Clinical and morphological characteristics of patients with urticarian rasches
- Authors: Olisova O.Y.1, Teplyakova K.S.1, Smolyannikova V.A.1, Kashakanova N.M.1, Ershov A.V.1,2, Andzhelova D.V.3, Salugina S.O.4, Torgashina A.V.4, Fomina D.S.1,5,6, Filatov A.V.1, Zharkov N.V.1, Kovalkova E.V.5, Borzova E.Y.1
-
Affiliations:
- The First Sechenov Moscow State Medical University (Sechenov University)
- Federal Research and Clinical Center of Intensive Care Medicine and Rehabilitology
- M.M. Krasnov Research Institute of Eye Diseases
- V.A. Nasonova Research Institute of Rheumatology
- Moscow City Hospital 52
- Astana Medical University
- Issue: Vol 27, No 1 (2024)
- Pages: 13-26
- Section: DERMATOLOGY
- Submitted: 05.12.2023
- Accepted: 10.02.2024
- Published: 12.01.2024
- URL: https://rjsvd.com/1560-9588/article/view/624237
- DOI: https://doi.org/10.17816/dv624237
- ID: 624237
Cite item
Abstract
BACKGROUND: The most common diagnosis given to patients with chronic urticarial rashes is chronic spontaneous urticaria (prevalence in the population is 0.1–1.4%). However, similar symptoms can also be observed in other rarer diseases: urticarial vasculitis, hypocomplementemic urticarial vasculitis syndrome, cryopyrine-associated syndromes and Schnitzler's syndrome.
AIM: to analyze the clinical features and histological characteristics of skin biopsies in patients with chronic urticarial rashes to optimize the management and improve differential diagnosis.
MATERIALS AND METHODS: At a retrospective stage, 9 patients with chronic urticarial rashes and a histological examination were selected from the archival data of the Clinic of Skin and venereal fiseases named after V.A. Rakhmanov Sechenov University from January 2019 to April 2022. Prospective patient recruitment was from January 2022 to September 2023 and included 11 patients who underwent skin biopsy. Data obtained from the analysis of demographic characteristics are presented as median and interquartile range. Histological parameters were assessed by qualitative and quantitative methods.
RESULTS: The study included 20 patients (16 women and 4 men) aged 23 to 63 years, 36.5. Depending on the clinical and histological characteristics, the patients were divided into three groups: 9 patients with chronic spontaneous urticaria, disease duration from 2 to 132 months, 24 months [18; 33]; 9 patients were diagnosed with urticarial vasculitis, the duration ranged from 7 to 180 months, 30 [24; 84]. There were 2 patients diagnosed with hypocomplementemic urticarial vasculitis syndrome; the duration of the disease was 24 months. Clinically, chronic spontaneous urticaria was distinguished by a shorter duration of the disease and a shorter duration of existence of individual elements. Standard or increased doses of antihistamines were effective in five patients with chronic spontaneous urticaria. In addition, patients with chronic spontaneous urticaria also had atypical signs of rashes, which indicates a transition group between chronic spontaneous urticaria and urticarial vasculitis. In patients with urticarial vasculitis and hypocomplementemic urticarial vasculitis syndrome, clinical features such as longer duration of blistering, burning and soreness, residual hyperpigmentation, and resistance to antihistamine therapy were more often observed. When conducting a histological examination, the main histological features for urticarial vasculitis were leukocytoclasia, fibrin deposits and damage to the vascular walls with fibrin deposition; fibrinoid necrosis was rarely visualized, which, in combination with the above features, was present in only two patients with hypocomplementemic urticarial vasculitis syndrome.
CONCLUSION: This study presents the results of our own observations, analysis of the clinical and histological characteristics of patients with various diseases (chronic spontaneous urticaria, urticarial vasculitis, hypocomplementemic urticarial vasculitis syndrome). The results obtained may be useful for optimizing the differential diagnosis of diseases accompanied by urticarial rashes.
Full Text
BACKGROUND
Chronic urticarial rashes are observed in 0.1% to 1.4% of the general population [1]. The most common diagnosis in patients with urticarial rashes persisting for more than six weeks is chronic spontaneous urticaria (CSU), a disease associated with mast cell degranulation, characterized by recurrent pruritic blisters and/or angioedema [2]. CSU is associated with a significant burden on both the patient and society [3]. However, chronic urticarial rashes may be seen in other, rarer disorders, including urticarial vasculitis (UV), Schnitzler syndrome, and cryopyrin-associated periodic syndromes (CAPS). Urticarial vasculitis is characterized by recurring urticarial rashes with a morphological pattern of leukocytoclastic vasculitis [4–7]. A rare nosologic form of UV is hypocomplementemic urticarial vasculitis syndrome (HUVS), which is diagnosed on the basis of a combination of urticarial rashes, systemic clinical symptoms, and hypocomplementemia in laboratory tests [8].
Fig. 1. Typical urticarial rash in a patient with chronic spontaneous urticaria.
Fig. 2. Resolving urticarial rashes with the formation of hemosiderin staining in a patient with urticarial vasculitis.
