Differential diagnosis of Brooke–Spiegler syndrome in a young woman with multiple trichoepitheliomas
- Authors: Gaydina T.A.1,2, Dvornikov A.S.1, Skripkina P.A.1, Patsap O.I.2, Buianova A.A.1
-
Affiliations:
- The Russian National Research Medical University named after N.I. Pirogov
- Federal Center of Brain Research and Neurotechnologies
- Issue: Vol 25, No 6 (2022)
- Pages: 5-16
- Section: DERMATO-ONCOLOGY
- Submitted: 01.11.2022
- Accepted: 11.11.2022
- Published: 17.12.2022
- URL: https://rjsvd.com/1560-9588/article/view/112260
- DOI: https://doi.org/10.17816/dv112260
- ID: 112260
Cite item
Abstract
Brooke–Spiegler syndrome (Brooke-Spiegler syndrome; OMIM #605041) is a rare, autosomal dominant inherited monogenic disease caused by mutations in gene CYLD with its different penetrance.
It is clinically manifested by the development of multiple neoplasms of skin appendages such as spiradenoma, cylindroma, spiradenocylindroma and trichoepithelioma. Several phenotypic variants with mutations in gene CYLD have been described in the scientific literature. They are classic Brooke–Spiegler syndrome; multiple familial trichoepithelioma syndrome (multiple trichoepitheliomas without cylindromas, spiradenomas, etc.); familial cylindromatosis (multiple cylindromas on the scalp i.e., "turban tumor"); syndrome of multiple spiradenomas or spiradenocylindromas without other neoplasms of the skin appendages. For four diseases associated with CYLD mutations, the prevalence is <1/1 000 000.
The scientific literature describes more than 200 cases of Brooke–Spiegler syndrome, which is more common in women. Phenotypic manifestations of the CYLD mutation are variable, so there is no reliable statistics on the frequency of occurrence of clinical variants of Brooke–Spiegler syndrome. The variety of neoplasms of the skin appendages, the commonality of their histogenesis, the similarity of clinical and histological patterns significantly complicate the diagnosis. Verification of the diagnosis of Brooke–Spiegler syndrome is based on histological examination and sequencing of the CYLD gene.
Full Text
АКТУАЛЬНОСТЬ
Клиническое многообразие новообразований придатков кожи и схожесть их гистологической картины, обусловленная общим гистогенезом, значительно усложняют своевременную диагностику, особенно в случае редких фенотипических проявлений вариантов или мутаций различных генов.
Синдром Брука–Шпиглера (СБШ; Brooke–Spiegler syndrome; OMIM #605041) является редким, наследуемым по аутосомно-доминантному типу моногенным заболеванием, вызванным мутациями в гене CYLD с его различной пенетрантностью, клинически проявляющимся развитием множественных новообразований придатков кожи: спираденом, цилиндром, спираденоцилиндром и трихоэпителиом [1–3]. Кроме классического варианта СБШ, описаны следующие фенотипические варианты с мутациями в гене CYLD: синдром множественных семейных трихоэпителиом (множественные трихоэпителиомы без цилиндром, спираденом и др.); семейный цилиндроматоз (множественные цилиндромы на волосистой части головы ― «тюрбанная опухоль»); синдром множественных спираденом или спираденоцилиндром без других новообразований придатков кожи [2–4]. В подавляющем большинстве случаев данные синдромы возникают из-за патогенных вариантов зародышевой линии в гене CYLD ― гене-супрессоре опухолей [5]. Кодируемый им фермент удаляет полиубиквитиновые цепочки, связанные с остатком лизина 63, и блокирует активацию пути NF-κB (Nuclear factor kappa-light-chain-enhancer of activated B cells). Клетки с неактивным мутантным белком начинают активно пролиферировать и реже вступают в апоптоз [6].
Вариант нуклеотидной последовательности гена может быть отнесён к патогенным, если, например, приводит к прекращению синтеза белка или отсутствует в популяционных базах данных [7]. Для четырёх заболеваний, ассоциированных с мутациями в гене CYLD, распространённость не превышает <1/1 000 000. В научной литературе описано более 200 случаев СБШ, чаще наблюдаемого у женщин1. Фенотипические проявления мутации в гене CYLD вариабельны, поэтому достоверная статистика частоты встречаемости клинических вариантов СБШ отсутствует. Генетический анализ способствует накоплению доказательств клинической значимости генетических факторов, модифицирующих фенотип, потенциально важных для диагностики и прогноза заболевания.
Ранняя диагностика наследственных синдромов, ассоциированных со множественными новообразованиями придатков кожи, позволяет удалять опухоли на начальном этапе, не допуская разрастания новообразований, обезображивающих внешний вид пациента, или их злокачественную трансформацию.
ОПИСАНИЕ КЛИНИЧЕСКОГО СЛУЧАЯ
О пациенте
Пациентка Н. 2001 года рождения обратилась к врачу-дерматовенерологу 08.09.2019 с жалобами на высыпания на коже лица.
