Difficulties in diagnosing ALK-negative anaplastic large cell lymphoma manifesting from a skin lesion
- Authors: Bulanova N.V.1, Semochkin S.V.2,3
-
Affiliations:
- Volgograd Regional Clinical Oncology Center
- P. Hertsen Moscow Oncology Research Institute, National Medical Research Radiological Center
- The Russian National Research Medical University named after N.I. Pirogov
- Issue: Vol 25, No 6 (2022)
- Pages: 25-32
- Section: DERMATO-ONCOLOGY
- Submitted: 01.12.2022
- Accepted: 24.12.2022
- Published: 17.12.2022
- URL: https://rjsvd.com/1560-9588/article/view/115012
- DOI: https://doi.org/10.17816/dv115012
- ID: 115012
Cite item
Abstract
Anaplastic large cell lymphoma is a rare form of non-Hodgkin's lymphoma that requires an early diagnosis and urgent therapy due to aggressive tumor process. Clinically, most non-Hodgkin's lymphoma present with lymphoadenopathy and В-symptoms (such as weakness, drowsiness, fatigue, subfebrile fever, profuse night sweats). However, anaplastic large cell lymphoma may present with nonspecific skin lesions with minimal or no B-symptoms. The skin lesions are heterogeneous, which may also delay verification of the diagnosis.
We present a case of widespread anaplastic large cell lymphoma skin lesions mimicking a case of erysipelas, which progressed rapidly from a single rash on the wrist to an extensive lesion of the right breast within 1 month. Prior to verification of the diagnosis, the patient was treated for erysipelas, pyoderma, and herpes zoster with no response to therapy. Immunohistochemical examination of a skin biopsy confirmed the diagnosis of ALK-negative anaplastic large cell lymphoma. At the time of publication, the patient had completed 1 course of the CHOEP regimen, and 6 cycles of the program were planned.
Our case demonstrates the necessity of a broad differential diagnosis of rashes torpid to the current therapy.
Full Text
АКТУАЛЬНОСТЬ
ALK-негативная анапластическая крупноклеточная лимфома (АККЛ) представляет собой CD30+ Т-клеточную неходжкинскую лимфому, неотличимую на морфологическом уровне от ALK-позитивной АККЛ, но утратившую экспрессию соответствующего белка ALK (anaplastic lymphoma kinase). В качестве отдельной нозологической формы, отличной от ALK-позитивной АККЛ, негативный вариант был впервые выделен на основании ряда важных клинических особенностей в классификации опухолей гемопоэтической и лимфоидных тканей Всемирной организации здравоохранения (ВОЗ) 2008 года и сохранился в неизменённом виде в 5-й редакции данной классификации 2022 года [1]. Помимо ALK-негативной и ALK-позитивной АККЛ, в текущей редакции классификации ВОЗ выделяют первичную кожную АККЛ и АККЛ, связанную с грудным имплантатом. ALK-позитивная крупноклеточная B-клеточная лимфома рассматривается отдельно, как один из 17 подтипов диффузной крупноклеточной B-клеточной лимфомы. Частота всех вариантов АККЛ не превышает 2% всех неходжкинских лимфом [2, 3]. В структуре T-/NK-клеточных неходжкинских лимфом на долю ALK-негативной АККЛ приходится около 5,5% случаев с наименьшей частотой в странах Азии (2,6%) и максимальной ― в Европе (9,4%) [4].
Для данного варианта лимфом характерны агрессивное течение и старший возраст пациентов. ALK-негативная АККЛ чаще встречается в возрасте 40–65 лет, тогда как ALK-позитивная АККЛ более характерна для детей и молодых взрослых 25–35 лет [5]. Мужчины болеют в 1,5 раза чаще женщин. Целевыми тканями для данной опухоли являются лимфатические узлы и экстранодальные локусы, такие как кожа, мягкие ткани и кости. Поражение костного мозга и формирование больших опухолей (bulky) встречается редко. Подавляющее число случаев ALK-негативной АККЛ (>70%) диагностируется в III–IV стадии болезни с вовлечением периферических и/или абдоминальных лимфатических узлов и симптомами опухолевой интоксикации (В-симптомы) [6]. По данным большого международного популяционного исследования [4], пятилетняя общая выживаемость на стандартных программах химиотерапии при ALK-негативной АККЛ составляла около 49% по сравнению с 70% для ALK-позитивного варианта. Для первичной кожной АККЛ характерно длительное неагрессивное течение с пятилетней общей выживаемостью более 90%.
