Dual-wavelength copper vapor laser treatment of congenital melanocytic nevi with complex anatomical localization
- Authors: Ponomarev I.V.1, Topchiy S.B.1, Klyuchareva S.V.2, Sakharova M.V.2, Pushkareva A.E.3
-
Affiliations:
- P.N. Lebedev Physical Institute
- North-Western State Medical University named after I.I. Mechnikov
- Saint-Petersburg National Research University of Information Technologies, Mechanics and Optics
- Issue: Vol 27, No 5 (2024)
- Pages: 499-515
- Section: DERMATO-ONCOLOGY
- Submitted: 17.05.2024
- Accepted: 15.09.2024
- Published: 01.12.2024
- URL: https://rjsvd.com/1560-9588/article/view/632124
- DOI: https://doi.org/10.17816/dv632124
- ID: 632124
Cite item
Abstract
BACKGROUND: Melanocytic nevi can affect the complex anatomical localization of the face and the ear area, a very important part of the face from an aesthetic point of view. Treatment methods should provide not only a good cosmetic result but also not disrupt the function of the eye and vision. Surgical excision and non-selective technologies, including radiofrequency exposure, peels, and ablative lasers, can lead to scarring, eyelash loss, and severe functional complications of the organ of vision due to insufficient skin thickness.
AIM: To evaluate the effectiveness of treatment of melanocytic nevi of complex anatomical localization with copper vapor laser radiation.
MATERIALS AND METHODS: Treatment of melanocytic nevi in the periorbital region was carried out in 35 patients (28 women and 7 men), aged 14–65 years. The procedures were performed at an average output power of a copper vapor laser of 0.6–0.8 W, at 511 nm and 578 nm wavelengths, an exposure time of 0.2 s, and a light spot diameter on the skin of 1 mm. The laser treatment was performed without anesthesia. A total of up to four treatments were administered at monthly intervals. The criterion for choosing the energy of laser pulses (selective photohermal laser destruction) was chosen to change the color of the entire surface of the neoplasm to a dark gray color. The duration of skin healing after the procedure was two weeks.
RESULTS: The dual-wavelength copper vapor laser treatment of melanocytic nevi with complex anatomical localization completely removes skin neoplasms in all patients without scarring or recurrences within two years after treatment. According to the results of a computer simulation of selective heating of the pigmented layer, the copper vapor laser is an optimal treatment choice for melanocytic nevi.
CONCLUSION: Clinical data and computer simulation results demonstrate that the treatment of melanocytic nevi of complex anatomical localization using copper vapor laser radiation provides good results and is safer than near-infrared lasers. It makes it possible to use this method in the clinical practice of dermatologists and cosmetologists.
Full Text
Background
A melanocytic nevus is neuroglial in origin, which is associated with embryonic migration of melanoblasts from the neural crest into the skin, particularly the stratum basale of the epidermis, where they mature into melanocytes. Some melanoblasts reach the epidermis, while others remain in the dermis. Dermal melanoblasts differ from epidermal melanocytes in their reduced capacity to synthesize melanin and in the absence of processes that prevent them from transferring melanin to keratinocytes. Nevi of varying depth and location are formed. Nevi on the face and exposed head areas are of particular concern because these areas are more exposed to the sun and can affect facial esthetics.
Melanocytic nevi can affect the periorbital area, which plays a very important role in facial esthetics [1, 2]. Treatment options for the periorbital area should not only provide a good esthetic result, but also not affect eye function and vision.
Surgical excision of a lesion, including the periorbital region or the earlobe, is particularly difficult, since the thickness of the epidermis of the eyelids does not exceed 50 μm, and the thickness of the dermis is about 500 μm [3, 4]. Non-selective options (e.g., radiofrequency exposure and peels) can lead to scarring, eyelash loss, and severe functional ocular complications due to the difficulty in controlling the depth of exposure [5]. Periorbital use of near-infrared ruby, alexandrite and neodym (Nd:YAG) lasers is associated with a risk of side effects such as edema, vitreous and iris damage, and even partial blindness [6].
Two-wave copper vapor laser irradiation may be safer than other laser systems due to the high absorption by melanin, oxyhemoglobin, and hemoglobin at 511 nm and 578 nm, resulting in an effective penetration depth of irradiation that does not exceed the thickness of the dermis. Yellow copper vapor laser irradiation at 578 nm corresponds to the local absorption peak of oxyhemoglobin and is successfully used to treat vascular skin lesions. Green irradiation at 511 nm is effective in the treatment of skin pigmentation disorders due to high absorption by melanin [7].
Early results with the copper vapor laser for the treatment of periorbital melanocytic nevi are promising [8–10].
Aim. The aim of the study was to evaluate the efficacy of copper vapor laser irradiation in the treatment of melanocytic nevi in combined locations.
Materials and methods
Study Design
The article presents the results of a retrospective study of 35 patients aged 14–65 years with melanocytic nevi in combined locations at the Department of Dermatovenereology of the Federal State Budgetary Educational Institution of Higher Education North-Western State Medical University named after I.I. Mechnikov of the Ministry of Health of Russia. After clinical and imaging evaluation, patients received copper vapor laser treatment for their nevi.
