Problems of differential diagnosis in dermatology using the example of polyangiitis of a single organ and papulonecrotic tuberculosis of the skin
- Authors: Grabovskaya O.V.1, Teplyuk N.P.1, Mishin S.A.1, Tavitova A.R.1
-
Affiliations:
- I.M. Sechenov First Moscow State Medical University (Sechenov University)
- Issue: Vol 28, No 2 (2025)
- Pages: 162-170
- Section: DERMATOLOGY
- Submitted: 14.11.2024
- Accepted: 21.03.2025
- Published: 21.06.2025
- URL: https://rjsvd.com/1560-9588/article/view/641911
- DOI: https://doi.org/10.17816/dv641911
- EDN: https://elibrary.ru/LLFNMV
- ID: 641911
Cite item
Abstract
Papulonecrotic tuberculosis of the skin is a rare form of tuberculosis infection caused by Mycobacterium tuberculosis or Mycobacterium bovis, which manifests as inflammatory nodules with necrosis in the centre. This form of tuberculosis occurs in two clinical variants: superficial and deep, characterised by varying degrees of severity of skin changes and a tendency to form atrophic 'stamped' scars after the rashes have cleared.
Diagnosis of papulonecrotic tuberculosis of the skin is a complex task. The superficial form of tuberculosis of the skin should be differentiated from secondary syphilis, the deep form - from tertiary syphilis. Papulonecrotic tuberculosis of the skin should also be differentiated from the papulonecrotic form of dermal vasculitis. Diagnostic methods include radiological examination, skin biopsy followed by histological and immunohistochemical analysis, and specific tuberculin tests (T-SPOT.TB, Diaskintest et al.).
The present article describes a clinical case of a patient with chronic inflammatory skin lesions of the lower extremities who was initially diagnosed with vasculitis. However, further comprehensive investigation, including histological studies and consultation with a dermatopathologist, led to the final diagnosis of papulo-necrotic tuberculosis of the skin.
Full Text
АКТУАЛЬНОСТЬ
Туберкулёз кожи как одно из проявлений туберкулёзной инфекции вызывается микобактериями туберкулёза человеческого (Mycobacterium tuberculosis) или бычьего (Mycobacterium bovis) вида, в том числе может встречаться как проявление одного из сложных механизмов инфекционной аллергии. Диагноз «Туберкулёз кожи» достаточно редок и составляет менее 0,1% в общей структуре заболеваемости туберкулёзом [1].
По данным литературы, общепринятой классификации туберкулёза кожи не существует. В национальном руководстве по фтизиопульмонологии туберкулёз кожи подразделяют на две основные группы ― истинный туберкулёз кожи (локализованный, гранулематозный или бактериальный) и поражение кожи в результате аллергического иммунного (параспецифического) воспаления, преимущественно в виде аллергического васкулита, называемое диссеминированным гиперергическим кожным туберкулёзом и классифицированное Ж. Дарье термином «туберкулиды». В национальном руководстве по дерматовенерологии милиарный туберкулёз, лихеноидный туберкулид относят к диссеминированным формам [2].
Исторически классификации туберкулёза кожи основывались на клинических проявлениях, но современные диагностические критерии учитывают гистопатологические, иммунологические и молекулярные характеристики заболевания, что позволяет более точно диагностировать различные формы туберкулёза кожи [1]. Однако до сих пор существуют проблемы с диагностикой редких и атипичных форм, что приводит к необходимости усовершенствования существующих классификаций или разработки новой международной классификации, которая будет учитывать все аспекты заболевания ― от клинических форм до генетических мутаций.
Немаловажным фактором, играющим ключевую роль в развитии туберкулёза кожи, является также наличие в организме первичного очага туберкулёзной инфекции. Наличие такого очага служит источником микобактерий, который чаще всего располагается в лёгких или лимфатических узлах. Распространяясь преимущественно эндогенным путём (гематогенным или лимфогенным) из других очагов туберкулёзной инфекции в организме (лёгкие, лимфатические узлы), микобактерии, мигрируя, приводят к инфицированию кожи, вызывая на ней вторичные проявления [3].
Гистологически при туберкулёзе кожи выявляют гранулёмы из эпителиоидных клеток, окружённых лимфоцитами. Характерными признаками являются наличие гигантских клеток Лангханса и казеозного некроза в центре бугорка, а также выявление самих микобактерий при таких формах, как первичный, милиарный, колликвативный туберкулёз кожи (скрофулодерма), язвенный туберкулёз кожи и слизистых. При туберкулёзной волчанке и бородавчатом туберкулёзе кожи обнаружить микобактерии трудно или практически невозможно [2].