Клинические проявления и морфологическая картина опухолевой ткани при ALK-негативной АККЛ весьма разнородны, могут быть неспецифичными и имитирующими другую гематологическую и негематологическую патологию [2]. Часть случаев может манифестировать с поражения кожи без системных проявлений или с минимальными симптомами опухолевой интоксикации (слабость, сонливость, утомляемость, повышение температуры тела до субфебрильных значений, профузные ночные поты), что может затруднять верификацию диагноза и начало специфического лечения [3]. Поражение кожи чаще всего локализуется в области туловища, лица, верхних конечностей; характерно агрессивное распространённое течение кожного процесса [7, 8]. Высыпания, как правило, крупные (>2 см), в виде узлов или папул ярко-красного цвета с тенденцией к изъязвлению [7, 9]. Распространённое поражение кожи конечностей характеризует неблагоприятный прогноз [8, 9]. По данным некоторых авторов, у 25% пациентов отмечался спонтанный регресс высыпаний, однако в случае рецидива кожный процесс приобретал более распространённый характер [7, 9].
В данной работе мы представляем клинический случай ALK-негативной АККЛ с поражением надключичных, субпекторальных (под грудными мышцами) и аксиллярных (подмышечных) лимфатических узлов, мягких тканей лопаточной области, паренхимы лёгких, ткани молочной железы, сопутствующими узловыми высыпаниями на коже аксиллярной области и передней поверхности поражённой молочной железы, которые изначально рассматривались как рожистое воспаление и пиодермия. Наше наблюдение подчёркивает важность рассмотрения диагноза лимфомы в дифференциальной диагностике торпидных к терапии дерматологических заболеваний.
ОПИСАНИЕ КЛИНИЧЕСКОГО СЛУЧАЯ
О пациенте
Женщина, 75 лет, впервые обратилась за консультативной помощью гематолога в августе 2022 г. На момент осмотра предъявляла жалобы на слабость, потливость, отёк, гиперемию и наличие болезненных высыпаний на коже правой молочной железы, отёк правой верхней конечности.
Из анамнеза известно, что пациентка больна с апреля 2022 г., когда впервые обнаружила шаровидные высыпания на коже внутренней поверхности правого запястья. Появление высыпаний связала с работой в саду. Самостоятельно лечилась местными прижигающими средствами и за медицинской помощью не обращалась. Постепенно стали беспокоить болезненность при движении, отёчность правой верхней конечности; появились отёчность и гиперемия правой молочной железы. Указанные симптомы развивались на протяжении 3 нед. В мае 2022 г. пациентка обратилась к врачу общей практики, которым был выставлен диагноз рожистого воспаления и назначена антибактериальная терапия.
С июня 2022 г. пациентка стала отмечать слабость, потливость в вечернее время, повышение температуры тела до субфебрильных значений (В-симптомы). В то же время произошло увеличение правых аксиллярных лимфоузлов. В период с июня по август 2022 г. пациентка получала лечение по поводу рецидивирующего рожистого воспаления, пиодермии, а также опоясывающего герпеса.
В августе 2022 г. при очередном обращении к врачу пациентка направлена к онкологу. Выполнены ультразвуковое исследование молочных желёз, маммография: заподозрена инфильтративно-отёчная форма рака молочной железы. Выполнены core-биопсия ткани правой молочной железы и открытая биопсия подмышечного лимфатического узла. При микроскопическом исследовании биоптатов обнаружены фрагменты ткани молочной железы и лимфатического узла с реактивной лимфоплазмоцитарной гиперплазией. Окончательного суждения о диагнозе не получено, однако возникло подозрение на лимфопролиферативное заболевание.
