) [11]. Вместе с тем представлены описания гангренозной пиодермии, провоцирующими факторами которой явились ингибиторы TNF-α и IL-17 [12].
Представляем случай длительного течения гангренозной пиодермии у пациентки с язвенным колитом и множественной эндокринной неоплазией 1-го типа.
Описание случая
О пациенте
Пациентка Ж., 58 лет, находилась под наблюдением в Клинике кожных и венерических болезней имени В.А. Рахманова Первого Московского государственного медицинского университета имени И.М. Сеченова (далее Клиника кожных и венерических болезней им. Рахманова) с высыпаниями на коже голеней и тыльной стороне стоп с выраженной болезненностью, жжением и отёчностью.
Семейный анамнез. Аллергоанамнез и наследственность не отягощены; вредные привычки пациентка отрицает.
Анамнез заболевания. Считает себя больной с октября 2011 года, когда после обострения хронического тонзиллита на фоне переохлаждения на тыльной стороне левой стопы впервые появились высыпания с постепенным медленным ростом и изъязвлением. Дерматовенерологом по месту жительства назначены лоратадин, метронидазол и местная терапия (гепариновая мазь, Тридерм, Левомеколь) без положительной динамики.
В связи с выраженностью болевого синдрома проведено дообследование ― ультразвуковое исследование сосудов нижних конечностей: обнаружены признаки венозной недостаточности обеих нижних конечностей. Лечение не проводилось.
В январе 2012 года пациентка отметила ухудшение кожного процесса в виде увеличения количества язвенных дефектов с гнойно-геморрагическим отделяемым, выраженной отёчности голеней и ограничения подвижности голеностопных и коленных суставов.
В феврале 2012 года вновь образовалась язва до 3 см в диаметре с желтоватым прозрачным отделяемым. С целью дообследования и подбора лечения пациентка госпитализирована с диагнозом полиморфного дермального ангиита язвенно-некротического типа в Клинику кожных и венерических болезней им. Рахманова. Реакции на ВИЧ и сифилис отрицательные; данных за туберкулёз и саркоидоз не выявлено. Больная консультирована хирургом по поводу варикозной болезни вен нижних конечностей, назначена терапия цефтриаксоном, флуконазолом, диклофенаком: наблюдалось улучшение в виде снижения отёчности, болевого синдрома и частичного рубцевания язвенно-некротических дефектов. Консультирована ревматологом: данных за системный васкулит не обнаружено.
В мае 2012 года проведено гистологическое исследование биоптата края язвенного дефекта, выявлен продуктивно-деструктивный васкулит, реактивный панникулит. Назначены терапия системными глюкокортикоидами (Метипред в дозе 4 мг, 8 таблеток в сутки) и антибактериальная терапия препаратами фторхинолонового ряда (ципрофлоксацин): от лечения пациентка воздержалась.
В июне 2012 года после купания в холодной воде отмечалось ухудшение состояния: боли в голеностопных суставах, икроножных мышцах; появление нового язвенного дефекта на левой стопе размером 1,5 см в диаметре. Выставлен диагноз реактивного панникулита Ротмана–Макаи. Назначена терапия системными глюкокортикоидами (преднизолон в дозе 5 мг, 6 таблеток в сутки) и антибактериальными препаратами (ципрофлоксацин), местно Левомеколь: на фоне проведённого лечения отмечалось полное рубцевание язвенных дефектов.
В 2017 году у пациентки вновь отмечалось появление высыпаний с формированием язвенных дефектов на левой голени; больная лечилась у хирурга с диагнозом трофической венозной язвы, получала Амоксиклав, Левомеколь без положительной динамики; впоследствии обратилась к дерматовенерологу: на фоне приёма системных глюкокортикоидов (Метипред в дозе 4 мг, 6 таблеток в сутки) достигнуто полное рубцевание кожных язв.
В 2019 году больная вновь отметила появление кожных высыпаний с формированием язвенных дефектов. Проведено обследование, в ходе которого антитела к двуспиральной ДНК, Scl-70, антитела к цитоплазме нейтрофилов (АНЦА), антитела к протеиназе-3 и миелопероксидазе не выявлены. Пациентка находилась под наблюдением ревматолога и получала антибактериальную терапию до 2022 года.
В 2022 году после перенесённой новой коронавирусной инфекции (COVID-19) отметила появление пустул, локализованных на коже голеней и тыла стоп, которые быстро трансформировались в язвы с неровными синюшными краями и выраженным болевым синдромом.
В начале 2023 года пациентка вновь обратилась в Клинику кожных и венерических болезней им. Рахманова по поводу множественных болезненных, длительно персистирующих язвенных дефектов кожи нижних конечностей.
