Deverji's disease after COVID-19: Case report
- Authors: Olisova O.Y.1, Teplyuk N.P.1, Martynenko D.M.1, Dunaeva E.R.1, Grekova E.V.1
-
Affiliations:
- The First Sechenov Moscow State Medical University (Sechenov University)
- Issue: Vol 27, No 1 (2024)
- Pages: 91-102
- Section: DERMATOLOGY
- Submitted: 09.11.2023
- Accepted: 26.01.2024
- Published: 12.01.2024
- URL: https://rjsvd.com/1560-9588/article/view/623046
- DOI: https://doi.org/10.17816/dv623046
- ID: 623046
Cite item
Abstract
Deverji's disease is a rare idiopathic skin disease characterized by keratinization disorder and manifested in follicular hyperkeratosis, orange-red peeling plaques, palmar-plantar keratodermia with the possible development of erythroderma. The etiopathogenesis of this dermatosis is still unknown. There are such possible trigger factors as traumatization, ultraviolet radiation, taking certain medications, autoimmune and oncological diseases, bacterial or viral infection, vaccination. The presence of familial cases is due to a mutation in the CARD14 gene. Diagnosis of the disease is based on characteristic clinical symptoms. The histological picture has no pathognomonic features; however, a biopsy is necessary for differential diagnosis with other papulosquamous dermatoses. Treatment of Deverji's disease remains a difficult task, since the disease pathogenesis has not been fully studied.
The article describes a clinical case of Deverji's disease manifestation in a 64-year-old woman who had suffered COVID-19 infection twice. She was admitted to the Department of Dermatology and Venerology (Sechenov University) with complaints of skin rashes on her face, trunk, upper and lower extremities, accompanied by severe itching. The absence of any distinctive clinical and histological changes, the torpidity of the skin process and resistance to the therapy made it difficult to make a diagnosis. After the emergence of characteristic clinical symptoms (palmar-plantar keratodermia, salmon-tinged rashes with islands of healthy skin), as well as the results of repeated histological examination (alternating areas of ortho- and parakeratosis; uneven granular layer; vacuolization of basal cells; uneven broad acantholytic strands; loosened dermo-epidermal junction; small perivascular lymph-macrophage infiltrates) Deverji's disease was diagnosed.
The use of standard therapies (systemic glucocorticosteroid therapy, methotrexate, topical therapy) did not give any results, and therefore it was decided to initiate the netakimab. After 5 injections, the first positive results were obtained in the form of the color paling and a decrease in the number of rashes, palmar-plantar keratodermia regression and improvement of the patient psychoemotional state. After 11 injections, almost complete remission was achieved, and treatment was continued until all symptoms disappeared completely.
The article provides a literature review of the etiopathogenesis, clinical manifestations and treatment methods of Deverji's disease. The described clinical case is the fifth example in the world of the Deverji's disease manifestation after a COVID-19 infection, and is also the first case of the IL-17 inhibitor netakimab successful use for the disease treatment.
Keywords
Full Text
INTRODUCTION
General information
Pityriasis rubra pilaris, also known as Devergie disease, is a rare chronic inflammatory dermatosis. It is caused by keratinization disorders and is characterized by the presence of follicular hyperkeratotic papules that merge into flaky orange-red plaques, palm and plantar hyperkeratosis, and the potential development of erythroderma [1, 2].
The initial documentation of a patient presenting with rashes consistent with Devergie disease dates back to 1828, when a male patient was admitted to St. Bartholomew’s Hospital in London. At the time, the specific dermatological condition was unnamed. Seven years later, in 1835, the French dermatologist Claudius Tarral described this condition for the first time, characterizing it as a variant of psoriasis [3]. The term “pityriasis versicolor” was introduced 21 years later (in 1856) by dermatologist Marie-Guillaume-Alphonse Devergie, which resulted in the designation of the disease with the eponymous name [4]. Devergie article was published in the Daily Journal of Medicine and Surgery, in which he described three cases and emphasized that it was a distinct nosology and not a variant of psoriasis, despite the presence of similar features [4, 5].
Devergie disease is a rare condition, and there is no accurate statistical count of affected patients. It is estimated that approximately one in every five thousand patients seeking dermatologic care is affected. Devergie disease occurs equally in both genders and across all racial groups, and is characterized by two age peaks in the first and fifth decades of life [1, 6].
Etiology and pathogenesis
The pathophysiology and etiology of Devergie disease remain incompletely understood. The current scientific literature considers several potential triggers for the disease, including an association with autoimmune diseases (such as myasthenia gravis, autoimmune thyroiditis, celiac disease, and vitiligo) and malignant neoplasms (such as Merkel cell cancer, squamous cell cancer, adenocarcinoma, liver, larynx, and kidney cancer). Additionally, the following potential triggers have been identified: skin traumatization; ultraviolet radiation; medications, including kinase inhibitors and modern antiviral drugs for hepatitis C treatment; vaccination; and infections, particularly human immunodeficiency virus (HIV) [7–9]. Although the majority of cases of Devergie disease are sporadic, there are also instances where the condition manifests in a familial context. This genetically determined dermatosis is more prevalent in type V Devergie disease and can be inherited in either an autosomal dominant or autosomal recessive manner [10].
The autosomal dominant inheritance of Devergie disease is associated with a mutation in the CARD14 gene, which encodes the caspase-14 protein. Caspase-14 is involved in immune and inflammatory reactions and activates the NF-κB (nuclear factor κB) and MAPK (mitogen-activated protein kinase) signaling pathways, leading to the activation of the IL-23/Th17 pathway. This pathway plays a role in proliferation and apoptosis [10, 11].
