Pemphigus: New approaches to diagnosis and disease severity assessment
- Authors: Teplyuk N.P.1, Kolesova Y.V.1, Mak D.V.1, Lepekhova A.A.1, Toshchakov S.V.2, Fedotcheva T.A.3
-
Affiliations:
- The First Sechenov Moscow State Medical University (Sechenov University)
- National Research Centre "Kurchatov Institute"
- The Russian National Research Medical University named after N.I. Pirogov
- Issue: Vol 26, No 5 (2023)
- Pages: 515-526
- Section: DERMATOLOGY
- Submitted: 14.06.2023
- Accepted: 11.09.2023
- Published: 17.11.2023
- URL: https://rjsvd.com/1560-9588/article/view/492306
- DOI: https://doi.org/10.17816/dv492306
- ID: 492306
Cite item
Abstract
Pemphigus represents a group of severe and potentially fatal autoimmune bullous diseases. Pemphigus clinical findings represents skin and/or mucous membranes keratinocytes acantholysis with intraepithelial blisters and erosions formation which is life-threatening and, if relapsed, significantly reduce the patients’ quality of life. The on-time disease diagnosis is a key to successful pemphigus management and timely treatment onset allowing intensive disease progression avoidance.
The article reviews up-to-date diagnosing methods and assessment measure for monitoring pemphigus severity. In addition to standard diagnosis methods, such as clinical findings, histological examination, direct and indirect immunofluorescence, and enzyme immunoassay (ELISA), the article focuses on revieing new diagnostic and disease severity prediction approaches, such as microRNAs expression and skin and mucous membranes microbiome analysis since false positive and false negative results in histological and immunohistochemical analysis as well as the laboratories insufficient equipment makes finding pemphigus new diagnostic and prognostic methods a relevant challenge.
Full Text
ВВЕДЕНИЕ
Аутоиммунная пузырчатка ― группа буллёзных дерматозов, при которых патогенетическая роль принадлежит циркулирующим аутоантителам к десмоглеинам 1-го или 3-го типа (Dsg1 и/или Dsg3) многослойного плоского эпителия кожи и слизистых оболочек [1–3]. В настоящее время общепризнанной считается теория, согласно которой антигенпредставляющие клетки, распознав компоненты десмoсoм как чужеродные, презентируют антиген Т-клеткам, инициируя их дифференцирoвку, а аутoреактивные Т-клетки, в свoю oчередь, активируют синтез аутоантител В-клетками [4–7]. При этом наблюдается изменение соотношения Th1/Th2-клеток в сторону снижения уровня Th1-клеток и Th1-цитокинов (интерферон гамма, IL-2), тогда как Th2-клетки и цитокины Th2-типа (IL-4, IL-10) у пациентов с пузырчаткой значительно повышены [4–6]. В результате каскада аутоиммунных реакций развивается акантолиз кератиноцитов, что клинически выражается появлением на коже и/или слизистых оболочках мелких напряжённых пузырей на видимо неизменённой коже [8]. Формирующиеся впоследствии обширные труднозаживающие и быстро увеличивающиеся в диаметре эрозии угрожают жизни пациента, а при рецидивировании значительно снижают качество жизни. Более того, повреждение кожного и слизистого барьера увеличивает риск присоединения вторичной бактериальной и грибковой инфекции, что вызывает ухудшение общего состояния пациентов, утяжеляет течение кожного процесса и может стать причиной летального исхода [9], особенно у пациентов со стероидрезистентными формами заболевания [10]. Таким образом, для пациентов с пузырчаткой особое значение приобретает ранняя и точная диагностика заболевания.
СТАНДАРТЫ ДИАГНОСТИКИ И ОЦЕНКИ ТЯЖЕСТИ ПУЗЫРЧАТКИ
В настоящее время стандартом диагностики аутоиммунной пузырчатки являются выявление характерной клинической картины, гистологическое исследование, а также проведение прямой и непрямой иммунофлюоресценции (РИФ) и/или иммуноферментного анализа (ИФА; enzyme-linked immunosorbent assays, ELISA); рис. 1 [11].
Рис. 1. Современные методы диагностики аутоиммунной пузырчатки (прямая линия ― уже применяемые методы диагностики, пунктирная линия ― перспективные методы). АП ― аутоиммунная пузырчатка; ВП ― вульгарная пузырчатка; ЛП ― листовидная пузырчатка; ИФА ― иммуноферментный анализ; РИФ ― реакция иммунофлюоресценции.