Результаты физикального, лабораторного и инструментального исследования
Объективный статус при поступлении: состояние средней степени тяжести; патологический процесс симметричный, островоспалительного характера, локализован на коже голеней и тыльной поверхности стоп обеих нижних конечностей. Поражения кожи представлены множественными язвами неправильной формы размером от 1 до 5 см в диаметре. По периферии язвенных дефектов отмечаются багрово-фиолетовый край и венчик гиперемии розового цвета. Часть язв покрыта геморрагической коркой (рис. 1). Слизистые оболочки, волосы и ногти интактны. Субъективно пациентка отмечает интенсивную болезненность в области язвенных дефектов.
Рис. 1. Состояние пациентки при поступлении в нашу клинику (2023 год): язвенные кожные дефекты с подрытыми краями и эритематозным венчиком на левой медиальной лодыжке (a) и обеих голенях, тыльных поверхностях стоп (a, b). Из архива Клиники кожных и венерических болезней им. В.А. Рахманова, 2025. Фотографии публикуются впервые.
Fig. 1. Ulcerative cutaneous defects with undermined borders and surrounding erythema revealed at patient’s admission to our clinic in 2023 on the left medial ankle (a) and both of her shins, dorsal surfaces of the feet (a, b). From the archive of the V.A. Rakhmanov Clinic of Skin and Venereal Diseases, 2025. The photograph is published for the first time.
Лабораторное обследование (21.03.2023): в общем анализе крови лимфопения (9,9%), лейкоцитоз со сдвигом влево (13,41×109); коагулограмма ― повышение фибриногена до 4,2 г/л; скорость оседания эритроцитов (СОЭ) 25 мм/ч; антистрептолизин-О (АСЛ-О) 449 МЕ/мл (при норме до 200); кальпротектин 291,74 мкг/г стула (при норме менее 50); антифосфолипидные антитела (IgM и IgG) отрицательные; антинуклеарный фактор на клеточной линии HEp-2 отрицательный; цАНЦА и пАНЦА (цитоплазматический и перинуклеарный тип) не выявлены; С3 и С4 компоненты комплемента в пределах нормальных значений.
Ультразвуковая допплерография: обнаружены признаки венозной недостаточности правой нижней конечности I степени, левой нижней конечности II степени.
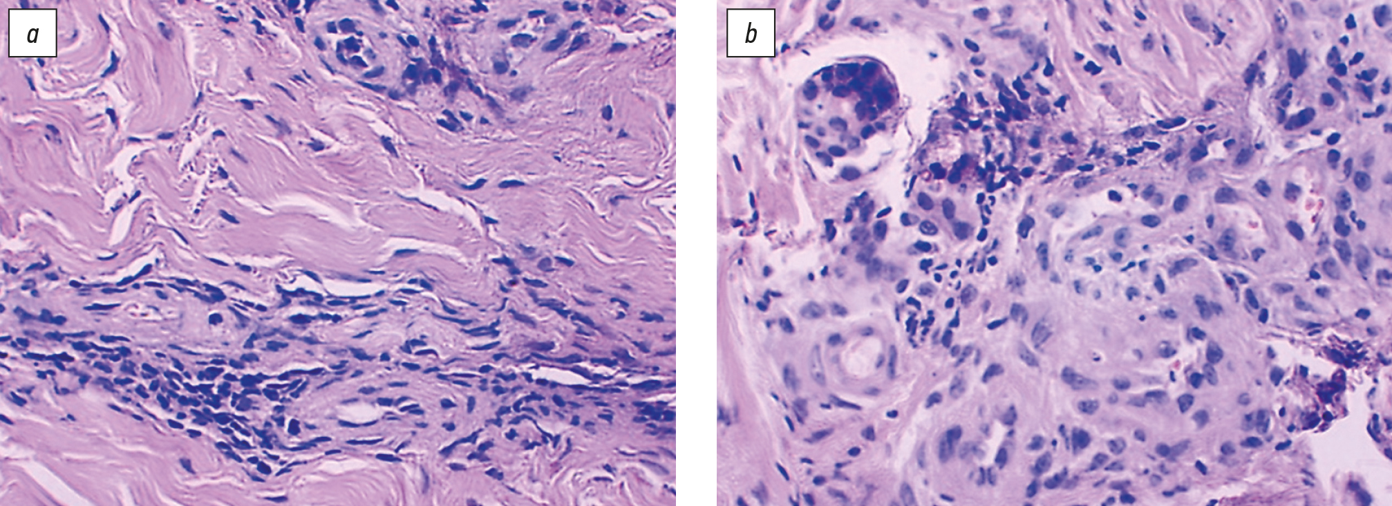
Гистологическое исследование биоптата кожи: выявлены некротизированный участок эпидермиса и сосочкового слоя дермы, наличие очаговых нейтрофильных инфильтратов и интрадермальных пролиферативных васкулитов (рис. 2).
