A new principle for the diagnosis morphea in the onset of the disease
- Authors: Zaslavsky D.V.1, Sidikov A.A.2, Garyutkina L.V.1, Pyagai G.B.2, Alaeva M.D.2, Ibragimova N.S.2, Malikova N.N.2, Kozlova D.V.1
-
Affiliations:
- St. Petersburg State Pediatric Medical University
- Tashkent State Stomatology Institute
- Issue: Vol 24, No 3 (2021)
- Pages: 263-274
- Section: DERMATOLOGY
- Submitted: 29.06.2021
- Accepted: 29.08.2021
- Published: 15.06.2021
- URL: https://rjsvd.com/1560-9588/article/view/72328
- DOI: https://doi.org/10.17816/dv72328
- ID: 72328
Cite item
Full Text
Abstract
BACKGROUND: Because of the low specificity morphea clinical manifestations in early stages, the differential diagnosis is difficult.
AIMS: The purpose of the research is to propose a new diagnostic method for early stages of localized scleroderma.
MATERIALS AND METHODS: During 2011–2020, 77 patients with clinical manifestations of morphea and 127 controls were examined and included in the study at the LenOblCenter. All participants were conducted a transcutaneous oximetry with the “TCM-400” Radiometer apparatus. The tissue oxygen perfusion (tcpO2) level from 40 to 50 mm Hg was considered as a reversible decrease, from 30 to 40 mm hg was a borderline decline and the value below 30 mm hg was critical. The following diagnostic skin biopsy was conducted in all 77 patients
RESULTS: Skin biopsy allowed to form 4 research groups: 40 patients with morphea, 12 patients with granuloma annulare, 15 patients with small plaque parapsoriasis and 10 individuals with large plaque parapsoriasis. 7 (17.5%) patients with morphea had normal tcpO2 values, 9 (22.5%) patients had significant decrease of tcpO2, 24 patients (60%) showed a reversible decrease of tcpO2. 3/12 (25%) patients with granuloma annulare and 1 patient (10%) with large plaque parapsoriasis had minor oxygen level decrease. Measurement on the healthy skin showed tcpO2 decrease in patients with comorbidities ― 3/77 (3.9%) in research group and 28/127 (22%) in controls.
CONCLUSIONS: Transcutaneous oximetry is a new perspective direction in the diagnostic algorithm of the morphea based on the pathogenesis and morphological features of the disease.
Keywords
Full Text
ОБОСНОВАНИЕ
Ограниченная склеродермия (ОС), или морфеа, ― заболевание из группы коллагенозов, характеризующееся хроническим, зачастую плохо контролируемым течением и в ряде случаев приводящее к инвалидизации пациента [1]. Клиническая картина пациентов с ОС подвержена динамике: в дебюте заболевания преобладают воспалительные изменения в виде эритематозных пятен, а прогрессирование процесса сопровождается фиброзированием очагов поражения [2].
На сегодняшний день существует множество теорий относительно этиологии ОС, однако известно, что генетически опосредованные аутоиммунные реакции играют главную роль в механизмах развития заболевания.
Два патологических процесса ― воспаление и фиброз ― основа патогенеза ограниченной склеродермии. Так, течение заболевания делится на 2 фазы ― эритематозную (воспалительную) и фиброзную, однако стоит отметить, что оба патологических процесса имеют единовременное начало, и со сменой фаз ОС сменяется их преобладание ― нарастает фиброз и гаснут воспалительные реакции [3, 4].
Клиническая классификация нозологии зависит от степени и распространённости патологического процесса и включает бляшечную, линейную, пансклеротическую, генерализованную и смешанную формы [5]. Наиболее часто у взрослых пациентов встречается бляшечная форма, в то время как у детей и подростков ― линейная и бляшечная в равной степени.
Прогрессия ОС сопровождается такими осложнениями, как поражение нервной системы и опорно-двигательного аппарата, что неминуемо приводит к инвалидизации пациента. Зачастую ОС ригидно отвечает на проводимую терапию, особенно в фиброзной стадии, что обусловливает необходимость верификации диагноза в дебюте заболевания. Дифференциальная диагностика недавно манифестировавшей ОС сложна ввиду клинической схожести с рядом дерматозов ― кольцевидной гранулёмой, мелкобляшечным и крупнобляшечным парапсориазом. Наиболее сложно дифференцировать нозологии при наличии эритематозного очага с интенсивной окраской по периферии и разрешением в центре. На сегодняшний день рекомендовано проведение диагностической биопсии кожи, а также иммунологического исследования крови на определение аутоантител [6], однако инвазивность, дороговизна, сроки выполнения и порой недоступность методов диктуют необходимость усовершенствования диагностических мероприятий. Кроме того, ряд специфических гистопатологических признаков ОС можно обнаружить лишь в фиброзной стадии заболевания, а аутоантитела не являются специфическим критерием, не ведут к верификации диагноза и обнаруживаются в крови менее чем у 10% пациентов [7].