The differential diagnosis of chronic urticarial rashes is frequently challenging in clinical practice. In accordance with Russian and foreign guidelines, CSU is diagnosed when episodes of urticarial rashes accompanied by pruritus persist for more than six weeks in the absence of a triggering factor and resolve without residual symptoms for up to 24 hours [2, 9] (Figure 1). The diagnosis of UV, which is characterized by urticarial rashes lasting more than 24 hours, accompanied by burning and soreness, residual hyperpigmentation and/or palpable purpura, combined with systemic manifestations of fever, arthralgia and malaise, necessitates a skin biopsy [10] (Figure 2). The combination of chronic urticaria and hypocomplementemia with at least two secondary criteria, including leukocytoclastic vasculitis on histologic examination, arthralgia or arthritis, glomerulonephritis, uveitis or episcleritis, abdominal pain, and the presence of anti-Clq antibodies, results in the diagnosis of HUVS [8]. CAPS is diagnosed based on the detection of a CIAS1 gene mutation [11]. The Strasbourg criteria are currently used for the diagnosis of Schnitzler syndrome. They comprise two mandatory criteria — chronic urticarial rashes and monoclonal IgM- or IgG-gammapathy — and four additional criteria, including recurrent fever, bone remodeling disorder, neutrophil infiltration of the skin on biopsy and leukocytosis (neutrophilia) at a level of 10,000/mm3, and/or C-reactive protein levels above 30 mg/L in the blood [12] (Table 1).
Table 1. Differential diagnosis of diseases accompanied by urticarial rashes in adults
Diagnosis | Chronic spontaneous urticaria | Urticarial vasculitis | Hypocomplementemic urticarial vasculitis syndrome |
Incidence | 80%–90% | 2.3%–10% | Rare disease (0.5/100,000 population) |
Diagnostic criteria | Urticarial rashes without an established trigger for more than 6 weeks | Recurrent urticarial rashes. Histological features of leukocytoclastic vasculitis | Mandatory criteria (chronic urticaria and hypocomplementemia) + at least 2 secondary (leukocytoclastic vasculitis on histological examination, arthralgia or arthritis, glomerulonephritis, uveitis or episcleritis, abdominal pain; anti-Clq antibodies) |
Clinical criteria | Blister persists for < 24 h | Blister persists for > 24 h | |
Accompanied by pruritus | Accompanied by burning and soreness | ||
Disappears without residual effects | Resolved with hemosiderin hyperpigmentation | ||
Increased body temperature during the period of active rashes (rare) | General malaise, fever | Arthralgia, fever, polyneuropathy, uveitis, episcleritis, glomerulonephritis, and abdominal pain | |
Histological criteria | - | Leukoclasia | |
Increased number of mast cells in the dermis | Fibrinoid necrosis with vascular integrity disruption (rare) | Fibrinoid necrosis with vascular integrity disruption | |
- | Extravasation of red blood cells (rare) | ||
- | Damaged and swollen venule cells | ||
Perivascular cellular infiltrate with admixture of lymphocytes, neutrophils, and eosinophils | Perivascular cellular infiltrate consisting predominantly of neutrophils and eosinophils | Perivascular cellular infiltrate consisting predominantly of neutrophils | |
The difficulties in differential diagnosis are also due to the heterogeneity of clinical and histologic manifestations, the presence of a transitional group of patients, and an incomplete understanding of the pathogenesis of these diseases. Furthermore, the presence of all histologic criteria in one patient is extremely rare, which results in the diagnosis being often established on the basis of partial criteria. This can explain the discrepancies observed in studies on the incidence of UV. Furthermore, there is a lack of consensus regarding the classification of CSU, UV, and HUVS within the broader clinical and histologic spectrum of diseases accompanied by urticarial rashes. Thus, the study of clinical and morphological correlations in patients with urticarial rashes is of interest for understanding the pathogenetic features of individual diseases and, accordingly, optimizing differential diagnosis.
The study aimed to analyze the clinical features and histological characteristics of skin biopsy specimens in patients with chronic urticarial rashes to optimize the management protocol and improve the differential diagnosis of diseases with urticarial rashes in the clinical practice of dermatologists, allergists-immunologists, and rheumatologists.
MATERIAL AND METHODS
Study design
The study included 2 stages: an observational single-center retrospective study and an observational multicenter prospective study.
Eligibility сriteria
Inclusion criteria. The study included patients with chronic urticarial rashes who were indicated for histological examination. According to contemporary foreign and Russian guidelines, biopsy of urticarial elements is performed according to strict indications, which include the long-term existence of individual rashes (more than 24 hours), a burning sensation and pain, and residual phenomena in the form of hyperpigmentation and/or palpable purpura.
Non-inclusion criteria. The study did not include patients with acute urticaria and patients with chronic urticarial rashes who did not undergo histological examination.
Study setting
The retrospective stage of the study was carried out at the Clinic for Skin and Venereal Diseases named after V.A. Rakhmanov of Sechenov University. The prospective recruitment of patients was conducted at the Clinic for Skin and Venereal Diseases named after V.A. Rakhmanov of Sechenov University, the Moscow City Research and Practice Center of Allergology and Immunology of the State Budgetary Institution of Healthcare City Clinical Hospital No. 52 of the Moscow Department of Healthcare, and the Federal State Budgetary Scientific Institution V.A. Nasonova Research Institute of Rheumatology.
Study duration
Retrospective clinical data was obtained from the archive of the Clinic for Skin and Venereal Diseases named after V.A. Rakhmanov of Sechenov University from January 2019 to April 2022. The morphological material was obtained from the archive of the Institute of Clinical Morphology and Digital Pathology of Sechenov University.
The prospective phase of the study was conducted from January 2022 to September 2023. Skin biopsies of patients with urticarial rashes were performed at the Clinic for Skin and Venereal Diseases named after V.A. Rakhmanov of Sechenov University, the Moscow City Research and Practice Center of Allergology and Immunology of the State Budgetary Institution of Healthcare City Clinical Hospital No. 52 of the Moscow Department of Healthcare, and the Federal State Budgetary Scientific Institution V.A. Nasonova Research Institute of Rheumatology.