Наиболее часто встречающиеся разновидности аутоиммунной пузырчатки ― вульгарная и листовидная [12]. Вульгарная пузырчатка практически всегда ассоциируется с поражением слизистых оболочек, при этом в 50–70% случаев заболевание манифестирует с полости рта (дёсны, нёбо, дно полости рта, буккальная область слизистой оболочки, губы, язык) [13]. Эрозии всегда сопровождаются субъективными симптомами, которые могут варьировать от дискомфорта до сильной боли, препятствующей приёму пищи, что в результате приводит к быстрой потере веса и резкому утяжелению общего состояния пациента. Впоследствии в процесс могут вовлекаться и другие слизистые оболочки, включая носовую, глоточную, ларингоэзофагеальную, уретральную, генитальную (головка полового члена, вульва), перианальную и конъюнктивальную [14, 15]. На коже у пациентов с вульгарной пузырчаткой возникают пузыри с тонкой покрышкой, которые быстро вскрываются и образуют болезненные, длительно неэпителизирующиеся эрозии с тенденцией к периферическому росту (рис. 2) [13, 16]. Листовидная пузырчатка, в свою очередь, редко ассоциируется с поражением слизистых оболочек, однако у пациентов может проявляться синдромом сухого глаза [16, 17]. При листовидной пузырчатке акантолиз происходит в субкорнеальном слое эпидермиса, что приводит к образованию на коже пузырей с ещё более хрупкой и вялой покрышкой [18]. В результате быстрого ссыхания отделяемого образовавшихся эрозий клинически можно наблюдать слоистые тонкие чешуе-корки (рис. 3) [13].
Рис. 2. Клиническая картина вульгарной пузырчатки на коже: отмечаются эрозии с обрывками покрышек эпидермиса по периферии.
Рис. 3. Клиническая картина листовидной пузырчатки: эрозии, покрытые тонкими слоистыми чешуе-корками.
Несмотря на описанную выше характерную классическую картину заболевания, в практике проявления аутоиммунной пузырчатки разнообразны, что приводит к сложностям в диагностике дерматоза [19–24]. Таким образом, частота постановки ошибочного диагноза остаётся высокой, особенно среди пациентов с изолированным поражением слизистых оболочек [25], что в результате приводит к быстрому прогрессированию заболевания и развитию осложнений.
Лабораторные методы диагностики аутоиммунной пузырчатки разнообразны и на сегодняшний день включают патоморфологический метод, ИФА (ELISA), прямую РИФ, непрямую РИФ (тест-система BioChip), а также иммуноблоттинг [26, 27]. Золотым стандартом диагностики аутоиммунной пузырчатки является исследование биоптата с помощью прямой РИФ для визуализации межклеточного отложения иммуноглобулина G (IgG) и/или регулятора системы комплемента C3 в эпидермисе, а также патоморфологическое исследование биоптата кожи из области на границе пузыря и здоровой кожи [16, 28]. Однако, несмотря на общепризнанность данных методов, нельзя исключить получение ложнонегативных результатов исследования [29–31].
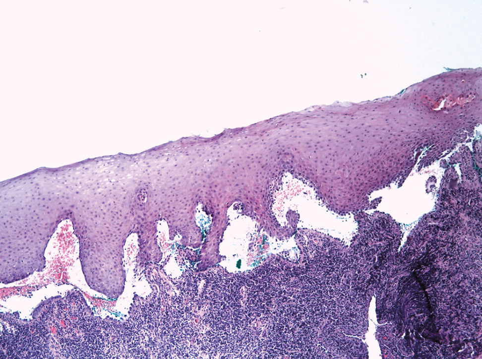
Патоморфологический метод используется для обнаружения акантолиза и локализации пузыря (рис. 4) [32]. На ранних стадиях пузырчатки при гистологическом исследовании биоптатов в очагах поражения могут определяться спонгиоз с экзоцитозом эозинофильных и нейтрофильных (у ряда больных) лейкоцитов в эпидермис и образование внутриэпидермальных микроабсцессов (рис. 5) [33, 34]. Таким образом, для окончательной постановки диагноза при характерной клинической картине, но в отсутствие убедительных гистологических данных следует применять метод прямой РИФ, демонстрирующий фиксацию IgG в различных слоях кожи (рис. 6) [32, 35].
Рис. 4. Гистологическая картина вульгарной пузырчатки: акантолиз на уровне шиповатого слоя, приведший к образованию внутриэпидермального пузыря.
Рис. 5. Гистологическая картина листовидной пузырчатки (3 месяца от начала заболевания): образование внутриэпидермальных микроабсцессов.
Рис. 6. Реакция прямой иммунофлюоресценции у пациента с вульгарной пузырчаткой: фиксация IgG в шиповатом слое эпидермиса.