Eligibility Criteria
Eligibility criteria included written informed consent obtained from patients or their representatives in accordance with the Declaration of Helsinki; diagnosis of melanocytic nevus confirmed by preliminary evaluation; no signs of activation (significant lesion increase in the previous year, change in color, complaints of tingling, itching); age 14 to 65 years; ability to treat a patient in an outpatient setting.
Exclusion criteria included a history of severe medical conditions which could lead to severe complications during evaluation and treatment; age up to 14 years and over 65 years; pregnancy or breastfeeding; previous nevus treatment with instrumentation techniques and physiotherapy; previous participation in similar studies or concurrent participation in other clinical studies.
Study Duration
The study was conducted between October 2020 and January 2022.
The sample was formed during the winter, spring, summer, and fall seasons. In a pilot project, no differences in study results were found depending on the seasonal factor, so this factor was not considered later.
Outcomes Registration
The laser irradiation site was photographed with a digital camera before, immediately after, and 1 month after the procedure. Treatment efficacy was evaluated using clinical findings and digital camera images. The patients were followed up for 2 years after treatment.
Treatment outcome was assessed as the percentage of nevus regression in the treated area from the baseline: “none” or “poor” if remission was ≤25%; “moderate” for remission of 25%–50%; “good” for remission of 50%–75%; “excellent” for remission of >75% at 2, 6, and 12 months of follow-up.
Intervention
Before starting copper vapor laser treatment of melanocytic nevi in complex anatomic locations, a primary clinical diagnosis was made based on complaints, medical history, physical examination including palpation, visual assessment of a lesion including its macroscopic shape, surface and surrounding tissue condition, contours, pigmentation and color, and measurement of the size of the lesion and adjacent tissue with the naked eye.
Patients were examined in bright daylight (neutral white light 3200–4500 K). In cloudy weather, artificial warm white light sources (3000–3500 K with artificial overhead lighting, 2700–3200 K with side lighting) were used.
Melanocytic nevi were photographed in all patients: first in normal mode, capturing the tumor location and surrounding tissue, and then in macro mode at 10x optical zoom using a SONY Cyber-Shot DSC-H3 digital camera with an 8-megapixel Zoom 10 sensor (Germany).
The image was then examined in detail on the computer screen at various magnifications (30–50 times the original size of the lesion) using the ABCD rule.1 The surface, color, borders and contours of the lesion were evaluated, as well as changes in surrounding tissues and the nature of the pathological process. The diagnosis was based on clinical signs and dermoscopic findings. Patients were then evaluated by an oncologist and histology was performed to confirm the diagnosis.
The Total Dermoscopy Score and Argenziano Scoring were used for dermoscopic diagnosis [10]. A two-step algorithm for the classification of pigmented skin lesions proposed at the First World Congress on Dermoscopy (Rome, Italy, 2001), was used [11]. A Heine DELTA 20 dermoscope (Germany) with the following features was used: 10x magnification; no distortion over the entire field of view due to the achromatic lens system; LED; 6 light sources and 3 additional sources for lateral illumination with a focus correction level of −6 dpt to +6 dpt and a rechargeable BETA R handle.
For the treatment of melanocytic nevi, the Yakhroma-Med copper vapor laser (Lebedev Physical Institute of the Russian Academy of Sciences; Roszdravnadzor Registration Certificate No. ФСР 2008/03743 [FSR 2008/03743]) operating at 511 nm and 578 nm with a pulse generation duration of 20 ns and a pulse repetition frequency of 16.6 kHz was used. The copper vapor laser was set to an average power of 0.6–0.8 W with a power ratio of 3:2 at 511 nm and 578 nm and an exposure time of 0.2–0.3 s. The diameter of the light spot on the skin was 1 mm. The entire surface of the lesion was densely treated with laser pulses in layers. In areas where the esthetic effect was particularly important, the procedure was performed in several steps (up to four steps in the earlobe area) with an interval of 1 month.
Main Study Outcome
The treatment endpoint was chosen to be a uniform color change of the pigment to dark gray and yellow-gray colors.
Additional Study Outcomes
During laser treatment, the top layer of pigmented skin that had changed color was removed using a swab soaked in hypertonic solution. Laser treatment was continued until there was no pigmentation in the treatment area, as monitored by dermoscopy.
Stainless steel contact lenses placed on the eye surface were used to protect the patient’s eyes during the periorbital treatment. Patients tolerated the laser therapy well. The procedure was performed under local anesthesia with 1–3 mL of 2% lidocaine (Solutionis Lidocaini).
After laser treatment in the early postoperative period, an antiseptic solution of 0.05% chlorhexidine bigluconate was applied to the laser-treated skin three times a day. The healing process took 2 weeks. After 7–10 days, the crusts separated and the epidermis was restored with no hyperpigmentation in the treated area. Two weeks after the laser treatment, the color of the skin area was close to the color of the surrounding intact skin.
Numerical simulation to select laser exposure parameters
Computer simulation of the heating of a 15–100 μm thick dermal pigmented layer by laser irradiation was used to evaluate the heating patterns of tissues with different melanin content in the dermal pigment layer by different laser irradiation modes and to calculate the optimal treatment parameters using a copper vapor laser. Fig. 1 shows the geometry of the model. The evaluated dermal pigmented layer could be at different distances from the skin surface. The model calculated the spatial distribution of light intensity in the tissue and the associated distribution of heating temperature of the tissue and pigmented layer of different thicknesses.