Всё вышеперечисленное обусловливает поиск достоверных критериев диагностики склеродермии на начальных стадиях заболевания, и разными авторами предлагается множество путей решения данной проблемы [8]. Следовательно, целесообразно применение новых и наиболее информативных методов диагностики, а разработка неинвазивных методов диагностики имеет особый приоритет.
В литературе не было описаний использования транскутанной оксиметрии для диагностики ОС, но высокая валидность метода, неинвазивность и малые затраты на его осуществление явились обоснованием для его применения в нашем исследовании.
Цель исследования ― продемонстрировать возможности принципиально нового метода транскутанной оксиметрии для диагностики ОС.
МАТЕРИАЛ И МЕТОДЫ
Дизайн исследования
Одноцентровое нерандомизированное проспективное исследование.
Критерии соответствия
На базе ЛенОблЦентра 77 пациентов с клиническими проявлениями, сходными с ОС, были обследованы, включены в исследовательскую когорту и находились в дальнейшем под длительным диспансерным наблюдением. В эту группу вошли 53 женщины и 24 мужчины, средний возраст которых составил 50,2 года. Пациенты были отобраны и включены в исследование на основании следующей клинической картины: эритематозные пятна округлой формы размерами от 2 до 10 см в диаметре, чёткими границами, красно-коричневого цвета с лиловым оттенком и более интенсивным окрашиванием очагов по периферии. Допустимым было наличие фиброза и отсутствие волосяных фолликулов в центральной части очага поражения. Высыпания у всех пациентов располагались преимущественно на коже туловища и верхних конечностей (рис. 1–4).
Рис. 1. Пациентка c очаговой склеродермией. / Fig. 1. Clinical photo of the patient with localized scleroderma.
Рис. 2. Пациентка с кольцевидной гранулёмой. / Fig. 2. Clinical photo of the patient with granuloma annulare.
Рис. 3. Пациентка с мелкобляшечным парапсориазом. / Fig. 3. Clinical photo of the patient with small-plaque parapsoriasis.
Рис. 4. Пациентка с крупнообляшечным парапсориазом. / Fig. 4. Clinical photo of the patient with large-plaque parapsoriasis.
Для проведения более достоверного анализа была набрана контрольная группа из 127 добровольцев, схожих с участниками экспериментальных групп по возрасту, коморбидным заболеваниям и факторам риска, кожа которых была свободна от специфических высыпаний.
Описание медицинского вмешательства
После клинического осмотра всем 77 пациентам и участникам контрольной группы с помощью аппарата Radiometer TCM 400 (Дания) был проведён транскутанный неинвазивный мониторинг парциального давления кислорода в коже (в области очагов поражения и на здоровых участках) с целью оценки функциональности микроциркуляторного русла в очагах поражения и определения степени вовлечённости системы капилляров в патологический процесс.
К исследованию допускались только те индивидуумы, температура тела которых находилась в диапазоне 36–37ºС. На чистую кожу (пациенты не использовали крема/масла/мази и другие топические средства как минимум 12 ч до проведения процедуры) в области очага поражения помещали кольцо для фиксации датчика. На место крепления датчика наносили 2–3 капли физиологического раствора с целью повышения точности измерения, а также удаления кислородной прослойки между датчиком и фиксирующим кольцом, поскольку окружающий датчик воздух способен повлиять на результат измерений. При измерении был использован 1 датчик (чрескожный электрод типа Clarc), прикрепляемый поверх фиксирующего кольца диаметром 3 см (рис. 5). Процедура проводилась трёхкратно, 1 раз в минуту, в соответствии с программным обеспечением аппарата. За конечный результат было принято среднее арифметическое из трёх результатов измерения.
Рис. 5. Постановка электродов на очаг поражения и непоражённую кожу в области спины. / Fig. 5. Placing the electrodes on the lesion and on the unaffected skin in the back area.
Для получения достоверных сравнимых результатов процедура была проведена при стандартных условиях окружающей среды и в отсутствие факторов, способных повлиять на гемодинамику (окружающая температура около 20ºC, атмосферное давление 760 мм рт.ст.; пациенты за сутки перед обследованием не курили и не пили чай, кофе или другие энергетические напитки; пациенты находились в покое, т.е. без физической активности, в течение получаса перед проведением исследования).