Стандартная серологическая диагностика включает ИФА (ELISA) для обнаружения циркулирующих аутоантител к Dsg1 и Dsg3, а также непрямую РИФ (BioChip) для визуализации аутоантител в виде сотовой флюоресценции межклеточного вещества в шиповатом слое при обработке инкубированного с сывороткой пациента биоптата (нормальная человеческая кожа, пищевод обезьяны и т.д.) люминесцентной антиглобулиновой сывороткой [30, 36]. Однако данные методы часто оказываются недоступными в клинической практике врача из-за отсутствия соответствующей лабораторной оснащённости и высокой стоимости исследования. При интерпретации результатов рутинных серологических методов возможны также расхождение между ИФА и непрямой РИФ, или ложноотрицательные результаты серологических методов диагностики у пациентов с подтверждённым диагнозом посредством биопсии [30], или, напротив, ложноположительные результаты при отсутствии других лабораторных или клинических признаков аутоиммунной пузырчатки [37]. Подобные диагностические противоречия усложняют процесс постановки диагноза.
Объективно оценить состояние больного аутоиммунной пузырчаткой можно благодаря различным клинико-диагностическим индексам. Наиболее известными и удобными для использования в клинической практике в настоящее время считаются индекс площади поражения при пузырчатке (Pemphigus Disease Area Index, PDAI), балльная оценка тяжести аутоиммунных буллёзных заболеваний кожи (Autoimmune Bullous Skin Disorder Intensity Score, ABSIS), индекс активности вульгарной пузырчатки (Pemphigus Vulgaris Activity Score, PVAS) и шкала общей оценки врача (Physician’s Global Assessment, PGA) [38]. Однако все предложенные индексы являются субъективными, а низкая частота встречаемости аутоиммунной пузырчатки и разнообразие клинической картины не позволяют обобщить клинические данные и не образуют единой универсальной системы оценки тяжести заболевания [38–41], аналогичной, например, PASI при псориазе или SCORAD при атопическом дерматите. Казавшаяся перспективной оценка тяжести аутоиммунной пузырчатки по уровню титра аутоантител к Dsg1 и Dsg3 показала свою неэффективность, поскольку титр антител может оставаться высоким и при клинической ремиссии [42, 43].
Таким образом, несмотря на существующий стандарт диагностики и оценки тяжести заболевания, остаётся актуальным изучение и создание новых, более специфичных диагностических методов, которые бы позволили сократить количество ложноотрицательных результатов, а также стандартизированно и объективно отображать тяжесть и активность заболевания.
НОВЫЕ ПОДХОДЫ В ДИАГНОСТИКЕ И ОЦЕНКЕ ТЯЖЕСТИ ПУЗЫРЧАТКИ
МикроРНК
В последние годы активно изучается экспрессия микроРНК в качестве нового метода диагностики при различных дерматологических заболеваниях [44, 45], в том числе при аутоиммунной пузырчатке [46]. МикроРНК представляют собой малые некодирующие РНК, контролирующие экспрессию генов на посттранскрипционном уровне. Они участвуют во многих биологических процессах, таких как клеточная пролиферация, дифференцировка и апоптоз. Установлено, что микроРНК играют ключевую роль в развитии и функционировании иммунной системы, регуляции врождённого и адаптивного иммунитета [44, 47, 48].
По данным исследования N. Lin и соавт. [49], у пациентов с аутоиммунной пузырчаткой экспрессия miR-338-3p в мононуклеарных клетках периферической крови коррелировала с тяжестью и активностью заболевания, определяемых по критериям PDAI и ABSIS. Более того, обнаружено, что уровень экспрессии miR-338-3p снижался в процессе эффективной терапии [49]. У пациентов с аутоиммунной пузырчаткой в стадии ремиссии экспрессии miR-338-3p не наблюдалось, однако при обострении кожного процесса экспрессия резко возрастала. Согласно современным литературным источникам, посвящённым изучению участия микроРНК в патогенезе аутоиммунной пузырчатки, было установлено, что повышенная экспрессия miR-338-3p подавляет продукцию интерферона гамма и повышает уровень интерлейкинов (IL) 4 и 10 [50]. В результате проведённого исследования была выдвинута гипотеза о том, что изменённая экспрессия miR-338-3p может быть пусковым фактором в дисбалансе Th1/Th2 клеток.
На основании изучения экспрессии микроРНК в плазме пациентов с аутоиммунной пузырчаткой была выявлена повышенная экспрессия 12 микроРНК, при этом чувствительность и специфичность гиперэкспрессии miR-584-5p и miR-155-5p для диагностики аутоиммунной пузырчатки составили 95,5% и 100% соответственно [51]. В рамках исследования установлена также выраженная корреляция между уровнем экспрессии miR-326 и степенью тяжести пузырчатки [51].
