Advances in diagnostics and treatment of cutaneous lymphoid hyperplasia
- Authors: Olisova O.Y.1, Anpilogova E.M.1, Kosumova K.S.2, Nikulina E.E.3
-
Affiliations:
- I.M. Sechenov First Moscow State Medical University (Sechenov University)
- National Medical Research Radiological Center
- National Research Center for Hematology
- Issue: Vol 24, No 5 (2021)
- Pages: 429-442
- Section: DERMATO-ONCOLOGY
- Submitted: 18.01.2022
- Accepted: 27.01.2022
- Published: 12.09.2021
- URL: https://rjsvd.com/1560-9588/article/view/96711
- DOI: https://doi.org/10.17816/dv96711
- ID: 96711
Cite item
Full Text
Abstract
BACKGROUND: Cutaneous lymphoid hyperplasia is a reactive dermatosis characterized by the development of lymphocytic infiltration due to prolonged exposure to provoking factors with a tendency to spontaneous regression after elimination of antigenic stimulation without the development of systemic manifestations, sometimes having a difficult-to-distinguish similarity with B-cell lymphoma of the skin. Currently available diagnostic methods do not always allow to obtain an accurate result, and the arsenal of therapeutic agents does not sufficiently meet the criteria of effectiveness and safety.
AIMS: Diagnosis and therapy of benign lymphoplasia of the skin.
MATERIALS AND METHODS: The study included 57 patients who were observed at the V.A. Rakhmanov Clinic of Skin and Venereal Diseases of Sechenov University for skin lesions clinically similar to cutaneous lymphoid hyperplasia. Based on the results of histological, immunohistochemical and molecular genetic studies, the main study group was formed, which included patients with cutaneous lymphoid hyperplasia (n=35). After verification of the diagnosis, the expression of IgG4 in the lesions was studied, and the efficacy and safety of photodynamic therapy was evaluated both in the form of monotherapy by the method red light irradiation with a wavelength of 660±2 nm using the photosensitizer chlorin E6 once a week, and in combination with intraocular (0.5 ml/cm2) or intramuscular (2 ml each) injections of betamethasone suspension (Diprospan), carried out 1 time a week until complete cleansing of the skin.
RESULTS: Among 35 patients with cutaneous lymphoid hyperplasia, there were 14 men and 21 women aged 18 to 78 years (the average age was 42.7±2.8 years). IgG4+ was detected in 5 (17%) of 30 patients with cutaneous lymphoid hyperplasia (tattoo n=3, idiopathic n=2), as well as in 7 (78%) of 9 patients with confirmed B-lymphoma of the skin. Photodynamic therapy monotherapy (n=20) made it possible to achieve clinical remission in an average of 3–6 irradiation sessions, the combination of photodynamic therapy and betamethasone suspension in 15 patients with widespread and resistant to photodynamic therapy monotherapy rashes led to the clinical remission in 100% of patients after 7 photodynamic therapy sessions and 4 diprospan injections. Minor side effects did not require discontinuation of treatment.
CONCLUSIONS: Thus, the diagnosis of cutaneous lymphoid hyperplasia is made only on the basis of a comprehensive examination (clinical and anamnestic assessment, histological, immunohistochemical, molecular genetic studies), however, there remains a certain percentage of patients in whom the verification of cutaneous lymphoid hyperplasia is difficult and requires improved diagnostics. IgG4 can be regarded as an additional diagnostic marker in the differentiation of cutaneous lymphoid hyperplasia and B-cell lymphoma of the skin: the tendency to increase the level of IgG4 may indirectly indicate the malignancy of the lymphoproliferative process. photodynamic therapy has demonstrated high efficacy and safety in patients with cutaneous lymphoid hyperplasia, allowing to achieve completely clean skin both with monotherapy and in combination with diprospan for resistant and/or widespread rashes.
Full Text
ОБОСНОВАНИЕ
Доброкачественная лимфоплазия кожи (ДЛК) ― дерматоз реактивной природы, характеризующийся развитием лимфоцитарного инфильтрата вследствие длительного воздействия провоцирующих факторов и имеющий тенденцию к спонтанному регрессу при элиминации антигенной стимуляции без развития системных проявлений [1].
В настоящее время ДЛК представляет собой одно из наиболее трудно диагностируемых заболеваний в дерматологии ввиду его значительного сходства со злокачественным лимфопролиферативным процессом (В-клеточной лимфомой кожи, ВКЛК) по клиническим и патоморфологическим признакам [2]. Это нередко приводит как к гипердиагностике и последующей излишне агрессивной терапии доброкачественного процесса, снижающей качество жизни пациентов, так и к позднему обнаружению лимфомы кожи, что ухудшает прогноз заболевания.
Значительным успехом в истории диагностики лимфопролиферативных заболеваний кожи стало появление молекулярно-генетического метода полимеразной цепной реакции (ПЦР), который позволяет обнаруживать перерождённые В-лимфоциты путём оценки характера клональности реаранжировки генов тяжёлой цепи иммуноглобулина (IgH). Однако совершенство ПЦР-методики подвергается сомнению рядом учёных, опубликовавших случаи выявления поликлональности по IgH при злокачественных лимфомах и, наоборот, моноклональности при доброкачественых лимфопролиферативных процессах [3, 4].
С целью повышения диагностической ценности данные клинических, гистологических, иммуногистохимических и молекулярно-генетических методов исследования должны рассматриваться комплексно. Тем не менее описаны случаи, когда через несколько лет после верификации доброкачественной лимфоплазии кожи процесс трансформируется в В-лимфому кожи [5], хотя в таких ситуациях нельзя исключать, что природа лимфоцитарного инфильтрата носила злокачественный характер изначально.
Несмотря на современные диагностические возможности, единственным надёжным способом подтверждения диагноза доброкачественной лимфоплазии кожи по-прежнему остаётся длительное динамическое наблюдение за пациентами.