Рис. 2. Гистологическое исследование кожи: в дерме обнаружены нейтрофильные инфильтраты и признаки васкулита. Окраска гематоксилином и эозином ×250 (a), окраска гематоксилином и эозином ×400 (b). Из архива Клиники кожных и венерических болезней им. В.А. Рахманова, 2025. Фотографии публикуются впервые.
Fig. 2. On the histological examination of patient’s skin in the dermis neutrophil infiltrates and features of vasculitis were revealed. Hematoxylin and eosin stain ×250 (a), hematoxylin and eosin stain ×400 (b). From the archive of the V.A. Rakhmanov Clinic of Skin and Venereal Diseases, 2025. The photograph is published for the first time.
Методом иммунофлюоресценции обнаружена фиксация IgG в стенках сосудов, а фиксации IgA, IgM и С3 компонента комплемента не найдено.
Эндоскопическое исследование кишечника: проявления язвенного колита.
В результате проведённых обследований за период наблюдения у пациентки обнаружены следующие сопутствующие заболевания: язвенный колит; варикозная болезнь вен нижних конечностей; гиперпаратиреоз; аденомы надпочечника и хвоста поджелудочной железы (неуточнённые гистологически); хроническая болезнь Лайма; желчнокаменная болезнь; мочекаменная болезнь; хронический тонзиллит; хронический бронхит; остеохондроз грудного, поясничного и пояснично-крестцовых отделов позвоночника.
16.06.2023 пациентка обсуждалась на межкафедральном консилиуме. Проводился дифференциальный диагноз между дермальным некротически-язвенным васкулитом и гангренозной пиодермией, ассоциированной с язвенным колитом, синдромом множественных эндокринных неоплазий 1-го типа.
Диагноз
На основании решения консилиума, а также с учётом жалоб больной, данных анамнеза, клинической и гистологической картины, в том числе положительного ответа на системные глюкокортикоиды пациентке Ж. поставлен диагноз гангренозной пиодермии, продолжено лечение и наблюдение в Клинике кожных и венерических болезней им. Рахманова.
Дифференциальный диагноз
Дифференциальная диагностика проводилась между гангренозной пиодермией и язвенно-некротическим васкулитом (табл. 1). Отсутствие у пациентки инфекционных (туберкулёз, лейшманиоз) причин изъязвления кожи, а также появление интенсивно болезненных язв с подрытыми багровыми краями, эритематозным венчиком по периферии и быстрым ростом, отсутствие ответа на антибактериальную терапию явились основными диагностическими критериями постановки диагноза гангренозной пиодермии. К дополнительным диагностическим критериям гангренозной пиодермии можно отнести быстрый ответ на применение системных глюкокортикоидов (рис. 3), наличие ассоциированного воспалительного заболевания кишечника и эндокринную патологию (множественная эндокринная неоплазия 1-го типа), а также гистопатологические данные, указывающие на интрадермальные нейтрофильные инфильтраты и лейкоцитарный васкулит.
Таблица 1. Сравнительная таблица гангренозной пиодермии и некротически-язвенного васкулита
Table 1. The comparative table of pyoderma gangrenosum and cutaneous arteriitis
Проявления | Гангренозная пиодермия | Некротически-язвенный васкулит |
Кожные проявления | Болезненные папулы, пустулы, пузыри, эрозии, язвы с валикообразными синюшными, багрово-фиолетовыми краями и периферической эритемой в виде венчика, плоские или гипертрофические рубцы, остаточная гиперпигментация | Везикулы, пустулы, геморрагические пузыри, некроз, эрозии, язвы, плоские рубцы, остаточная гиперпигментация |
Гистологическая картина | Интрадермальные нейтрофильные инфильтраты, лейкоцитокластический васкулит, лейкоцитарная инфильтрация стенок сосудов, их фибриноидный некроз (вторичный васкулит) | Некротизированные участки кожи, инфаркты, периваскулярные лейкоцитарные инфильтраты в дерме, тромботические изменения сосудов дермы, лейкоцитарная инфильтрация стенок |
Локализация | Преимущественно на нижних конечностях, а именно голенях, также поражения могут локализоваться на верхних конечностях, туловище, редко в области головы и шеи, на лице | Обычно высыпания локализуются на лодыжках, стопах, кистях, ягодицах, коленных и локтевых суставах, но могут поражать и кожу туловища, лица |
Характер течения | Везикулы, папулы или пустулы быстро трансформируются в язвенные дефекты с эксцентрическим ростом; затяжное течение, рубцевание, длительно сохраняющие воспалительную окраску рубцы | Острое, иногда молниеносное начало и последующее затяжное течение, медленное рубцевание |
Рис. 3. Язвенные дефекты кожи правой (a) и левой (b) голеней с признаками частичного рубцевания на фоне лечения глюкокортикоидами. Из архива Клиники кожных и венерических болезней им. В.А. Рахманова, 2025. Фотографии публикуются впервые.
