Diagnosis and treatment of oral mucus lesions: case series of four patients
- Authors: Teplyuk N.P.1, Stepanov M.A.1, Dodina M.I.1, Damdinova B.S.1
-
Affiliations:
- I.M. Sechenov First Moscow State Medical University
- Issue: Vol 27, No 2 (2024)
- Pages: 155-168
- Section: DERMATOLOGY
- Submitted: 25.12.2023
- Accepted: 17.03.2024
- Published: 14.05.2024
- URL: https://rjsvd.com/1560-9588/article/view/624987
- DOI: https://doi.org/10.17816/dv624987
- ID: 624987
Cite item
Abstract
One of the pressing issues in dermatovenerological and stomatological practices pertains to diseases of the oral mucosa. This challenge is primarily attributed to the intricacies associated with diagnosing these conditions in their early stages, the resemblance of clinical presentations to various oral mucosal lesions, and the potential lack of awareness among healthcare practitioners. Diseases such as lichen planus, herpes simplex, erythema multiforme exudative with skin lesions and vulgar pemphigus are characterized by a particularly persistent long-term course, thereby reducing the patient's ability to work and the overall quality of life. A multitude of endogenous and exogenous factors can influence the state of the oral mucosa. Endogenous factors encompass genetic predisposition, endocrine disturbances, carbohydrate metabolism disorders, neurogenic disorders, autoimmune conditions and infectious diseases. Exogenous factors, as a rule, include taking medications (non-steroidal anti-inflammatory drugs, antibiotics), galvanism, excessive use of alcohol and narcotic substances, and others.
It should be noted that the condition of the oral mucosa is also influenced by a wide range of different trigger factors.
The narrative delves into the complexities of diagnosing these conditions early on and explores the challenges inherent in devising effective treatment strategies.
Full Text
BACKGROUND
The article under review presents four clinical cases of oral mucosal lesions that may be manifestations of various dermatologic diseases. Discussing this issue is extremely important, given the severity of the course and the potentially life-threatening nature of some of these conditions. Thus, analyzing the clinical features remains highly relevant to dermatologists and dentists.
DESCRIPTION OF CASES
Clinical case 1
Patient: Patient V, aged 72, presented at the Rakhmanov Clinic of Skin and Venereal Diseases with complaints of significant soreness when eating, particularly hot food, and a burning sensation on the mucous membrane of the oral cavity. These symptoms were of significant concern to the patient.
Medical history: The patient has been experiencing symptoms since 2014 when rashes first appeared on the skin of her lower legs and wrist. These rashes were characterized by small, red papules with a bluish tint and a smooth surface, accompanied by severe itching. She sought treatment from a dermatovenerologist at her place of residence, where Dermovate ointment was prescribed, resulting in complete regression of the rashes.
In February 2022, following COVID-19 and experiencing severe stress, the patient was prescribed Triplixam (amlodipine 5 mg + indapamide 1.25 mg + perindopril 5 mg). In the spring of 2022, she noticed a development of rashes on her oral mucosa, which she initially attributed to stomatitis. She tried gargling with an antiseptic solution, Rotocan, and using chamomile decoctions, but these treatments yielded no improvement. By summer, her oral mucosa had worsened. The patient reported that these lesions were linked to starting Triplixam intake. She sought a definitive diagnosis and appropriate treatment at the Rakhmanov Clinic of Skin and Venereal Diseases.
Objective data: Rashes were observed on the cheek mucosa, manifesting as erosions and ulcers. These were surrounded by papules arranged in a lace pattern on a hyperemic and edematous base (Fig. 1, a). The erosions were irregularly shaped, polygonal in outline, and covered with a fibrinous plaque. Slight bleeding occurred upon trauma. On the dorsal and lateral surfaces of the tongue, grouped and merged papules formed plaques (Fig. 1, b). At the time of examination, the skin was unblemished, and the nail plates on the hands and feet were unaltered.
Fig. 1. Patient B., 72 years old, oral lichen planus, erosive-ulcerated form (a); dorsal and lateral surfaces of the tongue (b).
Рис. 1. Пациентка В., 72 года, красный плоский лишай слизистой оболочки полости рта, эрозивно-язвенная форма (a); дорсальная и боковая поверхность языка (b).
Subjective data: Painful sensations on the mucous membrane of the oral cavity.
Preliminary diagnosis: Lichen planus of oral mucosa, erosive-ulcerous form.
In addition to general and biochemical blood tests, the patient was prescribed a bacteriological culture to detect microorganisms and determine antibiotic sensitivity, as well as serologic analysis for the detection of antibodies to herpes simplex virus (HSV) type 1 and type 2 (immunoglobulin M [IgM] and immunoglobulin G [IgG]), cytomegalovirus (CMV), and hepatitis B and C virus. The following tests were conducted: CMV-IgM, CMV-IgG, Epstein–Barr virus (EBV)-IgM, EBV-IgG, hepatitis B and C virus, human immunodeficiency virus (HIV), as well as syphilis, antibodies to Helicobacter pylori (IgM, IgG).
Laboratory results: General blood analysis revealed the following values: Hemoglobin was 128 g/L, leukocytes were 4.3 × 109/L, erythrocytes were 4.46 × 1012/L, lymphocytes were 32.7%, erythrocyte sedimentation rate (ESR) was 3 mm/h. Biochemical blood analysis revealed the following values: Alanine aminotransferase was 13 U/L, aspartate aminotransferase was 16 U/L, total bilirubin was 22.2 μmol/L, and cholesterol was 6.44 mmol/L. Serologic studies revealed the following results: antibodies to HSV types 1 and 2: IgG was 30.5 UU (0.0–1.1, reference values); antibodies to CMV: IgG was 13.0 U/L (1.1, the result is positive); antibodies to H. pylori: IgG was 0.71 (<0.9, no antibodies detected). HIV, syphilis, and hepatitis were not detected.