В последнее время на фоне широкого изучения роли иммунных механизмов канцерогенеза всё больший интерес для учёных представляет IgG4, появляющийся в организме при длительной антигенной стимуляции. Доказано, что он способен ингибировать местный гуморальный и клеточный иммунный ответ и индуцировать рост раковых клеток [6]. Обнаружена повышенная концентрация IgG4+, ассоциированная с неблагопритным прогнозом, при меланоме [7], глиобластоме [8], раке органов желудочно-кишечного тракта [9]. Описано также несколько случаев IgG4+ лимфом в различных органах [10–12]. Наряду с этим есть сообщения об экспрессии IgG4+ и при доброкачественных дерматозах [13]. Таким образом, имеющиеся данные об IgG4 в зарубежной литературе противоречивы, однако его участие в развитии злокачественных заболеваний, в том числе при лимфопролиферативных процессах, очевидно, что делает целесообразным изучение IgG4 в рамках поиска нового дифференциально-диагностического маркера ДЛК.
Лечение ДЛК также представляет определённые трудности. Благодаря реактивному характеру процесса, элиминация триггерного фактора нередко приводит к клинической ремиссии, однако выявить его удаётся в половине случаев. Кроме того, зачастую пациенты самостоятельно отказываются от устранения причины, провоцирующей ДЛК (например, при ДЛК на татуировочный пигмент).
В настоящее время арсенал медикаментозных средств лечения ДЛК достаточно обширен: от ингибиторов кальциневрина до генно-инженерных биологических препаратов и даже лучевой терапии [14]. Однако, учитывая доброкачественный характер ДЛК, столь агрессивный подход к терапии не всегда оправдан. Одним из самых эффективных и распространённых методов лечения ДЛК является применение системных глюкокортикоидных препаратов, и всё же остаётся определённый процент пациентов, у которых назначение данной группы препаратов ограничено в связи с наличием стероидофобии или объективных противопоказаний. Всё вышесказанное обусловливает необходимость поиска нового метода лечения ДЛК.
Недавно в зарубежной печати появились сообщения об эффективности и безопасности фотодинамической терапии ДЛК, однако они представляют собой лишь единичные описания клинических случаев [15, 16]. В нашей стране публикации о данном методе отсутствуют.
Таким образом, ранняя дифференциальная диагностика реактивных и злокачественных лимфопролиферативных процессов в коже, требующих кардинально разных терапевтических подходов, а также поиск нового безопасного и эффективного метода лечения ДЛК обусловливают несомненную актуальность темы и её практическую значимость для системы здравоохранения.
Цель исследования ― усовершенствование диагностики и терапии доброкачественной лимфоплазии кожи.
МАТЕРИАЛ И МЕТОДЫ
Дизайн исследования
Проведено одноцентровое проспективное исследование.
Условия проведения
Исследование проведено на базе клиники кожных и венерических болезней имени В.А. Рахманова Сеченовского Университета.
Критерии соответствия
Критерии включения: наличие поражений кожи, клинически схожих с доброкачественной лимфоплазией кожи; возраст пациентов старше 18 лет; добровольное желание участвовать в исследовании; подписанное информированное согласие с общим планом обследования и лечения.
Критерии невключения: нежелание пациента принимать участие в исследовании; наличие сопутствующих соматических, а также инфекционных заболеваний в стадии декомпенсации, онкологические заболевания, наркомания, алкоголизм, гипертиреоз, фотодерматозы; беременность, период лактации.
Критерии исключения: добровольное желание пациента завершить участие в исследовании; несоблюдение пациентом режима и назначенной схемы диагностики и терапии.
Описание медицинского вмешательства
В исследование было включено 57 больных по поводу поражений кожи, клинически схожих с ДЛК. Все пациенты были распределены в две группы: основную (группа 1) и группу дифференциального диагноза (группа 2), которые были сформированы на основании результатов, полученных в ходе двухэтапной диагностики (1-й этап диагностики: клинико-анамнестическая оценка, гистологическое исследование; 2-й этап диагностики: иммуногистохимическое исследование, молекулярно-генетическое исследование). Гистологическое и иммуногистохимическое исследование проводилось на базе Института клинической морфологии и цифровой патологии Первого МГМУ им. И.М. Сеченова (Сеченовский Университет) и МНИОИ им. П.А. Герцена. Молекулярное-генетическое исследование проводилось в лаборатории молекулярной гематологии ФГБУ «НМИЦ гематологии».
В первую группу (n=35) были отобраны больные с предварительным диагнозом ДЛК, подтверждённым клинически и гистологически, а затем иммуногистохимическим и молекулярно-генетическим методами.
Вторую группу (n=22) составили пациенты, у которых после дообследования диагноз ДЛК был исключён. Так, сразу после проведения гистологического исследования предварительный диагноз ДЛК был изменён на саркоидоз (n=15), ангиолимфоидную гиперплазию с эозинофилией (n=1) и эозинофильную гранулёму (n=3). В группу вошли также больные, у которых на втором этапе диагностики при определении характера инфильтрата ДЛК с помощью иммуногистохимического и молекулярно-генетического исследования был обнаружен злокачественный клон В-лимфоцитов, и верифицирована В-клеточная лимфома кожи (n=3).
После проведения полного комплекса диагностики и подтверждения диагноза ДЛК (n=30) у больных изучался уровень экспрессии IgG4 в биоптатах кожи иммуногистохимическим методом. С целью оценки значимости показателя IgG4 был проведён сравнительный анализ в группах, для чего была сформирована контрольная группа из 9 больных с верифицированной ВКЛК (биоптат кожи).
Всем больным ДЛК (n=35) была назначена фотодинамическая терапия (ФДТ) с применением красного света. Суммарное количество процедур варьировало в каждом конкретном случае в зависимости от динамики улучшения клинической картины. Лечение проводилось до достижения полного очищения кожных покровов от высыпаний. Контрольной точкой, определяющей дальнейшую тактику ведения пациентов, явилась третья процедура ФДТ: в случае отсутствия положительной динамики или незначительной эффективности после её проведения дополнительно назначались внутриочаговые или внутримышечные инъекции суспензии бетаметазона. Эффективность лечения оценивалась по динамике клинической картины после каждого сеанса ФДТ следующим образом: клиническая ремиссия ― ≥95%; значительное улучшение ― 94–75%; улучшение ― 74–50%; незначительное улучшение ― 49–25%; отсутствие эффекта ― ≤24%.