Fig. 3. Ulcerative defects of the skin of the right (a) and left (b) shins with sings of partial scarification after the initiation of treatment with glucocorticoids. From the archive of the V.A. Rakhmanov Clinic of Skin and Venereal Diseases, 2025. The photograph is published for the first time.
Лечение
Назначена иммуносупрессивная терапия с применением системных глюкокортикоидов (Метипред в дозе 4 мг, 8 таблеток в сутки, с 21.03.2023 по 14 мг в течение 3 недель с медленным снижением до 3 таблеток в сутки к 15.05.2023); корригирующая терапия (Омез в дозе 20 мг, 1 капсула за 30 минут до еды 2 раза в сутки; Кальций-Д3 Никомед по 1 таблетке 2 раза в сутки; Панангин по 1 таблетке 3 раза в сутки); антибактерильная терапия (азитромицин в дозе 500 мг 1 раз в день, 10 дней, противомикробная терапия (метронидазол в дозе 250 мг 3 раза в день, 10 дней), противогрибковая терапия (флуконазол в дозе 150 мг 1 раз в 3 дня, 5 дней); кетопрофен по 2 мл внутримышечно на ночь). На язвы: обработка 3% раствором перекиси водорода, повязки с мазью Офломелид, Левометил, Ксероформ (5% анестезиновая мазь).
Исход и результаты последующего наблюдения
Назначенную терапию пациентка перенесла хорошо. В результате проведённого лечения отмечалась положительная динамика в виде полного рубцевания язвенных дефектов в течение 7 месяцев, достигнута клиническая ремиссия; на коже голеней сохраняются остаточная гиперпигментация и атрофические рубцы (рис. 4). Новых высыпаний не отмечается.
Рис. 4. Полное заживление язвенных дефектов обеих голеней (a) и левой лодыжки (b); наличие поствоспалительной гиперпигментации и типичных рубцов с неровными краями на месте язвенных дефектов (a, b). Из архива Клиники кожных и венерических болезней им. В.А. Рахманова, 2025. Фотографии публикуются впервые.
Fig. 4. Complete resolution of ulcerative defects of both shins (a) and the left ankle (b); the presence of postinflammatory hyperpigmentation and typical scars with irregular borders (a, b). From the archive of the V.A. Rakhmanov Clinic of Skin and Venereal Diseases, 2025. The photograph is published for the first time.
Обсуждение
Данный клинический случай уникален и представляет собой интерес для медицинского сообщества ввиду следующих фактов:
- необычное течение гангренозной пиодермии, имеющее на начальных этапах заболевания клинические и патоморфологические признаки некротически-язвенного васкулита;
- выявление ассоциированных с гангренозной пиодермией болезней, а именно воспалительного заболевания кишечника и множественной эндокринной неоплазии 1-го типа (гиперпаратиреоз, аденомы надпочечника и хвоста поджелудочной железы);
- характерное длительное течение гангренозной пиодермии с чередованием периодов ремиссий и рецидивов;
- гистологическое выявление обильных нейтрофильных инфильтратов, а также лейкокластических васкулитов в длительно существующих язвенных дефектах;
- коронавирусная инфекция как триггерный фактор обострения гангренозной пиодермии.
В настоящее время разработаны три системы критериев постановки диагноза гангренозной пиодермии (табл. 2): критерии Su и соавт. (2004); критерии Дельфийского консенсуса международных экспертов (2018) и шкала PARACELSUS, предложенная группой экспертов из Германии для дифференциальной диагностики с венозными трофическими язвами (2018). Наиболее эффективной в диагностике гангренозной пиодермии признаётся шкала PARACELSUS [13]. Гистологически при гангренозной пиодермии выявляется стерильная дермальная нейтрофилия с признаками лимфоцитарного васкулита, но отдельные формы могут иметь свои патоморфологические особенности [2].