Анамнез жизни. Родилась в срок от физиологически протекающей беременности. Росла и развивалась по возрасту. В настоящее время учится в вузе. Наличие у родственников кожных заболеваний отрицает. Наличие в анамнезе туберкулёза, вирусных гепатитов, венерических заболеваний отрицает. Прививки по возрасту. Травмы, операции, гемотрансфузии отрицает. Перенесённые заболевания: острые респираторные вирусные заболевания, ветряная оспа. Аллергологический анамнез не отягощён.
Анамнез болезни. Первые высыпания на коже лица появились приблизительно в одиннадцатилетнем возрасте. Обращалась к дерматологу по месту жительства, где был поставлен диагноз акне. На фоне назначенного лечения (азелаиновая кислота, крем 20%, 2 раза/сут, утром и вечером) высыпания не регрессировали. Обращалась к косметологу, который провёл курс срединных химических пилингов, после чего отметила прогрессирование роста и увеличение количества высыпаний. В последующем обращалась к другому дерматологу, который принял решение о проведении биопсии. Биопсия по месту жительства от 05.03.2018: образование располагается в дерме, имеет солидное строение, состоит из округлых мономорфных клеток, местами образующих палисадообразное расположение. В центре некоторых комплексов определяются концентрические массы кератогиалина. Заключение: «Сирингоэпителиома». Дальнейших исследований по месту жительства не проводили, новообразование расценили как единичное, стёкла не сохранились, блоки пациенткой не запрашивались.
Status praesens. Общее состояние пациентки удовлетворительное. Масса тела 60 кг, рост 170 см. Видимые слизистые оболочки нормальной окраски. Кожный покров чистый.
Status localis. Патологический кожный процесс носит распространённый характер. Новообразования локализованы на коже лица, располагаются относительно симметрично. Максимальное количество элементов сгруппировано в области носогубного треугольника с продолжением до внутренней части бровей (Х-образное расположение). Всего на коже лица пациентки более 80 полушаровидных плотных дермальных папул цвета от телесного и светло-розового до бурого, размером от 1 до 10 мм в диаметре. Поверхность элементов гладкая, в более крупных элементах видны расширенные сосуды, в отдельных просматриваются дольчатое строение и милиумоподобные включения (рис. 1, 2).
Рис. 1. Пациентка Н. 2001 года рождения: патологический кожный процесс на лице носит распространённый характер (высыпания относительно симметричны).
Рис. 2. Тот же пациент: максимальное количество элементов сгруппировано в области носогубного треугольника.
Результаты физикального, лабораторного и инструментального исследования
Ультразвуковое исследование (УЗИ) органов брюшной полости, почек: реактивные изменения паренхимы поджелудочной железы. УЗИ органов малого таза: без патологии. УЗИ лимфатических сосудов: без патологии. УЗИ щитовидной железы, слюнных желёз: без патологии.
Эхокардиография: органической патологии не выявлено.
Электрокардиография: нарушения ритма не зарегистрировано.
Копрологическое исследование: без патологии. Глистные и паразитарные инфекции не выявлены.
Общий (клинический) анализ крови, биохимический анализ крови, общий анализ мочи: без патологии.
Рентгенограмма лёгких: без патологии.
Для верификации диагноза было принято решение провести гистологическое исследование двух наиболее крупных элементов со спинки (биоптат 1) и левого крыла (биоптат 2) носа (рис. 3, 4). Предварительно проводилось дерматоскопическое исследование новообразований.
Рис. 3. Тот же пациент: а ― фото лица пациентки: в красном круге крупное новообразование кожи на спинке носа, взятое в дальнейшем для гистологического исследования (биоптат 1); b ― дерматоскопия новообразования кожи на спинке носа: дольчатое строение с сероватыми округлыми включениями, тонкие извитые сосуды.
Рис. 4. Тот же пациент: а ― фото лица пациентки с крупным новообразованием на левом крыле носа, взятое в дальнейшем для гистологического исследования (биоптат 2); b ― дерматоскопия новообразования на крыле носа: тонкие извитые сосуды, милиумоподобные кисты.
Дерматоскопическое исследование новообразования на спинке носа показало дольчатое строение с сероватыми округлыми включениями, тонкие извитые сосуды (см. рис. 3), на левом крыле носа ― тонкие извитые сосуды, милиумоподобные кисты (см. рис. 4).