Основополагающим критерием при оценке результатов было снижение транскутанного напряжения кислорода (transcutaneous oxygen pressure, tcpO2) ниже 50 мм рт.ст., что считалось обратимым нарушением гемодинамики в очаге поражения, при снижении значения ниже 40 мм рт.ст. результат расценивался как пограничный, а если содержание кислорода в тканях не превышало 30 мм рт.ст., то изменения в тканях трактовались как необратимые.
Непосредственно после измерения tcpO2 всем больным произведена диагностическая биопсия. Биологический материал был взят из периферической части очагов поражения с последующей фиксацией в 40%-м растворе формалина сроком на 24 ч и помещением на парафин. Срезы толщиной 4–5 мкм были окрашены гематоксилином и эозином. Анализ результатов гистологического исследования проводили на кафедре патологической анатомии с курсом судебной медицины в Санкт-Петербургском государственном педиатрическом медицинском университете.
Этическая экспертиза
Разрешение на проведение исследования независимого этического комитета ФГБОУ ВО СПбГПМУ МЗ РФ (протокол № 5/15 от 31.05.2017).
Статистический анализ
Статистическую значимость различий пола, перфузии между исследуемыми группами определяли точным методом Фишера. Соответствие распределения значений возраста нормальному распределению проверялось одновыборочным критерием Шапиро–Уилка. Сравнение значений возраста между отдельными группами предполагало использование непараметрического критерия Крaскeла–Уоллиса для k-независимых выборок. В случае обнаружения значимых различий проводилось последующее попарное сравнение вариационных рядов исследуемых групп с использованием непараметрического критерия Манна–Уитни для двух независимых выборок. Статистический анализ был проведён с использованием программы SPSS версии 21.0. Значения р <0,05 считались статистически значимыми. Данные представлены в виде «медиана (минимум–максимум)».
РЕЗУЛЬТАТЫ
Клинические проявления у пациентов, принимавших участие в исследовании, были чрезвычайно схожи. Более интенсивное периферическое окрашивание высыпаний, лиловый оттенок, светлый центр ― основные признаки, затрудняющие постановку диагноза. По результатам объективного осмотра уплотнение кожи в пределах очагов поражения определялось у 52 из 77 пациентов, однако ни один на момент осмотра не испытывал каких-либо субъективных ощущений в области очагов поражения.
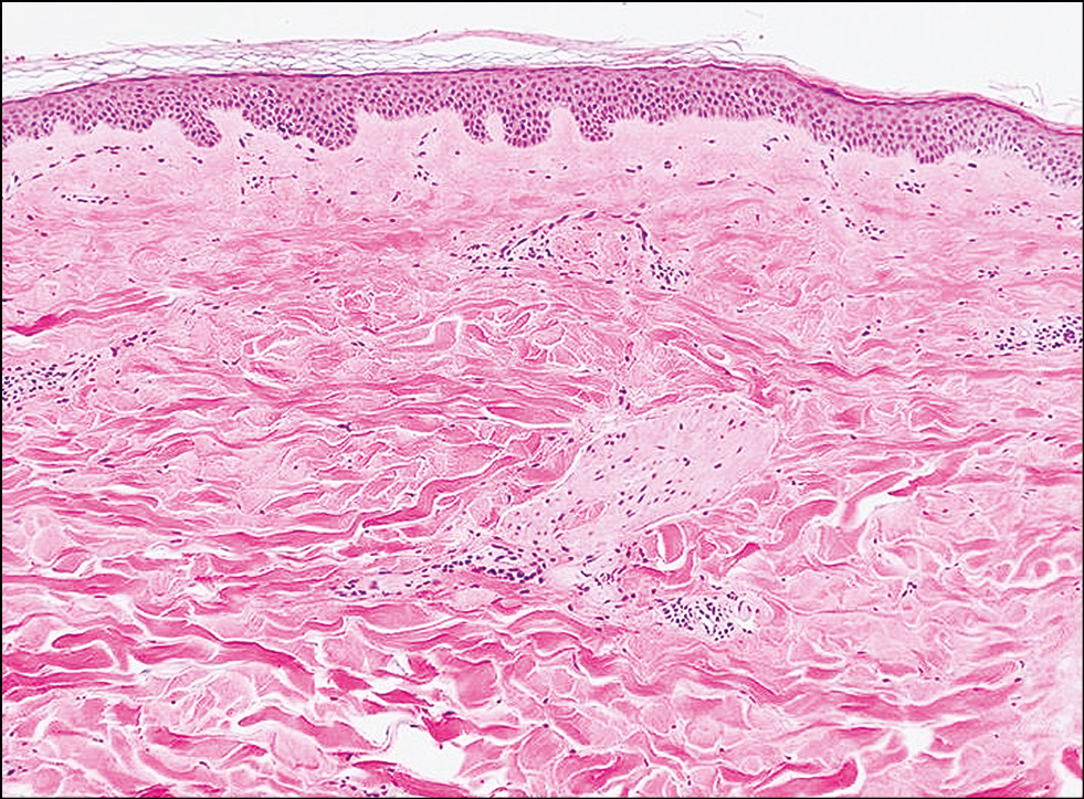
По результатам гистологического исследования диагноз «Ограниченная склеродермия» был поставлен 40 пациентам из 77 на основании патогномоничных признаков: утолщение и гомогенизация коллагеновых волокон в сосочковом слое дермы, периваскулярный гетерогенный инфильтрат из гистиоцитов, лимфоцитов и плазмоцитов, гипоплазия/аплазия эккринных и апокринных желёз, а также волосяных фолликулов (рис. 6). Все 40 пациентов с диагнозом ограниченной склеродермии составили первую исследовательскую группу, куда вошли 35 женщин и 5 мужчин, средний возраст которых составил 28,1±5 лет.