Кожные формы туберкулёза кожи включают разнообразные по клинической картине патологические процессы, которые могут варьировать от изолированных узелков и бляшек до более распространённых и инфильтративных поражений кожи. Клиническая картина бывает разнообразной и зачастую требует дифференциальной диагностики с другими кожными заболеваниями.
Диагностика всех форм туберкулёза кожи основывается на комплексном подходе. Клинические данные играют важную роль, однако для точной диагностики необходимы результаты рентгенологического обследования, гистологического исследования биоптата, а также определение туберкулиновых проб с помощью полимеразной цепной реакции сыворотки крови, метода T-SPOT.TB или Диаскинтеста.
Папулонекротический туберкулёз кожи представляет собой редкую форму и может проявляться в двух клинических формах ― поверхностной и глубокой [3]. При поверхностной форме папулонекротического туберкулёза на коже появляются небольшие воспалительные бугорки плотной консистенции. Элементы выступают над поверхностью кожи в виде плоских или полушаровидных образований и могут иметь разнообразный оттенок ― от красноватого до синеватого или бурого. На поверхности высыпаний может отмечаться корка, под которой обнаруживается кратерообразное, слегка кровоточащее углубление или небольшая округлая язва с ровными краями. В процессе заживления остаётся характерный беловатый рубчик, который в практике называется «штампованный», атрофического характера, окружённый пигментацией. В отдельных случаях высыпания регрессируют и исчезают за 6–8 недель и, не доходя до некроза, оставляют после своего разрешения едва заметную рубцовую атрофию. Бугорки расположены беспорядочно, иногда серпигинозно или круговидно.
Типичной локализацией поверхностной формы папулонекротического туберкулёза являются конечности, разгибательные поверхности голеней, бёдер, плеч, предплечий, коленей, локтей, тыльная сторона кистей, подошвы и ягодицы. Реже поражаются другие участки, такие как лицо, уши, половые органы и туловище.
Течение заболевания может быть различным. Общее состояние пациента обычно не нарушено, однако наблюдаются случаи заболевания, когда кожный процесс имеет затяжное (несколько лет) течение с периодами обострений и ремиссий, выраженной сезонностью и зависимостью от менструаций [4]. В некоторых случаях встречаются атипичные формы с характерными некротическими процессами [4].
Глубокая форма папулонекротического туберкулёза начинается с маленьких плотных элементов, расположенных в подкожной клетчатке и не спаянных с окружающими тканями, в центре которых развивается некроз с образованием корочки жёлто-бурого цвета. Через несколько дней корка отторгается, инфильтрация рассасывается, оставляя после себя рубец с буроватой каймой.
Диагностика данного заболевания представляет сложности. Поверхностную форму туберкулёза кожи следует дифференцировать с вторичным сифилисом, глубокую форму ― с третичным сифилисом. Папулонекротический туберкулёз кожи необходимо дифференцировать также с папулонекротической формой дермального васкулита.
Васкулиты кожи (синоним: ангииты кожи) представляют собой группу дерматозов, основным и ведущим элементом которых является неспецифическое воспаление стенок кровеносных сосудов различного калибра в дерме и гиподерме. В настоящее время известно около 50 нозологических форм, относящихся к васкулитам кожи. Многие из этих форм имеют значительное клиническое и патоморфологическое сходство, что необходимо учитывать при постановке диагноза.
Общепринятой классификации васкулитов кожи не существует. На практике часто применяются номенклатура Американской коллегии ревматологов и критерии согласительной конференции в Chapel Hill (Северная Каролина, США, 2012), однако их применение в клинической практике дерматологов ограничено, поскольку многие нозологические формы не включены в эту номенклатуру, в ряде случаев наблюдается несоответствие клинических проявлений, отсутствует точность в описании клинических кожных признаков, характерных для того или иного дермального васкулита. Дермальный васкулит может возникать в связи с поражением мелких кровеносных сосудов и, согласно Номенклатуре Chapel Hill (2012), называется полиангиитом одного органа, или васкулитом гиперчувствительности, или микроскопическим полиангиитом.
Кожный некротизирующий васкулит может развиться на фоне очагов хронической инфекции как бактериальной, так и вирусной природы (стафилококки, стрептококки, энтерококки, иерсинии, микобактерии, вирус Эпштейна–Барр, вирусы гепатитов В и С, ВИЧ, парвовирус, цитомегаловирус, вирус простого герпеса, вирус гриппа), также имеются данные о роли грибковой инфекции в возникновении кожных форм васкулитов [1].