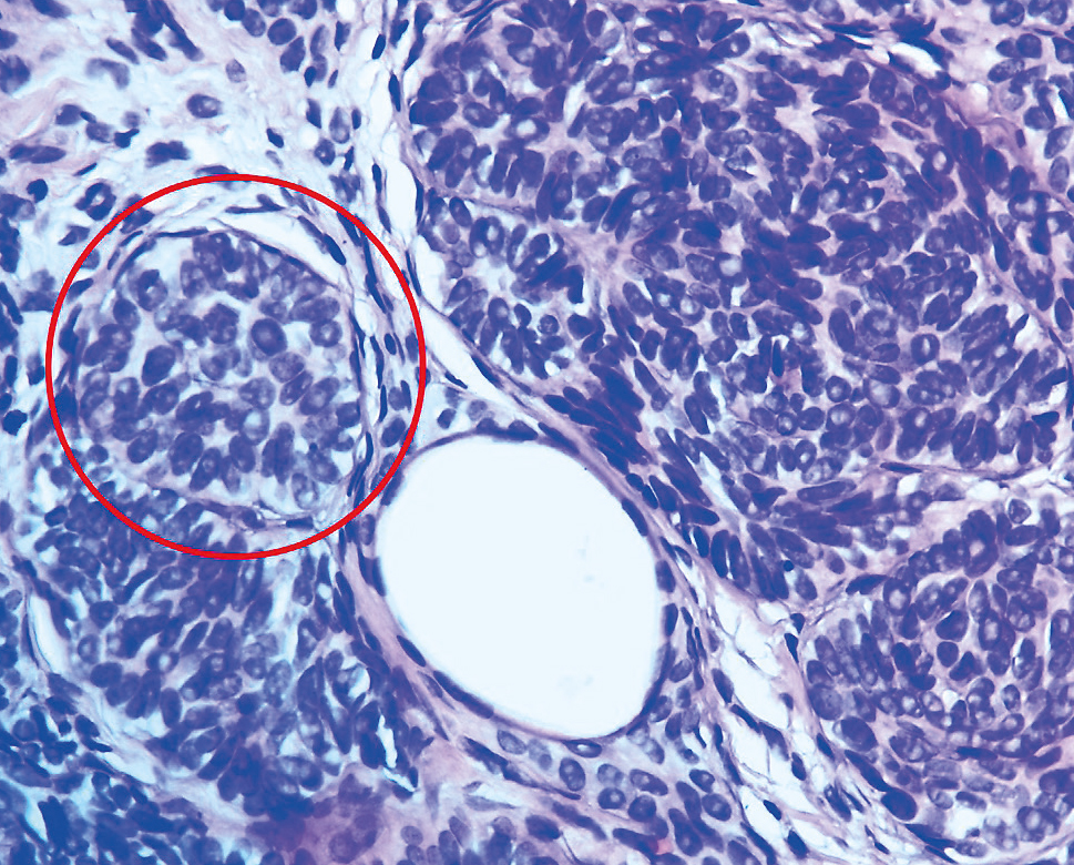
Гистологическое исследование. Биоптат 1 (окраска гематоксилином и эозином, ×100): фрагмент кожи спинки носа с субэпителиальным ростом образования, построенного из мономорфных базалоидных клеток, формирующих обособленные эпителиальные комплексы в плотной фиброзной строме (красный круг), с наличием микрокист, содержащих кератиновые массы (чёрный круг), с очаговой выстилкой эпителиальными клетками с инфундибулярной дифференцировкой (зелёный круг). Заключение: «Трихоэпителиома» (рис. 5). Биоптат 2 (окраска гематоксилином и эозином, ×400): фрагмент кожи крыла носа с субэпителиальным ростом образования, построенного из мономорфных базалоидных клеток, формирующих обособленные комплексы в плотной фиброзной строме (красный круг). Заключение: «Трихоэпителиома» (рис. 6).
Рис. 5. Тот же пациент: гистологическое исследование (биоптат 1). Фрагмент кожи спинки носа с субэпителиальным ростом образования, построенного из мономорфных базалоидных клеток, формирующих обособленные эпителиальные комплексы в плотной фиброзной строме (красный круг), с наличием микрокист, содержащих кератиновые массы (чёрный круг), очаговой выстилкой эпителиальными клетками с инфундибулярной дифференцировкой (зелёный круг). Окраска гематоксилином и эозином, ×100.
Рис. 6. Тот же пациент: гистологическое исследование (биоптат 2). Фрагмент кожи крыла носа с субэпителиальным ростом образования, построенного из мономорфных базалоидных клеток, формирующих обособленные комплексы в плотной фиброзной строме (красный круг). Окраска гематоксилином и эозином, ×400.
Учитывая характерную клиническую картину, гистологическое заключение, множественное количество трихоэпителиом (>80), было выдвинуто предположение о наличие у пациентки наследственного синдрома. После анализа большинства наследственных синдромов для верификации диагноза и выявления модифицирующих фенотип генетических факторов пациентке проведено секвенирование части гена CYLD.
Заключение врача-генетика. Методом экзомного секвенирования проведён поиск мутаций в кодирующей последовательности гена CYLD. Выявлена ранее не описанная мутация c.2501dupC (p.Val835SerfsTer52) в гетерозиготном состоянии (инсерция со сдвигом рамки считывания в 17-м экзоне из 23), которая в генетической базе данных VarSome аннотирована как вероятно патогенная. Средняя частота встречаемости в различных популяциях не установлена. В гетерозиготном состоянии патогенные варианты в гене CYLD ассоциированы с развитием нескольких заболеваний: синдромом Брука–Шпиглера, семейным цилиндроматозом, множественной семейной трихоэпителиомой. Тип наследования данных заболеваний ― аутосомно-доминантный.