Для оценки патоморфологических изменений и проведения молекулярно-генетического анализа пациентам после получения от них информированного согласия проводилась биопсия очага поражения с использованием инфильтрационной анестезии раствором новокаина и последующим наложением швов. Биопсийный материал помещался в стеклянную тару с 10%-м нейтральным формалином, после чего подвергался стандартной проводке с последующей парафиновой заливкой. Полученные срезы толщиной 2–4 мкм окрашивались гематоксилином-эозином. Гистологическое исследование выполнялось с помощью светового микроскопа Carl Zeiss (Германия) с увеличением 50; 100; 200; 400.
Изучение иммунофенотипов CD20, CD3, CD4, CD8, CD23, Ki67, лёгких цепей иммуноглобулина типа κ и λ (IgL), а в случае образования фолликулоподобных структур ― bcl-2 проводили на парафиновых срезах. Оценку результатов проводили путем подсчёта количества клеток. Экспрессия исследуемого маркера расценивалась как слабая (+) при наличии окрашенных гранул в 1–50 клетках, умеренная (++) ― в 51–100 клетках, резко выраженная (+++) ― в 101 и более клетках, в четырёх полях зрения.
Клональность В-клеточного рецептора определяли по V-D-J-перестройкам тяжёлой цепи иммуноглобулинов в трёх мультиплексных ПЦР-реакциях с праймерами, специфичными к регионам FR1, FR2, FR3. Реакционная смесь содержала 2,5 мкл ПЦР-буфера (Синтол, Россия), dNTP в концентрации 25 мМ каждого нуклеотида (Синтол, Россия), 1,5 мкл Mg2+ в концентрации 25 мМ (Синтол, Россия), 5 пкмоль каждого праймера (Синтол, Россия), 20–200 нг ДНК; конечный объём смеси ― 25 мкл. Амплификацию проводили в автоматическом термоциклере C-1000 (Biorad, США); условия амплификации: первоначальная денатурация ― 7 мин при 95ºС, затем 35 циклов, включающих денатурацию (94ºС ― 40 сек), отжиг (60ºС ― 40 сек) и элонгацию (72ºС ― 40 сек); окончательная элонгация при 72ºС ― 10 мин. Затем 3 мкл разведённого в 80 раз ПЦР-продукта смешивали с 1 мкл размерного стандарта S-450 (Синтол, Россия) и 15 мкл Hi-Di формамида (TFS, США). Фрагментный анализ проводили на автоматическом генетическом анализаторе Нанофор 05 (Институт аналитического приборостроения РАН, Россия). Флуоресценцию амплификатов и их профиль (распределение по длинам) анализировали с помощью программного обеспечения GeneMapper v.4 (Applied Biosystems, США). Продукт считали клональным, если максимальный пик флуоресцентного сигнала превышал поликлональный фон в 3 раза и более. При разнице с поликлональным фоном в 1,5–3 раза клональность расценивалась как сомнительная. Для признания образца клональным было достаточно, чтобы клональным был продукт хотя бы одной из трёх реакций ― FR1, FR2, FR3.
Для проведения ФДТ больным ДЛК применялся светодиодный источник света Revixan Duo Light LED (Россия). На очаг поражения предварительно наносился фотосенсибилизатор хлорин Е6 из расчёта 1 мл геля на 2 см2 под окклюзионную плёнку в темном помещении с экспозицией 30 мин, затем проводилось облучение очага диодной лампой с длиной волны 660±2 нм (красный свет) в течение 40 мин. Сеансы ФДТ проводились с частотой 1 раз в неделю до полного очищения кожных покровов. В случае резистентности к терапии в дополнение к ФДТ выполнялись внутриочаговые (0,5 мл/см2) или внутримышечные (по 2 мл) инъекции комбинированного глюкокортикоидного препарата, состоящего из дипропионата и динатрия фосфата бетаметазона (Дипроспан), с недельным интервалом до достижения полного регресса высыпаний.
Этическая экспертиза
Исследование одобрено локальным этическим комитетом ФГАОУ ВО «Первый МГМУ имени И.М. Сеченова» Минздрава России (Сеченовский Университет), № 17-19 от 11.12.2019.
Статистический анализ
Размер выборки предварительно не рассчитывался.
Математико-статистическая обработка полученных результатов производилась при помощи программы IBM SPSS Statistics 23.0 и Microsoft Excel 2016. Анализ данных проводился с помощью таблиц сопряженности, критерия Хи-квадрат (χ2) Пирсона с поправками на непрерывность, парного критерия Вилкоксона, точного критерия Фишера, критерия φ, критерия V Крамера, критерия тау-с Кендалла, коэффициента неопределённости.
РЕЗУЛЬТАТЫ
Объекты (участники) исследования
Под наблюдением находились 57 больных с высыпаниями, имеющими клиническое сходство с доброкачественной лимфоплазией кожи. Средний возраст пациентов составил 43,82±2,7 (18–78) года, из них мужчин было 23, женщин ― 34 (соотношение 1:1,5). Среди направительных диагнозов, выставленных в других медучреждениях, были саркоидоз (n=19; 33%), ВКЛК (n=3; 6%), доброкачественная лимфоплазия кожи (n=15; 26%), аллергический дерматит (n=9; 16%). Впервые обратились за медицинской помощью для установления диагноза 11 (19%) пациентов.
Основные результаты исследования
На этапах обследования входные диагнозы пациентов были уточнены, в результате чего сформированы две группы исследования: основная группа пациентов с диагнозом ДЛК (n=35) и группа дифференциального диагноза (n=22), куда вошли саркоидоз (n=15; 68%), ангиолимфоидная гиперплазия с эозинофилией (n=1; 4%), эозинофильная гранулёма (n=3; 14%) и ВКЛК (n=3; 14%) (рис. 1).
Рис. 1. Диагнозы больных после обследования. / Fig. 1. Patients’ diagnoses after examination.