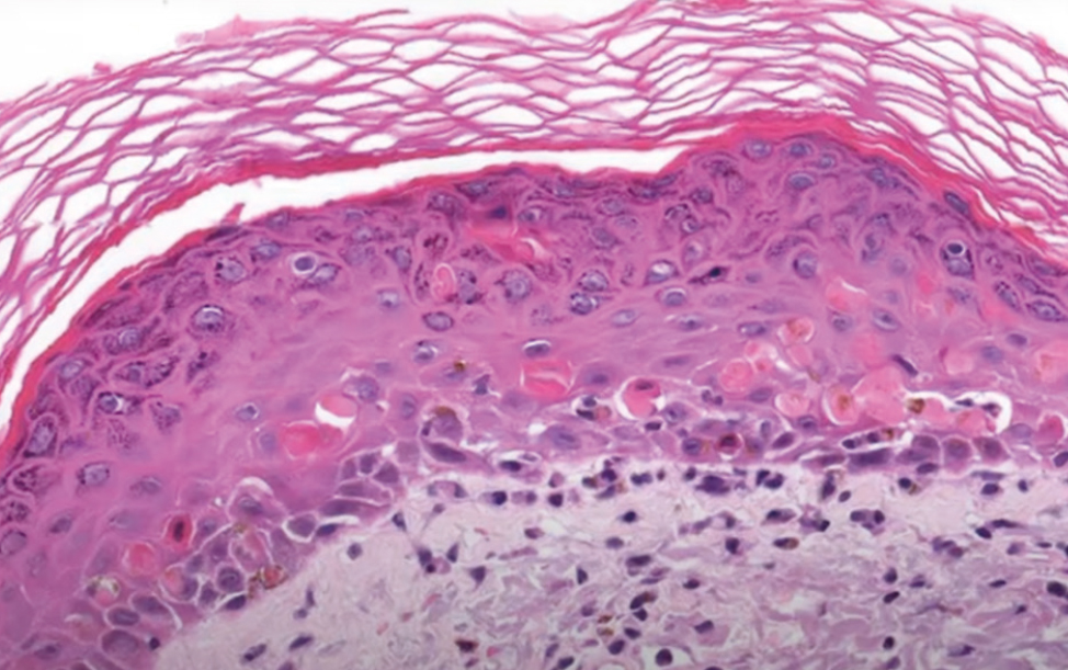
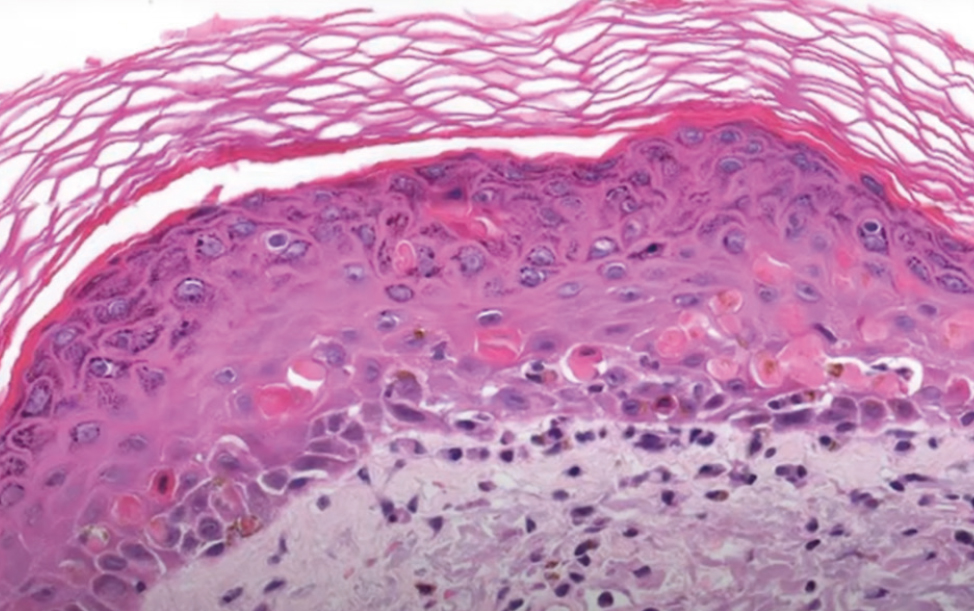
Conclusion of the histologic study (Fig. 2): The mucosal fragment showed hyperplastic multilayered squamous epithelium with acanthosis, parakeratosis, and hyperkeratosis, with pronounced lymphoplasmocytic infiltration of the stroma and a band-like lymphoid infiltrate.
Fig. 2. Histological findings (haematoxylin and eosin staining, ×200).
Рис. 2. Гистологическая картина (окрашивание гематоксилином и эозином, ×200).
Final diagnosis: Based on the aforementioned complaints, anamnesis, and clinical and histologic findings, a diagnosis of lichen planus of the oral mucosa in an erosive-ulcerous form was made.
Treatment and outcome: The following therapy was administered at the clinic: chloropyramine 25 mg, 1 tablet twice daily for 10 days; prednisolone 5 mg, 4 tablets in the morning for 8 days; omeprazole 20 mg, 2 times daily for 8 days; Asparkam 175 mg + 175 mg, one tablet was administered three times per day for eight days. In addition, Calcium-D3 Nycomed (500 mg + 200 IU) was administered in one tablet twice per day for eight days. Fluconazole (50 mg) was administered in one capsule once per day for five days. Doxycycline (100 mg) was administered in one tablet twice daily for five days.
Local treatment: Akriderm GK was applied twice daily to the lesion of the oral mucosa for 10 days.
Physiotherapy: Systemic oxygen-ozone therapy, No. 5.
During the course of complex therapy, a regression of rashes on the mucous membrane of the oral cavity was observed, with a reduction of 70%–80%. Furthermore, subjective sensations were eliminated.
Clinical case 2
Patient: Patient B, aged 64, presented with erosive rashes and a burning sensation on the mucous membrane of the oral cavity.