Intervention description
Histological examination was performed before the administration of biological and hormonal therapy. Histological material for the study was obtained from the blister, existing for less than 24 hours, under local anesthesia with a 2% lidocaine hydrochloride solution. The material was then fixed in 10% neutral buffered formalin solution. The fixation and histological embedding of the material were performed according to a standard protocol. Subsequently, serial paraffin sections with a thickness of 4–5 μm were prepared. The obtained skin biopsy specimens were stained with hematoxylin-eosin and toluidine blue. Neutrophils, eosinophils, and mast cells were counted at 400x magnification in five fields of view using a Zeiss Axio Lab.A1 microscope (Carl Zeiss TM, Germany).
Ethical review
The study was approved by the local ethics committee of Sechenov University (protocol No. 22–21, dated December 9, 2021) and by the local ethics committee of the State Budgetary Institution of Healthcare City Clinical Hospital No. 52 of the Moscow Department of Healthcare (protocol No. 02/0223, dated February 22, 2023).
Statistical analysis
The data obtained through the analysis of demographic characteristics is presented as a median and interquartile range.
Histological parameters were assessed qualitatively and quantitatively.
The degree of expression of leukocytoclasia, fibrin deposition, fibrinoid necrosis, damaged vessel walls, edema of the dermis and endothelial cells was assessed in points from 0 to 3. A score of 0 indicates the absence of a sign, while a score of 1 indicates a weakly expressed sing, a score of 2 indicates a moderately expressed sing, and a score of 3 indicates a strongly expressed sign. The number of eosinophils, neutrophils, and mast cells in skin biopsy specimens was evaluated according to the following criteria: a small number was defined as less than five cells per field of view, a moderate number was defined as five to ten cells per field of view, and a significant number was defined as more than ten cells per field of view.
RESULTS
Participant characteristics
At the first stage, archival data from the Clinic for Skin and Venereal Diseases named after V.A. Rakhmanov of Sechenov University from January 2019 to April 2022 was analyzed. A total of 70 patients with urticarial rashes were observed at the clinic, of whom 50 exhibited a chronic form. Nine of these patients underwent histologic examination. A total of 11 patients participated in the prospective phase of the study. Thus, 20 patients (16 women and 4 men) who underwent histologic examination of skin biopsy specimens were included in the clinical and histologic analysis. The age of patients ranged from 23 to 63 [26; 36.5] years (Table 2).
Table 2. Demographic characteristics of patients with urticarial rashes
Characteristics | Chronic spontaneous | Urticarial | Hypocomplementemic |
Gender, female/male | 9/0 | 6/3 | 1/1 |
Age, years, Me | 25–61 36 [25; 37] | 23–60 30.5 [26; 48] | 41.63 |
Disease duration, months, Me | 2–132 24 [18; 33] | 7–180 30 [24; 84] | 24 |
Primary findings
The study included 20 patients with chronic urticarial rashes. Blisters were accompanied by pruritus in 16 patients and burning and soreness in 10 patients. Residual phenomena in the form of hyperpigmentation or purpura upon resolution of rashes were observed in 10 patients. In 10 patients, individual elements existed for more than 24 hours, while in the other 10 patients, they resolved within a day.
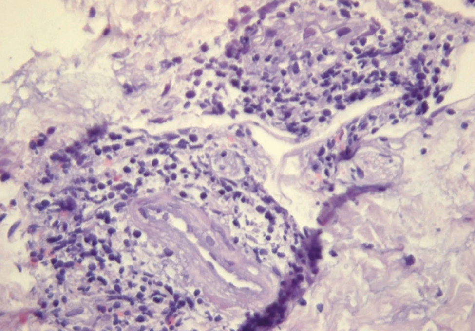
A skin biopsy was conducted in all patients to differentiate between CSU and UV. Upon histological examination, the signs of UV, including leukocytoclasia, fibrinoid necrosis, and erythrocyte extravasation, were identified in 11 patients, leading to a diagnosis of UV (Figure 3, 4).
Fig. 3. Histological picture of urticarial vasculitis with signs of severe neutrophil infiltration, leukocytoclasia and fibrinoid necrosis. Hematoxylin-eosin staining, ×200.
Fig. 4. Histological picture of urticarial vasculitis with signs of neutrophilic infiltration and leukocytoclasia. Hematoxylin-eosin staining, ×400.
Accordingly, patients were classified into three groups based on their clinical and histologic characteristics: CSU (n = 9), with a disease duration ranging from 2 to 132 months, with a median of 24 months (18–33); UV (n = 9), with a disease duration ranging from 7 to 180 months, with a median of 30 months (24–84); and HUVS (n = 2), with a disease duration of 24 months.
Clinical and histological characteristics. In the cohort of patients with CSU, urticarial rashes were accompanied by pruritus in nine patients and angioedema in the facial area in four patients. The duration of urticarial elements was less than 24 hours in four cases. However, the patients exhibited atypical characteristics for CSU, including the presence of elements for more than 24 hours (in four cases), burning sensation/pain (in three cases), hemosiderin staining at rash resolution (in four cases), and fever up to 39 °C (in one case) (Table 3). Consequently, the patients underwent skin biopsy. A histological examination of patients with CSU revealed fibrin deposition in the vascular wall (in two cases) and erythrocyte extravasation (in two cases). Leukocytoclasia and fibrinoid necrosis were not detected, and therefore the patients were diagnosed with CSU.