В результате проведённого клинико-анамнестического обследования в основной группе (ДЛК) провоцирующий фактор был выявлен у 23 больных: нанесение татуировочного пигмента (n=9), перенесённая чесотка (n=8), укусы пиявок (n=4), укусы мошек (n=2). В 12 случаях причину ДЛК установить не удалось. Во всех наблюдениях первые высыпания появлялись спустя некоторое время (от 2 нед до 14 мес) после воздействия провоцирующего фактора. Клинически ДЛК характеризовалась плотными, полушаровидными, чётко отграниченными от здоровой кожи красно-синюшными папулами (n=27; 77%) (рис. 2), бляшками (n=6; 17%) (рис. 3), в единичных случаях ― узлами (n=3; 8%) (рис. 4), причём высыпания располагались точно в местах воздействия антигена (места укусов, введения татуировочного пигмента). При ДЛК на татуировку высыпания располагались линейно по ходу пигмента. У одной пациентки после гирудотерапии одновременно наблюдались и папулы, и одиночный узел. При идиопатической ДЛК высыпания были единичными; множественный и распространённый характер они приобретали в случаях, которые были спровоцированы укусами пиявок и чесоточных клещей (рис. 5). Независимо от этиологии у всех больных ДЛК высыпания не имели тенденции к изъязвлению, кровоточению при травматизации, а также отсутствовало вовлечение системных органов.
Рис. 2. Больная И., 53 года. Доброкачественная лимфоплазия кожи. Причина не установлена. / Fig. 2. Patient I., 53 y.o. Cutaneous lymphoid hyperplasia. Unknown etiology.
Рис. 3. Больной Е., 32 года. Доброкачественная лимфоплазия кожи как реакция на татуировку. / Fig. 3. Patient E., 32 y.o. Cutaneous lymphoid hyperplasia after tattoo.
Рис. 4. Больная С., 75 лет. Доброкачественная лимфоплазия кожи. Причина не установлена. / Fig. 4. Patient S., 75 y.o. Cutaneous lymphoid hyperplasia. Unknown etiology.
Рис. 5. Больная Н., 73 года. Постскабиозная лимфоплазия кожи. / Fig. 5. Patient N., 73 y.o. Cutaneous lymphoid hyperplasia after scabies.
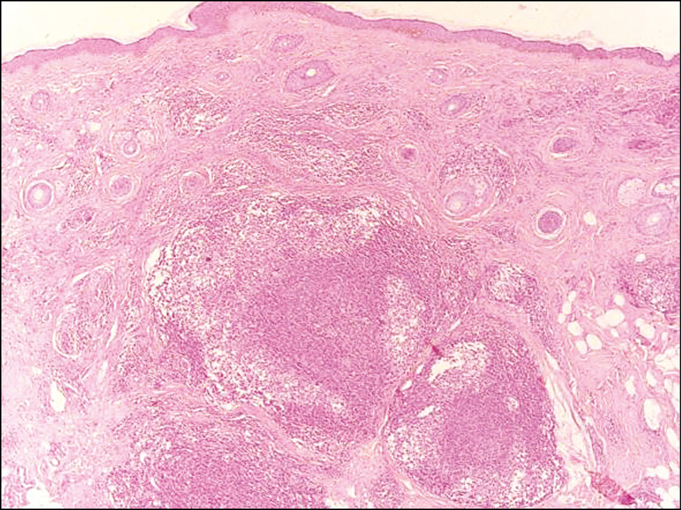
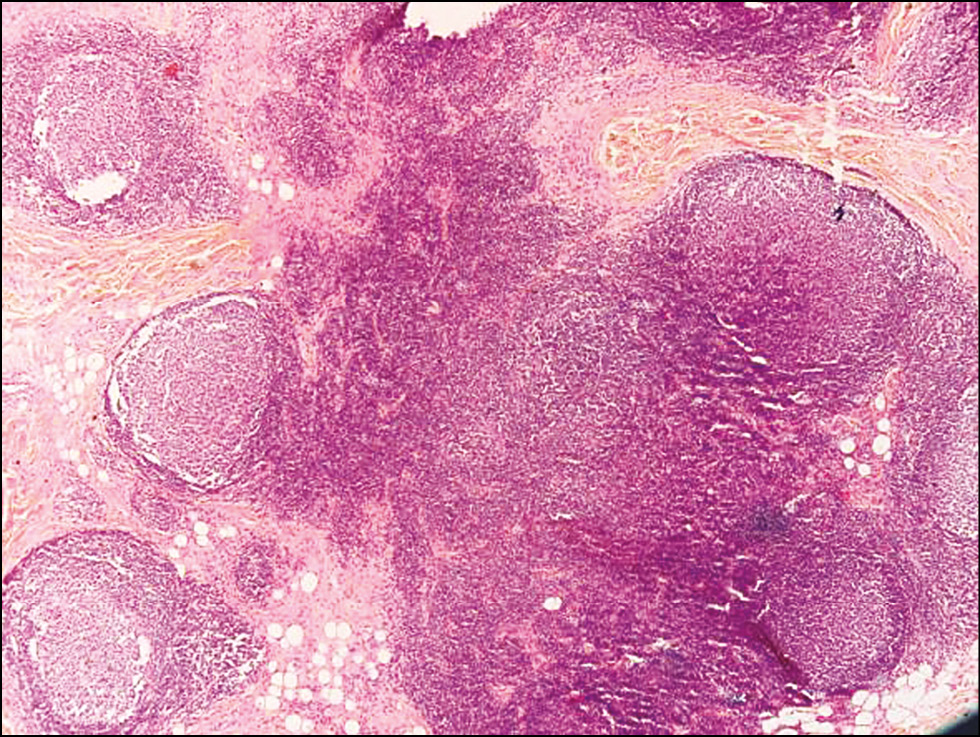
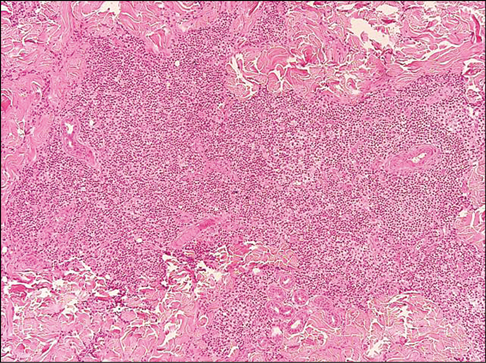
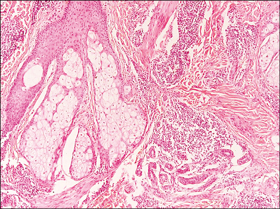
Изучение патоморфологических особенностей ДЛК позволило выделить её основные черты. Лимфоцитарный инфильтрат, состоящий преимущественно из малых В-лимфоцитов, плазматических клеток, гистиоцитов, макрофагов, нейтрофильных и эозинофильных форм гранулоцитов, в большинстве случаев располагался в верхних (n=16; 53%) и средних (n=11; 36,7%) слоях дермы, однако при ДЛК, представленной узлами (n=3; 10%), он распространялся и на подкожно-жировую клетчатку (рис. 6). Во всех случаях наблюдалась сохранность придатков кожи с перифокальными инфильтратами, а также пролиферация микрососудов (рис. 7). Из 30 больных ДЛК у 8 (26,7%) в коже были обнаружены фолликулоподобные структуры (рис. 8), у 6 (20%) ― лимфоидные фолликулы с герминативными центрами (рис. 9). Лимфоидные фолликулы различных размеров имели характерные чёткие границы с широким ободком из мелких лимфоцитов. В герминативном центре лимфоидных фолликулов наблюдались многочисленные митозы. При иммуногистохимическом исследовании кожи в биоптатах всех больных ДЛК в дермальном инфильтрате было выявлено преобладание CD20+ В-лимфоцитов (рис. 10) Соотношение IgL κ/λ составило примерно 1:1 во всех биоптатах (рис. 11, 12). По результатам ПЦР-анализа: по реаранжировкам генов IgH B-клеточная клональность не выявлялась в большинстве случаев (n=25; 83%), в 5 (17%) ― результат был интерпретирован как сомнительный.