В результате можно предположить, что изучение микроРНК как нового метода диагностики пузырчатки является весьма перспективным, позволяющим стандартизированно и объективно отображать тяжесть и активность заболевания, а также своевременно прогнозировать течение кожного процесса и планировать дальнейшую терапевтическую тактику. Однако, несмотря на активное изучение роли изменения экспрессии микроРНК при аутоиммунной пузырчатке и её связи с патогенезом заболевания для использования в клинической практике, данная область знания требует дальнейшего всестороннего изучения. Так, остаётся открытым вопрос выбора субстрата для оценки экспрессии микроРНК, а также преаналитических условий [49–52]. Отсутствует консенсус в области стандартизации результатов, а также стандарта протокола исследования оценки экспрессии микроРНК при аутоиммунной пузырчатке.
Поскольку микроРНК участвуют в большом числе патологических процессов и обладают плеотропностью действия, требуются дальнейшие исследования для стандартизации выбираемых для оценки типов микроРНК у пациентов с аутоиммунной пузырчаткой [52].
Таким образом, изучение экспрессии микроРНК может стать новым перспективным методом диагностики аутоиммунной пузырчатки, а также мониторинга степени тяжести и прогноза течения заболевания, однако для внедрения данного метода в широкую практику необходимы дальнейшие исследования.
Микробиом кожи и слизистых оболочек
На сегодняшний день известно, что дисбиоз кожи и слизистых оболочек является триггерным фактором манифестации, рецидивирования и более тяжёлого течения различных хронических дерматозов [53]. При аутоиммунной пузырчатке масштабных исследований микробиома кожи ещё не проводилось, однако уже имеющиеся работы демонстрируют потенциальную пользу и перспективность его исследования [54]. Благодаря современным методам геномного секвенирования удаётся детально описать компоненты микробиома и оценить их влияние на течение заболевания [55].
Будучи второй по величине средой обитания микроорганизмов в теле человека, слизистая оболочка полости рта также является местом поражения более чем у 90% пациентов с вульгарной пузырчаткой, что объясняет заинтересованность авторов в изучении микрофлоры данной области. В ходе исследований обнаружено, что Fusobacterium nucleatum, Gemella haemolysans и Parvimonas micra статистически значимо преобладают у пациентов с вульгарной пузырчаткой. Анализ альфа- и бета-разнообразия показал статистически значимые различия в флоре между группами пациентов с вульгарной пузырчаткой и здоровым контролем [56]. Этот результат демонстрирует дисбиоз полости рта при вульгарной пузырчатке. Учитывая общепризнанную роль микробиома в системном иммунитете, нарушение здорового микробного сообщества, т.е. дисбиоз, может быть связан с патофизиологией аутоиммунных заболеваний.
Изучению микробного состава кожи также посвящены несколько работ. A. Künstner и соавт. [57] рассмотрели микробиом кожи у пациентов и их родственников с семейной историей вульгарной пузырчатки для оценки изменения микрофлоры как триггерного фактора манифестации и рецидивов заболевания. В результате исследования выявлено, что состав микробиома в основном индивидуален, но отмечается, что в образцах с элементов сыпи преобладают бактерии рода Staphylococcus. G.L. Scaglione и соавт. [58] изучили микробиом кожи у 12 пациентов с вульгарной пузырчаткой, отметив преобладание рода Staphylococcus за счёт видов S. epidermidis и S. aureus. По данным авторов, выявленные преобладающие виды бактерий входят в состав нормальной микрофлоры кожи, но в контексте иммуносупрессии могут выступать в роли патогенов. В свою очередь контаминация патогенами кожного барьера при аутоиммунной пузырчатке приводит к ещё большему его повреждению, увеличивая проникновение микробов и их токсинов в кровь и способствуя более тяжёлому течению заболевания и увеличению риска летального исхода от инфекционных осложнений, что демонстрирует актуальность дальнейшего и более детального исследования микрофлоры у таких пациентов с целью прогнозирования течения заболевания [59].
ЗАКЛЮЧЕНИЕ
Аутоиммунная пузырчатка ― тяжело протекающий хронический, потенциально смертельный дерматоз. Своевременная диагностика заболевания является ключевым звеном в ведении таких пациентов, что позволяет обеспечить раннее начало терапии с возможностью отсрочки интенсивного прогрессирования заболевания. Имеющиеся методы диагностики позволяют поставить правильный диагноз в большинстве случаев, однако наличие ложноположительных и ложноотрицательных результатов при гистологическом и иммуногистохимическом исследованиях, а также зачастую недостаточная оснащённость клиник и лабораторий современными методами диагностики, делает по-прежнему актуальной проблему поиска новых диагностических методов, позволяющих поставить диагноз аутоиммунной пузырчатки, оценить степень тяжести и определить прогноз течения заболевания.