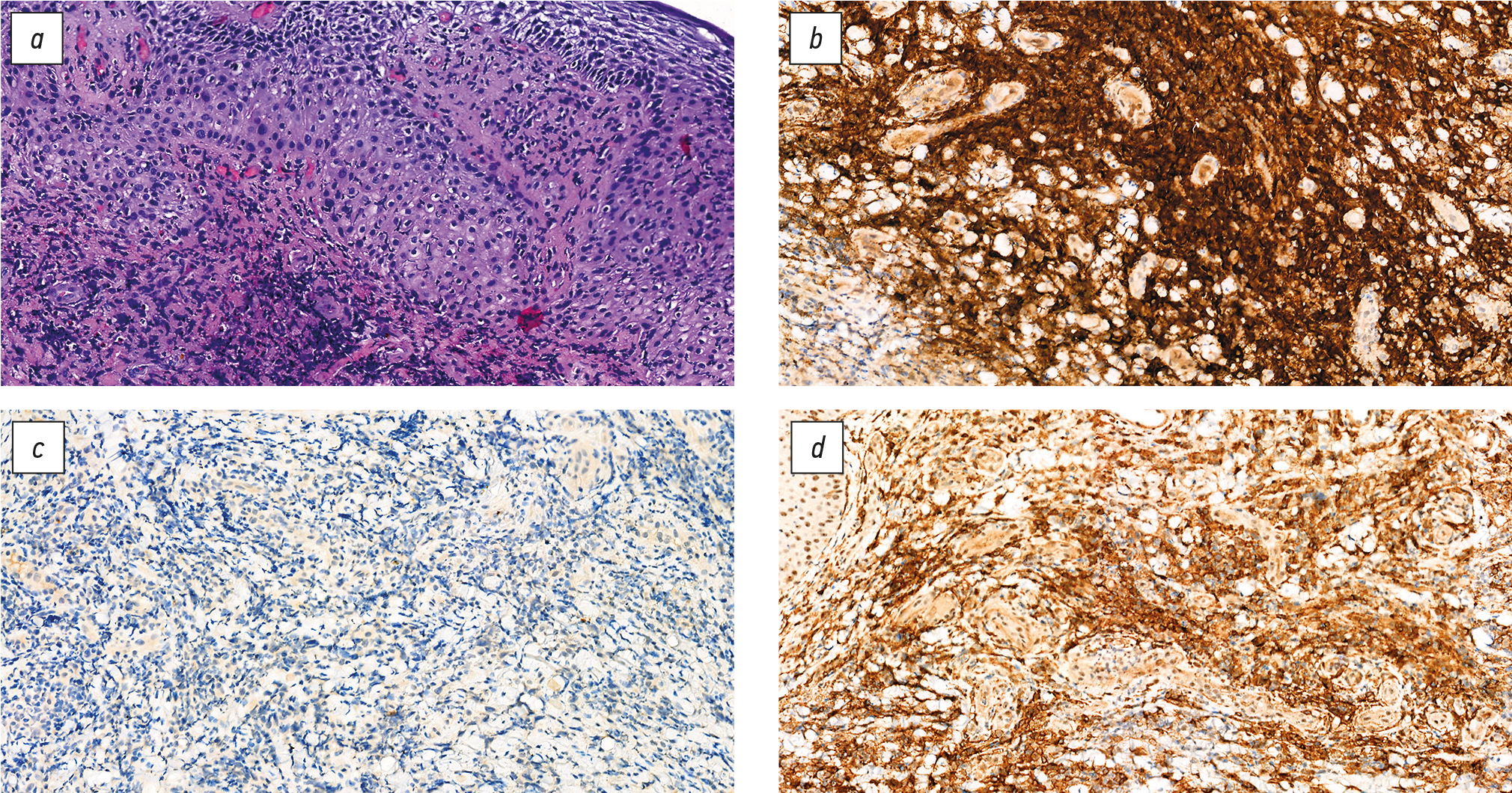
В конце августа 2022 г. пациентке выполнена эксцизионная биопсия участка поражённой кожи правой подмышечной впадины. На морфологическом уровне определялись элементы лимфогистиоцитарной инфильтрации злокачественной опухолью. Панель иммуногистохимического исследования включала определение экспрессии KerPan, CD45, CD3, CD20, CD30, Ki67, CD68, CD4, CD8, ALK и EMA. В результате на срезах парафинового блока выявлена экспрессия CD45, EMA (MUM1), CD30 и CD4, тогда как ALK не определялась (рис. 1). Индекс Ki-67 ― около 30%. Экспрессия всех остальных маркеров, подобно ALK, отсутствовала. В целом морфологическая картина и иммунофенотип опухоли кожи соответствовали ALK-негативной АККЛ.