Таблица 2. Сравнительная таблица критериев оценки для постановки диагноза гангренозной пиодермии
Table 2. The comparative table of the evaluation criteria for establishing the diagnosis of pyoderma gangrenosum
Критерии оценки | ||
Su и соавт., 2004 | PARACELSUS | Дельфийский консенсус международных экспертов |
• Диагноз ставится при наличии больших и как минимум 2 малых критериев | • Высоковероятна гангренозная пиодермия при общей сумме баллов >10 | • Диагноз ставится при наличии большого и как минимум 4 из 8 малых критериев |
Большие критерии | ||
• Быстрое прогрессирование болезненной некролитической кожной язвы с неровными, волнистыми и размытыми краями • Отсутствие иных причин изъязвления кожи (бактериальной, грибковой и т.д.) | • Отсутствие иных причин изъязвления кожи • Отсутствие дифференциальных диагнозов • Красновато-фиолетовые края язв | • Интрадермальный нейтрофильный инфильтрат по результатам гистологического исследования |
Малые критерии | ||
• Наличие в анамнезе феномена патергии или клиническое обнаружение неровных (крибриформных) рубцов неправильной формы, с неровным рельефом • Наличие в анамнезе системных заболеваний, ассоциированных с гангренозной пиодермией (воспалительные заболевания кишечника, гематологические и др.) • Гистопатологические данные: стерильная дермальная нейтрофилия ± смешанное воспаление ± лимфоцитарный васкулит • Быстрый положительный ответ на системное лечение глюкокортикоидами | • Улучшение состояния больного на фоне иммуносупрессивной терапии • Характерная причудливая форма язвы • Сильная боль (>4 баллов по ВАШ) • Локализованный феномен патергии | • Исключение инфекции при гистологическом исследовании • Феномен патергии • Наличие в анамнезе воспалительного заболевания кишечника или артрита • Папула, пустула или везикула, которые быстро изъязвляются |
Дополнительные критерии (1 балл) | ||
- | • Гнойно-воспалительный процесс, выявленный при гистологическом исследовании • Подрытые края язв • Наличие ассоциированного с гангренозной пиодермией системного заболевания | • Периферическая эритема, подрытые края и болезненность в области изъязвления • Наличие множественных изъязвлений, по крайней мере одно из которых локализовано на передней части голени • Наличие неровных (крибриформных) рубцов или в форме сморщенной бумаги на месте заживших язв • Уменьшение площади язв после иммуносупрессивного лечения |
При обращении пациентки в Клинику кожных и венерических болезней им. Рахманова в 2023 году клиническая картина заболевания соответствовала гангренозной пиодермии: язвы на голенях с подрытыми, валикообразными багрово-фиолетовыми краями и гиперемией розового цвета в виде венчика диаметром от 1 до 5 см, что в сочетании с обнаруженными при гистологическом исследовании нейтрофильными инфильтратами и лейкоцитарным васкулитом дало возможность подтвердить диагноз гангренозной пиодермии в соответствии с критериями PARACELCUS.
В России в дерматологической практике используется рабочая клиническая классификация васкулитов, разработанная в 1997 году проф. О.Л. Ивановым и основанная на клинико-гистологической картине: гангренозная пиодермия отнесена к пустулёзно-язвенному типу полиморфного дермального ангиита [14], поскольку при длительном существовании гангренозной пиодермии кроме нейтрофильной инфильтрации могут наблюдаться воспалительные явления в стенках кровеносных сосудов кожи, васкулит является вторичным и его следует расценивать как эпифеномен. В номенклатуре Chapel Hill (2021), применяемой для системных васкулитов, построенной на основании оценки размера сосудов и этиологии воспаления [15], гангренозная пиодермия не представлена, так как рассматривается в качестве нейтрофильного дерматоза из группы аутовоспалительных заболеваний.
Некротически-язвенный тип полиморфного дермального васкулита, представленный в классификации проф. О.Л. Иванова (1997), в номенклатуре Chapel-Hill может обсуждаться как полиангиит одного органа (кожи), при этом у пациентов на месте пурпурозных элементов могут формироваться некрозы и язвы, локализуясь преимущественно на нижних конечностях, с затяжным течением, гнойным отделяемым и медленным рубцеванием в течение нескольких месяцев [16]. При гистологическом исследовании в дерме отмечаются лейкоцитарные периваскулярные инфильтраты, признаки лейкоклазии, симптом «ядерной пыли» [16]. Заболевание манифестирует в большинстве случаев у пациентов четвёртого десятилетия на фоне очаговой хронической инфекции [17].
У представленной пациентки в 2023 году наблюдались типичные для гангренозной пиодермии язвенные дефекты, локализованные на голенях. Классическая язвенная форма гангренозной пиодермии, при которой формируются багрово-фиолетовые язвы с валикообразными краями и краевой эритемой в виде розового венчика, наблюдается у 83% больных, с наибольшей частотой язвенные дефекты локализуются на коже голени (67% случаев) [6].
В 2012 году при первичном обращении в Клинику кожных и венерических болезней им. Рахманова пациентке Ж. диагностировался некротически-язвенный васкулит. Патоморфологические изменения, выявленные в ходе гистологического исследования, укладывались в картину дермального васкулита. Доказано, что при гистологическом исследовании нейтрофильная инфильтрация дермы при гангренозной пиодермии наблюдается в 100% случаев, а признаки лейкоцитокластического васкулита ― в 53% [6], особенно при длительном существовании язв. При изучении биоптата кожи в 2012 году у больной выявлялись признаки васкулита, а в 2023 году ― нейтрофильные инфильтраты и признаки васкулита, что подтверждает диагноз гангренозной пиодермии.