Table 3. Clinical characteristics of patients with urticarial rashes
Patient, | Gender | Age, | Disease | Skin symptoms | Systemic | Lack of | Associated diseases | UAS7 | Therapy provided | |||||
Blisters | Duration of | Pruritus | Burning | Residual | Angioedema | |||||||||
Chronic spontaneous urticaria | ||||||||||||||
1 | Ж | 31 | 60 | + | - | + | - | + | - | - | - | - | ND | Antihistamines |
2 | Ж | 25 | 24 | + | + | + | - | - | - | - | - | - | ND | Antihistamines |
3 | Ж | 37 | 132 | + | + | + | - | - | + | Fever, 39 ºС | + | Autoimmune gastritis, celiac disease, | ND | Omalizumab |
4 | Ж | 26 | 18 | + | + | + | - | - | + | - | - | - | 28 | Antihistamines |
5 | Ж | 36 | 3 | + | + | + | + | + | - | - | - | - | 2 | Antihistamines |
6 | Ж | 37 | 2 | + | - | + | - | + | + | - | + | - | 25 | Omalizumab |
7 | Ж | 61 | 24 | + | - | + | - | + | - | - | - | - | ND | Antihistamines |
8 | Ж | 37 | 21 | + | - | + | + | - | - | - | + | Autoimmune thyroiditis | 5 | Dexamethasone |
9 | Ж | 26 | 33 | + | - | + | + | - | + | - | + | - | 9 | Omalizumab |
Urticarial vasculitis | ||||||||||||||
10 | Ж | 47 | 24 | + | + | + | - | - | + | Fever | + | - | ND | Prednisolone, dapsone |
11 | M | 48 | 120 | + | - | + | - | - | + | - | + | - | ND | Omalizumab |
12 | Ж | 49 | 180 | + | + | + | + | + | - | Arthralgia, neuropathy | - | - | ND | Antihistamines |
13 | Ж | 24 | 7 | + | + | + | - | - | - | - | + | - | ND | Methylprednisolone, methotrexate |
14 | Ж | 34 | 60 | + | - | - | + | + | - | - | + | - | 7 | Prednisolone |
15 | Ж | 23 | 84 | + | - | + | - | - | + | - | + | - | 11 | Prednisolone |
16 | Ж | 26 | 9 | + | - | - | + | + | + | - | + | Chronic thyroiditis | 13 | Omalizumab, dexamethasone |
17 | М | 27 | 30 | + | - | + | - | - | + | Fever | + | - | ND | Prednisolone, omalizumab |
18 | М | 60 | 24 | + | + | - | + | + | + | - | + | - | 10 | Omalizumab |
Hypocomplementemic urticarial vasculitis syndrome | ||||||||||||||
19 | Ж | 41 | 24 | + | + | - | + | + | + | Arthralgia, fever, polyneuropathy | + | Systemic lupus erythematosus, Sjogren’s | 23 | Dexamethasone |
20 | M | 63 | 24 | + | + | + | + | + | + | Uveitis | + | Monoclonal gammopathy | 21 | Dexamethasone |
Note. М ― male sex; Ж ― female sex; НИ ― no information.
The urticarial rashes observed in patients with UV were characterized by burning and pain in four cases, with a duration exceeding 24 hours in four cases. Additionally, six patients exhibited concomitant angioedema in the neck, auricles, eyelids, and lips. Residual phenomena were noted in four cases following the resolution of the rashes. Resistance to standard and high doses of non-sedating antihistamines was observed in eight patients. Additionally, systemic manifestations were observed, including soreness (in one patient), swelling (in one patient), limitation of hand joint mobility (in one patient), neuropathy (in one patient), and fever (in two patients). In nine patients, hematoxylin-eosin staining of skin biopsy specimens revealed a combination of histological features of UV. These included leukocytoclasia (in eight patients), fibrin deposition (in eight patients), fibrinoid necrosis (in two patients), erythrocyte extravasation (in one patient), and vascular wall damage (in eight patients).
Two patients with HUVS had urticarial rashes accompanied by burning and soreness, as well as angioedema of the hands and facial skin. The urticaria resolved after 24 hours, leaving foci of hyperpigmentation. One patient exhibited anterior uveitis, a condition marked by involvement of the iris and ciliary body, accompanied by ocular discomfort, blurred vision, photophobia, and iris color alteration. At histological examination of skin biopsy specimens, leukocytoclasia was observed in two patients, along with marked fibrinoid necrosis with fibrin deposits in the vessel wall (in two patients) and moderate vascular wall destruction (in two patients) (Table 4).