Дифференциальный диагноз
Дифференциальная диагностика проводилась с другими наследственными синдромами, ассоциированными со множественными новоообразованиями придатков кожи: синдромом Каудена, синдромом Гарднера, синдромом Мюира–Торре, синдромом Базекса–Дюпре–Кристоля, синдромом Бёрта–Хогга–Дьюба, синдромом Карнея, синдромом Клустона, синдромом Горлина–Гольца, синдромом Шёпфа–Шульца–Пассарджа, туберозным склерозом и TSC2/PKD1 синдромом.
На основании жалоб, анамнеза, осмотра, дерматоскопии, гистологического исследования и экзомного секвенирования в кодирующей последовательности гена CYLD был поставлен заключительный диагноз: «Синдром Брука–Шпиглера, фенотипический вариант множественных семейных трихоэпителиом».
Лечение и прогноз
Учитывая жалобы пациентки Н. на эстетический дискомфорт, было принято решение выполнить в три этапа хирургическое удаление отдельных, наиболее крупных новообразований кожи. Удаления проводили под местной инфильтрационной анестезией с обязательным предварительным взятием материала для гистологического исследования. Раневую поверхность тщательно обрабатывали СО2-лазером в импульсно-периодическом режиме. Мощность излучения, определяемая отдельно для каждого новообразования, варьировала в диапазоне от 1,5 до 3 Вт. Первым этапом были удалены несколько небольших новообразований на коже щеки, после чего пациентка в течение 6 мес находилась под динамическим наблюдением для определения соотношения риск/польза. Был получен положительный косметический результат, новообразования не рецидивировали, их удаление не стимулировало рост близлежащих опухолей, что позволило продолжить удаление новообразований по выбранной методике. Вторым этапом, через 6 мес после первого хирургического вмешательства, были удалены все крупные новообразования, находящиеся в области носогубного треугольника лица. Заключительный, третий этап удаления новообразований, выполненный с перерывом 6 мес после второго этапа, включал удаление наиболее эстетически дискомфортных для пациентки новообразований. Оценка качества удаления новообразований проводилась через 1 и 6 мес после процедуры с помощью визуального осмотра и контрольного дерматоскопического исследования (рис. 7).
Рис. 7. Тот же пациент через 6 мес после третьего этапа удалений новообразований.
В настоящий момент пациентка находится под нашим динамическим наблюдением.
ОБСУЖДЕНИЕ
До обращения в клинику пациентка наблюдалась с различными диагнозами (вульгарное акне, сирингоэпителиома), что говорит о недостаточной информированности врачей-дерматовенерологов и врачей-косметологов о наследственных синдромах, ассоциированных со множественными новообразованиями придатков кожи, в том числе множественными трихоэпителиомами, локализованными на коже лица. Многообразие новообразований придатков кожи, общность их гистиогенеза, схожесть клинической и гистологической картин, действительно, значительно усложняют постановку правильного диагноза. Визуальная оценка объёмных новообразований придатков кожи невооружённым глазом, а также с помощью дерматоскопического исследования, не имеет чётких критериев для постановки диагноза. Золотым стандартом диагностики новообразований кожи и её придатков остаётся гистологическое исследование [8, 9]. Все удалённые у пациентки и исследованные нами новообразования гистологически были идентифицированы как трихоэпителиомы.
Учитывая множественный характер трихоэпителиом, мы продолжили диагностический поиск на предмет наличия генетических вариантов или мутаций [4, 10–12]. Большинство наследственных синдромов были исключены из дифференциальной диагностики на основании данных инструментальных исследований, клинических и гистологических данных.
Синдром Бёрта–Хогга–Дьюбе (Birt–Hogg–Dubé syndrome) является генетическим заболеванием, обусловленным мутацией в гене FLCN и клинически проявляющимся развитием доброкачественных опухолей волосяного фолликула, кист в лёгких, риском возникновения рака почки и рака толстого кишечника [13]. На рентгенограмме лёгких у пациентки Н. кист не выявлено.
Синдром Каудена (Cowden syndrome) является генетическим заболеванием, обусловленным мутацией в гене PTEN и клинически проявляющимся множественными трихолеммомами, карциномой лёгких, щитовидной железы [14, 15]. УЗИ щитовидной железы у пациентки Н., как и рентгенограмма лёгких патологии не выявили.
Синдром Гарднера (Gardner syndrome) является генетическим заболеванием, обусловленным мутацией в гене APC и клинически проявляющийся множественными эпидермоидными кистами, остеомами, полипозом кишечника, что не соответствовало клинической картине пациентки Н. [16].
Синдром Мюира–Торре (Muir–Torre syndrome) обусловлен мутациями в генах MLH1 и MSH2. Клинически проявляется аденомами, эпителиомами и карциномами сальных желёз или множественными кератоакантомами, а также висцеральными карциномами [17, 18]. У пациентки Н. не выявлены висцеральные злокачественные новообразования, гистологически опухоли представляли собой трихоэпителиомы.