Рис. 6. Диагноз «Морфеа»: в эпидермисе изменения не наблюдаются; в дерме ― утолщение и гомогенизация коллагеновых волокон в сосочковом и сетчатом слоях, периваскулярный гетерогенный инфильтрат из гистиоцитов, лимфоцитов и плазмоцитов, гипоплазия/аплазия эккринных и апокринных желёз, а также волосяных фолликулов. Окраска гематоксилином и эозином. ×100. / Fig. 6. The diagnosis is morphea. There is no pathologic changes in the epidermis. There is a thickening and homogenization of collagen fibers in papillar and reticular dermis; perivascular heterogeneous infiltrtrate consisting of lymphocytes, histiocytes and plasmocytes; hypoplasia/aplasia of apocrine and eccrine glands and hair follicles. (Hematoxylin & Eosin staining, ×100).
Вторую исследовательскую группу сформировали из 12 пациентов с верифицированным диагнозом «Кольцевидная гранулёма», из них 7 женщин и 5 мужчин, средний возраст 44±12 лет. Основным гистологическим признаком больных было наличие очагов некробиоза, окружённых инфильтратом из гистиоцитов, лимфоцитов и гигантских клеток, также отмечалось утолщение коллагеновых волокон в сосочковой и ретикулярной дерме (рис. 7).
Рис. 7. Диагноз «Кольцевидная гранулёма»: эпидермис без изменений; в дерме отмечаются резко выраженный инфильтрат, состоящий из гистиоцитов, лимфоцитов, и отложение муцина. Окраска гематоксилином и эозином. ×100. / Fig. 7. The diagnosis is granuloma annulare. There is no pathological changes in the epidermis. There is a pronounced infiltrate consisting of histiocytes, lymphocytes in the dermis, and mucin depositions. (Hematoxylin & Eosin staining, ×100).
Третью группу составили 15 пациентов, из них 6 женщин и 9 мужчин в возрасте 42±4 лет, с диагнозом мелкобляшечного парапсориаза. Диагноз выставлен на основании следующих гистологических изменений: периваскулярный лимфоцитарный инфильтрат с примесью гистиоцитов, в эпидермисе фокальный гиперкератоз и паракератоз, у 2 пациентов обнаружен экзоцитоз лимфоцитов (рис. 8).
Рис. 8. Диагноз «Мелкобляшечный парапсориаз»: в эпидермисе наблюдается равномерный акантоз; в дерме ― интерстициальный инфильтрат, состоящий из лимфоцитов с примесью гистиоцитов, с тенденцией к проникновению в эпидермис (экзоцитоз). Окраска гематоксилином и эозином. ×100. / Fig. 8. The diagnosis is a small-plaque parapsoriasis. There is a uniform acantosis of the epidermis. There is a interstitial infiltrate consisting predominantly of lymphocytes with an admixture of histiocytes. Infiltrate have a tendency to penetrate the epidermis (exocytosis). (Hematoxylin & Eosin staining, ×100).
Четвёртую группу составили 10 пациентов с диагнозом «Крупнобляшечный парапсориаз», из них 5 женщин и 5 мужчин, средний возраст 59±8 лет. Гистологическое исследование у данной когорты показало наличие следующих признаков: поверхностный лихеноидный инфильтрат из мелких лимфоцитов, в некоторых случаях определялись клетки с атипичными ядрами, экзоцитоз, фокальная атрофия эпидермиса (рис. 9).