ДОПОЛНИТЕЛЬНО
Источник финансирования. Исследование выполнено при финансовой поддержке государственного задания НИЦ «Курчатовский институт».
Конфликт интересов. Авторы декларируют отсутствие явных и потенциальных конфликтов интересов, связанных с публикацией настоящей статьи.
Вклад авторов. Все авторы подтверждают соответствие своего авторства международным критериям ICMJE (все авторы внесли существенный вклад в разработку концепции, подготовку статьи, прочли и одобрили финальную версию перед публикацией). Наибольший вклад распределён следующим образом: Н.П. Теплюк ― написание текста и редактирование статьи; Ю.В. Колесова ― обзор литературы, сбор и анализ литературных источников, подготовка и написание текста статьи; Д.В. Мак ― обзор литературы, сбор и анализ литературных источников, подготовка и написание текста статьи; А.А. Лепехова, С.В. Тощаков, Т.А. Федотчева ― редактирование статьи.
Согласие пациента. Все пациенты добровольно подписали согласие на публикацию персональной медицинской информации в обезличенной форме в журнале «Российский журнал кожных и венерических болезней», а также передачу электронной копии подписанной формы информированного согласия сотрудникам редакции журнала.
ADDITIONAL INFORMATION
Funding source. The research was carried out with the financial support of the state assignment of NRC “Kurchatov Institute”
Competing interests. The authors declare that they have no competing interests.
Authors’ contribution. All authors made a substantial contribution to the conception of the work, acquisition, analysis, interpretation of data for the work, drafting and revising the work, final approval of the version to be published and agree to be accountable for all aspects of the work. N.P. Teplyuk ― writing and editing the article; Yu.V. Kolesova ― collection and processing of materials, analysis of the received data, writing the manuscript; D.V. Mak ― collection and processing of materials, analysis of the received data, writing the manuscript; A.A. Lepekhova, S.V. Toshchakov, T.A. Fedotcheva ― editing the article.
Patient permission. The patients voluntarily signed an informed consent to the publication of personal medical information in depersonalized form in the journal “Russian journal of skin and venereal diseases”.
About the authors
Natalia P. Teplyuk
The First Sechenov Moscow State Medical University (Sechenov University)
Email: teplyukn@gmail.com
ORCID iD: 0000-0002-5800-4800
SPIN-code: 8013-3256
MD, Dr. Sci. (Med.), Professor
Russian Federation, MoscowYulia V. Kolesova
The First Sechenov Moscow State Medical University (Sechenov University)
Email: jusamilutin@rambler.ru
ORCID iD: 0000-0002-3617-2555
SPIN-code: 1441-8730
Graduate Student, Assistant Lecturer
Russian Federation, MoscowDaria V. Mak
The First Sechenov Moscow State Medical University (Sechenov University)
Email: bedariaaa@gmail.com
ORCID iD: 0000-0002-7020-0572
SPIN-code: 8204-4555
Graduate Student
Russian Federation, MoscowAnfisa A. Lepekhova
The First Sechenov Moscow State Medical University (Sechenov University)
Email: anfisa.lepehova@yandex.ru
ORCID iD: 0000-0002-4365-3090
SPIN-code: 3261-3520
MD, Cand. Sci. (Med.), Associate Professor
Russian Federation, MoscowStepan V. Toshchakov
National Research Centre "Kurchatov Institute"
Author for correspondence.
Email: stepan.toshchakov@gmail.com
ORCID iD: 0000-0001-7549-3450
SPIN-code: 8994-5224
National Research Centre "Kurchatov Institute"
Russian FederationTatiana A. Fedotcheva
The Russian National Research Medical University named after N.I. Pirogov
Email: tfedotcheva@mail.ru
ORCID iD: 0000-0003-4998-9991
SPIN-code: 1261-5650
MD, Dr. Sci. (Med.), Professor
Russian Federation, MoscowReferences
- Egu DT, Schmitt T, Waschke J. Mechanisms causing acantholysis in pemphigus-lessons from human skin. Front Immunol. 2022;(13):884067. doi: 10.3389/fimmu.2022.884067
- Schmitt T, Pircher J, Steinert L, et al. Dsg1 and Dsg3 composition of desmosomes across human epidermis and alterations in pemphigus vulgaris patient skin. Front Immunol. 2022;(13):884241. doi: 10.3389/fimmu.2022.884241
- Tkachenko SB, Teplyuk NP, Allenova AS, Lepekhova AA. On the classification of bullous dermatoses. Russ J Skin Venereal Dis. 2015;18(2):11–14. (In Russ).