В развитии васкулитов немаловажную роль играет приём лекарственных препаратов ― антибактериальных (пенициллины, тетрациклины, сульфаниламиды, цефалоспорины), диуретиков (фуросемид, гипотиазид), антиконвульсантов (фенитоин), антиподагрических (аллопуринол), нестероидных противовоспалительных (ибупрофен, аспирин), антигипертензивных (гидралазин) и биологических (ритуксимаб, инфликсимаб) [1]. Особый интерес представляют исследования о генетических мутациях тромбофилий, приводящих к изменениям в свёртывающей системе крови [1].
Наиболее удобной для практикующего врача-дерматолога является рабочая клиническая классификация ангиитов О.Л. Иванова (1997), основанная прежде всего на оценке морфологических элементов сыпи, общих данных, лабораторных и гистологических показателей. В этой группе особое место занимает папулонекротический васкулит с характерными высыпаниями на коже голеней с тенденцией к некрозу и формированию «штампованных» рубчиков.
ОПИСАНИЕ СЛУЧАЯ
О пациенте
Больная М., 60 лет, жительница Тамбовской области, 10.02.2023 поступила в Клинику кожных и венерических болезней имени В.А. Рахманова Первого Московского государственного медицинского университета имени И.М. Сеченова с жалобами на высыпания на коже нижних конечностей в виде язв, сопровождающихся субъективными ощущениями.
Сопутствующие заболевания: варикозная болезнь нижних конечностей; хроническая венозная недостаточность С2 справа, С6 слева; гипертоническая болезнь III степени; риск сердечно-сосудистых осложнений III степени; хронический панкреатит; ожирение III степени; деформирующий коксартроз; артроз правого коленного сустава II степени; сахарный диабет 2-го типа.
Аллергический анамнез: кожная реакция в виде зудящей сыпи после употребления цитрусовых и ампициллина.
Анамнез заболевания. Считает себя больной с весны 2016 года, когда впервые отметила появление пятна розового цвета в области нижней трети левой голени, которое в течение месяца приобрело фиолетовый оттенок, а впоследствии стало изъязвляться и трансформироваться в язву с нагноением. По поводу развития язвенного дефекта обращалась к хирургу по месту жительства. На основании результатов консультаций и диагностических процедур (ультразвуковое исследование нижних конечностей) пациентке был выставлен предположительный диагноз варикозной болезни вен нижних конечностей. В ноябре 2016 года пациентке проводились комбинированная флебэктомия на левой нижней конечности в бассейне большой подкожной вены, а также терапия с применением диклофенака, цефтриаксона, ацетилсалициловой кислоты, пентоксифиллина, гепарина, местно использовались повязки с хлорамфениколом и метилурацилом. После проведённой терапии наблюдалось улучшение с полным рубцеванием язвенного дефекта.
В дальнейшем ежегодно отмечала появление новых высыпаний той же локализации, в связи с чем неоднократно обращалась к различным специалистам (хирург, флеболог, онколог). Пациентке выставлялись диагнозы варикозной болезни вен нижних конечностей и трофической язвы нижних конечностей.
В лабораторных показателях (общий анализ крови и мочи, коагулограмма, биохимический анализ) ― без существенных отклонений. Получала курсы венотоников, антибиотиков, антисептические повязки.
В марте 2022 года обратилась к дерматологу, где была обследована в связи с предположительным диагнозом «Васкулит». Исследовались антитела к антигенам цитоплазмы нейтрофилов (ANCA Combi 7) и циклическому цитруллинсодержащему пептиду (отрицательно); показатели клинического и биохимического анализа крови, коагулограммы, С-реактивного белка были в пределах нормы. Отмечено повышение концентрации креатинфосфокиназы ― 187 ЕД/л (при норме, N, 0–167), среднего объёма тромбоцитов (mean platelet volume, MPV) ― 12,80 фл (N 9,40–12,40), коэффициента больших тромбоцитов — 48,0 фл (N 13,0–43,0), лимфоцитов (lymphocyte, LY%) ― 44,9% (N 19,0–37,0), моноцитов (MO%) ― 12,7% (N 3,0–12,0) и снижение содержания нейтрофилов (NE%) ― 41,0% (N 47,0–72,0). Результаты исследований на антинуклеарный фактор на Hep-2-клетках, иммуноглобулин класса G (640 г/л), а также положительный (≤160) ядерный гранулярный тип свечения (AC-2,4) указывали на наличие антинуклеарных антител (обычно отмечается у пациентов с системными аутоиммунными заболеваниями).
Согласно заключению патоморфолога, сделанного на основании диагностической биопсии кожи, в коже имеется эпидермальная киста, отмечаются выраженная воспалительная инфильтрация во всех слоях дермы, венулит.