Рис. 9. Диагноз «Крупнобляшечный парапсориаз»: в эпидермисе отмечается ортокератоз, псориазиформный акантоз; в сосочковом слое дермы ― полосовидный инфильтрат, состоящий из атипичных лимфоцитов, с тенденцией к проникновению в эпидермис (эпидермотропизм). Окраска гематоксилином и эозином. ×100. / Fig. 9. The diagnosis is a large-plaque parapsoriasis. There is an ortokeratosis and psoriasiform acantosis of the epidermis. In the papillary dermis there is a lichenoid infiltrate of atypical lymphocytes with a tendency to penetrate the epidermis. (Hematoxylin & Eosin staining, ×100).
Анализируя результаты гистологического исследования всех пациентов экспериментальных групп, принимавших участие в исследовании, мы выделили два гистологических паттерна ― поверхностный и глубокий периваскулярный дерматит и фиброзирующий/склерозирующий дерматит. Пациенты с кольцевидной гранулёмой, мелкобляшечным и крупнобляшечным парапсориазом были отнесены к первому гистологическому паттерну, в то время как пациенты с ОС ― ко второму.
Результаты измерения тканевой кислородной перфузии у 95,7% участников исследования, включая исследовательские и контрольную группы, в области непоражённой кожи находились в пределах нормальных значений. Наибольший процент пациентов со сниженным значением tcpO2 был зарегистрирован в 1-й группе: обратимое отклонение выявлено у 24/40 (60%) пациентов с ОС, критическое снижение ― у 7/40 (18%). Среди пациентов с кольцевидной гранулёмой были получены нормальные значения tcpO2 у 9/12 (75%) пациентов, но у 3 (25%) отмечалось обратимое снижение насыщения тканей кислородом. Среди пациентов с мелкобляшечным парапсориазом отклонений по измеряемому параметру не выявлено. У 1/10 (10%) пациентов с крупнобляшечным пара- псориазом отмечалось обратимое снижение тканевой кислородной перфузии. Участники контрольной группы показали преимущественно нормальные значения tcpO2, однако у 28 человек из 127 отмечалось обратимое снижение показателя tcpO2, близкое к норме (табл. 1).
Таблица 1. Результаты измерения тканевой кислородной перфузии (tcpO2) у пациентов экспериментальных и контрольной групп / Table 1. Results of the measurement TcPO2 in patients from experimental and control groups
Перфузия | tcpO2* | Группа | |||||||||
1-я n=40 | 2-я n=12 | 3-я n=15 | 4-я n=10 | Контроль n=127 | |||||||
абс. | % | абс. | % | абс. | % | абс. | % | абс. | % | ||
В очаге поражения | 50–60 мм рт.ст. (N) | 7 | 17,5 | 9 | 75 | 15 | 100 | 9 | 90 | - | - |
40–50 мм рт.ст. | 24 | 60 | 3 | 25 | 0 | 0 | 1 | 10 | - | - | |
<30 мм рт.ст. | 9 | 22,5 | 0 | 0 | 0 | 0 | 0 | 0 | - | - | |
В области здоровой кожи туловища | 50–60 мм рт.ст. (N) | 36 | 90 | 12 | 100 | 15 | 100 | 9 | 90 | 98 | 77 |
40–50 мм рт.ст. | 2 | 5 | 0 | 0 | 0 | 0 | 1 | 10 | 28 | 22 | |
30–40 мм рт.ст. | 0 | 0 | 0 | 0 | 0 | 0 | 0 | 0 | 1 | 0,7 | |
Примечание. * 50–60 мм рт.ст. ― нормальное значение (N), питание тканей достаточно, микроциркуляторное русло функционирует нормально; 30–50 мм рт.ст. ― перфузия снижена, однако достаточна для жизнеспособности тканей; <30 мм рт.ст. ― очень низкая перфузия, без медицинского вмешательства в очаге сформируется ишемический некроз.
Note. * 50–60 mm Hg ― normal value (N), Oxygen level in tissues is sufficient, the microcirculatory bed functions is normal; 30–50 mm Hg ― O2 perfusion is reduced, but sufficient for tissue viability; <30 mm Hg ― very low O2 perfusion, without medical intervention, ischemic necrosis will form.