Рис. 1. Пациентка, 75 лет, гистологическая картина анапластической крупноклеточной лимфомы, ALK-негативной (×200): а ― диффузная инфильтрация дермы плеоморфными лимфогистиоцитарными клетками с высоким ядерно-цитоплазматическим соотношением гиперплазии эндометрия; b ― яркая экспрессия CD30 опухолевыми клетками; c ― отсутствие экспрессии ALK; d ― позитивная экспрессия CD4.
Результаты физикального, лабораторного и инструментального исследования
При осмотре непосредственно перед началом лечения правая молочная железа увеличена в размерах по сравнению с левой. Кожа поражённой области горячая на ощупь. Правая рука выглядит несколько отёчной. Кожный процесс локализован в области передней поверхности правого предплечья с переходом на плечо и молочную железу. Границы поражения достаточно чёткие и лоцируются по передненижней области груди. На эритематозном инфильтрированном фоне на коже передней поверхности правой молочной железы отмечаются сгруппированные шаровидные узлы, часть которых изъязвлена и местами покрыта серозными корочками (рис. 2, а). В правой аксиллярной области виден очаг инфильтрированной эритемы с чёткими границами, на фоне которого присутствуют множественные узлы с тенденцией к слиянию и изъязвлению (рис. 2, b). Часть узлов покрыта фибриновым налётом. Придатки кожи без особенностей.
Рис. 2. Тот же пациент. Инициальная картина поражения кожи: а ― высыпания на передней поверхности молочной железы; b ― инфильтрированный очаг эритемы кожи подмышечной области.
Субъективно: выраженный болевой синдром в месте высыпаний. Пальпаторно в подмышечной области определяется плотный и болезненный конгломерат увеличенных лимфатических узлов размером до 5,0 см в наибольшем измерении. Кожа вне очагов поражения нормальной окраски. Тургор снижен. Отмечаются явления ксероза кожи нижних конечностей.
Исследование методом компьютерной томографии: выявлены поражение субпекторальных лимфатических узлов с продолженным ростом в толщу правой большой грудной мышцы; конгломерат аксиллярных лимфатических узлов с прорастанием в мягкие ткани лопаточной области справа; двустороннее увеличение надключичных лимфатических узлов. Правая молочная железа увеличена в размерах и инфильтрирована с утолщением кожи до 5 мм. В центральной части молочной железы имеется очаг с активным накоплением контрастного вещества. В паренхиме лёгких визуализируются одиночные мелкие очаги. Инфильтрация подкожно-жировой клетчатки тянется по всей правой половине туловища от аксиллярной до подвздошной области.
Диагноз
По результатам обследования верифицирован диагноз ALK-негативной АККЛ (16.09.2022), стадия IVB по Ann Arbor, с поражением надключичных справа и слева, субпекторальных и аксиллярных лимфоузлов справа, большой грудной мышцы и мягких тканей туловища справа, правой молочной железы, ткани лёгких, кожи правой аксиллярной области и передней поверхности правой молочной железы. Клиническая группа 2.
Сопутствующие заболевания. Ишемическая болезнь сердца. Пароксизмальная форма фибрилляции предсердий. Оценка риска инсульта (при неревматической фибрилляции предсердий) по шкале CHADS-VASc 3 балла, оценка риска кровотечений по шкале НАS-BLED 1 балл. Функциональный класс II, недостаточность кровообращения I. Гипертоническая болезнь III, артериальная гипертензия II степени, риск 4.
Лечение и прогноз
На момент подготовки публикации проведён один курс системной химиотерапии по схеме CHOEP (циклофосфамид, этопозид, доксорубицин, винкристин, дексаметазон). Запланировано 6 циклов терапии по данной программе. Контроль ответа на проводимое лечение с помощью инструментальных и лабораторных исследований будет выполнен после двух полных циклов терапии.
В настоящий момент пациентка в процессе лечения. Химиотерапию переносит удовлетворительно с умеренным астеническим синдромом. Высыпания регрессировали во вторичную гиперпигментацию (рис. 3).
Рис. 3. Тот же пациент. Клинический ответ на первый курс химиотерапии: а ― вторичная гиперпигментация на месте бывших высыпаний; b ― разрешившиеся высыпания в подмышечной области.