Fig. 1. Geometry of the model: Hmin, Hmax: the minimum and maximum distance from the skin surface to the top point of the pigment layer (the depth of location at which its selective heating to temperatures above 65ºC is possible). Dpig is the thickness of the pigment layer.
Mathematical modeling of the optical and thermal diffusion processes as light strikes the skin was used to perform the calculations. Matlab and Femlab were used to solve partial differential equations by the finite element method as described in [7].
The melanin content in the analytical model was selected from the color of the pigment spot and ranged from 15% to 30% according to [12], because the distribution and concentration of melanin in the skin can be approximately estimated from the color of the pigment spot during dermoscopy. For calculations of the heating power for the dermal pigmented layer, the stratum basale thickness was set at 15 µm and the epidermal thickness at 70 mm. In a melanocytic nevus, in addition to individual melanocytes, there are also clusters of melanocytes up to 100 μm in size. Therefore, the thickness of the pigmented layer in the dermis varied from 15 μm to 100 μm in the calculation.
The model calculated the spatial distribution of light intensity in the tissue and the associated distribution of heating temperature of the tissue and pigmented layer of different thicknesses. The parameters of the copper vapor laser used for the calculation were as follows: average power up to 3 W; pulse duration 20 ns; pulse repetition frequency 16.6 kHz; exposure time 200–600 ms; diameter of laser focus area on skin 1 mm.
Fig. 2 shows the estimated temperature distribution across the tissue thickness at the end of a 200-ms laser pulse. The calculations show a selective heating mode of a 200-µm thick dermal pigmented layer at a depth of 335 µm (i.e. its temperature during laser exposure is higher than the surrounding tissue temperature). Copper vapor laser irradiation at a green wavelength of 511 nm (energy exposure 19 J/cm2) also overheats the stratum basale over 65 ºC, while irradiation at a yellow wavelength of 578 nm (energy exposure 15.1 J/cm2) is safer because it does not cause the stratum basale to overheat over 65 ºC.
Fig. 2. Calculated dependences of temperature on depth in skin tissue containing a pigmented layer with a thickness of Dpig 200 µm, located at a depth of 335 µm, with a melanin content of 15% with fluence E=19 J/cm2 at a copper vapor laser wavelength of 511 nm (green) and at E=15.1 J/cm2 at a copper vapor laser wavelength of 578 nm (yellow). The exposure time was taken to be 0.2 s.
Fig. 3 shows the estimated values for the effective depth at which a 50 µm and 100 µm thick dermal pigmented layer with a melanin content of 15% can be selectively heated over 65 ºC by copper vapor laser radiation at 511 nm and 578 nm without overheating the stratum basale over 65 ºC.
Fig. 3. Calculated dependences of the maximum and minimum depths of the pigmented layer in the dermis (Hmax and Hmin), at which the pigmented layer with a melanin content of 15% of various thicknesses (Dpig) (a) can be heated to temperatures exceeding 65ºC without overheating the basal layer, on fluence (E) at copper vapor laser wavelengths of 511 nm (green) and 578 nm (orange) (b). The exposure duration was taken to be 0.2 s.
Calculations of selective heating of a pigmented layer of different thicknesses over 65 ºC showed the advantages of using copper vapor laser irradiation at 578 nm compared with 511 nm, which was estimated to provide twice the effective depth and a wider range of pigmented layer thicknesses for which its selective photodestruction can be ensured.
The absorption of copper vapor laser irradiation by melanin is 10 times higher than the 1064-nm wavelength of the Nd:YAG laser, so selective photodestruction with the copper vapor laser requires less light pulse energy than with near-infrared lasers.
For comparison, Fig. 4 shows the estimated energy exposures of copper vapor laser irradiation with a 1064-nm wavelength of the Nd:YAG laser, which ensures selective heating of the dermal pigment layer with a thickness of 15, 50 and 100 µm. Heating the pigment layer with Nd:YAG laser irradiation requires 5–10 times more energy compared with copper vapor laser irradiation.
Fig. 4. Calculated dependences of the maximum and minimum depths of the pigmented layer in the dermis (Hmax and Hmin), at which the pigmented layer with a melanin content of 15% of various thicknesses (Dpig) can be heated to temperatures exceeding 65ºC without overheating the basal layer, from the fluence (E) at the wavelength of the Nd:YAG laser (1064 nm). Exposure time is 0.2 s.
The copper vapor laser is estimated to selectively heat the pigment layer to a depth of less than 600 µm, which is the thickness of the skin in the periorbital region. However, due to its higher penetrating power, the Nd:YAG laser selectively heats the pigment layer to a depth of up to 3.5 mm, which exceeds the thickness of the skin and eyelid in the periorbital region and may pose a risk to the eye.
Therefore, the copper vapor laser appears to be a safer option for facial treatment than the Nd:YAG laser due to its small effective heat dissipation depth corresponding to facial skin thickness, and a more optimal treatment option than near-infrared lasers such as Nd:YAG and diode lasers.