ОБСУЖДЕНИЕ
Транскутанная оксиметрия представляет собой доступный неинвазивный метод, основанный на нагревании кожи и подлежащих тканей специальным электродом и измерении результирующего напряжения кислорода на поверхности кожи. Оценка функциональности микроциркуляторного русла в очагах поражения и определение вовлечённости системы капилляров в патологический процесс позволяют дифференцировать фиброз от воспалительного процесса. По результатам патоморфологического исследования все больные ОС были отнесены к гистологическому паттерну «фиброзирующий/склерозирующий дерматит» и показали самое низкое насыщение тканей кислородом, в то время как остальные пациенты с исключительно воспалительными дерматозами не показали сопоставимо низких значений. Стоит отметить, что наиболее низкие значения tcpO2 положительно коррелировали со степенью фиброза у пациентов 1-й группы. У 1 пациента 4-й группы снижение тканевой кислородной перфузии расценено как пограничное. Пациентам с крупнобляшечным парапсориазом не свойственно фиброзирование тканей, существует лишь форма (пойкилодермическая), сопровождающаяся атрофией эпидермиса и дермы, однако ничего из перечисленного не способно повлиять на затруднение гемодинамики в дерме. Было установлено, что пациент в возрасте 71 года имел сахарный диабет и гиперлипидемию.
Результат транскутанной оксиметрии зависит от трёх составляющих ― реологических свойств крови, состояния сосудистой стенки, через которую осуществляется газообмен, и состояния ткани, куда кровь стремится доставить кислород. В нашем исследовании на затруднение доставки кислорода влияло два последних компонента, а именно утолщение сосудистой стенки и уплотнение экстрацеллюлярного матрикса. Для оценки степени влияния различных состояний на полученный нами результат мы собрали контрольную гетерогенную группу из 127 добровольцев, из них у 28 обнаружено обратимое снижение tcpO2. При более детальном обследовании было установлено, что 14/28 (50%) имеют сахарный диабет, 2/28 (7,14%) перенесли острый инфаркт миокарда, 17/28 (60,7%) имеют ишемическую болезнь сердца, 5/28 (17,8%) ― гиперлипидемию. Все перечисленные заболевания прямо или косвенно оказывают влияние на реологические свойства крови, что отражается на процессах газообмена.
Имеются сведения, что хронический недостаток кислорода в тканях потенцирует процессы фиброза в качестве компенсаторного механизма, что ведёт к снижению потребности ткани в О2 [8]. Мы проводили гистологическое исследование не только с целью верификации диагноза, но и для составления патоморфологического обоснования снижения тканевой кислородной перфузии у пациентов со склеродермией. В качестве главных переменных, влияющих на результат измерений, были выбраны следующие факторы: диаметр и количество сосудов в дерме, толщина сосудистой стенки, а также любые изменения стромы (межклеточного вещества). Сосудистые (толщина стенки сосуда, их количество и диаметр) и внесосудистые (состояние стромы) факторы в совокупности оказывают влияние на поставку кислорода в ткани и уборку углекислого газа из них. Таким образом, главными факторами, которые препятствовали транспорту газов у пациентов с ОС, были утолщение сосудистой стенки (у 40/40), уменьшение числа капилляров в дерме (у 13/40), процессы фиброза в сосочковой и ретикулярной дерме (у 40/40), полученные путём увеличения продукции коллагеновых волокон (табл. 2).
Таблица 2. Сравнительная характеристика пациентов экспериментальных групп по факторам, изменяющим значение показателя tcpO2 / Table 2. Comparative characteristics of patients of experimental groups in factors that are able to change the value of the TcPO2 index
Параметр | Группа | |||||||
1-я n=40 | 2-я n=12 | 3-я n=15 | 4-я n=10 | |||||
абс. | % | абс. | % | абс. | % | абс. | % | |
Внесосудистый фактор: Фиброз | 40/40 | 100 | 7/12 | 58,3 | 0/15 | 0 | 0/10 | 0 |
(в сосочковой дерме; в ретикулярной дерме утолщение, гомогенизация коллагеновых волокон) | ||||||||
Сосудистые факторы: | ||||||||
Расширенные капилляры | 25/40 | 62,5 | 12/12 | 100 | 15/15 | 100 | 10/10 | 100 |
Количество капилляров в дерме | Снижено | Норма | Норма | Норма | ||||
Утолщение сосудистой стенки | 40/40 | 100 | 0/12 | 0 | 0/15 | 0% | 0/10 | 0 |
Снижение tcpO2 в области очага поражения | 33/40 | 82,5 | 3/12 | 25 | 0/15 | 0% | 1/10 | 0 |
Физиологически процесс тканевого дыхания имеет несколько составляющих: доставка кислорода по капиллярам к тканям, газообмен (кислород диффундирует в ткани, а углекислый газ ― в капиллярное русло) и окислительно-восстановительные реакции внутри митохондрий клеток. Каждый из перечисленных этапов тканевого дыхания отражается на уровне тканевой кислородной перфузии (tcpO2) ― прямом показателе состояния микроциркуляторного русла в тканях исследуемой зоны. Однако объект нашего исследования характеризуется избыточной продукцией коллагена, наполняющего межклеточное пространство, что отражается на его плотности и, соответственно, процессах поступления кислорода в ткани. Именно на этапе транспорта газов через сосудистую стенку могут возникнуть нарушения (что способствует дальнейшему фиброзу). В норме показатель tcpO2 превышает 50 мм рт.ст. и свидетельствует о нормально функционирующей системе микроциркуляторного русла, а также об отсутствии морфологических нарушений, способных мешать диффузии газов. Показатель величиной 40–50 мм рт.ст. отражает минимальные нарушения перфузии тканей. Причина данных нарушений может заключаться как в патологии системы капилляров, так и быть внесосудистой. Перфузия величиной 30–40 мм рт.ст. указывает на выраженное кислородное голодание тканей, однако при данных показателях ещё возможно восстановить полностью функцию тканей, находившихся в условиях ишемии. В случае снижения tcpO2 ниже 30 мм рт.ст. наступают необратимые изменения (некроз). Вероятно, причина последних изменений носит системный характер и отражается как на состоянии капилляров, так и структуре самих тканей или реологии крови.