ОБСУЖДЕНИЕ
Т-клеточные лимфомы с первичным поражением кожи всегда сложны в диагностике, что связано с гетерогенной клинической и лабораторной картиной [6]. В представленном случае были заподозрены такие состояния, как рожистое воспаление, пиодермия, опоясывающий герпес и отёчно-инфильтративная форма рака молочной железы.
В пользу рожистого воспаления свидетельствуют эритема, регионарное увеличение лимфатических узлов и повышение температуры тела. В обсуждаемом случае инфильтрированный очаг эритемы имел чёткие и ровные границы. Общие симптомы интоксикации (слабость, лихорадка) появились позднее, к тому же не было указания на травматизацию или лимфостаз. Важно отметить, что эмпирическая антибиотикотерапия была безуспешной.
Точно также данный процесс можно было рассматривать с точки зрения гнойного гидраденита в связи с формированием шаровидных узловых высыпаний. Однако для гидраденита нехарактерен разлитой гиперемированный инфильтрированный фон. Единичные шаровидные узловые высыпания с тенденцией к слиянию за счёт подрытых краёв язв также не соответствуют диагнозу опоясывающего герпеса, однако увеличение регионарных лимфатических узлов, повышение температуры тела, эритематозный фон высыпаний и образование серозных корочек на их поверхности вполне могут ввести в заблуждение.
Отёчно-инфильтративная форма рака молочной железы также должна была присутствовать в дифференциальном диагнозе. В пользу карциномы свидетельствовали агрессивная клиническая картина (гиперемия, отёк мягких тканей, кожи и увеличение регионарных лимфатических узлов), симптомы интоксикации (слабость, потливость, субфебрильная температура тела) и наличие пальпируемого образования в ткани железы. Изменения кожи могли расцениваться как множественные опухолевые отсевы в лимфатические сосуды дермы. Высыпания при данной форме рака встречаются достаточно редко, но точку в этом вопросе может поставить только морфологическое исследование [10].
В большинстве случаев пиодермии или рожистого воспаления клиницисты не проводят дифференциальной диагностики с лимфомами кожи. Между тем представленный нами случай указывает на то, что поражение кожи при лимфоме всё же рационально заподозрить у торпидного к терапии пациента [3, 7, 8]. Поздняя диагностика ― это, как правило, уже распространённые стадии злокачественного процесса с худшими результатами лечения.
Длительность диагностики в представленном случае составила более 5 мес, а окончательный диагноз соответствовал IV стадии онкологического процесса.
ЗАКЛЮЧЕНИЕ
Т-клеточные лимфомы кожи представляют собой достаточно редкую группу заболеваний, которые могут дебютировать с различной клинической картины. В представленном случае пациентка длительно наблюдалась у нескольких специалистов и ввиду меняющейся симптоматики получала лечение по поводу различных заболеваний.
В ситуации резистентных к терапии кожных высыпаний структура дифференциального диагноза, несомненно, должна включать поиск лимфопролиферативных заболеваний. Наш клинический случай в очередной раз подчёркивает важность диагностической биопсии кожи при торпидных дерматологических заболеваниях.
ДОПОЛНИТЕЛЬНО
Источник финансирования. Работа выполнена по инициативе авторов без привлечения финансирования.
Конфликт интересов. Авторы декларируют отсутствие явных и потенциальных конфликтов интересов, связанных с содержанием настоящей статьи.
Вклад авторов. Все авторы подтверждают соответствие своего авторства международным критериям ICMJE (все авторы внесли существенный вклад в разработку концепции, проведение исследования и подготовку статьи, прочли и одобрили финальную версию статьи перед публикацией, выразили согласие нести ответственность за все аспекты работы, подразумевающую надлежащее изучение и решение вопросов, связанных с точностью или добросовестностью любой части работы). Наибольший вклад распределён следующим образом: Н.В. Буланова ― написание статьи; С.В. Сёмочкин ― внесение важных правок.
Согласие пациента. Пациентка подписала информированное согласие на публикацию персональной медицинской информации в обезличенной форме в «Российском журнале кожных и венерических болезней».