Medical history: The patient has been experiencing symptoms for approximately 18 months, initially noticing erosive rashes on the mucous membrane of the oral cavity. She consulted a dentist at the Central Research Institute of Dentistry and Maxillofacial Surgery, where she was diagnosed with benign vesicular vesicles, a hyperkeratotic form of lichen planus with dysbacteriosis in the oral cavity. She received intramuscular injections of dexamethasone 4 mg once daily for 7 days, followed by 4 mg every other day for 10 days. Oral rinsing with dexamethasone solution and applying Fagodent gel were also recommended.
A transient improvement was observed during treatment. According to the patient, the most recent decline in condition occurred following a period of emotional distress (due to her husband’s illness). In December 2021, she returned to the Central Research Institute of Stomatology and Maxillofacial Surgery, where she was recommended a course of therapy with prednisolone 50 mg, administered intravenously in 10 injections, along with Valtrex 500 mg, taken twice daily for 10 days. A cytological examination was also performed, and the level of antibodies to desmoglein 3 was determined.
The cytologic examination, conducted on December 15, 2021, revealed the presence of acantholytic cells in the cytogram. The level of antibodies to desmoglein 3 exceeded 200 RU/mL, with reference values up to 20 RU/mL.
At the subsequent appointment at the Department of Oral and Maxillofacial Surgery, the patient was prescribed Metypred 4 mg, four tablets once a day for 12 days, followed by three tablets a day for 10 days, then two tablets a day for 10 days, and finally, one tablet a day for another 10 days. In March 2022, the patient discontinued Metypred therapy due to dissatisfaction with the effect of the therapy. She was subsequently referred to the Rakhmanov Clinic of Skin and Venereal Diseases for further diagnostic clarification and the prescription of an appropriate treatment plan.
Objective data: On the mucosal surface of the cheek, there was a marked increase in blood flow, a dense white-yellow plaque, and multiple erosive-ulcerous defects in the area of the tongue root on the palatine membrane, as well as on the lateral and ventral surface of the tongue (Fig. 3). The skin of the trunk and scalp was observed to be free of any visible rashes at the time of examination.
Fig. 3. Patient B, 64 years old, pemphigus vulgaris of oral mucous membrane, multiple erosions and ulcers in the root of tongue and palatine curtain (a); erosive-ulcerated lesions on the tongue (b).
Рис. 3. Пациентка В., 64 года, вульгарная пузырчатка слизистой оболочки полости рта, множественные эрозии и язвы в области корня языка на нёбной занавеске (a); эрозивно-язвенные дефекты на языке (b).
Subjective data: Burning sensation and soreness during food intake.
Laboratory results: General blood analysis revealed the following values: Hemoglobin was 141 g/L, leukocytes were 23 × 109/L, erythrocytes were 4.58 × 1012/L, lymphocytes were 26%, and the ESR was 4 mm/h. Biochemical blood analysis revealed the following values: alanine aminotransferase was 25 U/L, aspartate aminotransferase was 15 U/L, total bilirubin was 20.3 μmol/L, cholesterol was 4.68 mmol/L, glucose was 3.9 mmol/L, and albumin was 41 g/L. Serologic studies demonstrated the absence of HIV, syphilis, and hepatitis. The antibody level to desmoglein 3 was 200 RU/mL, below the threshold of 20 RU/mL.
Final diagnosis: Based on the above complaints, anamnesis, clinical picture, and laboratory results, the diagnosis of pemphigus vulgaris of the oral mucosa was made.
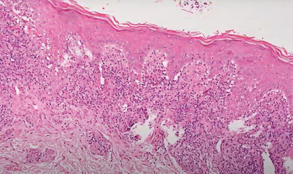
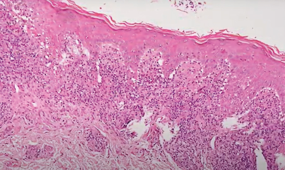
To differentiate between lichen planus and other potential diagnoses, the patient underwent a histologic and immunohistochemical examination of an oral mucosa biopsy specimen (Fig. 4). Additionally, the level of antibodies to desmoglein 1 was determined, which was 240 RU/mL, which is below the threshold of 20 RU/mL.
Fig. 4. Biopsy of the oral mucosa: a ― histological findings (haematoxylin and eosin staining, ×200); b ― direct immunofluorescence result (reticular pattern of fixation of IgG around keratinocytes in the stratum spinosum).
Рис. 4. Биоптат слизистой оболочки рта: a ― гистологическая картина (окрашивание гематоксилином и эозином, ×200); b ― прямая реакция иммунофлюоресценции (выявлена фиксация IgG в межклеточной склеивающей субстанции базального и всех отделов шиповатого слоя эпидермиса).
Treatment and outcome: The patient was prescribed the following medications: Metypred 4 mg, 16 tablets for 21 days; omeprazole 20 mg, 1 capsule three times daily for 21 days; Asparkam 1 tablet three times daily for 21 days; Calcium-D3 1 tablet two times daily for 20 days. In addition, the patient was instructed to take almagel (1 packet in the morning for 20 days), amitriptyline (1/4 tablet at night for 3 days, then 1/2 tablet at night for 14 days), and pentoxifylline (100 mg + 200 NaCl intravenous drip, eight injections). Locally, the lesion should be treated with prednisolone ointment and Candide cream twice daily.
The patient tolerated the treatment well, with no adverse or undesirable reactions. There was a 70%–75% regression of rashes in the oral mucosa, and subjective symptoms were eliminated. No new rashes appeared.
Clinical case 3
Pateint. Patient E, aged 43, presented to the treatment and diagnostic department of the Rakhmanov Clinic of Skin and Venereal Diseases of the I.M. Sechenov First Moscow State Medical University with complaints of difficulty in opening the mouth, swelling, and burning in the mucous membrane of the oral cavity.