Рис. 6. Патоморфологические особенности доброкачественной лимфоплазии кожи с неустановленной причиной: плотная очаговая лимфоидная инфильтрация с примесью макрофагов располагается преимущественно периваскулярно, ×100. / Fig. 6. Pathomorphological features of benign lymphoplasia of the skin with an unknown cause: сutaneous lymphoid hyperplasia, unknown cause. Mainly perivascularly located dense focal lymphoid infiltration with an admixture of macrophages, ×100.
Рис. 7. Патоморфологические особенности доброкачественной лимфоплазии кожи с неустановленной причиной: лимфогистиоцитарный инфильтрат располагается вокруг сально-волосяного фоллликула, ×100. / Fig. 7. Pathomorphological features of benign lymphoplasia of the skin with an unknown cause: сutaneous lymphoid hyperplasia, unknown cause. Lymphohistiocytic infiltrate around the sebaceous hair follicle, ×100.
Рис. 8. Патоморфологические особенности доброкачественной лимфоплазии кожи: эпидермис и придатки кожи не повреждены; в средних, глубоких отделах дермы и подкожно-жировой клетчатке определяется очаговая лимфоидная инфильтрация с формированием фолликулоподобных структур с герминативными центрами, ×50. / Fig. 8. Pathomorphological features of benign lymphoplasia of the skin: the epidermis and appendages of the skin are not damaged. Focal lymphoid infiltration with the formation of follicle-like structures with germinative centers is determined in the middle, deep parts of the dermis and in subcutaneous adipose tissue, ×50.
Рис. 9. Патоморфологические особенности доброкачественной лимфоплазии кожи: очагово-диффузная инфильтрация лимфоидными клетками в глубоких слоях дермы с формированием множественных вторичных лимфоидных фолликулов с герминативными центрами, ×50. / Fig. 9. Pathomorphological features of benign lymphoplasia of the skin: focal-diffuse infiltration by lymphoid cells in the deep layers of the dermis with the formation of multiple secondary lymphoid follicles with germinative centers, ×50.
Рис. 10. Иммуногистохимическое исследование кожи: CD20+ В-лимфоциты в лимфоидных фолликулах, ×200. / Fig. 10. Immunohistochemical examination of the skin: CD20+ B-lymphocytes in lymphoid follicles, ×200.
Рис. 11. Иммуногистохимическое исследование кожи: экспрессия IgL k, ×400. / Fig. 11. Immunohistochemical examination of the skin: expression of IgL k, ×400.
Рис. 12. Иммуногистохимическое исследование кожи: экспрессия IgL λ, ×400. / Fig. 12. Immunohistochemical examination of the skin: expression of IgL λ, ×400.
Оценка экспрессии IgG4 проводилась у больных ДЛК (n=30) и ВКЛК (n=9). У подавляющего большинства больных ДЛК (n=25) экспрессия IgG4 отсутствовала. IgG4+ был обнаружен лишь в единичных случаях ДЛК: на месте красного татуировочного пигмента (n=3; 10%), а также в случае высыпаний неустановленной этиологии (n=2; 6,7%), представленных узлами (рис. 13). В то же время IgG4+ отмечался у 7 (77%) из 9 больных ВКЛК группы контроля. Полученные результаты могут свидетельствовать о том, что тенденция к увеличению уровня экспрессии IgG4 при ДЛК может являться косвенным подтверждением трансформации процесса в ВКЛК (рис. 14).
Рис. 13. Экспрессия IgG4 и провоцирующий фактор доброкачественной лимфоплазии кожи. / Fig. 13. IgG4 expression and provoking factor of cutaneous cutaneous lymphoid hyperplasia.
Рис. 14. Экспрессия IgG4 при В-клеточной лимфоме кожи и доброкачественной лимфоплазии кожи. / Fig. 14. IgG4 expression in B-cell lymphoma of the skin and cutaneous lymphoid hyperplasia.