Во время обследования у дерматолога получала следующее лечение: левоцетиризин (Супрастинекс) в дозе 5 мг (1 таблетка 1 раз в день) в течение 5 дней; местно мазь Акридерм (2 раза в день), длительно; эмоленты. На фоне проводимой терапии ремиссии кожного процесса не было.
В связи с болями в суставах консультирована ревматологом: поставлен диагноз «Полиостеоартроз с преимущественным поражением коленных суставов»; назначено наружное лечение в виде мази с нестероидными противовоспалительными компонентами и хондроэтином.
Флебологом рекомендовано ультразвуковое исследование нижних конечностей ― показатели в пределах нормы. На основании обследования диагноз васкулита был исключён. Назначено лечение: нестероидные противовоспалительные препараты ― 14 дней; омепразол в дозе 20 мг (1 капсула на ночь); толперизона гидрохлорид по 150 мг, 3 раза в день в течение 3 недель; хондроэтина сульфат по 100 мг внутримышечно, № 20, с последующим переходом на 500 мг + 500 мг глюкозамина гидрохлорида (1 таблетка 2 раза в день) в течение 3 месяцев; диацереин по 50 мг (1 таблетка 2 раза в день) в течение 2 месяцев. На фоне проведённой терапии положительная динамика отсутствовала, в связи с чем больной продолжили обследование по месту жительства.
Ультразвуковая допплерография: правая нижняя конечность обычной окраски, тёплая, пульсация бедренной артерии отчётливая, подколенная артерия отчётливая, передняя большеберцовая артерия отчётливая, задняя большеберцовая артерия отчётливая, отёка нет, ретикулярные вены и телеангиэктазии определяются на бедре и голени, варикозно изменён перфорант на уровне средней трети голени; левая нижняя конечность гиперемирована с наличием участков липодерматосклероза на уровне средней и нижней трети голени, участками рубцовой деформации и поверхностными (до 2) язвами размером 1,2 см, ретикулярные вены и телеангиэктазии определяются на бедре и голени.
Ультразвуковое ангиосканирование: ствол большой подкожной вены на правой и левой нижних конечностях проходим, не расширен, рефлюкс не определяется.
На основании результатов обследования поставлен диагноз «Посттромботическая болезнь левой нижней конечности С1, 4б, 5, 6, Ер, As, Ро, 1, 6, LII. Варикозная болезнь обеих нижних конечностей С2s, Ep, As, Pr 1 8 LII» и назначено следующее лечение: компрессионное бельё 2-го класса, Флебодиа 600 мг (1 таблетка 1 раз в день) в течение 2 месяцев, Ксарелто по 20 мг (1 таблетка 1 раз в день) в течение 2 месяцев, наружно мазь Акридерм ГК (2 раза в день). Несмотря на проводимое лечение, выраженного положительного эффекта не наблюдалось.
Учитывая торпидность кожного процесса к проводимому лечению, пациентка консультирована фтизиатром по месту жительства в Тамбовской области: туберкулинодиагностика (Диаскинтест) ― папула 30 мм; по данным рентгенографии лёгких ― лёгочные поля без очаговых и инфильтративных теней, корни структурны, сердечная тень без особенностей. На фоне проводимой терапии (специфическое профилактическое лечение изониазидом в дозе 0,75 мг, рифампицином в течение 20 дней) положительного эффекта не отмечено.
01.02.2023 в Клинике кожных и венерических болезней имени В.А. Рахманова пациентке был выставлен предположительный диагноз «Туберкулёз кожи, язвенный тип».
Результаты физикального, лабораторного и инструментального исследования
При осмотре: поражение кожи хронического воспалительного характера. На передней и боковых поверхностях кожи голеней отмечаются полиморфные высыпания, синюшно-фиолетового оттенка, представленные бляшками и язвами с резкими границами размером до 12–13 см, неправильной формы, без склонности к слиянию. Субъективно ― болезненность. Около поражённых участков отмечены варикозно расширенные вены. Кожа вне очагов бледно-розовой окраски (рис. 1).
Рис. 1. Клиническая картина туберкулёза кожи при поступлении: на передней и боковой поверхностях кожи голеней отмечаются полиморфные высыпания, синюшно-фиолетового оттенка, представленные бляшками и язвами с резкими границами размером до 12–13 см, неправильной формы, без склонности к слиянию. [Фото из архива Первого МГМУ имени И.М. Сеченова. Публикуется впервые с разрешения администрации учреждения].
Fig. 1. Clinical picture of skin tuberculosis on admission: on the anterior and lateral surfaces of the skin of the lower legs there are polymorphic rashes, of a livid purple colour, represented by plaques and ulcers with sharp borders, up to 12–13 cm in size, irregularly shaped, without tendency to merge. [Photo from the archive of the I.M. Sechenov First Moscow State Medical University. Published for the first time with the permission of the administration of the institution].