Medical history: The patient reported that she did not associate the rashes on the mucous membrane of the oral cavity, which appeared two weeks ago, with any specific cause. She had not self-treated with any medications or other substances and denied any harmful habits.
Objective data: Upon examination, the oral mucosa exhibited signs of inflammation, including edema and erythema. Multiple grouped vesicles, measuring up to 2–3 mm in diameter, were observed at the end of the tongue root, on the palatine membrane, the tongue, and the mucous membrane of the lower lip (Fig. 5).
Fig. 5. Patient E., 43 years old, herpes simplex complicated by allergic stomatitis (a); grouped blisters on the palatine curtain of oral mucous membrane (b); edematous and hyperemic mucous membrane in the area of hard palate (c).
Рис. 5. Пациентка Е., 43 года, простой герпес, осложнённый аллергическим стоматитом (a); сгруппированные пузырьки на нёбной занавеске слизистой оболочки полости рта (b); отёчная и гиперемированная слизистая оболочка в области твёрдого нёба (c).
Subjective data: Painful sensations when talking and a strong burning sensation when eating.
Laboratory results: The general blood count revealed the following values: Hemoglobin was 129 g/L, white blood cells were 5.4 × 109/L, lymphocytes constituted 29.6% of the total, and eosinophils were 1.9%. Serologic studies revealed the presence of antibodies to EBV nuclear antigen, with an IgG titer of 2.86 (≥1.00, antibodies detected). Additionally, IgG antibodies to HSV types 1 and 2 were observed with a titer of 44.2. Antibodies to H. pylori were IgG 0.6 (<0.9, antibodies not detected), while IgM antibodies to CMV were 0.25 (<0.9, antibodies not detected).
Final diagnosis: Based on the above complaints, anamnesis, clinical picture, and laboratory data, herpes simplex of the oral mucosa was diagnosed.
Treatment and outcome: The patient was prescribed the following medications: Valtrex 500 mg, two times daily for 10 days; Kestin 20 mg, one tablet at night for 10 days; phencarol 25 mg, two times daily for 10 days; lincomycin 250 mg, two times daily for 10 days; flucostat 50 mg daily for 10 days; and trichopol (metronidazole) 250 mg, one tablet three times daily for 10 days.
Local treatment: Triderm cream.
The patient tolerated the treatment well, with no adverse or undesirable reactions. The oral mucosa showed a 90% regression of rashes. Subjective symptoms were eliminated, and there were no new rashes.
Clinical case 4
Patient: Patient K, aged 43, was admitted with complaints of rashes in the oral and genital mucosa, accompanied by soreness.
Medical history: The patient has been experiencing symptoms since January 2015, initially noticing rashes on the mucous membrane of the oral cavity. She sought treatment at a local skin and venereological dispensary, where she was diagnosed with stomatitis. According to the patient, the condition resolved completely within 20 days, though she does not recall the prescribed treatment. The remission lasted for two months.
In March 2015, a new exacerbation of oral mucosal lesions was observed. The lesions were treated with anesthetic dyes and chlorhexidine rinses, resulting in complete regression. Subsequent relapses occurred monthly or every two months. Local applications of Metrogyl Denta, Solcoseryl, and Fucorcin were employed, with some epithelialization observed in the lesions. However, some lesions persisted until the next exacerbation.
In October 2015, she visited a dentist who diagnosed her with lichen planus and prescribed Metypred 12 mg, three tablets daily, with subsequent dose reduction until complete withdrawal within three weeks, along with Tavegyl. This treatment resulted in a complete regression of rashes. In 2016, she was admitted to the hospital at her place of residence with a diagnosis of lichen planus, exudative erythema multiforme (EEM), and a history of recurrent herpetic infection. The patient was treated with prednisolone (60 mg, 12 tablets daily with gradual dose reduction), Actovegin (intramuscularly), Panangin solution (intravenous drip), fluconazole, and nystatin (3 million units daily). Additionally, the patient was treated with a mouth rinse with 0.1% chlorhexidine solution and borax in glycerin, egg white. These treatments resulted in a partial epithelization of erosions.
The histological study conducted on February 25, 2016, yielded the following conclusions (Fig. 6): There is lymphocytic infiltration at the dermoepidermal border, causing indistinctness of the basal layer due to immune cell destruction. Additionally, eosinophilic necrotic keratinocytes have been identified, and vesicular masses filled with lymphocytes have been observed.
Fig. 6. Histological findings.
Рис. 6. Гистологическая картина.
During prednisolone therapy, the patient noted a complete regression of rashes. However, six months after the withdrawal of prednisolone, she again observed an exacerbation of the skin process. She was administered prednisolone at a dose of 30–40 mg, six to eight tablets per day with a gradual decrease in dose, which resulted in a temporary positive effect and complete regression of rashes. Subsequently, she began to observe an increase in the frequency of recurrences. Three years ago, rashes began to spread over the entire skin, but she did not seek medical attention. The patient self-administered prednisolone with minimal efficacy. The patient completed the prescribed course of prednisolone in April 2021 (2 months, six tablets per day, with gradual withdrawal).
In August 2021, the patient was hospitalized in the Dermatovenerology Department of the Rakhmanov Clinic of Skin and Venereal Diseases with a diagnosis of EEM. She was administered antihistamines (dipropan 2 mL intravenously, No. 1), azithromycin 500 mg daily, fluconazole 150 mg once every three days, amitriptyline 25 mg, 0.5 tablets at night, and a course of systemic oxygen-ozone therapy, No. 6. Following a brief period of improvement (lasting two weeks), the patient observed the emergence of new rashes on the mucous membrane of the oral cavity but did not seek medical attention. She commenced treatment with Valtrex 500 mg daily, increasing the dosage to two tablets per day as the condition progressed.
Given the severity and tolerance of the previous therapeutic regimen, the patient was admitted to the Dermatovenerology Department of the Rakhmanov Clinic of Skin and Venereal Diseases for complex therapy.