Ethics Approval
This study was conducted in accordance with the Good Clinical Practice. Informed consent was obtained from all patients to participate in the study based on the ethical standards of the World Medical Association’s Declaration of Helsinki Recommendations for Physicians Engaged in Biomedical Research Involving Human Subjects. The Treatment of Epidermal Melanocytic Nevi with Copper Vapor Laser study was approved by the Local Ethics Committee of the Federal State Budgetary Educational Institution of Higher Education North-Western State Medical University named after I.I. Mechnikov of the Ministry of Health of Russia (Protocol No. 7 dated October 7, 2020).
Statistical Analysis
Demographic characteristics and nevus sizes are presented as median and interquartile range.
IBM SPSS Statistics 21.0 was used to statistically process the results.
Results
Participants
After evaluation, all 35 patients (age 14 to 65 years, median 34 [28–45] years) were diagnosed with a pigmented nevus.
The dermoscopy score did not exceed 4.75, consistent with a diagnosis of benign melanocytic neoplasia.
Histology showed that in the whole population, 9 (25.7%) patients had an intradermal pigmented nevus, 6 (17.1%) patients had a borderline nevus, and 20 (57.1%) patients had a mixed nevus.
The majority of study participants were women (28 [80%]), and there were 7 men (20%). In patients examined, the pigmented nevi were predominantly located on the face in 29 patients (82.9%) and on the head in 6 patients (17.1%).
Congenital and acquired pigmented nevi were found in 18 (51.4%) and 17 (48.6%) patients, respectively. In 15 (42.9%) patients with a history of a congenital nevus, the lesion was found to grow during puberty.
In all patients examined, the size of the nevi ranged from 5 mm to 45 mm. Most nevi were up to 10 mm in size (24 patients [68.6%]). In 1 female patient (2.9%) a 30-mm melanocytic nevus was found on the left earlobe. Five (14.3%) patients had a lesion up to 14 mm in the upper eyelid, 3 (8.6%) had a lesion up to 35 mm in the lower eyelid. In 2 (5.7%) patients, nevi up to 45 mm were observed on the scalp.
Table 1 shows the clinical profile of the patients.
Table 1. Clinical profile of patients
Patient, No. | Age, years | Sex | Nevus | Number of procedures | Treatment outcome, score | ||
Location | Number | Size, mm | |||||
1 | 28 | F | Scalp | 1 | 45 | 3 | 5 |
2 | 23 | F | Scalp | 2 | 45 | 3 | 5 |
3 | 45 | M | Auricle | 1 | 8 | 2 | 4 |
4 | 60 | F | Nose | 1 | 6 | 1 | 5 |
5 | 20 | F | Nose | 1 | 5 | 1 | 5 |
6 | 41 | F | Chin | 2 | 5 | 1 | 4 |
7 | 45 | M | Forehead | 2 | 8 | 2 | 5 |
8 | 22 | F | Nose | 1 | 6 | 1 | 5 |
9 | 65 | M | Scalp | 2 | 8 | 1 | 5 |
10 | 58 | F | Nose | 1 | 8 | 1 | 5 |
11 | 35 | F | Upper eyelid | 1 | 14 | 2 | 4 |
12 | 34 | F | Nose | 1 | 6 | 1 | 5 |
13 | 52 | F | Lips and perioral region | 1 | 5 | 1 | 4 |
14 | 25 | M | Upper eyelid | 1 | 12 | 1 | 5 |
15 | 14 | F | Auricle, earlobes | 1 | 30 | 4 | 4 |
16 | 24 | F | Chin | 2 | 8 | 1 | 5 |
17 | 31 | M | Upper eyelid | 1 | 12 | 1 | 5 |
18 | 28 | F | Forehead | 2 | 6 | 1 | 5 |
19 | 45 | F | Cheeks | 2 | 5 | 1 | 4 |
20 | 32 | F | Scalp | 2 | 9 | 2 | 4 |
21 | 40 | F | Cheeks | 1 | 5 | 1 | 5 |
22 | 25 | F | Lips and perioral region | 1 | 7 | 1 | 5 |
23 | 22 | F | Chin | 1 | 6 | 2 | 5 |
24 | 38 | M | Scalp | 2 | 8 | 1 | 4 |
25 | 34 | F | Lower eyelid | 1 | 35 | 2 | 4 |
26 | 38 | M | Upper eyelid | 1 | 11 | 1 | 4 |
27 | 31 | F | Lips and perioral region | 1 | 5 | 1 | 5 |
28 | 46 | F | Lower eyelid | 1 | 35 | 1 | 4 |
29 | 31 | F | Nose | 1 | 7 | 1 | 5 |
30 | 32 | F | Chin | 1 | 5 | 1 | 4 |
31 | 30 | F | Lips and perioral region | 1 | 5 | 1 | 5 |
32 | 42 | F | Forehead | 2 | 6 | 1 | 5 |
33 | 50 | F | Scalp | 3 | 8 | 1 | 5 |
34 | 48 | F | Upper eyelid | 1 | 12 | 1 | 4 |
35 | 29 | F | Lower eyelid | 1 | 30 | 1 | 4 |
Total | - | - | - | 24 patients had 1 nevus, 10 patients had 2 nevi, 1 patient had 3 nevi | - | - | 21 ― «5» 14 ― «4» |
Me [25; 75] | 34 [28; 45] | - | - | - | Nevus size 8 [6; 12] | Mean number of procedures was 1.37±0.73 | - |
Note. в/ч ― pilosebaceous part.