Лабораторные исследования. В анализе крови обнаружено повышение относительного количества лимфоцитов (LY%) ― 51,4% (N 18,0–44,0), мочевой кислоты ― 420,50 мкмоль/л (N 154–357), холестерина ― 5,42 ммоль/л (N 0–5,2), лактатдегидрогеназы ― 254 ед/л (<248), креатинфосфокиназы ― 153 ед/л (N 0–145) и понижение уровня относительного количества нейтрофилов (NE%) ― 40,0% (N 45,0–72,0). Показатели клинического анализа мочи и коагулограммы в пределах референсных значений.
Компьютерная томография органов грудной клетки и брюшной полости. Интерстициальные изменения в нижних долях обоих лёгких, вероятно, поствоспалительного характера; кальцинированные очаги в обоих лёгких свидетельствуют о перенесённом ранее инфекционном процессе и последующей кальцификации воспалительных очагов; в верхних отделах лёгких обнаружены бронхоэктазы. Единичные конкременты в чашках обеих почек. Дивертикулы толстой кишки без признаков воспаления, аппендиколитиаз. Атеросклероз аорты и коронарных артерий.
Ультразвуковое исследование почек. Неоднородная эхоструктура левой почки, анэхогенное образование с эффектом дорсального усиления размером 16 мм. В синусе локализуется анэхогенное образование размером 12,5 мм. Эхогенность повышена равномерно. Чашечно-лоханочная система деформирована. Правая почка: эхоструктура синуса изменена за счёт наличия округлого анэхогенного образования с эффектом дорсального усиления размером 15,6 мм. Эхогенность повышена равномерно. В заключение сказано, что выявленные изменения, найденные при компьютерной томографии, могут соответствовать изменениям при перенесённом туберкулёзе лёгких, а также могут оказывать влияние на дыхательную функцию, вызывая одышку, снижение толерантности к физическим нагрузкам и повышенный риск инфекций. Рекомендуется консультация пульмонолога для уточнения характера интерстициальных изменений и бронхоэктазов, а также проведение функциональных тестов лёгких с целью оценки их влияния на дыхательную функцию.
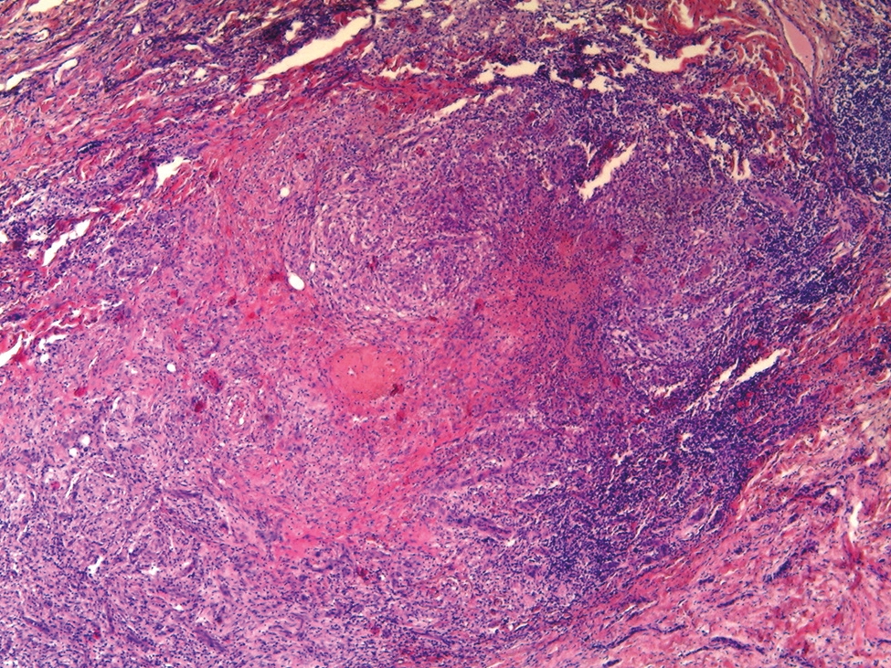
Рис. 2. Гистологическое исследование: эпидермис с явлениями нерезко выраженного гиперкератоза и акантоза, в дерме и отчасти подкожно-жировой клетчатке морфологическая картина хронического гранулематозного воспалительного процесса, гранулёмы, состоящие из лимфоцитов, эпителиоидных и Пирогова–Лангханса клеток с зонами казеозного некроза, также в дерме, в основном по периферии сосудов микроциркуляторного русла, отмечается очаговая лимфоплазмоцитарная воспалительная инфильтрация с формированием псевдофолликулов. Окраска гематоксилином-эозином, ×10. [Фото из архива Первого МГМУ имени И.М. Сеченова. Публикуется впервые с разрешения администрации учреждения].