Objective data: The skin process exhibited a chronic inflammatory character. Rashes were localized on the mucous membrane of the oral cavity and genitals. They were represented by bright red erosions measuring 0.2–0.4 cm in diameter, round in shape, with irregular clear edges, white plaque on the surface (Fig. 7, a, b), as well as target-like rashes on the palms of the hands (Fig. 7, c).
Fig. 7. Patient K., 43 years old, multiforme exudative erythema on the oral mucous membrane (a) and vermillion border (b); targetlike rashes on the palm of the hand (c).
Рис. 7. Пациентка К., 43 года, многоформная экссудативная эритема на слизистой оболочке полости рта (a) и в области красной каймы губ (b); мишенеподобные высыпания на ладонях (c).
Subjective data: Painful sensations on the mucous membrane of the oral cavity, especially during eating.
Laboratory results: General blood analysis: Hemoglobin was 163 g/L; leukocytes were 6.38 × 109/L; lymphocytes were 21%; neutrophils were 64.5%; ESR (according to Westergren) was 19 mm/h; platelets were 285 × 109/L; eosinophils were 3.4%; erythrocytes were 4.6 × 1012/L. Blood biochemical analysis: Alanine aminotransferase was 49 units/L; albumin was 42 g/L; alpha-amylase total was 79.2 units/L; antistreptolysin O was 82.8 units/mL; aspartate aminotransferase was 70 units/L; total bilirubin was 15.8 μmol/L; glucose was 5.1 mmol/L; cholesterol was 4.52 mmol/L. Serologic studies: antibodies to HSV types 1 and 2: IgG was 28.5 UU (0.0–1.1, reference values); HIV, syphilis, and hepatitis were not detected.
Final diagnosis: Based on the above complaints, anamnesis (taking non-steroidal anti-inflammatory drugs), clinical picture, and results of laboratory data, EEM was diagnosed.
Treatment and outcome: The patient was prescribed the following medications: Valtrex 500 mg, one tablet two times daily for 15 days; loratadine 10 mg, one tablet, once daily for 15 days; metronidazole 250 mg, one tablet three times daily for 15 days; chloropyramine 1 mL intramuscularly, overnight, 15 injections; amitriptyline 25 mg, 1/2 tablet at night for three days, then 25 mg one tablet at night for 12 days; dexamethasone 12 mg + 200 mL NaCl 0.9% intravenous drip, five injections, then 8 mg + 200 mL NaCl 0.9% intravenous drip, four injections, then 4 mg + 200 mL NaCl 0.9% intravenous drip, three injections; Asparkam 400 mg, one tablet three times daily for 12 days; fluconazole 150 mg for five days.
Local treatment: Chlorhexidine 0.02% aqueous solution.
The patient tolerated the treatment well, without side effects or adverse events. Subjective symptoms were controlled, and there were no new rashes.
DISCUSSION
Case 1
Oral mucosal lichen planus (OMLP) is a chronic inflammatory disease of the oral mucosa that presents with papules, Wickham’s striae, or erosive elements. The etiology of OMLP is currently unknown, although it is thought to be related to a T-cell immune response against basal keratinocytes [1].
The causes of OMLP development remain debated among researchers. One prevailing theory suggests the disease is autoimmune in nature, whereby keratinocytes of OMLP are exposed to a factor that induces phenotype change. Potential triggering factors include infections, trauma, medications, and other causes. This change in keratinocytes results in the expression of antigens that the immune system perceives as foreign. Consequently, the immune system produces antibodies and cytotoxic T cells, which attack and destroy keratinocytes [2].
The patient, at the initial stage of the disease, with localization of the process in the skin area, was subsequently diagnosed with the erosive-ulcerative form of OMLP, which is the most symptomatic and potentially malignant form of the disease. A thorough oral examination or systematic monitoring of the patient’s condition in 2014 could have identified the typical form of OMLP earlier.
The typical form, characterized by a reticular distribution of rashes (Wickham’s striae) on the oral mucosa, is often associated with a favorable prognosis. This is because spontaneous remission occurs in approximately 40% of cases. This form is often asymptomatic and may precede the development of erosive OMLP, which manifests as painful erosions and ulcers. Identifying typical OMLP contributes to more effective and early treatment of the disease, as evidenced by the fact that 30% of patients with typical OMLP are asymptomatic [3].
The therapeutic strategy for this patient was organized with a primary focus on sequential goal attainment. This involved administering anti-inflammatory drugs, such as topical corticosteroids, to suppress inflammation; proton pump inhibitors to mitigate the effects of gastric acid on the oral mucosa; and a potassium-magnesium combination drug (Asparkam) to support electrolyte balance. These interventions were employed to effectively control side effects. Preventing secondary infections during corticosteroid treatment was achieved using fluconazole to prevent fungal complications and doxycycline to prevent bacterial complications. Additionally, a combined calcium and vitamin D3 preparation (Calcium-D3 Nycomed) was administered concomitantly to accelerate the healing of oral mucosal erosions. This approach was selected due to its efficacy in improving blood circulation and tissue regeneration, thereby reducing the risk of infection and enhancing the healing process.
Literature indicates that the erosive-ulcerative form of OMLP is associated with a higher risk of malignant transformation compared to other forms of OMLP, with estimates ranging from 0.4% to 5% [4, 5]. Therefore, regular follow-up and biopsy of long-term persistent erosions and ulcerative elements are recommended for this category of patients. Further studies are required to develop optimal treatment regimens and identify molecular markers of the malignant potential of erosive-ulcerative OMLP.
Case 2
In the case of patient B, who sought medical attention for erosive rashes in the area of the oral mucosa, the initial diagnosis was based on the clinical manifestations of the disease. However, the hyperkeratotic form of OMLP is characterized by the appearance of continuous foci of keratinization with sharp borders, in addition to typical rashes or verrucous overgrowths on the surface. Furthermore, patients with the hyperkeratotic form of OMLP may experience dry mouth and slight pain when eating hot food [6]. No such changes were observed in patient B. To confirm or refute the initial diagnosis, additional tests were performed. Based on cytologic analysis and the measurement of antibodies to desmoglein 3, a diagnosis of pemphigus vulgaris of the oral mucosa was established. Desmoglein 3 plays a crucial role in cell adhesion, linking keratinocytes in the epithelium.