Пациентке было проведено полное и всестороннее обследование: исключены васкулиты как кожный синдром при диффузных заболеваниях соединительной ткани и болезнях крови, выявлены множественные сопутствующие заболевания со стороны различных органов и систем. Диагностированные в 2022 году у пациентки воспалительное заболевание кишечника (язвенный колит, синдром раздражённого кишечника в сочетании с повышенным кальпротектином) и множественная эндокринная неоплазия 1-го типа (гиперпаратиреоз, аденомы надпочечника и хвоста поджелудочной железы) являются ассоциированными с гангренозной пиодермией заболеваниями [6, 18].
Гангренозная пиодермия ― быстропрогрессирующее заболевание. Пациентка Ж. в течение периода наблюдения отмечала во время дебюта и обострений более характерный для гангренозной пиодермии быстрый рост язв, который сопровождался эксцентрическим распространением язвенной поверхности [19].
Золотой стандарт лечения гангренозной пиодермии до настоящего времени не разработан, поэтому ведение пациентов с гангренозной пиодермией представляет сложность для врачей в связи с редкостью заболевания и отсутствием клинических рекомендаций [1]. Препаратами выбора являются системные глюкокортикоиды и стероидсберегающие иммуносупрессивные препараты [10]. У наблюдаемой пациентки отмечен быстро развивающийся положительный ответ на иммуносупрессивную терапию системными глюкокортикоидами с достижением полного рубцевания язв, что характерно для гангренозной пиодермии.
Пациентка перенесла новую коронавирусную инфекцию. К настоящему моменту описаны случаи гангренозной пиодермии, индуцируемые антигеном COVID-19 [20, 21]. Патогенез гангренозной пиодермии и коронавирусной инфекции сходен, поскольку в основе лежит нарушение регуляции врождённого иммунитета, чрезмерный выброс ответственных за воспаление цитокинов, активация инфламмасом, системы комплемента и нейтрофилов [2, 22]. Учитывая аутовоспалительную природу обсуждаемого дерматоза, контакт иммунной системы с антигенами вируса и её последующая дисрегуляция могли способствовать обострению гангренозной пиодермии.
Таким образом, на основании приведённых выше данных, результатов осмотров, лабораторных и инструментальных методов обследования, положительной динамики и заживления язвенных дефектов на фоне приёма глюкокортикоидов наиболее вероятным представляется диагноз гангренозной пиодермии.
Заключение
Представленный клинический случай призван повысить осведомлённость врачей-специалистов о гангренозной пиодермии, являющейся редким поражением кожи, а также возможности вирусного антигена COVID-19 провоцировать обострение заболевания и необходимости проведения дифференциальной диагностики при выставлении заключительного диагноза.
Дополнительная информация
Вклад авторов. Н.П. Теплюк, О.В. Грабовская ― концепция, дизайн и руководство проведением исследования; О.В. Грабовская, С.Г. Раденска-Ловопок ― сбор и обработка материала; А.Е. Бобкова, Д.М. Мартыненко, В.Н. Бусоль, Е.А. Метелкина ― написание текста, обзор литературы, сбор и анализ источников литературы; О.В. Грабовская ― редактирование. Все авторы одобрили рукопись (версию для публикации), а также согласились нести ответственность за все аспекты работы, гарантируя надлежащее рассмотрение и решение вопросов, связанных с точностью и добросовестностью любой её части.
Благодарности. Авторы выражают искреннюю благодарность проф., д-ру мед. наук В.А. Смольянниковой, проф., д-ру мед. наук Ч.С. Павлову, доц., канд. мед. наук Е.В. Гончаровой за организацию и участие в междисциплинарном консилиуме.
Согласие на публикацию. Авторы получили письменное информированное добровольное согласие пациента на публикацию персональных данных, в том числе фотографий (с закрытием лица), в научном журнале, включая его электронную версию (дата подписания 02.06.2023). Объём публикуемых данных с пациентом согласован.
Источники финансирования. Отсутствуют.
Раскрытие интересов. Авторы заявляют об отсутствии отношений, деятельности и интересов за последние три года, связанных с третьими лицами (коммерческими и некоммерческими), интересы которых могут быть затронуты содержанием статьи.
Оригинальность. При проведении исследования и создании настоящей работы авторы не использовали ранее опубликованные сведения (текст, иллюстрации, данные).
Доступ к данным. Редакционная политика в отношении совместного использования данных к настоящей работе неприменима, новые данные не собирали и не создавали.
Генеративный искусственный интеллект. При создании настоящей статьи технологии генеративного искусственного интеллекта не использовали.
Рассмотрение и рецензирование. Настоящая работа подана в журнал в инициативном порядке и рассмотрена по обычной процедуре. В рецензировании участвовали два внешних рецензента и научный редактор издания.