Table 4. Data obtained from a histological examination of skin biopsies of patients with urticarial rashes
Patients, No. | Leuko | Extravasation | Fibrinoid | Intravascular | Endothelial | Ectatic | Blurring of the | Dermal | Intravascular | Intravascular | Neutrophil | Eosinophil | Dermal | Dermal | Dermal |
Chronic spontaneous urticaria | |||||||||||||||
1 | 0 | 0 | 0 | 0 | 1 | 3 | 0 | 3 | 1 | 0 | 0 | 1 | 1 | 0 | 3 |
2 | 0 | 0 | 0 | 1 | 3 | 2 | 0 | 2 | 0 | 0 | 1 | 1 | 0 | 0 | 1 |
3 | 0 | 0 | 0 | 0 | 1 | 2 | 0 | 3 | 0 | 0 | 1 | 1 | 0 | 1 | 2 |
4 | 0 | 0 | 0 | 0 | 1 | 3 | 1 | 3 | 0 | 0 | 0 | 0 | 1 | 0 | 3 |
5 | 0 | 0 | 0 | 0 | 1 | 2 | 0 | 3 | 0 | 0 | 0 | 0 | 0 | 0 | 1 |
6 | 0 | 0 | 0 | 0 | 1 | 1 | 0 | 1 | 0 | 0 | 0 | 1 | 1 | 0 | 2 |
7 | 0 | 1 | 0 | 1 | 1 | 0 | 1 | 1 | 1 | 0 | 0 | 0 | 1 | 0 | 3 |
8 | 0 | 1 | 0 | 0 | 1 | 2 | 0 | 2 | 0 | 0 | 0 | 0 | 0 | 1 | 0 |
9 | 0 | 0 | 0 | 0 | 1 | 3 | 0 | 3 | 0 | 0 | 0 | 1 | 1 | 0 | 3 |
Urticarial vasculitis | |||||||||||||||
10 | 1 | 1 | 0 | 2 | 1 | 1 | 1 | 1 | 3 | 1 | 1 | 1 | 2 | 1 | 1 |
11 | 3 | 0 | 3 | 3 | 1 | 3 | 1 | 3 | 1 | 1 | 1 | 1 | 2 | 3 | 2 |
12 | 3 | 0 | 3 | 3 | 3 | 3 | 3 | 3 | 2 | 0 | 1 | 1 | 3 | 1 | 1 |
13 | 3 | 0 | 3 | 3 | 3 | 3 | 3 | 2 | 1 | 2 | 3 | 3 | 1 | 1 | |
14 | 3 | 0 | 0 | 3 | 3 | 3 | 3 | 3 | 3 | 2 | 3 | 3 | 3 | 3 | 1 |
15 | 1 | 0 | 0 | 1 | 1 | 1 | 1 | 1 | 1 | 1 | 1 | 3 | 1 | 3 | 0 |
16 | 1 | 0 | 0 | 1 | 1 | 2 | 1 | 1 | 1 | 1 | 1 | 0 | 2 | 1 | 1 |
17 | 1 | 0 | 0 | 0 | 1 | 1 | 1 | 1 | 1 | 0 | 2 | 3 | 1 | 0 | 1 |
18 | 1 | 1 | 0 | 0 | 1 | 1 | 1 | 2 | 0 | 2 | 1 | 2 | 1 | 1 | 1 |
Hypocomplementemic urticarial vasculitis syndrome | |||||||||||||||
19 | 1 | 0 | 3 | 3 | 1 | 1 | 1 | 2 | 3 | 1 | 3 | 1 | 3 | 3 | 1 |
20 | 3 | 0 | 1 | 3 | 1 | 2 | 1 | 3 | 1 | 0 | 3 | 1 | 3 | 3 | 1 |
Analysis of cellular infiltrate in skin biopsy specimens. In the case of CSU, neutrophils and eosinophils were observed in insignificant quantities. Of these, intravascular neutrophils were observed in two cases, while intravascular eosinophils were absent. In the perivascular infiltrate, eosinophils were slightly more common (in five patients) than neutrophils (in two patients). Conversely, neutrophils were more frequently observed in the dermis (in five patients) than eosinophils (in two patients).
Both neutrophils and eosinophils were observed in skin biopsy specimens of patients with UV, both within the perivascular infiltrate and in the dermis. Within the dermal vessels, neutrophils were observed in small, moderate, and significant numbers in four, two, and two patients, respectively. Similarly, eosinophils were present within the vessels in small and moderate numbers in five and two patients, respectively. In the perivascular infiltrate, neutrophils were observed in small, moderate, and significant quantities in six, two and one patient, respectively, and eosinophils were observed in small, moderate, and significant quantities in three, one and four patients, respectively. In the dermis, neutrophils were observed in small (in three patients), moderate (in three patients), and significant (in three patients) quantities, whereas eosinophils were observed in small (in five patients) and significant (in three patients) quantities.
A marked neutrophilic cellular infiltrate was observed in two patients with HUVS. Neutrophils were present in significant numbers within the vessels (in one patient) and perivascular infiltrate (in two patients), while eosinophils within the vessels and perivascular infiltrate were noted in small amounts (in one and two patients, respectively). However, in the dermis, both neutrophils and eosinophils were visualized in significant numbers (in two patients).
Analysis of the number of mast cells in the dermis. Mast cells in the dermis were detected by toluidine blue staining in 18 patients with chronic urticarial rashes. In patients with CSU, mast cell accumulation was observed in small (in 2 patients), moderate (in 2 patients), and significant (in 4 patients) amounts, whereas in patients with UV, the number of mast cells was small (in 7 patients) and moderate (in 1 patient).
Therapy. Notably, four out of nine patients with CSU, eight out of nine patients with UV, and all patients with HUVS exhibited resistance to increased doses of non-sedative antihistamines (i.e., no effect of double and quadruple doses of antihistamines). In this context, six patients were treated with the biological drug omalizumab. Additionally, glucocorticosteroids were used in eight patients, with one case involving their combination with dapsone.
Adverse events
No adverse events were observed during the study.
DISCUSSION
Summary of the primary study results
This study presents the results of our own observations and analysis of clinical and histological features of patients with various diseases accompanied by urticarial rashes (CSU, UV, HUVS). The results obtained characterize the clinical experience of doctors of various specialties, including dermatologists, allergists-immunologists, and rheumatologists.
CSU was clinically characterized by a shorter duration of the disease and a shorter time of existence of separate elements. Standard or increased doses of antihistamines were effective in five of nine patients with CSU. Additionally, atypical signs of rashes were observed in patients with CSU, indicating a transitional group between CSU and UV.