The clinical features and etiopathogenesis of pemphigus vulgaris of the oral mucosa differ from those of the hyperkeratotic form of OMLP. Pemphigus vulgaris is an autoimmune disease in which antibodies damage the desmoglein 3 protein, which is crucial for the adhesion of epidermal cells. This results in acantholysis, in which the epidermis detaches from the dermis, leading to the formation of blisters [7]. In contrast to the hyperkeratotic form of OMLP, pemphigus vulgaris is characterized by multiple erosions on the oral mucosa.
The diagnosis of pemphigus vulgaris of the oral mucosa is based on clinical criteria, including blisters and erosions in the oral mucosa and skin [8]. In addition to the aforementioned clinical criteria, pemphigus vulgaris is characterized by a positive Nikolsky’s sign, which should also be considered in the diagnosis.
The most common site of involvement in pemphigus vulgaris is the oral mucosa. A statistical analysis of 457 patients with pemphigus vulgaris of the oral mucosa revealed the following distribution of incidence by organ: oral mucosa (85%), eye conjunctiva (64%), skin (24%), pharynx (19%), external genitalia (17%), nasal mucosa (15%), larynx (8%), anal area (4%), and esophagus (4%) [9].
Pemphigus vulgaris can lead to significant complications, including ocular damage that may result in symblepharon, ankyloblepharon, and ultimately, blindness. Additionally, progressive involvement of the larynx and trachea with the risk of asphyxia may occur [10].
Given the potential complications, timely and effective diagnosis and treatment of pemphigus vulgaris are crucial.
Case 3
Herpetic stomatitis, caused by HSV, is often diagnosed by dentists and dermatologists. Herpes simplex usually manifests in acute herpetic stomatitis and chronic recurrent herpes (or chronic recurrent herpetic stomatitis) [11]. HSV is a common cause of herpes simplex lesions, affecting approximately 67% of the oral mucosa. It can cause primary or recurrent infections manifested by vesicles or ulcers on the oral mucosa.
The clinical manifestations of HSV-1 result from tissue destruction as a direct consequence of viral replication and cell lysis [13]. The manifestation of herpetic stomatitis can range from pain when eating and talking to increased salivation and multiple rashes on the oral mucosa and lips [14].
Diagnosing herpetic stomatitis is relatively straightforward and is typically based on the typical appearance and location of the lesions on the oral mucosa and extraoral areas. However, a careful clinical history is essential to rule out other potential causes of oral mucosal lesions. In this case, the patient exhibited positive IgG antibodies to HSV-1 and HSV-2, indicative of a past or latent infection, and had no known history of allergen exposure, as the lesions had appeared two weeks prior to the consultation. Consequently, the patient exhibited signs of HSV reactivation, manifesting as vesicular rashes in the oral mucosa. Various factors have been identified as contributing to HSV-1 recurrence, including immunodeficiency, stress, sunlight exposure, and elevated body temperature. Additionally, trauma to the area of primary infection, particularly trigeminal nerve manipulation or dental procedures, has been linked to recurrence [15].
The treatment of HSV infection and allergic stomatitis depends on the severity and prevalence of the lesions, the patient’s general condition, and the presence of comorbidities. Antiviral drugs, such as valacyclovir, effectively reduce the duration and severity of HSV outbreaks. Antihistamines (ebastine and phencarol) control the symptoms of allergic stomatitis. Antibiotics (lincomycin) and antifungals (fluconazole) are indicated to prevent the development of secondary bacterial and fungal infections. Topical corticosteroids (triamcinolone) have been demonstrated to reduce inflammation and pain on the oral mucosa. The patient received a combination of these drugs for 10 days and demonstrated a good response, with 90% regression of oral lesions and no adverse effects.
The presented case study illustrates a complication of HSV infection, namely, herpetic stomatitis. This condition can be overlooked or misdiagnosed due to its resemblance to other diseases affecting the oral mucosa. Therefore, physicians should take a meticulous history and refer patients for laboratory tests during evaluation.
Case 4
EEM is an acute immune-mediated disease affecting the skin and mucous membranes. It manifests with specific michenoid elements [16], which may be accompanied by erosions or blisters affecting the areas of the mucous membranes, genitalia, and/or eyes [17]. The severity of clinical symptoms allows for the distinction of two forms of EEM: mild (with no mucosal lesions and no disturbance to the general condition) and severe (characterized by widespread skin rashes, mucosal lesions, and general malaise) [18].
Since January 2015, patient K began to notice rashes on her oral mucosa. She sought treatment at a local skin and venereological dispensary, where she was erroneously diagnosed with stomatitis.
In most patients with EEM, the disease is transient and spontaneously resolves without long-term complications [19]. However, some patients may experience frequent relapses, persistence, or serious complications [20], as observed in the case of patient K. She noted that relapses occurred monthly or once every two months, with some elements of the rash epithelializing and others persisting until the next exacerbation. Although skin lesions do not cause scarring, post-inflammatory hyperpigmentation may persist for several months after the rash disappears, especially in patients with darker skin tones [20]. This clinical manifestation was also recorded in patient K, despite her Slavic ethnicity.
In October 2015, a dentist diagnosed OMLP and prescribed Metypred (three tablets with gradual dose reduction until complete withdrawal within three weeks) and Tavegyl (an antihistamine), which had a positive effect in the form of complete regression of rashes. This treatment suppressed the immune response of cytotoxic T cells against the basal membrane, a regimen suitable for both lichen planus and EEM.