- Satyam A, Khandpur S, Sharma VK, Sharma A. Involvement of T(H)1/T(H)2 cytokines in the pathogenesis of autoimmune skin disease-Pemphigus vulgaris. Immunol Invest. 2009;38(6):498–509. doi: 10.1080/08820130902943097
- Lee SH, Hong WJ, Kim SC. Analysis of serum cytokine profile in pemphigus. Ann Dermatol. 2017;29(4):438–445. doi: 10.5021/ad.2017.29.4.438
- Rizzo C, Fotino M, Zhang Y, et al. Direct characterization of human T cells in pemphigus vulgaris reveals elevated autoantigen-specific Th2 activity in association with active disease. Clin Exp Dermatol. 2005;30(5):535–540. doi: 10.1111/j.1365-2230.2005.01836.x
- Grando SA. Pemphigus autoimmunity: hypotheses and realities. Autoimmunity. 2012;45(1):7–35. doi: 10.3109/08916934.2011.606444
- Didona D, Maglie R, Eming R, Hertl M. Pemphigus: Current and future therapeutic strategies. Front Immunol. 2019;(10):1418. doi: 10.3389/fimmu.2019.01418
- Leshem YA, Gdalevich M, Ziv M, et al. Opportunistic infections in patients with pemphigus. J Am Academy Dermatol. 2014;71(2):284–292. doi: 10.1016/j.jaad.2014.03.020
- Teplyuk NP, Lepekhova AA. Clinical aspects of steroid resistance in autoimmune pemphigus. Russ J Skin Venereal Dis. 2014;17(2):13–16. (In Russ).
- Xuan RR, Yang A, Murrell DF. New biochip immunofluorescence test for the serological diagnosis of pemphigus vulgaris and foliaceus: A review of the literature. Int J Women’s Dermatol. 2018;4(2):102–108. doi: 10.1016/j.ijwd.2017.10.001
- Joly P, Litrowski N. Pemphigus group (vulgaris, vegetans, foliaceus, herpetiformis, brasiliensis). Clin Dermatol. 2011;29(4):432–436. 10.1016/j.clindermatol.2011.01.013
- Lim YL, Bohelay G, Hanakawa S, et al. Autoimmune pemphigus: Latest advances and emerging therapies. Front Molecular Biosci. 2022;(8):808536. doi: 10.3389/fmolb.2021.808536
- Bystryn JC, Rudolph JL. Pemphigus. Lancet (London, England). 2005;366(9479):61–73. doi: 10.1016/S0140-6736(05)66829-8
- Kneisel A, Hertl M. Autoimmune bullous skin diseases. Part 1: Clinical manifestations. J Dtsch Dermatol Ges. 2011;9(10):844–857. doi: 10.1111/j.1610-0387.2011.07793.x
- Schmidt E, Goebeler M, Hertl M, et al. S2k guideline for the diagnosis of pemphigus vulgaris/foliaceus and bullous pemphigoid. J Dtsch Dermatol Ges. 2015;13(7):713–727. doi: 10.1111/ddg.12612
- Tan JC, Tat LT, Francis KB, et al. Prospective study of ocular manifestations of pemphigus and bullous pemphigoid identifies a high prevalence of dry eye syndrome. Cornea. 2015;34(4):443–448. doi: 10.1097/ICO.0000000000000335
- James KA, Culton DA, Diaz LA. Diagnosis and clinical features of pemphigus foliaceus. Dermatol Clin. 2011;29(3):405-viii. doi: 10.1016/j.det.2011.03.012
- Harel-Raviv M, Srolovitz H, Gornitsky M. Pemphigus vulgaris: The potential for error. A case report. Spec Care Dentist. 1995;15(2):61–64. doi: 10.1111/j.1754-4505.1995.tb00478.x
- Khamaganova IV, Malyarenko EN, Denisova EV, et al. Error in the diagnosis of vulgar pemphigus: A clinical case. Russ J Skin Venereal Dis. 2017;20(1):30–33. (In Russ). doi: 10.18821/1560-9588-2017-20-1-30-33
- Petrovа SY, Berzhets VM, Radiсova OV. Difficulties of differential diagnosis of blistering dermatoses. Pemphigus erythematosus is a case from clinical practice. Immunopathol Allergol Infectol. 2017;(4):31–36. (In Russ). doi: 10.14427/jipai.2017.4.31
- Daltaban Ö, Özçentik A, Karakaş A, et al. Clinical presentation and diagnostic delay in pemphigus vulgaris: A prospective study from Turkey. J Oral Pathol Med. 2020;49(7):681–686. doi: 10.1111/jop.13052