Patients with UV and HUVS were significantly more likely to demonstrate clinical features such as prolonged blister duration, burning sensation and soreness, residual hyperpigmentation, and resistance to antihistamine therapy. Histological examination revealed that the main histological features for UV were leukocytoclasia, fibrin deposition, and vascular wall damage with fibrin deposition. Fibrinoid necrosis was rarely observed, and in combination with the aforementioned features, was present only in two patients with HUVS.
Perivascular and dermal neutrophil infiltration was insignificant in CSU, moderate in UV, and pronounced in HUVS. On the contrary, mast cells in moderate and significant amounts were much more frequent in CSU and in insignificant amounts in UV and HUVS.
Discussion of the primary study results
The differential diagnosis of urticarial rashes is of interest to physicians and researchers of various specialties, as it provides insight into the clinical and histologic characteristics of patients with this pathology. The data summarizes the interdisciplinary clinical experience of three institutions in working with patients with chronic urticarial rashes. This is a valuable resource for dermatologists, allergologists-immunologists, rheumatologists, and pathologists’ clinical practice.
Our study indicates that the clinical differences between diseases accompanied by vascular involvement (UV and HUVS) include the duration of urticarial rashes, the presence of burning and soreness, residual phenomena, and systemic manifestations such as fever, arthralgia, and neuropathy. These findings are consistent with the results of a recent international prospective study [13]. Our study indicates that eight out of nine patients with established UV and all patients with HUVS were resistant to antihistamine therapy. However, given the indications for biopsy only in patients with atypical urticarial rashes, patients in the CSU group in our study may be classified as having a transitional form between CSU and UV, as previously described by R.R. Jones et al. [14].
The histological criteria for differential diagnosis have been widely studied over the past decades. A statistical analysis conducted by scientists from the Charité Clinic (Berlin, Germany) identified three key differentiation criteria, including leukoclasia, erythrocyte extravasation, and fibrinoid necrosis and/or fibrin deposition in the vascular wall [15]. These findings align with the results of our study. However, erythrocyte extravasation has also been observed in patients with CSU, potentially due to microvessel traumatization during skin biopsy.
In addition to the main histological criteria, the study of cellular infiltrate is of interest. The literature describes correlations with eosinophilic infiltrate and clinical indicators of greater severity in patients with urticaria [16]. Furthermore, there is data on the presence of hemosiderin hyperpigmentation in perivascular and interstitial infiltrate consisting of neutrophils, eosinophils, and lymphocytes in patients with CSU [17]. Our data indicates that patients with CSU exhibited perivascular and interstitial infiltrates of eosinophils and neutrophils, suggesting the presence of a transitional group described in the study by R.R. Jones et al. [14]. This group was characterized by a dense perivascular infiltrate comprising mononuclear cells with a notable admixture of neutrophils and eosinophils, accompanied by minimal leukocytoclasia in the absence of other signs of vasculitis.
The study conducted by H. Bonnekoh et al. [18] indicated that neutrophilic infiltrates in skin samples were less pronounced in CSU and more pronounced in Schnitzler syndrome, with the formation of neutrophilic extracellular traps. Our data suggests that neutrophil infiltration, both perivascular and in the dermis, may also occur in patients with CSU, but these changes are more pronounced in patients with UV and HUVS.
The data obtained by counting mast cells, which play a key role in the formation of urticarial rashes, is noteworthy. A higher number of mast cells was more typical in patients with CSU, but they were absent in two patients. This may be associated with the degranulation process, which requires additional staining with special dyes and immunohistochemical examination. For example, immunohistochemical analysis in a previous study showed a three-fold increase in mast cells in skin samples from patients with CSU [19].
Clinical and histological correlations are important for optimizing the differential diagnosis of diseases accompanied by urticarial rashes. Significant clinical features of diseases with vascular involvement are resistance to high-dose antihistamine therapy, the duration of rashes, residual phenomena at their resolution, subjective sensations of burning and soreness, and systemic symptoms. Histologic features include leukoclasia, fibrin deposition in the vascular wall and/or fibrinoid necrosis, and a dense perivascular and interstitial neutrophilic and eosinophilic infiltrate in urticarial diseases accompanied by lesions of dermal microvessels (UV, HUVS). However, the issue of standardization of histological criteria, as well as additional criteria for the indication of histological examination, remains unresolved. In the differential diagnosis of diseases accompanied by urticarial rashes, a skin biopsy is of diagnostic value in patients with atypical characteristics of urticarial rashes. The necessity of a skin biopsy in patients with CSU in case of resistance to therapy with non-sedative antihistamines requires further investigation.
Study limitations
The study limitations include the inclusion of CSU patients with atypical urticarial rashes in the histologic analysis, in accordance with the indications for histologic examination in clinical practice. Consequently, it is challenging to assess the changes in the skin associated with typical CSU rashes. Furthermore, this study is limited by the use of semi-quantitative scales to assess the composition of the cellular infiltrate in skin biopsy specimens and the lack of assessment of the severity of urticarial rashes using clinical indices in the retrospective material. The findings have value for clinical practice and further mechanistic research, given the multicenter and multidisciplinary nature of the study, as well as the inclusion of rare medical conditions in the comparative analysis of urticarial rashes.
CONCLUSIONS
The differential diagnosis of chronic urticarial rashes represents a significant interdisciplinary challenge, given the considerable heterogeneity observed in both the clinical symptoms and histologic characteristics of these diseases. However, the clinical differences between UV and CSU included the duration of urticarial rashes, the presence of burning, soreness, and systemic manifestations. Histological findings more characteristic of UV included leukocytoclasia, fibrin deposition, and a dense neutrophilic infiltrate. In contrast, CSU was characterized by the absence of leukocytoclasia, as well as damaged vessels and fibrin accumulation, which were rarely observed. Neutrophils in perivascular infiltrates were present in low quantities, and mast cells were more frequently observed.