Синдром Базекса–Дюпре–Кристоля (Bazex–Dupré–Christol syndrome) клинически проявляется фолликулярной атрофодермией, множественными базалиомами, гипотрихозом и гипогидрозом. Ген, ответственный за этот синдром, ещё не определён, однако известно, что он локализован на длинном плече хромосомы X [19]. Пациентка Н. не страдает фолликулярной атрофодермией, гипотрихозом, гипогидрозом, а гистологическое исследование исключило наличие базалиом.
Синдром Карнея (Carney Complex) ― редкий аутосомно-доминантный синдром, включающий эндокринные неоплазии и лентигиноз, вызванные у большинства пациентов дефектами в гене PRKAR1A, который кодирует регуляторную субъединицу типа 1α протеинкиназы A. У пациентов развиваются множественные кожные аномалии и различные неоплазии, в том числе эндокринные [20]. Пациентка Н. не имела никаких новообразований, кроме кожных.
Cиндром Клустона (Clouston syndrome) ассоциирован с мутациями в гене GJB6. Среди его фенотипических проявлений ― ладонно-подошвенная кератодермия, дистрофия ногтей, гипотрихоз, которые не были обнаружены у пациентки Н. [21, 22].
Cиндром Горлина–Гольца (Gorlin–Goltz syndrome) вызывается мутациями в генах PTCH1, PTCH2 или SUFU. У пациентов описаны одонтогенные кератокисты, базальноклеточный рак, стоматологические, костные, офтальмологические, неврологические аномалии органов [23, 24]. Обследование пациентки Н. не подтвердило наличие стоматологических, костных, офтальмологических и неврологических аномалий органов.
Cиндром Шёпфа–Шульца–Пассарджа (Schöpf-Schulz-Passarge syndrome) связан с мутациями в гене WNT10A. В числе его проявлений точечная симметричная ладонно-подошвенная кератодермия, ломкость ногтей, гиподонтия, гипотрихоз, апокриновые гидроцистомы на веках [25–27]. У пациентки Н. отсутствовало всё перечисленное.
Туберозный склероз обусловлен мутациями в генах TSC1 и TSC2, которые кодируют белки, участвующие в ингибировании пути mTOR. Заболевание начинается с гипопигментированных пятен, затем появляются ангиофибромы лица, околоногтевые фибромы Кенена, шагреневые бляшки, а также опухоли глаз, сердца, почек [28]. У пациентки Н. похожие клинические проявления отсутствовали.
Дифференциальная диагностика проводилась также с TSC2/PKD1-синдромом, при котором в клинической картине сочетаются симптомы туберозного склероза и поликистоза почек. У пациентов присутствуют множественные гамартомы головного мозга, глаз, кожи, внутренних органов [29]. УЗИ почек у пациентки Н. без патологии.
Соматической патологии, характерной для большинства наследственных синдромов, у пациентки Н. выявить не удалось. Клиническая и гистологическая картина наиболее соответствовала СБШ, однако у пациентки отсутствовал отягощённый наследственный анамнез. Для верификации диагноза и выявления модифицирующих фенотип генетических факторов проведено секвенирование части гена CYLD, в котором была выявлена мутация c.2501dupC (p.Val835SerfsTer52) в гетерозиготном состоянии (инсерция со сдвигом рамки считывания в 17-м экзоне из 23). Таким образом, анамнез (дебют первых высыпаний в начале периода полового созревания), клиническая картина (характерное сгруппированное Х-образное расположение новообразований на коже лица от носогубных складок до внутренней части бровей), гистологически подтверждённые множественные трихоэпителиомы наиболее соответствовали СБШ, фенотипическому варианту множественных семейных трихоэпителиом [30].
Генетический анализ способствует накоплению доказательств клинической значимости генетических факторов, модифицирующих фенотип, потенциально важных для диагностики и прогноза заболевания.
Фенотипические проявления мутации в гене CYLD вариабельны и требуют тщательного исследования врачами-дерматовенерологами, медицинскими генетиками, врачами общего профиля.
Поиск этиотропного и патогенетического лечения СБШ в настоящий момент продолжается [31]. V. Baur и соавт. [32] применили ингибирование пути Hedgehog висмодегибом, что привело к значительному регрессу высокодифференцированных трихоэпителиом. Однако в большинстве случаев лечение СБШ заключается в симптоматической терапии и рутинном удалении новообразований различными хирургическими методами [33, 34].
Удаление множественных трихоэпителиом у пациентки Н. включало определённые трудности. Сгруппированные, сливающиеся между собой новообразования представляли единый конгломерат, в котором трудно было отделить один элемент от другого. Опухоли залегали глубоко в дерме, что увеличивало риск образования на месте удаления гипертрофических рубцов. В отечественной [35, 36] и зарубежной [37] литературе описан положительный опыт удаления новообразований придатков кожи различными видами лазеров, в том числе при СБШ [38]. Наиболее часто для лазерных удалений используется высокоэнергетический СО2-лазер, который излучает в инфракрасном диапазоне волны длиной 10,6 мкм [39]. У пациентки Н. при оценке качества удаления трихоэпителиом с помощью визуального осмотра и дерматоскопического исследования через 1 и 6 мес после процедуры был зафиксирован хороший косметический результат (отсутствие рецидивов, гипертрофических рубцов). В настоящий момент пациентка находится под нашим динамическим наблюдением не только с целью своевременной коррекции эстетических недостатков, но и для дальнейшего медико-генетического консультирования при планировании семьи.