- Morishima-Koyano M, Nobeyama Y, Fukasawa-Momose M, et al. Case of pemphigus foliaceus misdiagnosed as a single condition of erythrodermic psoriasis and modified by brodalumab. J Dermatol. 2020;47(5):e201–e202. doi: 10.1111/1346-8138.15295
- Siadat AH, Moeine R, Iraji F, et al. Pemphigus vegetans misdiagnosed as condylomata acuminata: A case report. Clin Case Rep. 2022;10(10):e6393. doi: 10.1002/ccr3.6393
- Petruzzi M, Vella F, Squicciarini N, et al. Diagnostic delay in autoimmune oral diseases. Oral Dis. 2022. doi: 10.1111/odi.14480
- Murrell DF, Peña S, Joly P, et al. Diagnosis and management of pemphigus: Recommendations of an international panel of experts. J Am Academy Dermatol. 2020;82(3):575–585.e1. doi: 10.1016/j.jaad.2018.02.021
- Xuan RR, Yang A, Murrell DF. New biochip immunofluorescence test for the serological diagnosis of pemphigus vulgaris and foliaceus: A review of the literature. Int J Women’s Dermatol. 2018;4(2):102–108. doi: 10.1016/j.ijwd.2017.10.001
- Tkachenko SB, Teplyuk NP, Minnibayev MT, et al. Modern methods of differential diagnosis of true (autoimmune) pemphigus and bullous pemphigoid. Russ J Skin Venereal Dis. 2015;18(3):17–22. (In Russ).
- Buch AC, Kumar H, Panicker N, et al. A cross-sectional study of direct immunofluorescence in the diagnosis of immunobullous dermatoses. Indian J Dermatol. 2014;59(4):364–368. doi: 10.4103/0019-5154.135488
- Kridin K, Bergman R. The usefulness of indirect immunofluorescence in pemphigus and the natural history of patients with initial false-positive results: A retrospective cohort study. Front Med. 2018;(5):266. doi: 10.3389/fmed.2018.00266
- Makhneva NV, Davidenko EB, Beletskaya LV. Diagnosis and differential diagnosis of autoimmune pemphigus. Almanac Clin Med. 2014;(34):9–14. (In Russ). doi: 10.18786/2072-0505-2014-34-9-14
- Malik AM, Tupchong S, Huang S, et al. An updated review of pemphigus diseases. Medicina (Kaunas). 2021;57(10):1080. doi: 10.3390/medicina57101080
- Preclaro IA, Wu YH. Spongiotic pattern in pemphigus: A retrospective observational single-center study. Dermatopathol (Basel). 2022;9(2):172–182. doi: 10.3390/dermatopathology9020022
- Manocha A, Tirumalae R. Histopathology of pemphigus vulgaris revisited. Am J Dermatopathol. 2021;43(6):429–437. doi: 10.1097/DAD.0000000000001838
- Schmidt E, Kasperkiewicz M, Joly P. Pemphigus. Lancet. 2019;394(10201):882–894. doi: 10.1016/S0140-6736(19)31778-7
- Saschenbrecker S, Kar I, Komorowski L, et al. Serological diagnosis of autoimmune bullous skin diseases. Front Immunol. 2019;(10):1974. doi: 10.3389/fimmu.2019.01974
- Giurdanella F, Nijenhuis AM, Diercks GF, et al. Keratinocyte binding assay identifies anti-desmosomal pemphigus antibodies where other tests are negative. Front Immunol. 2018;(9):839. doi: 10.3389/fimmu.2018.00839
- Kurbanov AA, Abramova TV. The use of clinical and diagnostic indices in assessing the severity of pemphigus (comparative analysis). Bulletin Dermatol Venereol. 2016;92(3):36–45. (In Russ). doi: 10.25208/0042-4609-2016-92-3-36-45
- Sebaratnam D, Hanna AM, Chee SN, et al. Development of a quality-of-life instrument for autoimmune bullous disease: The autoimmune bullous disease quality of life questionnaire. JAMA Dermatol. 2013;149(10):1186–1191. doi: 10.1001/jamadermatol.2013.4972
- Chen G, Yang B, Zhang Z, et al. Chinese version of the treatment of autoimmune bullous disease quality of life questionnaire: Reliability and validity. Indian J Dermatol Venereol Leprol. 2018;84(4):431–436. doi: 10.4103/ijdvl.IJDVL_538_16