Fig. 2. Histological examination. Epidermis with phenomena of moderately pronounced hyperkeratosis and acanthosis, in the dermis and partly in the subcutaneous fatty tissue morphological picture of chronic granulomatous inflammatory process, granulomas consisting of lymphocytes, epithelioid and Pirogov-Langhans cells with zones of caseous necrosis, also in the dermis mainly along the periphery of microcirculatory vessels focal lymphoplasmocytic inflammatory infiltration with formation of pseudofollicles. Haematoxylin-eosin staining, ×10. [Photo from the archive of the I.M. Sechenov First Moscow State Medical University. Published for the first time with the permission of the administration of the institution].
Диагностическая биопсия кожи с иммуногистохимическим исследованием. В биоптате ― фрагмент кожи, эпидермис с явлениями нерезко выраженного гиперкератоза и акантоза, в дерме и отчасти подкожно-жировой клетчатке ― морфологическая картина хронического гранулематозного воспалительного процесса; гранулёмы, состоящие из лимфоцитов, эпителиоидных и Пирогова–Лангханса клеток с зонами казеозного некроза, также в дерме, в основном по периферии сосудов микроциркуляторного русла, очаговая лимфоплазмоцитарная воспалительная инфильтрация с формированием псевдофолликулов (рис. 2). При иммуногистохимической окраске по Киньюну явных кислотоустойчивых микобактерий не выявлено. Заключение: изменения укладываются в язвенный тип туберкулёза кожи.
Дифференциальный диагноз
Дифференциальная диагностика с васкулитами проводится на основании результатов биопсии и комплексного обследования пациента. Рекомендовано первоначально определение ДНК возбудителей туберкулёза, комплекса микобактерий (M. tuberculosis, M. bovis, M. bovis BCG, M. microti, M. africanum) в сыворотке крови методом полимеразной цепной реакции с детекцией в режиме реального времени, и только после этого возможно проведение T-SPOT.TB (иммунодиагностика туберкулёзной инфекции, тест высвобождения гамма-интерферона) или Диаскинтеста, а также взятие биопсии кожи для обнаружения типичного гранулематозного инфильтрата в биоптате кожи.
Лечение
В процессе обследования пациентка получала азитромицин в дозе 500 мг, омепразол по 20 мг, Найз по 100 мг, антимикотические препараты (флуконазол по 150 мг 1 раз в 3 дня); антигипертензивную терапию торасемидом (10 мг утром), лозартаном (50 мг вечером); терапия сахарного диабета 2-го типа проводилась гликлазидом в дозе 60 мг и метформином в дозе 1000 мг; получала также местную терапию мазью Акридерм Гента (2 раза в день) на ночь, гель Лиотон тонким слоем на область голеней через 15 минут после применения Акридерм Гента; курс физиотерапии включал системную кислородно-озоновую терапию [внутривенно озонированный физиологический раствор 400 мл, озон (О3) 2 мг/л] через день, № 10. С учётом кожных туберкулиновых проб, результатов компьютерной томографии и полученных гистологических данных рекомендована консультация фтизиатра: назначена комплексная специфическая терапия (изониазид + рифампицин + пиразинамид + этамбутол) в течение 3 месяцев.
Исход и результаты последующего наблюдения
На фоне проводимой терапии наблюдалась положительная динамика в виде полного рубцевания язвенных дефектов на коже нижних конечностей с образованием «штампованных» рубчиков и остаточной гиперпигментации по периферии (рис. 3).
Рис. 3. Клиническая картина после проведённого лечения: отмечается положительная динамика в виде полного рубцевания язвенных дефектов на коже нижних конечностей с образованием «штампованных» рубчиков и остаточной гиперпигментации по периферии. [Фото из архива Первого МГМУ имени И.М. Сеченова. Публикуется впервые с разрешения администрации учреждения].
Fig. 3. Clinical picture after treatment. Positive dynamics in the form of complete scarring of ulcer defects on the skin of the lower extremities with formation of stamped scars and residual hyperpigmentation around the periphery is observed. [Photo from the archive of the I.M. Sechenov First Moscow State Medical University. Published for the first time with the permission of the administration of the institution].