In histologic examination, the choice of generally accepted histologic criteria remains an important issue, as well as the use of international diagnostic criteria to verify the diagnosis of rare urticarial diseases associated with damage to the skin microvascular wall.
A promising area for further research of diseases accompanied by urticarial rashes is the role of effector cells in the pathogenesis of urticarial rash formation and vascular damage. Additionally, there is a need to identify novel biomarkers for differential diagnosis using cutting-edge genomic and post-genomic technologies.
ADDITIONAL INFORMATION
Funding source. This study was not supported by any external sources of funding.
Competing interests. The authors declare that they have no competing interests.
Authors’ contribution. All authors made a substantial contribution to the conception of the work, acquisition, analysis, interpretation of data for the work, drafting and revising the work, final approval of the version to be published and agree to be accountable for all aspects of the work. O.Yu. Olisova, E.Yu. Borzova ― development of the study protocol; E.Yu. Borzova, K.S. Teplyakova ― writing a manuscript; V.A. Smolyannikova ― analysis of histological samples, revision of the manuscript; N.M. Kashakanova, A.V. Ershov, D.V. Andzhelova ― revision of the manuscript; S.O. Salugina, A.V. Torgashina, D.S. Fomina, E.V. Kovalkova ― recruitment of patients, revision of the manuscript; N.V. Zharkov ― preparation of histological samples; A.V. Filatov ― photo documentation of histological samples; O.Yu. Olisova, E.Yu. Borzova, K.S. Teplyakova ― data analysis.
About the authors
Olga Yu. Olisova
The First Sechenov Moscow State Medical University (Sechenov University)
Email: olisovaolga@mail.ru
ORCID iD: 0000-0003-2482-1754
SPIN-code: 2500-7989
MD, Dr. Sci. (Med.), Professor, Corresponding member of the Russian Academy of Sciences
Russian Federation, 4/1 Bolshaya Pirogovskaya street, 119991 MoscowKseniya S. Teplyakova
The First Sechenov Moscow State Medical University (Sechenov University)
Author for correspondence.
Email: hvpvea@gmail.com
ORCID iD: 0000-0002-0428-5627
SPIN-code: 5983-9344
Russian Federation, 4/1 Bolshaya Pirogovskaya street, 119991 Moscow
Vera A. Smolyannikova
The First Sechenov Moscow State Medical University (Sechenov University)
Email: smva@bk.ru
ORCID iD: 0000-0002-7759-5378
SPIN-code: 1953-6595
MD, Dr. Sci. (Med.), Professor
Russian Federation, 4/1 Bolshaya Pirogovskaya street, 119991 MoscowNatalia M. Kashakanova
The First Sechenov Moscow State Medical University (Sechenov University)
Email: kashakanova_n_m@staff.sechenov.ru
Russian Federation, 4/1 Bolshaya Pirogovskaya street, 119991 Moscow
Anton V. Ershov
The First Sechenov Moscow State Medical University (Sechenov University); Federal Research and Clinical Center of Intensive Care Medicine and Rehabilitology
Email: salavatprof@mail.ru
ORCID iD: 0000-0001-5758-8552
SPIN-code: 2059-3248
MD, Dr. Sci. (Med.), Professor
Russian Federation, 4/1 Bolshaya Pirogovskaya street, 119991 Moscow; МоскваDiana V. Andzhelova
M.M. Krasnov Research Institute of Eye Diseases
Email: andgelova@mail.ru
ORCID iD: 0000-0003-2102-2260
SPIN-code: 6789-7150
MD, Dr. Sci. (Med.)
Russian Federation, МоскваSvetlana O. Salugina
V.A. Nasonova Research Institute of Rheumatology
Email: pafon1@yandex.ru
ORCID iD: 0000-0003-3689-431X
SPIN-code: 8637-6638
MD, Dr. Sci. (Med.)
Russian Federation, MoscowAnna V. Torgashina
V.A. Nasonova Research Institute of Rheumatology
Email: anna.torgashina@gmail.com
ORCID iD: 0000-0001-8099-2107
SPIN-code: 8777-2790
MD, Cand. Sci. (Med.)
Russian Federation, MoscowDaria S. Fomina
The First Sechenov Moscow State Medical University (Sechenov University); Moscow City Hospital 52; Astana Medical University
Email: daria_fomina@mail.ru
ORCID iD: 0000-0002-5083-6637
SPIN-code: 3023-4538
MD, Cand. Sci. (Med.), Associated Professor
Russian Federation, 4/1 Bolshaya Pirogovskaya street, 119991 Moscow; Moscow; Astana, KazakhstanAndrey V. Filatov
The First Sechenov Moscow State Medical University (Sechenov University)
Email: patholog@list.ru
ORCID iD: 0000-0002-7190-1389
SPIN-code: 1033-7031
MD, Cand. Sci. (Med.)
Russian Federation, 4/1 Bolshaya Pirogovskaya street, 119991 MoscowNikolay V. Zharkov
The First Sechenov Moscow State Medical University (Sechenov University)
Email: nickzharkov@mail.ru
ORCID iD: 0000-0001-7183-0456
SPIN-code: 8812-9731
Cand. Sci. (Biol.)