In 2016, the patient was hospitalized at her place of residence with a diagnosis of OMLP, EEM, and recurrent herpetic infection. Even though the lesions present did not correspond to the classic “4 P’s” (polygonal, pruritic, papules, and purple) observed in lichen planus [21], the patient was diagnosed with lichen planus.
Subsequently, the patient exhibited an increased recurrence rate, and the rash spread throughout the skin, consistent with persistent EEM, a rare variant with a continuous appearance of typical and atypical EEM elements. Persistent EEM is associated with viral infections, such as HSV, EBV, hepatitis C, and influenza, as well as with inflammatory bowel disease and malignancy [22]. In the absence of treatment, the disease may persist for more than a year [23], underscoring the importance of investigating the nature of the disease and associated symptoms affecting the skin, oral mucosa, eyes, and genitals prior to seeking medical care.
The development of the disease may be associated with asymptomatic subclinical recurrences of HSV infection, respiratory symptoms suggestive of Mycoplasma pneumoniae infection, and other signs of infection. Laboratory tests are used to establish infectious associations. If there is doubt about the diagnosis, a skin biopsy should be performed to confirm EEM or exclude other possible diseases.
Patients with severe EEM, in which food intake may be impaired, should be examined for abnormalities in water-electrolyte balance. In addition, skin elements with signs of secondary infection require microflora culture [24].
Treatment goals include reducing the severity of fever and rashes, shortening hospitalization, and preventing potential complications.
In cases of severe EEM, the administration of systemic glucocorticoids is recommended. In instances of secondary infection or the co-occurrence of EEM with M. pneumoniae, the use of systemic antibacterial drugs, such as erythromycin, is advised. In the event of an association between EEM and HSV [25], antiviral drugs are indicated.
CONCLUSIONS
patients diagnosed with OMLP should undergo a comprehensive medical examination to identify oral mucosal lesions and initiate timely intervention in the typical course of the disease. This approach can prevent the disease from progressing to the erosive-ulcerous form, associated with an increased risk of malignant transformation compared to other forms.
Patients with erosions in the area of the oral mucosa need to undergo a detailed medical history assessment. Special attention should be paid to the use of medications or dietary supplements before the appearance of morphological elements of the rash in the area of the oral mucosa, fever, stress, and the presence of prostheses of various metals. The examination should be carried out carefully: Detecting Wickham’s striae and papules with whitish plaque favors the diagnosis of lichen planus. In pemphigus vulgaris, with isolated lesions of the oral mucosa, erosions may be observed that rapidly increase in diameter with ingestion and are localized on the apparently unaltered surface of the oral mucosa. Small vesicles with a dense coating on a background of erythema are a clinical sign of herpes simplex. Erosions and flaccid vesicles on an erythematous background, often with lesions of the oral mucosa, are seen in EEM. However, a long history of the disease, a vague clinical picture, and the addition of secondary pyoderma may alter the classic manifestations of oral mucosal disease. The diagnosis should be confirmed by histologic and, if necessary, immunohistochemical (direct immunofluorescence reaction) examination of a mucosal biopsy. Additional examinations for antibodies against desmogleins 1 and 3, IgM and G against HSV, and various viral infections (CMV, EBV) are necessary. In the presence of dentures of different metals in the patient’s mouth, it is advisable to exclude galvanism.
If the diagnosis of an erosive-ulcerative form of OMLP is confirmed, regular clinical follow-up of patients is required, with a biopsy of long-term persistent erosions and ulcers to exclude their transformation into malignant neoplasms.
ADDITIONAL INFORMATION
Funding source. This study was not supported by any external sources of funding.
Competing interests. The authors declare that they have no competing interests.
Authors' contributions. All authors made a substantial contribution to the conception of the work, acquisition, analysis, interpretation of data for the work, drafting and revising the work, final approval of the version to be published and agree to be accountable for all aspects of the work. N.P. Teplyuk, M.A. Stepanov, M.I. Dodina ― scientific text editing, revision of the source text, approval of the final version before publication; B.Sh. Damdinova ― collection, processing and analysis of literary sources, preparation and writing of the article.
Consent for publication. Written consent was obtained from patients for publication of relevant medical information and all associated images in the manuscript.
ДОПОЛНИТЕЛЬНАЯ ИНФОРМАЦИЯ
Источник финансирования. Авторы заявляют об отсутствии внешнего финансирования при проведении поисково-аналитической работы.
Конфликт интересов. Авторы декларируют отсутствие явных и потенциальных конфликтов интересов, связанных с публикацией статьи.
Вклад авторов. Авторы подтверждают соответствие своего авторства международным критериям ICMJE (все авторы внесли существенный вклад в разработку концепции, проведение исследования и подготовку статьи, прочли и одобрили финальную версию перед публикацией). Наибольший вклад распределён следующим образом: Н.П. Теплюк, М.А. Степанов, М.И. Додина ― научное редактирование текста, доработка исходного текста, одобрение финальной версии перед публикацией; Б.Ш. Дамдинова ― сбор, обработка и анализ литературных источников, подготовка и написание статьи.
Информированное согласие на публикацию. Пациенты подписали добровольное информированное согласие на публикацию персональной медицинской информации в обезличенной форме для медицинского журнала «Российский журнал кожных и венерических болезней».
About the authors
Natalia P. Teplyuk
I.M. Sechenov First Moscow State Medical University
Email: teplyukn@gmail.com
ORCID iD: 0000-0002-5800-4800
SPIN-code: 8013-3256
MD, Dr. Sci. (Med.), Professor
Russian Federation, MoscowMikhail A. Stepanov
I.M. Sechenov First Moscow State Medical University
Email: Doctor.stepanov@gmail.com
ORCID iD: 0000-0002-1872-9487
SPIN-code: 6524-5665
MD, Cand. Sci. (Med.), Associate Professor
Russian Federation, MoscowMariya I. Dodina
I.M. Sechenov First Moscow State Medical University
Email: midd@list.ru
ORCID iD: 0009-0004-1972-871X
SPIN-code: 5069-9431
MD, Cand. Sci. (Med.)