ОБСУЖДЕНИЕ
Дифференциальная диагностика между папулонекротическим туберкулёзом кожи и папулонекротической формой васкулита является сложной, многогранной задачей, требующей комплексного подхода. Ключевыми аспектами, которые позволяют различить эти два состояния, являются клинические проявления, данные лабораторной диагностики и гистологическое заключение. Клинические проявления папулонекротического туберкулёза кожи включают наличие плотных бугорков с некрозом в центре, различного оттенка (от красного до синевато-бурого), с коркой на поверхности, под которой обнаруживается кратерообразное, слегка кровоточащее углубление или небольшая округлая язва с ровными краями. После разрешения элементов на коже отмечаются «штампованные» рубчики атрофического характера. Папулонекротический дермальный васкулит на голенях клинически протекает весьма схоже.
Лабораторная диагностика играет важную роль в дифференциальной диагностике. При папулонекротическом туберкулёзе кожи часто обнаруживаются положительные туберкулиновые пробы, специфические для туберкулёза, в биоптате кожи ― гранулематозный инфильтрат из лимфоцитов, эпителиоидных и клеток Пирогова–Лангханса с участками казеозного некроза, а также характерные изменения в лимфоузлах, лёгких, почках и других органах и тканях. Первично существующий туберкулёзный очаг в лёгких или лимфатических узлах ― важный фактор диагностики и развития вторичных кожных проявлений, так как является источником микобактерий и инфицирования кожи, вызывающим вторичные поражения.
Для язвенно-некротической формы васкулита возможны повышенные уровни маркеров воспаления (С-реактивный белок, скорость оседания эритроцитов, криоглобулины), а также наличие антител к цитоплазме нейтрофилов (ANCA).
Гистологическое исследование является ключевым этапом в дифференциальной диагностике туберкулёза кожи и васкулита. Язвенный туберкулёз кожи характеризуется гранулематозным воспалением с казеозным некрозом в центре гранулём. В отличие от него гистологическая картина папулонекротической формы васкулита включает признаки некротизирующего васкулита с фибриноидным некрозом стенок сосудов и периваскулярной воспалительной инфильтрацией, лейкоцитоклазией и экстравазацией эритроцитов.
ЗАКЛЮЧЕНИЕ
Таким образом, дифференциальная диагностика между папулонекротическим туберкулёзом кожи и папулонекротической формой васкулита основывается на совокупности клинических, лабораторных и гистологических данных. Комплексное использование этих методов, а также своевременное выявление первичного очага инфекции позволяет предотвратить распространение инфекции, установить точный диагноз и выбрать оптимальную тактику лечения для каждого конкретного пациента.
ДОПОЛНИТЕЛЬНАЯ ИНФОРМАЦИЯ
Вклад авторов. О.В. Грабовская ― консультация больной, определение диагноза и тактики ведения, корректировка текста статьи, одобрение подачи статьи в печать; Н.П. Теплюк ― консультация больной, определение диагноза и тактики ведения, внесение в рукопись существенной правки с целью повышения научной ценности статьи; С.А. Мишин ― консультация больной, определение диагноза и тактики ведения, непосредственное ведение и наблюдение больной, сбор литературных данных, составление текста статьи, направление рукописи в редакцию журнала; А.Р. Тавитова ― консультация больной, определение диагноза и тактики ведения, корректировка текста статьи. Все авторы одобрили рукопись (версию для публикации), а также согласились нести ответственность за все аспекты работы, гарантируя надлежащее рассмотрение и решение вопросов, связанных с точностью и добросовестностью любой её части.
Согласие на публикацию. Авторы получили письменное информированное добровольное согласие пациента на публикацию персональных данных, в том числе фотографий (с закрытием лица), в научном журнале, включая его электронную версию (дата подписания: 14.11.2024). Объём публикуемых данных с пациентом согласован.
Источники финансирования. Работа выполнена в соответствии с планом научных исследований Первого Московского государственного медицинского университета имени И.М. Сеченова Минздрава России (Сеченовский Университет). Спонсорскую поддержку авторы не получали.
Раскрытие интересов. Авторы заявляют об отсутствии отношений, деятельности и интересов за последние три года, связанных с третьими лицами (коммерческими и некоммерческими), интересы которых могут быть затронуты содержанием статьи.
Оригинальность. При создании настоящей работы авторы не использовали ранее опубликованные сведения (текст, иллюстрации, данные).
Доступ к данным. Редакционная политика в отношении совместного использования данных к настоящей работе неприменима, новые данные не собирали и не создавали.
Генеративный искусственный интеллект. При создании настоящей статьи технологии генеративного искусственного интеллекта не использовали.
Рассмотрение и рецензирование. Настоящая работа подана в журнал в инициативном порядке и рассмотрена по обычной процедуре. В рецензировании участвовали два внешних рецензента, член редакционной коллегии и научный редактор издания.