Primary Results
Dermoscopy showed that all 35 patients had signs typical of benign pigmented lesions (Table 2). Typical pigment network (30; 85.7%) and globules (33 nevi; 94.3%) predominated.
Table 2. Dermoscopic features of nevi
Parameter | Patients n=35 (%) |
Borders: • clarity of borders • abrupt pigment pattern cutoff | 35 (100) - |
Color: • one color • two colors • polychromia (three colors) | 12 (34.3) 19 (54.3) 4 (11.4) |
Feature: • typical (reticular) pigment network • atypical pigment network • negative pigment network (cobblestone pattern) • homogeneous area • globules • pseudopodia (focal pattern) | 30 (85.7) - 5 (14.3) 33 (94.3) 2 (5.7) - |
Dermoscopic nevus patterns are provided (Fig. 5, 6).
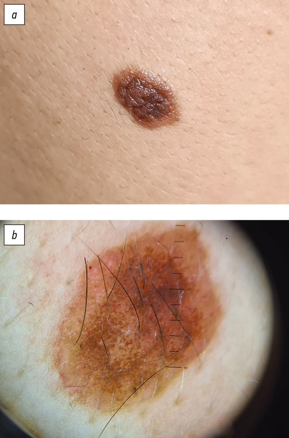
Fig. 5. Diagnosis: Complex nevus of the cheek area (a). Dermoscopy: cobblestone pattern in the central part of the nevus, reticular pattern along the periphery, homogeneous brown areas in the central part (b).
Fig. 6. Diagnosis: Intradermal nevus of the nasal wing (a). Dermoscopy (×10): cobblestone pattern, round in the central part zone of hypopigmentation (b).
A multi-stage clinical examination of patients with pigmented nevi demonstrates the high information value of the diagnostic algorithm we used.
A history of constant sun exposure and trauma to the pigmented nevus as a risk factor for melanoma were indications for treatment in all patients. Two clinical cases of treatment of melanocytic nevi in combined locations with the copper vapor laser are described to illustrate the treatment process.
Case 1. Patient S., a 29-year-old female, reported having the lesion since birth, when her parents noticed dark skin areas on the left upper and lower eyelids that gradually increased in size (Fig. 7). By the age of 5 years, the lesion was localized to the upper and lower left eyelids. The lesion progressed slowly; after the age of 16, the nevus lesions did not increase in size.
Fig 7. Female С., 29 years old, congenital complex melanocytic nevus in the left upper and lower eyelid area before treatment.
In November 2021, the patient presented to the Department of Dermatovenereology of the Federal State Budgetary Educational Institution of Higher Education North-Western State Medical University named after I.I. Mechnikov of the Ministry of Health of Russia for removal of a nevus for esthetic reasons.
Examination showed that the primary lesion was a 3 cm × 1 cm light and dark brown papule on the lower eyelid involving the lash growth area with a transition to the inner part of the eyelid, and light brown patches on the upper eyelid.
A congenital combined melanocytic nevus was diagnosed by oncologists.
Dermoscopy of the upper eyelid area showed the homogeneous structure of the lesion, uneven distribution of brown pigment, pale brown/brown areas (Fig. 8).
Fig. 8. Dermoscopy (×10) performed before treatment: homogeneous structure, brown pigment distributed unevenly with areas of pale brown/brown color.
Diagnosis: Congenital combined nevus.
Differential diagnosis. The differential diagnosis of combined nevus is based on clinical features and includes sebaceous gland nevus, seborrheic keratosis, pigmented basalioma, Spitz nevus, dysplastic nevus.
Interventions. Laser treatment of a nevus in the lower eyelid area was performed with a copper vapor laser with a 3:2 power ratio of 511 nm and 578 nm wavelengths. Average power was 0.74 W, and the exposure time was 0.2 s. Laser pulses selectively heated and destroyed the pigment (Fig. 9). After heating the tissue, the nevus changed color to dark gray. During laser treatment, the top layer of pigmented skin that had changed color was removed using a swab soaked in hypertonic solution. Laser treatment was continued until no pigmentation was observed in the treatment area under dermoscopic control (Fig. 10).
Fig. 9. Immediately after a copper vapor laser treatment with a power ratio at wavelengths of 511 nm and 578 nm (3:2). Average power: 0.74 W; exposure time: 0.2 sec. Laser pulses heat the pigment selectively, resulting in its subsequent destruction.
Fig. 10. Dermoscopy (×10) immediately after laser treatment: selective heating of tissues with laser radiation caused the color of the nevus to change to a dark gray.
At the 6-month follow-up, the lesion was completely removed and no pigment (nevus) was observed. No scars were formed (Fig. 11). The patient was followed up for 1.5 years, and no relapse was reported.
Fig. 11. Six months after treatment: the pathological focus was completely removed; there are no scar changes.
Case 2. Patient A., a 14-year-old female, reported having a lesion since birth, when her parents noticed a dark skin area on the left earlobe (Fig. 12). The lesion progressed slowly with age-related changes. After the age of 12 years, the nevus did not increase in size and did not change its color, but it was sometimes injured. In October 2020, the patient presented to the Department of Dermatovenereology of the Federal State Budgetary Educational Institution of Higher Education North-Western State Medical University named after I.I. Mechnikov of the Ministry of Health of Russia for removal of a nevus for esthetic reasons.