Additional information
Authors' contributions. N.P. Teplyuk, O.V. Grabovskaya ― concept, design and conducting of scientific research; O.V. Grabovskaya, S.G. Radenska-Lovopok ― collection and analysis of materials; A.E. Bobkova, D.M. Martynenko, V.N. Busol, E.A. Metelkina ― collection and analysis of literature sources, preparation and writing of the text; O.V. Grabovskaya ― editing. Thereby, all authors provided approval of the version to be published and agree to be accountable for all aspects of the work in ensuring that questions related to the accuracy or integrity of any part of the work are appropriately investigated and resolved.
Acknowledgments. The coauthors would like to express their sincere gratitude to Prof., Dr. V.A. Smolyannikova, Prof., Dr. C.S. Pavlov and Prof., PhD E.V. Goncharova for the organization and participation in the interdisciplinary concilium.
Consent for publication. The patient gave her written voluntary informed consent for the publication of the clinical case and photographic materials in this journal (date of signing 02.06.2023). The scope of the published data has been agreed with the patient.
Funding sources. No funding.
Disclosure of interests. The authors declare that they have no known competing financial interests or personal relationships that could have appeared to influence the work reported in this paper.
Statement of originality. When conducting the research and creating this work, the authors did not use previously published information (text, illustrations, data).
Access to data. The editorial policy regarding data sharing does not apply to this work, and no new data was collected or created.
Generative AI. Generative AI technologies were not used for this article creation.
Provenance and peer-review. This work was submitted to the journal on its own initiative and reviewed according to the usual procedure. The review included two external reviewers and the scientific editor of the publication.
About the authors
Natalia P. Teplyuk
I.M. Sechenov First Moscow State Medical University (Sechenov University)
Author for correspondence.
Email: teplyukn@gmail.com
ORCID iD: 0000-0002-5800-4800
SPIN-code: 8013-3256
MD, Dr. Sci. (Medicine), Professor
Russian Federation, MoscowOlga V. Grabovskaya
I.M. Sechenov First Moscow State Medical University (Sechenov University)
Email: olgadoctor2013@yandex.ru
ORCID iD: 0000-0002-5259-7481
SPIN-code: 1843-1090
MD, Cand. Sci. (Medicine), Professor
Russian Federation, MoscowStefka G. Radenska-Lopovok
I.M. Sechenov First Moscow State Medical University (Sechenov University)
Email: radenska@mail.ru
ORCID iD: 0000-0002-4669-260X
SPIN-code: 3805-7380
MD, Dr. Sci. (Medicine), Professor
Russian Federation, MoscowAnna E. Bobkova
I.M. Sechenov First Moscow State Medical University (Sechenov University)
Email: anya_bobkova98@mail.ru
ORCID iD: 0000-0003-3611-0917
SPIN-code: 5345-5746
Russian Federation, Moscow
Daria M. Martynenko
I.M. Sechenov First Moscow State Medical University (Sechenov University)
Email: dariamart19@mail.ru
ORCID iD: 0000-0002-5123-6473
SPIN-code: 7402-2532
Russian Federation, Moscow
Vera N. Busol
I.M. Sechenov First Moscow State Medical University (Sechenov University)
Email: verafbmusik@yandex.ru
ORCID iD: 0009-0001-3785-374X
SPIN-code: 2639-2459
Russian Federation, Moscow
Elizaveta A. Metelkina
I.M. Sechenov First Moscow State Medical University (Sechenov University)
Email: emetelkina2001@gmail.com
ORCID iD: 0009-0002-9565-7429
Russian Federation, Moscow
References
- Grabovskaya OV, Teplyuk NP, Kusraeva DT, Varshavsky VA. Clinical case of pyoderma gangrenosum. Russian journal of skin and venereal diseases. 2019;22(5-6):161–166. EDN: ZXXFVF
- Maronese CA, Pimentel MA, Li MM, et al. Pyoderma gangrenosum: An updated literature review on established and emerging pharmacological treatments. Am J Clin Dermatol. 2022;23(5):615–634. EDN: DGWFZV doi: 10.1007/s40257-022-00699-8
- Chen B, Li W, Qu B. Practical aspects of the diagnosis and management of pyoderma gangrenosum. Front Med (Laussane). 2023;10:1134939. EDN: DARNQV doi: 10.3389/fmed.2023.1134939