В нашем исследовании пациенты с локализованной склеродермией с более выраженным склерозом в области очагов поражения показали наиболее низкие значения tcpO2.
На основании полученных нами данных и анализа зарубежных и отечественных литературных источников мы предполагаем следующий патогенетический механизм снижения кислородной тканевой перфузии при ограниченной склеродермии (рис. 10).
Рис. 10. Схематичное изображение: а ― транспорта кислорода (О2) в ткани и уборка углекислого газа (СО2); б ― затруднённого транспорта газов между капилляром и тканями ввиду утолщения сосудистой стенки и фиброза при ограниченной склеродермии. Таким образом, происходит накопление углекислого газа в тканях. / Fig. 10. A schematic representation: а ― of oxygen (O2) transport into tissues and the removal of carbon dioxide (CO2); б ― of the obstructed transport of gases between the capillary and tissues due to thickening of the vascular wall and fibrosis in localized scleroderma. Thus, there is an accumulation of carbon dioxide in the tissues.
ЗАКЛЮЧЕНИЕ
Наши результаты показывают, что у пациентов с подозрением на ограниченную склеродермию необходимо проводить тщательную дифференциальную диагностику, не ограничивающуюся объективным осмотром и гистологическим исследованием. Солитарные или множественные эритематозные пятна, располагающиеся преимущественно на коже туловища и иногда конечностей, могут указывать не только на морфеа, но и раздражённую форму мелкобляшечного парапсориаза, кольцевидную гранулёму, а также латентную форму грибовидного микоза ― крупнобляшечный парапсориаз. Дополнительные методы диагностики подразумевают проведение дерматоскопии на определение волосяных фолликулов и транскутанный мониторинг тканевой кислородной перфузии (tcpO2).
ДОПОЛНИТЕЛЬНО
Источник финансирования. Авторы заявляют об отсутствии внешнего финансирования при подготовке статьи.
Конфликт интересов. Авторы декларируют отсутствие явных и потенциальных конфликтов интересов, связанных с публикацией настоящей статьи.
Вклад авторов. Д.В. Заславский, А.А. Сыдиков, Л.В. Гарюткина — создание гипотезы и дизайна исследования, решение этических и организационных вопросов, отбор пациентов, проведение анализа полученных результатов, написание статьи; Г.Б. Пягай, М.Д. Алаева, Н.С. Ибрагимова — отбор и ведение пациентов, статистическая обработка результатов, написание рукописи; М.Н. Маликова, Д.В. Козлова — изучение литературных данных, анализ полученных результатов и статистических данных, написание статьи. Все авторы подтверждают соответствие своего авторства международным критериям ICMJE (разработка концепции, подготовка статьи, одобрение финальной версии перед публикацией).
Согласие пациентов. Пациенты добровольно подписали информированное согласие на публикацию персональной медицинской информации в обезличенной форме в журнале «Российский журнал кожных и венерических болезней».
ADDITIONAL INFO
Funding source. This work was not supported by any external sources of funding.
Competing interests. The authors declare that they have no competing interests.