Fig. 12. Female A., 14 years old, congenital melanocytic nevus in the area of the left earlobe (before the main treatment, the first stage). There is a small area of light skin in the lower part ― trial treatment stage (5 mm).
Examination showed that the primary lesion was a 3 cm × 2 cm light and dark brown sparsely hairy patch on the left earlobe.
A congenital melanocytic nevus was diagnosed by oncologists.
Dermoscopy showed the cobblestone pattern of the lesion with a damaged area in the center (Fig. 13).
Fig. 13. Dermoscopy (×10): cobblestone pattern, with the injured area in the center (homogeneous vascular component). Before the main treatment.
Diagnosis: Congenital melanocytic nevus.
Differential diagnosis: The differential diagnosis of congenital melanocytic nevus is based on clinical features and includes sebaceous gland nevus, seborrheic keratosis, pigmented basalioma, Spitz nevus, dysplastic nevus.
Interventions. Four treatment procedures were performed with an interval of 1 month, with each 1 cm2 lesion treated once. Fig. 14–17 describe the treatment steps. Laser treatment of a nevus in the left earlobe area was performed with a copper vapor laser with a 3:2 power ratio of 511 nm and 578 nm wavelengths. Average power was 0.76 W, and the exposure time was 0.2 s. Laser pulses selectively heated and destroyed the pigment (Fig. 15). After heating the tissue, the nevus changed color to gray. During laser treatment, the top layer of pigmented skin that had changed color was removed using a swab soaked in hypertonic solution. Laser treatment was continued until no pigmentation was observed in the treatment area under dermoscopic control (Fig. 16).
Fig. 14. After the second stage of laser treatment: the lesion decreased by 30%, and the skin acquired a natural appearance without scars.
Fig. 15. Dermatoscopy (×10) after the second stage of copper vapor laser treatment: there is an absence of pigment, globules, white scales, and a diffuse vascular component.
Fig. 16. The fourth stage of treatment: immediately after laser therapy.
Fig. 17. After treatment, in 4 months: healthy skin is noted; without a scar, only hair growth is preserved.
At the 6-month follow-up, the lesion was completely removed and no pigment (nevus) was observed. No scar was formed. Hair growth was maintained (Fig. 17). The patient was followed up for 1.5 years, and no relapse was reported.
Treatment required one to five procedures at 1-month intervals. Treatment of facial melanocytic nevi with two-wave copper vapor laser irradiation completely removed melanocytic nevi without scarring in all patients (Table 1). Most patients (n=26) were cured with 1 procedure, 6 patients required 2 procedures, 2 patients required 3 procedures, and 1 patient required 4 procedures.
All patients were followed up for 2 years after treatment; no relapses were reported.
Discussion
Various medical devices have been used for the treatment of melanocytic nevi since the clinical introduction of laser.
Ablative lasers (CO2 and Er:YAG) are shown to have a high risk of scarring, which is unacceptable for periorbital treatment [13, 14].
Lasers that can selectively target pigment using selective photothermolysis provide successful treatment results with lower complication rates. Selectivity of the effect of the laser pulse on the pigment depends on the choice of wavelength, which should match the absorption range of melanin (the target pigment chromophore), and the pulse duration.
The wavelengths of pulsed dye lasers, Q-switched Nd:YAG laser (second harmonic at 532 nm), and near-infrared lasers (diode, Nd:YAG) are consistent with the range of high melanin absorption. Since the absorption of melanin at 511 nm of the copper vapor laser or the 532-nm second harmonic of the Q-switched Nd:YAG laser is more than 10 times greater than the absorption at 1064 nm of the Nd:YAG laser, the copper vapor laser irradiation provides better heating selectivity.
Selectivity is achieved by minimizing the thermal impact on the surrounding tissue, which requires selecting the optimal duration of the laser light pulse. A laser with a pulse duration that does not exceed the thermal relaxation time of the target pigment is required, which depends on the geometric size of the target pigment and ranges from 0.25 μs to 1.00 μs for melanosomes and up to 0.1 ms (100 μs) for melanocytes. The treatment of melanocytic nevi requires the simultaneous use of millisecond and nanosecond laser exposure modes, because melanocytic nevi contain both individual melanocytes and clusters of melanocytes approximately 100 µm in size, consistent with thermal relaxation time of approximately 10 ms [15].
Despite successful results, treatment with ruby, alexandrite, and Nd:YAG lasers with Q-switching and nanosecond pulse duration often resulted in relapses. For example, patients with melanocytic nevi were only partially cured with the ruby laser, with most patients experiencing relapse in the form of repigmentation after several months [16].
Histologically, relapses after Q-switched ruby laser and Nd:YAG laser treatment are associated with incomplete destruction of nevomelanocytes [17]. In addition, the use of near-infrared lasers (Nd:YAG, alexandrite, ruby) in the periorbital region poses a risk to the eye [6].
For effective treatment of patients with melanocytic nevi, a laser with maximum selectivity for melanocyte destruction should be used, allowing the simultaneous use of millisecond and nanosecond laser exposure modes, while being safe for periorbital treatment. This combined exposure mode provides copper vapor laser irradiation at 511 nm and 578 nm, consisting of short 20-ns pulses and a peak power of up to several kW. These pulses are combined by a shutter into a light pulse train of 50–200-ms duration for skin treatment. We found that the copper vapor laser successfully treated melanocytic nevi in all patients without side effects and relapses. However, optical coherence tomography showed a twofold increase in vascularization in the area of melanocytic nevi [18]. Studies [19, 20] showed a correlation between the underlying vascular network and hyperpigmentation, therefore laser effects on the vascular component of the pigmented lesion may prevent relapses after laser treatment.