- Barbe M, Batra A, Golding S, et al. Pyoderma gangrenosum: A literature review. Clin Podiatr Med Surg. 2021;38(4):577–588. doi: 10.1016/j.cpm.2021.06.002
- Kim YJ, Lee KH, Won CH, et al. Clinicopathological features and prognosis of pyoderma gangrenosum in Korea: A single centre, retrospective, observational study over 20 years. Indian J Dermatol Venereol Leprol. 2023;89(1):25–34. EDN: NIEFMI doi: 10.25259/IJDVL_968_20
- Teplyuk NP, Grabovskaya OV, Kusraeva DT, Varshavsky VA. Pyoderma gangrenosum: Examination and treatment experience. Russian journal of skin and venereal diseases. 2022;25(1):61–72. EDN: DKLOSE doi: 10.17816/dv105685
- Xu A, Balgobind A, Strunk A, et al. Prevalence estimates for pyoderma gangrenosum in the United States: An age- and sex-adjusted population analysis. J Am Acad Dermatol. 2020;83(2):425–429. EDN: IZAQWU doi: 10.1016/j.jaad.2019.08.001
- Ben Abdallah H, Bech R, Fogh K, et al. Comorbidities, mortality and survival in patients with pyoderma gangrenosum: A Danish nationwide registry-nested case-control study. Br J Dermatol. 2021;185(6):1169–1175. EDN: YORVGY doi: 10.1111/bjd.20474
- Alonso-León T, Hernández-Ramírez HH, Fonte-Avalos V, et al. The great imitator with no diagnostic test: Pyoderma gangrenosum. Int Wound J. 2020;17(6):1774–1782. EDN: VCAOJY doi: 10.1111/iwj.13466
- Dissemond J, Marzano AV, Hampton PJ, et al. Pyoderma gangrenosum: Treatment options. Drugs. 2023;83(14):1255–1267. EDN: TCQOZR doi: 10.1007/s40265-023-01931-3
- Castro LG. JAK inhibitors: A novel, safe, and efficacious therapy for pyoderma gangrenosum. Int J Dermatol. 2023;62(8):1088–1093. EDN: QQLTCU doi: 10.1111/ijd.16676
- Lytvyn Y, Mufti A, Maliyar K, et al. Onset of pyoderma gangrenosum in patients on biologic therapies: A systematic review. Adv Skin Wound Care. 2022;35(8):454–460. EDN: TUVGBC doi: 10.1097/01.ASW.0000820252.96869.8e
- Haag C, Hansen T, Hajar T, et al. Comparison of three diagnostic frameworks for pyoderma gangrenosum. J Invest Dermatol. 2021;141(1):59–63. EDN: JOMSHN doi: 10.1016/j.jid.2020.04.019
- Olisova OYu, Teplyuk NP, editors. An illustrated guide to dermatology. To prepare physicians for accreditation. Moscow: GEOTAR-Media; 2023. Р. 227–243. (In Russ.) EDN: YEPGAA doi: 10.33029/9704-7375-7-DER-2023-1-376
- Alberti-Violetti S, Berti E, Marzano AV. Cutaneous and systemic vasculitides in dermatology: A histological perspective. G Ital Dermatol Venereol. 2018;153(2):185–193. doi: 10.23736/S0392-0488.18.05886-8
- Ikeda T. Recent topics related to etiology and clinical manifestations of cutaneous arteritis. Front Med (Lassaune). 2022;9:1022512. EDN: USSEEE doi: 10.3389/fmed.2022.1022512
- Uludoğan BC, Yaşar Bilge NŞ. Cutaneous arteritis: Description based on chapel hill conference consensus 2012 and a case report. Acta Medica. 2023;(54):25–28. EDN: MBWLPA doi: 10.32552/2023.ActaMedica.965
- Rosul MV, Patskan BM. Pyoderma gangrenosum as the only manifestation of asymptomatic newly diagnosed nonspecific ulcerative colitis. Clinical case. Wiad Lek. 2022;75(10):2549–2553. EDN: QZLKDO doi: 10.36740/WLek202210144
- Muravyova EA, Olisova OYu, Nikitin EA. A combination of hemorrhagic and ulcerative necrotic forms of polymorphic dermal angiitis in a female patient with b-cell lymphoma receiving biological therapy. Russian journal of skin and venereal diseases. 2015;18(3):23–26. EDN: TWPZXZ
- Clark AL, Williams B. Recurrence of pyoderma gangrenosum potentially triggered by COVID-19 vaccination. Cureus. 2022;14(2):e22625. EDN: LJLYER doi: 10.7759/cureus.22625
- Teplyuk NP, Grabovskaya OV, Kusraeva DT, et al. Successful treatment of pyoderma gangrenosum in a patient winh ulcerative colitis and COVID-19 infection: Case report. Russian journal of skin and venereal diseases. 2022;25(5):373–380. EDN: UZQVSP doi: 10.17816/dv111864
- Borczuk AC, Yantiss RK. The pathogenesis of coronavirus-19 disease. J Biomed Sci. 2022;29(1):87. EDN: FYCLBU doi: 10.1186/s12929-022-00872-5
Supplementary files