Author contribution. D.V. Zaslavsky, A.A. Sidikov, L.V. Garyutkina — creating a hypothesis and research design, solving ethical and organizational issues, selecting patients, analyzing the results, writing an article; G.B. Pyagai, M.D. Alaeva, N.S. Ibragimova — selecting and managing patients, statistical processing of results, writing a manuscript; M.N. Malikova, D.V. Kozlova — review of the literature, analyzing the results and statistical data, writing an article. The authors made a substantial contribution to the conception of the work, acquisition, analysis of literature, drafting and revising the work, final approval of the version to be published and agree to be accountable for all aspects of the work.
Patients permission. The patients voluntarily signed an informed consent to the publication of personal medical information in depersonalized form in the journal «Russian journal of skin and venereal diseases».
About the authors
Denis V. Zaslavsky
St. Petersburg State Pediatric Medical University
Author for correspondence.
Email: venerology@gmail.com
ORCID iD: 0000-0001-5936-6232
SPIN-code: 5832-9510
MD, Dr. Sci. (Med.), Professor
Russian Federation, 2 Litovskay street, 194100, Saint-PeterburgAkmal A. Sidikov
Tashkent State Stomatology Institute
Email: medik-85@bk.ru
ORCID iD: 0000-0002-0909-7588
MD, Dr. Sci. (Med.)
Uzbekistan, TashkentLyubov V. Garyutkina
St. Petersburg State Pediatric Medical University
Email: liubovgariutkina.md@gmail.com
SPIN-code: 3863-8682
Graduate Student
Russian Federation, 2 Litovskay street, 194100, Saint-PeterburgGrigoriy B. Pyagai
Tashkent State Stomatology Institute
Email: gregbae@mail.ru
ORCID iD: 0000-0002-6456-6594
SPIN-code: 2941-7297
MD, Cand. Sci. (Med.), Associate Professor
Uzbekistan, TashkentMuyassar D. Alaeva
Tashkent State Stomatology Institute
Email: allaeva_m.d@mail.ru
ORCID iD: 0000-0002-5765-5425
MD, Cand. Sci. (Med.), Associate Professor
Uzbekistan, TashkentNargiza S. Ibragimova
Tashkent State Stomatology Institute
Email: nargiza.is23@gmail.com
ORCID iD: 0000-0002-9715-9901
MD, Cand. Sci. (Med.), Associate Professor
Uzbekistan, TashkentNilufar N. Malikova
Tashkent State Stomatology Institute
Email: dr.malikova@gmail.com
ORCID iD: 0000-0001-6964-8372
MD, Cand. Sci. (Med.), Associate Professor
Uzbekistan, TashkentDarya V. Kozlova
St. Petersburg State Pediatric Medical University
Email: dashauchenaya@yandex.ru
ORCID iD: 0000-0002-6942-2880
SPIN-code: 3783-8565
Student
Russian Federation, 2 Litovskay street, 194100, Saint-PeterburgReferences
- Rodionov AN, Nasyrov RA, Zaslavsky DV, et al. Diffuse connective tissue diseases: clinic and morphology of skin lesions. Saint Petersburg : Navoi; 2015. 160 p. (In Russ).
- Rodionov AN, Zaslavsky DV, Chuprov IN, et al. Dermatopatho-logy of inflammatory skin diseases. Tashkent; 2014. 208 p. (In Russ).
- Zhao B, Guan H, Liu JQ, et al. Hypoxia drives the transition of human dermal fibroblasts to a myofibroblast-like phenotype via the TGF-β1/Smad3 pathway. Int J Mol Med. 2017;39(1):153–159. doi: 10.3892/ijmm.2016.2816
- Zaslavsky DV, Sydikov AA, Garyutkina LV, et al. New aspects of the pathogenesis of limited scleroderma: a practical justification. Russian Journal of Skin and Venereal Diseases. 2020;23(4):227–237. (In Russ). doi: 10.17816/dv48907
- Mayes MD. Classification and epidemiology of scleroderma. Semin Cutan Med Surg. 1998;17:22–26. doi: 10.1016/s1085-5629(98)80058-8
- Arisi M, Cavazzana I, Cerutti ME, et al. Antibodies against antigens related to scleroderma in a cohort of patients with morphea. Ital Dermatol Venereol. 2018;153:451–458. doi: 10.23736/S0392-0488.16.05464-X
- Khatri S, Torok KS, Mirizio E, et al. Autoantibodies in morphea: an update. Front Immunol. 2019;10:1487. doi: 10.3389/fimmu.2019.01487
- Asano Y, Fujimoto M, Ishikawa O, et al. Diagnostic criteria, severity classification and guidelines of localized scleroderma. J Dermatol. 2018;45(7):755–780. doi: 10.1111/1346-8138.14161
Supplementary files