Induction of melanogenesis by endothelial cells suggests remodeling of vessels associated with hyperpigmentation to prevent relapses [21]. Therefore, the copper vapor laser irradiation at 578 nm can be effectively used for selective photodestruction of dysplastic vessels in the area of a melanocytic nevus with increased vascularization in order to prevent relapses [7, 21, 22].
Two-wave copper vapor laser irradiation for the treatment of periorbital melanocytic nevi restored normal skin structure without relapses throughout the follow-up period. No post-procedural side effects (erythema, bleeding, scarring, hyperpigmentation) were reported.
Study Limitations
Further studies in a larger population of patients with different skin phototypes are needed to determine the optimal ratio of laser irradiation powers at green (511 nm) and yellow (578 nm) wavelengths.
Conclusion
As shown by our numerical modeling, copper vapor laser irradiation can selectively heat the 15 to 100 μm thick pigment layer at a depth consistent with the periorbital skin thickness, which is a more optimal treatment option compared to near-infrared lasers such as Nd:YAG and diode lasers. We attribute our clinical results in treating melanocytic nevi with dual-wave copper vapor laser irradiation to the high selectivity of heating the pigment and remodeling the vascular bed associated with pigmentation.
Therefore, two-wave irradiation with a copper vapor laser is an effective and safe treatment option for melanocytic nevi in combined locations, especially in the periorbital region, with no side effects (erythema, scarring, repigmentation, or eyelid dysfunction), because it does not penetrate into the deep layers of the dermis and does not overheat the dermal stem cells, which is necessary for effective skin healing after laser treatment. The copper vapor laser provides safe laser exposure, including in the periorbital region, and shortens the post-laser rehabilitation period by photodestruction of tissues, melanosomes and microvascular bed to a depth not exceeding the thickness of the dermis.
The high efficacy and safety of two-wave copper vapor laser irradiation in the treatment of melanocytic nevi in combined locations, including the periorbital region, opens new opportunities for its use in dermatology and ophthalmology.
Additional information
Funding source. This study was not supported by any external sources of funding.
Competing interests. The authors declare that they have no competing interests.
Authors' contribution. All authors made a substantial contribution to the conception of the work, acquisition, analysis, interpretation of data for the work, drafting and revising the work, final approval of the version to be published and agree to be accountable for all aspects of the work. I.V. Ponomarev, S.V. Kluchareva ― the concept and design of the study; S.B. Topchiy, S.V. Kluchareva, M.V. Sakharova, A.E. Pushkareva ― collection and interpreting the data; I.V. Ponomarev ― drafting the manuscript; S.V. Kluchareva ― revising the manuscript.
Consent for publication. The patients’ voluntarily signed an informed consent for the publication of personal medical information in anonymised form in the Russian Journal of Skin and Venereal Diseases, as well as for the transfer of an electronic copy of the signed informed consent form to the journal’s editorial staff.
1 The ABCD rule is used in dermatology as a diagnostic algorithm to evaluate pigmented skin lesions based on four parameters: asymmetry (A); borders (B); color (C); diameter (D).
About the authors
Igor V. Ponomarev
P.N. Lebedev Physical Institute
Author for correspondence.
Email: luklalukla@ya.ru
ORCID iD: 0000-0002-3345-3482
SPIN-code: 7643-0784
Cand. Sci. (Physical and Mathematical)
Russian Federation, MoscowSergey B. Topchiy
P.N. Lebedev Physical Institute
Email: sergtopchiy@mail.ru
ORCID iD: 0000-0001-6540-9235
SPIN-code: 2426-3858
Cand. Sci. (Physical and Mathematical)
Russian Federation, MoscowSvetlana V. Klyuchareva
North-Western State Medical University named after I.I. Mechnikov
Email: genasveta@rambler.ru
ORCID iD: 0000-0003-0801-6181
SPIN-code: 9701-1400
MD, Dr. Sci. (Medicine), Professor
Russian Federation, Saint PetersburgMariia V. Sakharova
North-Western State Medical University named after I.I. Mechnikov
Email: dr.marvl@mail.ru
ORCID iD: 0009-0000-3462-2666
SPIN-code: 6791-8256
Russian Federation, Saint Petersburg
Alexandra E. Pushkareva
Saint-Petersburg National Research University of Information Technologies, Mechanics and Optics
Email: alexandra.pushkareva@gmail.com