Russian Federation, MoscowBaira Sh. Damdinova
I.M. Sechenov First Moscow State Medical University
Author for correspondence.
Email: baira_d@mail.ru
ORCID iD: 0000-0002-4162-2928
Russian Federation, Moscow
References
- Gupta S, Jawanda M. Oral lichen planus: An update on etiology, pathogenesis, clinical presentation, diagnosis and management. Indian J Dermatol. 2015;60(3):222−229. doi: 10.4103/0019-5154.156315
- Roopashree MR, Gondhalekar RV, Shashikanth MC, et al. Pathogenesis of oral lichen planus — a review. J Oral Pathol Med. 2010;39(10):729–734. doi: 10.1111/j.1600-0714.2010.00946.x
- Didona D, Caro RD, S Santos AM, et al. Therapeutic strategies for oral lichen planus: State of the art and new insights. Front Med. 2022;(9):997190. doi: 10.3389/fmed.2022.997190
- Rajentheran R, McLean NR, Kelly CG, et al. Malignant transformation of oral lichen planus. Eur J Surg Oncol. 1999;25(5):520–523. doi: 10.1053/ejso.1999.0689
- Tampa M, Caruntu C, Mitran M, et al. Markers of oral lichen planus malignant transformation. Dis Markers. 2018;2018:1959506. doi: 10.1155/2018/1959506
- Olisova OY, Chikin VV, Mineeva AA. Federal clinical recommendations for the management of patients with red squamous lichen planus. Russian Society of Dermatovenerologists and Cosmetologists; 2015. 19 р. (In Russ).
- Challacombe SJ, Setterfield J, Shirlaw P, et al. Immunodiagnosis of pemphigus and mucous membrane pemphigoid. Acta Odontologica Scandinavica. 2001;59(4):226–234. doi: 10.1080/00016350152509256
- Schmidt E, Rashid H, Marzano AV, et al. European Guidelines (S3) on diagnosis and management of mucous membrane pemphigoid, initiated by the European Academy of Dermatology and Venereology: Part II. Acad Dermatol Venereol. 2021;35(10):1926–1948. doi: 10.1111/jdv.17395
- Ahmed AR, Hombal SM. Cicatricial pemphigoid. Int J Dermatology. 1986;25(2):90–96. doi: 10.1111/j.1365-4362.1986.tb04544.x
- Fleming TE, Korman NJ. Cicatricial pemphigoid. J Am Acad Dermatol. 2000;43(4):571–591; quiz 591-594. doi: 10.1067/mjd.2000.107248
- Elenskaya YR. Herpetic infection of the oral cavity. Vestnik Vitebsk State Med University. 2007;6(1):5−12. EDN: JUQMRP
- Hill JM, Ball MJ, Neumann DM, et al. The high prevalence of herpes simplex virus type 1 DNA in human trigeminal ganglia is not a function of age or gender. J Virol. 2008;82(16):8230–8234. doi: 10.1128/JVI.00686-08
- Kolokotronis A, Doumas S. Herpes simplex virus infection, with particular reference to the progression and complications of primary herpetic gingivostomatitis. Clin Microbiol Infect. 2006;12(3):202–211. doi: 10.1111/j.1469-0691.2005.01336.x
- Amir J, Harel L, Smetana Z, Varsano I. The natural history of primary herpes simplex type 1 gingivostomatitis in children. Pediatr Dermatol. 1999;16(4):259–263. doi: 10.1046/j.1525-1470.1999.00072.x
- Grinde B. Herpesviruses: Latency and reactivation — viral strategies and host response. J Oral Microbiol. 2013;5(1):22766. doi: 10.3402/jom.v5i0.22766
- Samim F, Auluck A, Zed C, Williams PM. Erythema multiforme. Dental Clin North Am. 2013;57(4):583–596. doi: 10.1016/j.cden.2013.07.001
- Fitzpatrick SG, Cohen DM, Clark AN. Ulcerated lesions of the oral mucosa: Clinical and histologic review. Head Neck Pathol. 2019;13(1):91–102. doi: 10.1007/s12105-018-0981-8
- Scully C, Bagan J. Oral mucosal diseases: Erythema multiforme. Br J Oral Maxillofacial Surg. 2008;46(2):90–95. doi: 10.1016/j.bjoms.2007.07.202
- Huff JC. Erythema multiforme. Dermatol Clin. 1985;3(1):141–152.
- Schofield JK, Tatnall FM, Leigh IM. Recurrent erythema multiforme: Clinical features and treatment in a large series of patients. Br J Dermatol. 1993;128(5):542–545. doi: 10.1111/j.1365-2133.1993.tb00232.x
- Sharma A, Białynicki-Birula R, Schwartz RA, Janniger CK. Lichen planus: An update and review. Cutis. 2012;90(1):17–23.
- Drago F, Parodi A, Rebora A. Persistent erythema multiforme: Report of two new cases and review of literature. J Am Acad Dermatol. 1995;33(2 Pt 2):366–369. doi: 10.1016/0190-9622(95)91435-8
- Pavlović MD, Karadaglić DM, Kandolf LO, Mijusković ZP. Persistent erythema multiforme: A report of three cases. J Eur Acad Dermatol Venereol. 2001;15(1):54–58. doi: 10.1046/j.1468-3083.2001.00185.x
- Sokumbi O, Wetter DA. Clinical features, diagnosis, and treatment of erythema multiforme: A review for the practicing dermatologist. Int J Dermatol. 2012;51(8):889–902. doi: 10.1111/j.1365-4632.2011.05348.x
- Sandhu S, Klein BA, Al-Hadlaq M, et al. Oral lichen planus: Comparative efficacy and treatment costs--a systematic review. BMC Oral Health. 2022;22(1):161. doi: 10.1186/s12903-022-02168-4
Supplementary files