Russian Federation, 4/1 Bolshaya Pirogovskaya street, 119991 MoscowElena V. Kovalkova
Moscow City Hospital 52
Email: kovalkova@ya.ru
ORCID iD: 0000-0002-1212-3767
SPIN-code: 3078-0976
Russian Federation, Moscow
Elena Yu. Borzova
The First Sechenov Moscow State Medical University (Sechenov University)
Email: eborzova@gmail.com
ORCID iD: 0000-0003-1587-9137
SPIN-code: 4779-7664
MD, Dr. Sci. (Med.), Professor
Russian Federation, 4/1 Bolshaya Pirogovskaya street, 119991 MoscowReferences
- Fricke J, Ávila G, Keller T, et al. Prevalence of chronic urticaria in children and adults across the globe: Systematic review with meta-analysis. Allergy. 2020;75(2):423-432. EDN: TVBISP doi: 10.1111/all.14037
- Zuberbier T, Aberer W, Asero R, et al. The EAACI/GA²LEN/EDF/WAO guideline for the definition, classification, diagnosis and management of urticaria. Allergy. 2018;73(7):1393-1414. EDN: YCCVNB doi: 10.1111/all.13397
- Gonçalo M, Gimenéz-Arnau A, Al-Ahmad M, et al. The global burden of chronic urticaria for the patient and society. Br J Dermatol. 2021;184(2):226-236. EDN: YLXKFV doi: 10.1111/bjd.19561
- Natbony SF, Phillips ME, Elias JM, et al. Histologic studies of chronic idiopathic urticaria. J Allergy Clin Immunol. 1983;71(2):177-183. doi: 10.1016/0091-6749(83)90096-9
- Peteiro C, Toribio J. Incidence of leukocytoclastic vasculitis in chronic idiopathic urticaria. Study of 100 cases. Am J Dermatopathol. 1989;11(6):528-533. doi: 10.1097/00000372-198912000-00003
- Tosoni C, Lodi-Rizzini F, Cinquini M, et al. A reassessment of diagnostic criteria and treatment of idiopathic urticarial vasculitis: A retrospective study of 47 patients. Clin Exp Dermatol. 2009;34(2):166-170. doi: 10.1111/j.1365-2230.2008.02891.x
- García-García B, Aubán-Pariente J, Munguía-Calzada P, et al. Development of a clinical-dermoscopic model for the diagnosis of urticarial vasculitis. Sci Rep. 2020;10(1):6092. EDN: HTKXZS doi: 10.1038/s41598-020-63146-w
- Schwartz HR, McDuffie FC, Black LF, et al. Hypocomplementemic urticarial vasculitis: association with chronic obstructive pulmonary disease. Mayo Clin Proc. 1982;57(4):231-238.
- Danilicheva IV, Ilina NI, Luss LV, et al. Federal clinical recommendations. Urticaria. Updated, 2018. Russian Journal of Allergy. 2018;15(5):47-62. EDN: FDZOIW
- Olisova OY, Karamova AE, Znamenskaya LF, et al. Federal clinical recommendations for the management of patients with skin-restricted vasculitis. Moscow; 2015. 21 р. (In Russ). EDN: YQEIGJ
- Wakhlu A, Agarwal V, Saraswat A, Lachmann H. Muckle-Wells syndrome: A rare hereditary cryopyrin-associated periodic syndrome. Int J Rheum Dis. 2017;20(11):1873-1875. doi: 10.1111/1756-185X.12710
- Salugina SO, Gorodetsky VR, Fedorov ES, et al. Schnitzler syndrome: A review of literature, the authors’ observation, and experience with the interleukin-1 inhibitor canakinumab. Ther Arch. 2017;89(11):111-115. EDN: ZWOSSH doi: 10.17116/terarkh20178911111-115
- Bonnekoh H, Jelden-Thurm J, Allenova A, et al. Urticarial vasculitis differs from chronic spontaneous urticaria in time to diagnosis, clinical presentation, and need for anti-inflammatory treatment: An International Prospective UCARE Study. J Allergy Clin Immunol Pract. 2023;11(9):2900-2910.e21. doi: 10.1016/j.jaip.2023.06.030
- Jones RR, Bhogal B, Dash A, Schifferli J. Urticaria and vasculitis: A continuum of histological and immunopathological changes. Br J Dermatol. 1983;108(6):695-703. doi: 10.1111/j.1365-2133.1983.tb01082.x
- Puhl V, Bonnekoh H, Scheffel J, et al. A novel histopathological scoring system to distinguish urticarial vasculitis from chronic spontaneous urticaria. Clin Transl Allergy. 2021;11(2):e12031. doi: 10.1002/clt2.12031
- Marques RZ, Criado RF, Machado CF, et al. Correlation between the histopathology of chronic urticaria and its clinical picture. An Bras Dermatol. 2016;91(6):760-763. doi: 10.1590/abd1806-4841.20165066
- Batista M, Calado R, Gil F, et al. Histopathology of chronic spontaneous urticaria with occasional bruising lesions is not significantly different from urticaria with typical wheals. J Cutan Pathol. 2021;48(8):1020-1026. doi: 10.1111/cup.13985
- Bonnekoh H, Scheffel J, Wu J, et al. Skin and systemic inflammation in Schnitzler’s syndrome are associated with neutrophil extracellular trap formation. Front Immunol. 2019;10:546. doi: 10.3389/fimmu.2019.00546
- Kay AB, Ying S, Ardelean E, et al. Elevations in vascular markers and eosinophils in chronic spontaneous urticarial weals with low-level persistence in uninvolved skin. Br J Dermatol. 2014;171(3):505-511. doi: 10.1111/bjd.12991
Supplementary files