ORCID iD: 0000-0003-0082-984X
SPIN-code: 8117-1266
Cand. Sci. (Technical)
Russian Federation, Saint PetersburgReferences
- Yus ES, del Cerro M, Simón RS, et al. Unna’s and Miescher’s nevi: Two different types of intradermal nevus. Hypothesis concerning their histogenesis. Am J Dermatopathol. 2007;29(2):141–151. doi: 10.1097/dad.0b013e31803325b2
- Witt C., Krengel S. Clinical and epidemiological aspects of subtypes of melanocytic nevi (Flat nevi, Miescher nevi, Unna nevi). Dermatol Online J. 2010;16(1):1. doi: 10.5070/d39bh0r2t8
- Karymov ON, Kalashnikova SA, Solov’yeva IO, Polyakova LV. Histotopographic features of facial skin structure. J Anatomy Histopathology. 2017;6(1):29–32. EDN: YHCSAD doi: 10.18499/2225-7357-2017-6-1-29-32
- Yarovoy AA, Shatskikh AV, Bulgakova ES, Krivovyaz OS. Results of surgeries for melanocytic nevi of eyelid skin. Russ Ophihalmolog J. 2014;7(1):53–57. EDN: RYGUAH
- Zhu L, Jia Y, Wang X. Treatment of eyelid nevus with CO2 laser: A double-edged sword. J Dermatol Treatment. 2015;26(3):257–258. doi: 10.3109/09546634.2014.945894
- Parver DL, Dreher RJ, Kohanim S, et al. Ocular injury after laser hair reduction treatment to the eyebrow. Arch Ophthalmol. 2012;130(10):1330–1334. doi: 10.1001/archophthalmol.2012.1988
- Pushkareva AE, Ponomarev IV, Isaev AA, Klyuchareva SV. Numerical investigation of vessel heating using a copper vapor laser and a pulsed dye laser in treating vascular skin lesions. Laser Physics. 2018;28(2):025604. doi: 10.1088/1555-6611/aa8cdb
- Ponomarev IV, Topchy SB, Pushkareva AE, et al. Treatment of congenital melanocytic nevus in infants and children by a dual-wavelengths copper vapor laser. Vestnik dermatologii i venerologii. 2020;96(3):43–52. EDN: SAWUUI doi: 10.25208/vdv1133
- Ponomarev IV, Topchiy SB. Andrusenko YN, Shakina LD. The successful treatment of eyelid intradermal melanocytic nevi (Nevus of Miescher) with the dual-wavelengths copper vapor laser. J Lasers Med Sci. 2021;12(1):e23 doi: 10.34172/jlms.2021.23
- Argenziano G, Soyer HP, Chimenti S, et al. Dermoscopy of pigmented skin lesions: Results of a consensus meeting via the Internet. J Am Acad Dermatol. 2003;48(5):679–693. doi: 10.1067/mjd.2003.281
- Argenziano G, Soyer HP. Dermoscopy of pigmented skin lesions: A valuable tool for early. Lancet Oncol. 2001;2(7):443–449. doi: 10.1016/s1470-2045(00)00422-8
- Sakai H, Ando Y, Ikinaga K, Tanaka M. Estimating melanin location in the pigmented skin lesions by hue-saturation-lightness color space values of dermoscopic images. J Dermatol. 2017;44(5):490–498. doi: 10.1111/1346-8138.13725
- Bray FN, Shah V, Nouri K. Laser treatment of congenital melanocytic nevi: A review of the literature. Lasers Med Sci. 2016;(31):197–204. doi: 10.1007/s10103-015-1833-3
- Gu Y, Chang SJ, Ma G, et al. Treatment of congenital melanocytic nevi in the eyelid and periorbital region with ablative lasers. Ann Plastic Surg. 2019;83(4S):S65–S69. doi: 10.1097/sap.0000000000002094
- Sardana K, Chakravarty P, Goel K. Optimal management of common acquired melanocytic nevi (moles): Current perspectives. Clin Cosmet Investig Dermatol. 2014;(7):89–103. doi: 10.2147/ccid.s57782
- Helsing P, Mørk G, Sveen B. Ruby laser treatment of congenital melanocytic naevi: A pessimistic view. Acta Derm Venereol. 2006;86(3):235–237. doi: 10.2340/00015555-0041
- Grevelink JM, van Leeuwen RL, Anderson RR, Byers HR. Clinical and histological responses of congenital melanocytic nevi after single treatment with Q-switched lasers. Arch Dermatol. 1997;133(3):349–353. doi: 10.1001/archderm.133.3.349
- Ulrich M, Themstrup L, de Carvalho N, et al. Dynamic optical coherence tomography in dermatology. Dermatology. 2016;232(3):298–311. doi: 10.1159/000444706
- Hasegawa K, Fujiwara R, Sato K, et al. Increased blood flow and vasculature in solar lentigo. J Dermatol. 2016;43(10):1209–1213. doi: 10.1111/1346-8138.13458
- Hara Y, Yamashita T, Ninomiya M, et al. Vascular morphology in facial solar lentigo assessed by optical coherence tomography angiography. J Dermatol Sci. 2021;102(3):193–195. doi: 10.1016/j.jdermsci.2021.04.001
- Regazzetti C, de Donatis GM, Ghorbel HH, et al. Endothelial cells promote pigmentation through endothelin receptor B activation. J Investig Dermatol. 2015;135(12):3096–3104. doi: 10.1038/jid.2015.332
- Klyuchareva SV, Ponomarev IV, Topchy SB, et al. Treatment of basal cell cancer in the periorbital area using a pulsed copper vapour. Vestnik dermatologii i venerologii. 2018;94(6):15–21. EDN: ZCPWTJ doi: 10.25208/0042-4609-2018-94-6-15-21
Supplementary files




