Все больные получали ФДТ по методике облучения красным светом в течение 40 мин 1 раз/нед. Суммарное количество процедур варьировало в каждом конкретном случае в зависимости от динамики улучшения клинической картины. Лечение проводилось до достижения полного очищения кожных покровов от высыпаний. После первого сеанса ФДТ незначительное улучшение было достигнуто у 6 (17%) больных, улучшение ― у 3 (8,6%), значительное улучшение ― у 1 (2,8%); в 25 (71,4%) случаях эффект отсутствовал. После второго сеанса у 1 (2,8%) пациента удалось достичь клинической ремиссии, ещё у 11 (31,4%) ― незначительного улучшения, у 4 (11,4%) ― улучшения, у 2 (5,7%) ― значительного улучшения; в 17 (48,6%) случаях эффект отсутствовал. Контрольной точкой, определяющей дальнейшую тактику ведения пациентов, явилась третья процедура ФДТ: в случае отсутствия положительной динамики (n=8; 23%) или незначительной эффективности после её проведения (n=7; 20%) дополнительно назначались внутриочаговые или внутримышечные инъекции суспензии бетаметазона. Вместе с тем после 3 сеансов монотерапии ФДТ улучшение отмечалось у 9 (25,7%), значительное улучшение ― у 8 (23%), клиническая ремиссия ― у 3 (8,6%) больных. Присоединение инъекций потребовалось в основном больным с распространёнными (n=7; 20%) высыпаниями. Кроме того, глюкортикоид назначался в редких случаях, где высыпания были представлены бляшками (n=2; 5,7%) и папулами (n=4; 11,4%), резистентными к ФДТ, а также у 2 (5,7%) больных из 3, у которых клиническая картина ДЛК была представлена солитарными узлами.
Присоединение к ФДТ инъекций суспензии бетаметазона (n=15) после третьей недели терапии привело к резко положительной динамике процесса. Так, клиническая ремиссия была достигнута почти у 90% пациентов на 7-й неделе лечения (ФДТ, № 6, + инъекции, № 3). Двум больным (6%) ДЛК с узлами на волосистой части головы понадобилось 4 недели сочетанного применения инъекций суспензии бетаметазона (№ 4) и ФДТ (№ 7) для полного очищения кожных покровов. Пациентам, получавшим монотерапию ФДТ (n=20), для достижения клинической ремиссии требовалось в среднем от 3 до 6 сеансов облучения (рис. 15, 16).
Рис. 15. Пациент Д., 37 лет. Доброкачественная лимфоплазия кожи на красный татуировочный пигмент: а ― до лечения; b ― после 6 сеансов фотодинамической терапии. / Fig. 15. Patient D., 37 y.o. Cutaneous lymphoid hyperplasia on a red tattoo: a ― before treatment; b ― after photodynamic therapy № 6.
Рис. 16. Пациент Ш., 27 лет. Доброкачественная лимфоплазия кожи неясной этиологии: а ― до лечения; b ― после 4 сеансов фотодинамической терапии и одной инъекции суспензии бетаметазона. / Fig. 16. Patient Sch., 27 y.o. cutaneous lymphoid hyperplasia of unknown etiology: a ― before treatment; b ― after photodynamic therapy № 4, injections of betamethasone suspension № 1.
Все больные отметили хорошую переносимость ФДТ. Среди побочных эффектов сразу после процедуры у некоторых больных отмечались эритема в месте воздействия красного света (n=8; 23%) и лёгкое головокружение (n=6; 17%), однако эти реакции самостоятельно проходили в течение 30–40 мин. Больные, получавшие внутриочаговые инъекции суспензии бетаметазона, жаловались на болезненность в местах инъекций (n=3; 20%), при внутримышечном введении ― на эпизоды кратковременного повышения артериального давления (n=2; 13%) и повышение веса (n=4; 27%). Наблюдавшиеся побочные эффекты были незначительными и не требовали досрочного прекращения лечения.
Выживаемость проведённой терапии оценивалась в ходе динамического наблюдения за больными в течение года. Клиническая ремиссия сохранялась в 94,3% (33 из 35) случаев. Однако у двух больных с идиопатической ДЛК, представленной крупными узлами, локализованными на волосистой части головы, получавших комбинированную терапию (ФДТ + инъекции суспензии бетаметазона), наблюдался рецидив процесса в среднем через 1 мес.
ОБСУЖДЕНИЕ
Доброкачественная лимфоплазия кожи является одним из наиболее трудно диагностируемых заболеваний в дерматологии в связи с тем, что обладает значительным сходством с рядом дерматозов, прежде всего ВКЛК. Однако, несмотря на похожие клинические и патоморфологические черты, эти нозологии имеют различную природу, степень наносимого урона для организма пациента и, соответственно, требуют кардинально отличающихся подходов к терапии, что диктует необходимость свое-временного и точного определения диагноза.
Способность ДЛК мимикрировать под злокачественную лимфому кожи, клиническое сходство с другими дерматозами, а также невысокая осведомлённость врачей о существовании ДЛК нередко приводят к ошибочной диагностике. Так, из 57 больных, обратившихся за консультацией в нашу клинику по поводу высыпаний, клинически схожих с ДЛК, у 19 (33%) направительным диагнозом был саркоидоз, у 3 (6%) ― ВКЛК, у 9 (16%) ― аллергический дерматит, при этом ДЛК была диагностирована в 15 (26%) случаях; 11 (19%) пациентов обратились в нашу клинику впервые для установления диагноза.
В результате дообследования, включавшего тщательный сбор анамнеза, проведение гистологического, при необходимости ― иммуногистохимического и молекулярно-генетического исследования, первичные диагнозы были уточнены, в результате чего сформированы основная группа (ДЛК: n=35; 70%) и группа дифференциального диагноза (ВКЛК: n=3; 14%; саркоидоз: n=15; 68%; эозинофильная гранулёма лица: n=3; 14%; ангиолимфоидная гиперплазия с эозинофилией: n=1; 4%).
Таким образом, под нашим наблюдением находились 35 больных ДЛК, среди которых количество женщин было почти в 2 раза больше, что, по всей видимости, может объясняться более щепетильным отношением женщин к своей внешности и здоровью [17].
Основываясь на реактивной природе ДЛК, развивающейся как реакция гиперчувствительности замедленного типа на антигенную стимуляцию, чаще экзогенного характера, большое внимание мы уделяли сбору анамнеза, в частности выявлению провоцирующего фактора. Причина возникновения ДЛК была найдена в 23 случаях: нанесение татуировочного пигмента (n=9; 26%), перенесённая чесотка (n=8; 23%), укусы пиявок (n=4; 11%), укусы мошек (n=2; 6%). В 12 (34%) случаях триггерный фактор установить не удалось.