Благодарности. Заведующему патологоанатомическим отделением ГБУЗ ВОКОД О.В. Сучилиной и врачу-патологоанатому Н.Е. Головнову за своевременную диагностику редкого заболевания, а также предоставление фотографий срезов иммуногистохимического исследования.
ADDITIONAL INFORMATION
Funding source. The research was carried out at the expense of the organization’s budgetary funds.
Competing interests. The authors declare that they have no competing interests.
Authors contribution. The authors made a substantial contribution to the conception of the work, acquisition, analysis of literature, drafting and revising the work, final approval of the version to be published and agree to be accountable for all aspects of the work. N.V. Bulanova ― writing an article; S.V. Semochkin ― making important edits.
Patient permission. Patient voluntarily signed an informed consent to the publication of personal medical information in depersonalized form in the journal “Russian journal of skin and venereal diseases”.
Acknowledgments. To the head of the pathoanatomical department of the VOCOD O.V. Suchilina and the pathologist N.E. Golovanov for timely diagnosis of a rare disease, as well as providing photographs of sections of immunohistochemical examination.
About the authors
Natalia V. Bulanova
Volgograd Regional Clinical Oncology Center
Author for correspondence.
Email: kmn.nv.bulanova@yandex.ru
ORCID iD: 0000-0002-8724-0714
SPIN-code: 5143-7381
ResearcherId: rid33435
MD, Cand. Sci. (Med.)
Russian Federation, VolgogradSergey V. Semochkin
P. Hertsen Moscow Oncology Research Institute, National Medical Research Radiological Center; The Russian National Research Medical University named after N.I. Pirogov
Email: semochkin_sv@rsmu.ru
ORCID iD: 0000-0002-8129-8114
SPIN-code: 8926-3289
MD, Dr. Sci. (Med.), Professor
Russian Federation, Moscow; MoscowReferences
- Alaggio R, Amador C, Anagnostopoulos I, et al. The 5th edition of the World Health Organization Classification of haematolymphoid tumours: Lymphoid neoplasms. Leukemia. 2022;36(7):1720–1748. doi: 10.1038/s41375-022-01620-2
- Zain JM, Hanona P. Aggressive T-cell lymphomas: 2021 Updates on diagnosis, risk stratification and management. Am J Hematol. 2021;96(8):1027–1046. doi: 10.1002/ajh.26270
- Moodley N, Nombona P, Mosam A. Primary cutaneous anaplastic large-cell lymphoma. Dermatopathology. 2019;6(2):163–169. doi: 10.1159/000500259
- Vose J, Armitage J, Weisenburger D. International peripherial T-cell and natural killer/T-cell lymphoma study: Pathology findings and clinical outcomes. J Clin Oncol. 2008;26(25):4124–4130. doi: 10.1200/JCO.2008.16.4558
- Ferreri AJ, Govi S, Pileri SA, Savage KJ. Anaplastic large cell lymphoma, ALK-negative. Crit Rev Oncol Hematol. 2013;85(2):206–215. doi: 10.1016/j.critrevonc.2012.06.004
- Shustov A, Cabrera ME, Civallero M, et al. ALK-negative anaplastic large cell lymphoma: Features and outcomes of 235 patients from the International T-Cell Project. Blood Adv. 2021;5, N 3. P. 640–648. doi: 10.1182/bloodadvances.2020001581
- Philippe E, Creech KT, Cook N, Segura J. Recurrent primary cutaneous anaplastic large cell lymphoma with systemic involvement: A case report and literature review. Cureus. 2021;13(4):e14284. doi: 10.7759/cureus.14284
- Magro CM, Momtahen S, Kiuru M. Primary cutaneous small cell variant of anaplastic large cell lymphoma: A case series and review of the literature. Am J Dermatopathol. 2017;39(12):877–889. doi: 10.1097/DAD.0000000000000908
- Kempf W. A new era for cutaneous CD30-positive T-cell lymphoproliferative disorders. Semin Diagn Pathol. 2017;34(1):22–35. doi: 10.1053/j.semdp.2016.11.005
- Chkhikvadze VD, Kolesnik AIu, Meskikh EV, Lagozhina IA. Edematous-infiltrative breast cancer: expediency of its division into primary and secondary forms. P.A. Herzen journal of Oncology. 2015;4(1):21–24. (In Russ).
Supplementary files