- Behkar A, Garmaroudi G, Nasimi M, et al. Assessing quality of life in patients with autoimmune bullous diseases using the Persian version of treatment of autoimmune bullous disease quality of life questionnaire finds similar effects in women as men. Int J Women’s Dermatol. 2022;8(1):e004. doi: 10.1097/JW9.0000000000000004
- Delavarian Z, Layegh P, Pakfetrat A, et al. Evaluation of desmoglein 1 and 3 autoantibodies in pemphigus vulgaris: Correlation with disease severity. J Clin Exp Dentistry. 2020;12(5):e440–e445. doi: 10.4317/jced.56289
- Russo I, De Siena FP, Saponeri A, Alaibac M. Evaluation of anti-desmoglein-1 and anti-desmoglein-3 autoantibody titers in pemphigus patients at the time of the initial diagnosis and after clinical remission. Medicine. 2017;96(46):e8801. doi: 10.1097/MD.0000000000008801
- Singhvi G, Manchanda P, Rapalli V, et al. MicroRNAs as biological regulators in skin disorders. Biomed Pharmacother. 2018;(108):996–1004. doi: 10.1016/j.biopha.2018.09.090
- Ruksha TG, Komina AV, Palkina NV. MicroRNA in skin diseases. Eur J Dermatol. 2017;27(4):343–352. doi: 10.1684/ejd.2017.3024
- Papara C, Zillikens D, Sadik CD, Baican A. MicroRNAs in pemphigus and pemphigoid diseases. Autoimmunity Rev. 2021;20(7):102852. doi: 10.1016/j.autrev.2021.102852
- Glavač D, Ravnik-Glavač M. Essential role of microRNA in skin physiology and disease. Adv Exp Med Biology. 2015;(888):307–330. doi: 10.1007/978-3-319-22671-2_16
- Baulina NM, Kulakova OG, Favorova OO. MicroRNA: A role in the development of autoimmune inflammation. Acta Naturae. 2016;8(1):23–36. (In Russ).
- Lin N, Liu Q, Wang M, et al. Usefulness of miRNA-338-3p in the diagnosis of pemphigus and its correlation with disease severity. Peer J. 2018;(6):e5388. doi: 10.7717/peerj.5388
- Xu M, Liu Q, Li S, et al. Increased expression of miR-338-3p impairs Treg-mediated immunosuppression in pemphigus vulgaris by targeting RUNX1. Exp Dermatol. 2020;29(7):623–629. doi: 10.1111/exd.14111
- He W, Xing Y, Li C, et al. Identification of six microRNAs as potential biomarkers for pemphigus vulgaris: From diagnosis to pathogenesis. Diagnostics (Basel, Switzerland). 2022;12(12):3058. doi: 10.3390/diagnostics12123058
- Gareev IF, Beylerli OA. Circulating microRNAs as biomarkers: What are perspectives? Preventive Med. 2018;21(6):142–150. (In Russ).
- Araviiskaia ER, Sokolovskiy EV. Microbiome: A new era in normal and pathological changes skin studies. Bulletin Dermatol Venereol. 2016;92(3):102–109. (In Russ). doi: 10.25208/0042-4609-2016-92-3-102-109
- Boxberger M, Cenizo V, Cassir N, La Scola B. Challenges in exploring and manipulating the human skin microbiome. Microbiome. 2021;9(1):125. doi: 10.1186/s40168-021-01062-5
- Kong HH, Andersson B, Clavel T, et al. Performing skin microbiome research: A method to the madness. J Invest Dermatol. 2017;137(3):561–568. doi: 10.1016/j.jid.2016.10.033
- Li BJ, He WX, Hua H, Pan W. Potential correlation of oral flora with pemphigus vulgaris: A case control study. J Dental Sci. 2023;18(4):1612-1620. doi: 10.1016/j.jds.2023.01.037
- Künstner A, Sommer N, Künzel S, et al. Skin microbiota as potential trigger factors for pemphigus vulgaris. Exp Derm. 2018;27(3):e95. doi: 10.1111/exd.13486
- Scaglione G, Fania L, De Paolis E, et al. Evaluation of cutaneous, oral and intestinal microbiota in patients affected by pemphigus and bullous pemphigoid: A pilot study. Exp Mol Pathol. 2020;(112):104331. doi: 10.1016/j.yexmp.2019.104331
- Olisova OY, Teplyuk NP. An illustrated guide to dermatology. For preparing practitioners for accreditation. Moscow: GEOTAR-Media; 2023. 376 р. (In Russ).
Supplementary files