ЗАКЛЮЧЕНИЕ
Ранняя диагностика наследственных синдромов, ассоциированных со множественными новообразованиями придатков кожи, позволяет удалять опухоли на ранней стадии, не допуская разрастания новообразований, обезображивающих внешний вид пациента, или их злокачественной трансформации. Пациенты с редкими наследственными синдромами подлежат динамическому наблюдению в рамках мультидисциплинарного подхода для своевременной диагностики возможных соматических патологий. Большинство пациентов с СБШ наследуют мутантный ген от родителей, риск передачи заболевания ими составляет 50%. В связи с этим пациентам имеет смысл проводить медико-генетическое консультирование для планирования семьи.
ДОПОЛНИТЕЛЬНО
Источник финансирования. Работа выполнена по инициативе авторов без привлечения финансирования.
Конфликт интересов. Авторы декларируют отсутствие явных и потенциальных конфликтов интересов, связанных с содержанием настоящей статьи.
Вклад авторов. Все авторы подтверждают соответствие своего авторства международным критериям ICMJE (все авторы внесли существенный вклад в разработку концепции, проведение исследования и подготовку статьи, прочли и одобрили финальную версию перед публикацией). Наибольший вклад распределён следующим образом: Т.А. Гайдина ― подготовка материала для статьи, анализ литературы, сбор, анализ данных и интерпретация результатов, подготовка черновика рукописи, внесение в рукопись существенной (важной) правки с целью повышения научной ценности статьи, одобрение финальной версии рукописи; А.С. Дворников ― анализ данных и интерпретация результатов, внесение в рукопись существенной (важной) правки с целью повышения научной ценности статьи, одобрение финальной версии рукописи; П.А. Скрипкина ― анализ литературы, сбор, анализ данных и интерпретация результатов, подготовка черновика рукописи; О.И. Пацап ― анализ данных и интерпретация результатов, внесение в рукопись существенной (важной) правки с целью повышения научной ценности статьи, подготовка черновика рукописи; А.А. Буянова ― сбор, анализ данных и интерпретация результатов, подготовка черновика рукописи.
Согласие пациента. Пациент добровольно подписал информированное согласие на публикацию персональной медицинской информации в обезличенной форме в журнале «Российский журнал кожных и венерических болезней».
ADDITIONAL INFORMATION
Funding source. The research was carried out at the expense of the organization’s budgetary funds.
Competing interests. The authors declare that they have no competing interests.
Authors contribution. The authors made a substantial contribution to the conception of the work, acquisition, analysis of literature, drafting and revising the work, final approval of the version to be published and agree to be accountable for all aspects of the work. T.A. Gaidina ― preparation of material for the article, literature analysis, data collection, analysis and interpretation of results, preparation of a draft of the manuscript, making significant (important) edits to the manuscript in order to increase the scientific value of the article, approval of the final version of the manuscript; A.S. Dvornikov ― data analysis and interpretation of results, making significant (important) changes to the manuscript) edits in order to increase the scientific value of the article, approval of the final version of the manuscript; P.A. Skripkina ― literature analysis, data collection, analysis and interpretation of results, preparation of a draft of the manuscript; O.I. Patsap ― data analysis and interpretation of results, making significant (important) edits to the manuscript in order to increase the scientific value of the article, preparation of a draft of the manuscript; A.A. Buyanova ― collection, analysis of data and interpretation of results, preparation of a draft of the manuscript.
Patient permission. Patient voluntarily signed an informed consent to the publication of personal medical information in depersonalized form in the journal “Russian journal of skin and venereal diseases”.
1 База данных Orphanet. Режим доступа: https://www.orpha.net/consor/cgi-bin/index.php. Дата обращения: 25.10.2022.
About the authors
Tatiana A. Gaydina
The Russian National Research Medical University named after N.I. Pirogov; Federal Center of Brain Research and Neurotechnologies
Author for correspondence.
Email: doc429@yandex.ru
ORCID iD: 0000-0001-8485-3294
SPIN-code: 5216-2059
MD, Cand. Sci. (Med.), Associate Professor
Russian Federation, Moscow; MoscowAnton S. Dvornikov
The Russian National Research Medical University named after N.I. Pirogov
Email: dvornikov_as@rsmu.ru
ORCID iD: 0000-0002-0429-3117
SPIN-code: 2023-5783
MD, Dr. Sci. (Med.), Professor
Russian Federation, MoscowPolina A. Skripkina
The Russian National Research Medical University named after N.I. Pirogov
Email: polina.skripkina@mail.ru
ORCID iD: 0000-0001-9953-1095
SPIN-code: 3706-1349
MD, Cand. Sci. (Med.), Associate Professor
Russian Federation, MoscowOlga I. Patsap
Federal Center of Brain Research and Neurotechnologies
Email: cleosnake@yandex.ru
ORCID iD: 0000-0003-4620-3922
SPIN-code: 6460-1758
MD, Cand. Sci. (Med.)