Клинические проявления ДЛК начинались спустя некоторое время после воздействия провоцирующего фактора, что согласуется с общемировыми литературными данными и подтверждает теорию гиперчувствительности замедленного типа в основе развития ДЛК. В большинстве случаев клиническая картина была представлена папулами, реже бляшками и в единичных случаях узлами, при этом высыпания локализовались чётко в местах воздействия антигена. При ДЛК на татуировку высыпания располагались линейно по ходу пигмента. У одной пациентки после гирудотерапии одновременно наблюдались и папулы, и одиночный узел. При идиопатической ДЛК высыпания были единичными; множественный и распространённый характер они приобретали в случаях, которые были спровоцированы укусами пиявок и чесоточных клещей. Независимо от этиологии, у всех больных ДЛК высыпания не имели тенденции к изъязвлению, кровоточению при травматизации, а также отсутствовало вовлечение системных органов, что свидетельствовало в пользу доброкачественного характера процесса. Однако, согласно результатам изучения патоморфологической картины и ПЦР-анализа, у 5 больных с идиопатической ДЛК, представленной узлами (n=2), и с ДЛК, развившейся на татуировку (n=3), диагноз был подвергнут сомнению. Принимая во внимание опыт зарубежных коллег, опубликовавших случаи ДЛК на красный тату-пигмент и идиопатической ДЛК в виде узлов на волосистой части головы, трансформировавшихся в ВКЛК, мы рекомендовали больным удаление татуировки как источника постоянной антигенной стимуляции, а в случае идиопатической ДЛК ― динамическое наблюдение. Стоит отметить, что у этих пациентов также были обнаружены клетки IgG4+ в очаге поражения, что в совокупности с полученными нами результатами по изучению IgG4 может являться косвенным подтверждением трансформации процесса в ВКЛК.
Лечение ДЛК по-прежнему представляет значительные трудности в связи с эстетической неприемлемостью, недостаточной эффективностью или низким профилем безопасности имеющихся в современном арсенале врачей терапевтических возможностей, что обусловливает необходимость поиска новых способов лечения ДЛК, одним из которых может стать ФДТ. Механизм её действия основан на взаимодействии фотосенсибилизатора, накопленного в очаге поражения, и света с длиной волны, соответствующей пику его поглощения. Облучение очага поражения приводит к активации провоспалительных цитокинов, матриксных металлопротеиназ и последующему повреждению патологических клеток [18]. Несмотря на патогенетически обоснованную эффективность ФДТ, 15 больным с распространёнными высыпаниями и высыпаниями, резистентными к монотерапии ФДТ, у которых не наблюдалось достаточного положительного эффекта после третьего сеанса, мы дополнительно назначали инъекции суспензии бетаметазона, в результате чего уже после третьего введения глюкокортикоида у большинства больных отмечалось клиническое излечение. При монотерапии ФДТ для полного очищения кожных покровов потребовалось от 3 до 6 сеансов облучения. Состояние клинической ремиссии сохранялось в течение года наблюдений у большинства (n=33; 94%) больных ДЛК. У 2 (6%) больных идиопатической ДЛК, представленной узлами на волосистой части головы, выживаемость терапии (ФДТ, № 7, + инъекции суспензии бетаметазона, № 4) составила в первом случае 5 нед, во втором ― 3 нед. Принимая во внимание данные литературы, стоит отметить, что узлы на коже лба и волосистой части головы при ДЛК встречаются крайне редко и более характерны для ВКЛК. В связи с подозрительной клинической картиной больным выполнялись повторные биопсии, однако гистологические и иммуногистохимические данные в пользу В-лимфомы кожи отсутствовали. Вместе с тем по реаранжировкам генов IgH В-клеточная клональность была сомнительной. Обращает на себя внимание упорное рецидивирующее течение процесса, вероятно, свидетельствующее в пользу наличия злокачественного лимфопролиферативного процесса. Интересно, что в обоих случаях был обнаружен повышенный уровень экспрессии IgG4, что на основании полученных нами результатов по изучению роли этого показателя в дифференциальной диагностике ДЛК и ВКЛК может косвенно свидетельствовать о возможном начале развития В-лимфомы кожи, которую не всегда возможно диагностировать гистологическим, иммуногистохимическим и молекулярно-генетическим методом на ранней стадии, что требует обязательного динамического наблюдения за такими больными.
ЗАКЛЮЧЕНИЕ
Таким образом, диагноз ДЛК выставляется только на основании комплексного (клинико-анамнестическая оценка, гистологическое, иммуногистохимическое, молекулярно-генетическое) обследования, однако даже при таком подходе остаётся определённый процент случаев, когда верификация ДЛК затруднительна. Полученные нами результаты позволяют сделать вывод о появлении нового возможного дифференциально-диагностического маркера при В-клеточных лимфопролиферативных процессах кожи: тенденция к увеличению уровня экспрессии IgG4 в ДЛК может являться косвенным подтверждением трансформации процесса в ВКЛК. Фотодинамическая терапия является высокоэффективным методом лечения ДЛК, однако при распространённых высыпаниях, когда площадь освещения диодной лампой аппарата ФДТ не соответствует площади очага кожного поражения, а также в резистентных случаях предпочтительна терапия ФДТ, комбинированная с инъекциями суспензии бетаметазона. Вместе с тем ФДТ остаётся методом выбора при наличии у пациентов стероидофобии, локализации высыпаний в эстетически значимых зонах или противопоказаний к назначению глюкокортикоидов.
ДОПОЛНИТЕЛЬНО
Источник финансирования. Исследование проведено за счёт бюджетных средств организации.
Конфликт интересов. Авторы декларируют отсутствие явных и потенциальных конфликтов интересов, связанных с публикацией настоящей статьи.
Вклад авторов. О.Ю. Олисова, Е.М. Анпилогова — концепция и дизайн исследования; Е.М. Анпилогова, Х.С. Косумова, Е.Е. Никулина — сбор и обработка материала статистическая обработка, написание текста; О.Ю. Олисова — редактирование. Все авторы подтверждают соответствие своего авторства международным критериям ICMJE (все авторы внесли существенный вклад в разработку концепции, проведение исследования и подготовку статьи, прочли и одобрили финальную версию перед публикацией).
Согласие пациентов. Все пациенты добровольно подписали информированное согласие на публикацию своей персональной медицинской информации в обезличенной форме в «Российском журнале кожных и венерических болезней».
ADDITIONAL INFORMATION
Funding source. The research was carried out at the expense of the organization’s budgetary funds.