ADDITIONAL INFORMATION
Author contributions. O.V. Grabovskaya ― consultation of the patient, determination of the diagnosis and tactics of management, correction of the text of the article, approval of the submission of the article to the press; N.P. Teplyuk ― consultation of the patient, determination of the diagnosis and tactics of management, making significant changes to the manuscript in order to increase the scientific value of the article; S.A. Mishin ― consultation of the patient, determination of the diagnosis and tactics of management, direct management and observation of the patient, collection of literature data, drafting the text of the article, sending the manuscript to the editorial office of the journal; A.R. Tavitova ― patient consultation, determination of diagnosis and management tactics, correction of the text of the article. Thereby, all authors provided approval of the version to be published and agree to be accountable for all aspects of the work in ensuring that questions related to the accuracy or integrity of any part of the work are appropriately investigated and resolved.
Consent for publication. The authors received written informed voluntary consent from the patient to publish personal data, including photographs (with the face covered), in a scientific journal, including its electronic version (date of signing: 11/14/2024). The volume of published data was agreed upon with the patient.
Funding sources. The work was carried out in accordance with the scientific research plan of the First Moscow State Medical University named after I.M. Sechenov of the Ministry of Health of the Russian Federation (Sechenov University). The authors did not receive sponsorship support.
Disclosure of interests. The authors have no relationships, activities or interests for the last three years related with for-profit or not-for-profit third parties whose interests may be affected by the content of the article.
Statement of originality. In creating this work, the authors did not use previously published information (text, illustrations, data).
Data availability statement. The editorial policy regarding data sharing does not apply to this work, and no new data was collected or created.
Generative AI. Generative AI technologies were not used for this article creation.
Provenance and peer-review. The present paper was submitted to the journal on a proactive basis and reviewed according to the usual procedure. Two external reviewers, a member of the editorial board and the scientific editor of the publication participated in the review.
About the authors
Olga V. Grabovskaya
I.M. Sechenov First Moscow State Medical University (Sechenov University)
Author for correspondence.
Email: olgadoctor2013@yandex.ru
ORCID iD: 0000-0002-5259-7481
SPIN-code: 1843-1090
MD, Cand. Sci. (Medicine), Professor
Russian Federation, 4/1 Bolshaya Pirogovskaya st, Moscow, 119991Natalia P. Teplyuk
I.M. Sechenov First Moscow State Medical University (Sechenov University)
Email: Teplyukn@gmail.com
ORCID iD: 0000-0002-5800-4800
SPIN-code: 8013-3256
MD, Dr. Sci. (Medicine), Professor
Russian Federation, 4/1 Bolshaya Pirogovskaya st, Moscow, 119991Sergey A. Mishin
I.M. Sechenov First Moscow State Medical University (Sechenov University)
Email: sergey.mischin1995@gmail.com
ORCID iD: 0000-0002-4387-3085
SPIN-code: 4644-2560
Russian Federation, 4/1 Bolshaya Pirogovskaya st, Moscow, 119991
Alana R. Tavitova
I.M. Sechenov First Moscow State Medical University (Sechenov University)
Email: alatavitova@mail.ru
ORCID iD: 0000-0003-1930-0073
SPIN-code: 2113-9091
MD, Cand. Sci. (Medicine)
Russian Federation, 4/1 Bolshaya Pirogovskaya st, Moscow, 119991References
- Borzova EY, Vertieva EY, Grabovskaya OV, et al. Illustrated guide to dermatology. For preparation of doctors for accreditation. Olisova OY, Teplyuk NP, editors. Moscow: GEOTAR-Media; 2023. 376 р. (In Russ.) doi: 10.33029/9704-7375-7-DER-2023-1-376 EDN: YEPGAA
- Kushtan IV, Grabovskaya OV, Teplyuk NP, et al. Combination of lichenoid and colliquative tuberculosis of the skin (scrofuloderma). Russkii meditsinskii zhurnal. 2016;24(14):954–957. (In Russ.) EDN: WWXQKV
- Klepikova AA, Ivanov SE, Leontiev AI, Sabadash EV. Differential diagnosis of skin tuberculosis: A case from clinical practice. In: Actual issues of modern medical science and public health: Collection of articles of IV International Scientific and Practical Conference of young scientists and students, IV All-Russian forum of medical and pharmaceutical universities ‘For quality education’, Ekaterinburg, 10-12 April. Vol. 1. Yekaterinburg: UGMU, CD-ROM; 2019. Р. 1084–1088. (In Russ.)
- Ivanko SA. Skin lesions in tuberculosis patients [dissertation abstract]. Moscow; 2007. 22 р. (In Russ.) Available from: https://search.rsl.ru/ru/record/01003069144?ysclid=m914ogh4ga624774414 Accessed: Dec 12, 2024.
Supplementary files