Russian Federation, MoscowAnastasiia A. Buianova
The Russian National Research Medical University named after N.I. Pirogov
Email: anastasiiabuianova97@gmail.com
ORCID iD: 0000-0001-7894-9222
SPIN-code: 5725-7792
Russian Federation, Moscow
References
- Blake PW, Toro JR. Update of cylindromatosis gene (CYLD) mutations in Brooke-Spiegler syndrome: Novel insights into the role of deubiquitination in cell signaling. Hum Mutat. 2009;30(7):1025–1036. doi: 10.1002/humu.21022
- Kazakov DV. Brooke-spiegler syndrome and phenotypic variants: an update. Head Neck Pathol. 2016;10(2):125–130. doi: 10.1007/s12105-016-0705-x
- Kubanov AA, Sysoeva TA, Kovaleva YP, et al. Сutaneous adnexal tumors. Brook-Spiegler syndrome. Russ Med J Medical Review. 2019;(12):42–45. (In Russ).
- Kazakov D, Michal M, Kacerovska D, McKee PH. Cutaneous adnexal tumors. Lippincott Wialliams & Wilkins, Philadelphia, PA; 2012. 814 p.
- Nagy N, Dubois A, Szell M, Rajan N. Genetic testing in CYLD cutaneous syndrome: An update. Appl Clin Genet. 2021;(14):427–444. doi: 10.2147/TACG.S288274
- Berghe VT, Linkermann A, Jouan-Lanhouet S, et al. Regulated necrosis: The expanding network of non-apoptotic cell death pathways. Nat Rev Mol Cell Biol. 2014;15(2):135–147. doi: 10.1038/nrm3737
- Ryzhkova OP, Kardymon OL, Prohorchuk EB, et al. Guidelines for the interpretation of human DNA sequence data obtained by mass parallel sequencing methods (edition 2018, version 2). Medical genetics. 2019;18(2):3–23. (In Russ). doi: 10.25557/2073-7998.2019.02.3-23
- Kubanov AA, Sysoeva TA, Gallyamova YuA, et al. Algorithm for examining patients with skin neoplasms. Lechaschi Vrach. 2018;(3):83–88. (In Russ).
- Patel P, Nawrocki S, Hinther K, Khachemoune A. Trichoblastomas mimicking basal cell carcinoma: The importance of identification and differentiation. Cureus. 2020;12(5):e8272. doi: 10.7759/cureus.8272
- Schierbeck J, Vestergaard T, Bygum A. Skin cancer associated genodermatoses: A literature review. Acta Derm Venereol. 2019;99(4):360–369. doi: 10.2340/00015555-3123
- Brown S, Brennan P, Rajan N. Inherited skin tumour syndromes. Clin Med (Lond). 2017;17(6):562–567. doi: 10.7861/clinmedicine.17-6-562
- Paller AS, Mancini AJ. Hurwitz clinical pediatric dermatology: A textbook of skin disorders of childhood and adolescence. 5th ed. Elsevier Health Sciences; 2016.
- Schmidt LS, Linehan WM. FLCN: The causative gene for Birt-Hogg-Dubé syndrome. Gene. 2018;(640):28–42. doi: 10.1016/j.gene.2017.09.044
- Lopes S, Vide J, Moreira E, Azevedo F. Cowden syndrome: clinical case and a brief review. Dermatol Online J. 2017;23(8):13030/qt0023k3x0.
- Gosein MA, Narinesingh D, Nixon CA, et al. Multi-organ benign and malignant tumors: recognizing Cowden syndrome: A case report and review of the literature. BMC Res Notes. 2016;(9):388. doi: 10.1186/s13104-016-2195-z
- Tayeb C, Parc Y, Andre T, Lopez-Trabada Ataz D. Polypose adénomateuse familiale, tumeurs desmoïdes et syndrome de Gardner [Familial adenomatous polyposis, desmoid tumors and Gardner syndrome]. (French). Bull Cancer. 2020;107(3):352–358. doi: 10.1016/j.bulcan.2019.10.011
- Gay JT, Troxell T, Gross GP. Muir-Torre syndrome. StatPearls [cites: 2022 July 4]. Available from: https://www.ncbi.nlm.nih.gov/books/NBK513271/. Accessed: 25.10.2022.
- John AM, Schwartz RA. Muir-Torre syndrome (MTS): An update and approach to diagnosis and management. J Am Acad Dermatol. 2016;74(3):558–566. doi: 10.1016/j.jaad.2015.09.074
- Al Sabbagh MM, Baqi MA. Bazex-Dupré-Christol syndrome: Review of clinical and molecular aspects. Int J Dermatol. 2018;57(9):1102–1106. doi: 10.1111/ijd.14065
- Kamilaris CD, Faucz FR, Voutetakis A, Stratakis CA. Carney complex. Exp Clin Endocrinol Diabetes. 2019;127(2-3):156–164. doi: 10.1055/a-0753-4943
- Ahmed C, Trope BM, Amorim G, et al. Clouston syndrome. Skinmed. 2021;19(1):54.