Competing interests. The authors declare that they have no competing interests.
Author contribution. O.Yu. Olisova, E.M. Anpilogova — study design and conception; E.M. Anpilogova, Kh.S. Kosumova, Е.Е. Nikulina — data collection, statistics, article writing; O.Yu. Olisova — editing. The authors made a substantial contribution to the conception of the work, acquisition, analysis of literature, drafting and revising the work, final approval of the version to be published and agree to be accountable for all aspects of the work.
Patients’ permission. All the patients voluntarily signed an informed consent to the publication of their personal medical information in depersonalized form in the journal “Russian journal of skin and venereal diseases”.
About the authors
Olga Yu. Olisova
I.M. Sechenov First Moscow State Medical University (Sechenov University)
Email: olisovaolga@mail.ru
ORCID iD: 0000-0003-2482-1754
SPIN-code: 2500-7989
MD, Dr. Sci. (Med.), Professor
Russian Federation, 8-2, Trubetskaya street, Moscow, 119991Ekaterina M. Anpilogova
I.M. Sechenov First Moscow State Medical University (Sechenov University)
Author for correspondence.
Email: truelass@hotmail.com
ORCID iD: 0000-0001-9478-5838
SPIN-code: 8499-0506
MD
Russian Federation, 8 buil. 2 Trubetskaya street, Moscow, 119991Khadizhat S. Kosumova
National Medical Research Radiological Center
Email: kosumova92@mail.ru
ORCID iD: 0000-0002-1052-425X
SPIN-code: 5935-0652
Russian Federation, Moscow
Elena E. Nikulina
National Research Center for Hematology
Email: lenysh2007@rambler.ru
SPIN-code: 2445-8468
Russian Federation, Moscow
References
- Olisova OY, Potekaev NS. Cutaneous pseudolymphomas (etiology, clinical picture, diagnosis and treatment). Manual for physicians. Moscow; 2002. (In Russ).
- Nihal M, Mikkola D, Horvath N, et al. Cutaneous lymphoid hyperplasia: a lymphoproliferative continuum with lymphomatous potential. Hum Pathol. 2003;34(6):617–622. doi: 10.1016/s0046-8177(03)00075-3
- Bouloc A, Delfau-Larue MH, Lenormand B, et al. French Study Group for Cutaneous Lymphomas. Polymerase chain reaction analysis of immunoglobulin gene rearrangement in cutaneous lymphoid hyperplasias. Arch Dermatol. 1999;135(2):168–172. doi: 10.1001/archderm.135.2.168
- Melotti CZ, Amary MF, Sotto MN, et al. Polymerase chain reaction-Based clonality analysis of cutaneous B-cell lymphoproliferative processes. Clinics. 2010;65(1):53–60. doi: 10.1590/S1807-59322010000100009
- Sangueza OP, Yadav S, White CR, et al. Evolution of B-cell lymphoma from pseudolymphoma. A multidisciplinary approach using histology, immunohistochemistry, and Southern blot analysis. Am J Dermatopathol. 1992;14(5):408–413. doi: 10.1097/00000372-199210000-00006
- Wang H, Xu Q, Zhao C, et al. An immune evasion mechanism with IgG4 playing an essential role in cancer and implication for immunotherapy. J Immunother Cancer. 2020;8(2):e000661. doi: 10.1136/jitc-2020-000661
- Karagiannis P, Villanova F, Josephs D, et al. Elevated IgG4 in patient circulation is associated with the risk of disease progression in melanoma. Oncoimmunology. 2015;4(11):e1032492. doi: 10.1080/2162402X.2015.1032492
- Harshyne LA, Nasca BJ, Kenyon LC, et al. Serum exosomes and cytokines promote a T-helper cell type 2 environment in the peripheral blood of glioblastoma patients. Neuro Oncol. 2016;18(2):206–215. doi: 10.1093/neuonc/nov107
- Miyatani K, Saito H, Murakami Y, et al. A high number of IgG4- positive cells in gastric cancer tissue is associated with tumor progression and poor prognosis. Virchows Arch. 2016;468(5):549–557. doi: 10.1007/s00428-016-1914-0
- Sokol EV, Vasiliev VI, Kovrigina AM, et al. IgG4-related disease and clonal B-cell lymphoid proliferation: description of two clinical cases and a review of literature. Ther Arch. 2015;87(12):77–84. (In Russ). doi: 10.17116/terarkh2015871277-84
- Sato Y, Takata K, Ichimura K, et al. IgG4-producing marginal zone B-cell lymphoma. Int J Hematol. 2008;88(4):428–433. doi: 10.1007/s12185-008-0170-8
- Venkataraman G, Rizzo K, Chavez J, et al. Marginal zone lymphomas involving meningeal dura: possible link to IgG4-related diseases. Mod Pathol. 2011;24(3):355–366. doi: 10.1038/modpathol.2010.206
- Fernandez-Flores A. The role of IgG4 in cutaneous pathology. Rom J Morphol Embryol. 2012;53(2):221–231.
- Miguel D, Peckruhn M, Elsner P. Treatment of cutaneous pseudolymphoma: a systematic review. Acta Derm Venereol. 2018;98(3):310–317. doi: 10.2340/00015555-2841
- Mikasa K, Watanabe D, Kondo C, et al. Topical 5-aminolevulinic acid-based photodynamic therapy for the treatment of a patient with cutaneous pseudolymphoma. J Am Acad Dermatol. 2005;53(5):911–912. doi: 10.1016/j.jaad.2005.05.016
- Takeda H, Kaneko T, Harada K, et al. Successful treatment of lymphadenosis benigna cutis with topical photodynamic therapy with delta-aminolevulinic acid. Dermatology. 2005; 211(3):264–266. doi: 10.1159/000087021
- Dorozhenok IY, Matyushenko EN, Olisova OY. Dysmorphophobia in dermatological practice. Russ J Skin Venereal Dis. 2014;17(1):42–47. (In Russ).
- Allison R, Moghissi K. Photodynamic therapy (PDT): PDT mechanisms. Clin Endosc. 2013;46(1):24–29. doi: 10.5946/ce.2013.46.1.24
Supplementary files


