- Cammarata-Scalisi F, Rinelli M, Pisaneschi E, et al. Novel clinical features associated with Clouston syndrome. Int J Dermatol. 2019;58(8):e143–e146. doi: 10.1111/ijd.14507
- Bartoš V, Kullovа M, Adamicovа K, Paučinovа I. Gorlin-Goltz syndrome. Gorlinov-Goltzov syndrоm. Klin Onkol. 2019;32(2):124–128. doi: 10.14735/amko2019124
- Vetrо Е, Olаh J, Nagy D, et al. A Gorlin-Goltz-szindróma genetikai aspektusai [Genetic aspects of Gorlin-Goltz syndrome]. (Hungarian). Orv Hetil. 2020;161(49):2072–2077. doi: 10.1556/650.2020.31933
- Trocoli Drakensjö I, Björck E, Bradley M, Hedblad MA. Schöpf-Schulz-Passarge syndrome with multiple angiomas on the tongue: a new feature? Int J Dermatol. 2021;60(5):641–642. doi: 10.1111/ijd.15363
- Ismail FF, McGrath J, Sinclair R. Schopf-Schulz-Passarge syndrome: A rare ectodermal dysplasia with a delayed diagnosis. Int J Dermatol. 2020;59(2):257–258. doi: 10.1111/ijd.14616
- Castori M, Ruggieri S, Giannetti L, et al. Schöpf-Schulz-Passarge syndrome: Further delineation of the phenotype and genetic considerations. Acta Derm Venereol. 2008;88(6):607–612. doi: 10.2340/00015555-0547
- Northrup H, Aronow ME, Bebin EM, et al. Updated international tuberous sclerosis complex diagnostic criteria and surveillance and management recommendations. Pediatr Neurol. 2021;(123):50–66. doi: 10.1016/j.pediatrneurol.2021.07.011
- Brook-Carter PT, Peral B, Ward CJ, et al. Deletion of the TSC2 and PKD1 genes associated with severe infantile polycystic kidney disease-a contiguous gene syndrome. Nat Genet. 1994;8(4):328–332. doi: 10.1038/ng1294-328
- Grossmann P, Vanecek T, Steiner P, et al. Novel and recurrent germline and somatic mutations in a cohort of 67 patients from 48 families with Brooke-Spiegler syndrome including the phenotypic variant of multiple familial trichoepitheliomas and correlation with the histopathologic findings in 379 biopsy specimens. Am J Dermatopathol. 2013;35(1):34–44. doi: 10.1097/DAD.0b013e31824e7658
- Lobo Y, Blake T, Wheller L. Management of multiple trichoepithelioma: A review of pharmacological therapies. Australas J Dermatol. 2021;62(2):e192–e200. doi: 10.1111/ajd.13537
- Baur V, Papadopoulos T, Kazakov DV, et al. A case of multiple familial trichoepitheliomas responding to treatment with the Hedgehog signaling pathway inhibitor vismodegib. Virchows Arch. 2018;473(2):241–246. doi: 10.1007/s00428-018-2397-y
- Engels PE, Fritsche E, Pabst G, Hug U. Surgical treatment of Brooke-Spiegler Syndrome. J Craniofac Surg. 2021;32(4):e356–e358. doi: 10.1097/SCS.0000000000007144
- Portincasa A, Cecchino L, Trecca EM, et al. A rare case of Brooke-Spiegler syndrome: Integrated surgical treatment of multiple giant eccrine spiradenomas of the head and neck in a young girl. Int J Surg Case Rep. 2018;(51):277–281. doi: 10.1016/j.ijscr.2018.08.021
- Gaydina TA, Dvornikov AS, Skripkina PA. Case report: Removal of a proliferating pilomatricoma with a CO2 laser. Bulletin of Russian State Medical University. 2019;(6):110–113. (In Russ). doi: 10.24075/vrgmu.2019.077
- Gaydina TA, Dvornikov AS, Skripkina PA, Arutyunyan GB. Rationale for removing nevus sebaceus of jadassohn in young patients. Bulletin of Russian State Medical University. 2018;(3):80–83. (In Russ). doi: 10.24075/vrgmu.2018.033
- Liu D, Zhou EY, Chen D, et al. Epidermoid cyst removal with CO2 laser fenestration: A retrospective cohort study. J Cosmet Dermatol. 2021;20(6):1709–1713. doi: 10.1111/jocd.13766
- Thomas LW, Pham CT, Coakley B, Lee P. Treatment of Brooke-Spiegler syndrome trichoepitheliomas with erbium-yttrium-aluminum-garnet laser: A case report and review of the literature. J Clin Aesthet Dermatol. 2020;13(7):41–44.
- Rentka A, Grygar J, Nemes Z, Kemeny-Beke A. Evaluation of carbon dioxide laser therapy for benign tumors of the eyelid margin. Lasers Med Sci. 2017;32(8):1901–1907. doi: 10.1007/s10103-017-2309-4
Supplementary files