Classification
In 1980, W.A. Griffiths proposed a classification of Devergie disease, which distinguishes five types based on the age of disease onset, clinical features, and prognosis [12]. In 1995, Miralles et al. [13] proposed a sixth type occurring in HIV-infected patients.
The most prevalent variant, occurring in over 50% of cases, is type I, which presents as the classic adult type. Lesions in this variant are typified by their propensity to progress to erythroderma, accompanied by pruritus. The initial lesions manifest acutely on the face, scalp, and upper half of the trunk, subsequently spreading to the lower trunk and extremities within a few weeks or months. The cutaneous process is characterized by the presence of follicular, conical, brick-red papules, which are located on an erythematous background and, in some instances, merge into plaques with a yellowish-orange tint and densely scaled surfaces. A distinctive feature is the islets of apparently healthy skin. In this type of Devergie disease, additional manifestations may include palm and plantar keratoderma with a yellowish-carrot coloration and nail lesions, including thickening, yellow-brown discoloration, and striation of the nail plates, as well as subungual hyperkeratosis. In cases where the face is affected for an extended period, ectropion may develop. The prognosis for the classical form of the disease is generally favorable, with complete remission occurring in approximately 80% of patients within three years [14, 15].
The atypical adult type II is less prevalent, occurring in only 5% of cases. It resembles vulgar ichthyosis, presenting with palm and plantar keratoderma of yellowish-orange coloration and lamellar desquamation. Additionally, hair thinning and complete baldness are potential outcomes. This type is distinguished by a chronic course exceeding 20 years, with less than 20% of patients exhibiting clinical resolution within three years [12].
The manifestation of Devergie disease in childhood and the relatively limited prevalence of rashes are typically observed in types III, IV, and V. The majority of familial cases of Devergie disease are type V and are associated with a mutation in the CARD14 gene [16].
Type VI Devergie disease, which is associated with HIV infection, presents with a wide range of clinical manifestations, frequent development of erythroderma, and a poor prognosis [17]. This type can occur along with conglobate acne, hidradenitis, and lichen spinulosus, which is an HIV-associated follicular syndrome [18].
Currently, there are only two articles in the open literature database describing clinical observations of Devergie disease after COVID-19 coronavirus infection (in a 28-year-old female and a 55-year-old female) [19, 20]. Moreover, two reports of Devergie disease manifestation in children (a 7-year-old and a 32-month-old) after COVID-19 were found [21, 22].
The association of Devergie disease following an acute infection was initially documented by Larregue et al. [23] in 1983, who proposed the identification of a novel subgroup of acute postinfectious Devergie disease, representing a distinct variant of type III. This variant is distinguished by the absence of a family history, occurrence after the first year of life, prior symptoms of the infectious process, and the absence of any clinical or laboratory abnormalities aside from those caused by the infection itself. Additionally, the sequential appearance of a scarlatina-like erythematous rash, follicular papules, and the subsequent manifestation of symptoms characteristic of the classic juvenile form of Devergie disease with a favorable prognosis and minimal tendency to relapse are notable features.
In 2009, Ferrándiz-Pulido et al. [24] proposed that postinfectious Devergie disease should be classified as a superantigen-mediated dermatosis. This classification was based on the clinical similarity of the prodromal scarlatina-like period with other superantigen-mediated skin diseases, including staphylococcal scalded skin syndrome, scarlatina, and Kawasaki disease. The presence of superantigenic capacity in the SARS-CoV-2 virus remains controversial in the scientific community and requires further study [25, 26].
Diagnosis
A diagnosis of Devergie disease is based on a comprehensive assessment of the patient’s symptoms and the results of a histologic examination of a biopsy of the affected skin. The distinctive pathological features of Devergie disease include enlarged hair follicles with horny plugs, irregular acanthosis with orthokeratosis and parakeratosis with a preserved granular layer (chessboard appearance), vacuolar degeneration of basal cells, and a lymphohistiocytic perivascular and perifollicular infiltrate [14].
Differential diagnosis of this disease should be made with such dermatoses as psoriasis, eczema, lichen spinulosus, ichthyosis, T-cell lymphoma, follicular form of red squamous lichen planus. If erythroderma develops, the differential diagnosis should be made with psoriatic erythroderma, toxicoderma, ichthyosiform erythroderma of Brocq, erythroderma in eczema and atopic dermatitis [1, 14, 27].
Treatment
The treatment of Devergie disease remains a significant challenge, as the underlying pathophysiology of this dermatosis remains unclear and there is a lack of updated evidence-based guidelines. Consequently, the prescription of therapy is frequently based on isolated successful clinical observations. Notwithstanding the potential for spontaneous remission, systemic retinoid therapy (acitretin, isotretinoin) is regarded as the primary treatment modality. Cytostatics (methotrexate) and immunosuppressants (cyclosporine and azathioprine) are also potential therapeutic options, and genetically engineered biological therapy, specifically tumor necrosis factor (TNF-α) inhibitors (infliximab, etanercept, and adalimumab), is increasingly being considered as an alternative approach [28–30]. For limited eruptions, salicylic acid ointment (2%), pimecrolimus (cream, 1%), calcipotriol, topical glucocorticoids in combination with salicylic acid may be used [1, 8, 31, 32]. The use of phototherapy, especially in combination with systemic retinoids, is also discussed; however, the results of such studies are controversial and require further study of the issue [14, 33].
A clinical observation of Devergie disease developed after COVID-19 infection is presented as an illustration.
CASE DESCRIPTION
Patient information
A 64-year-old female patient A. presented at the Clinic for Skin and Venereal Diseases named after V.A. Rakhmanov with complaints of pruritic rashes on the face, trunk, upper extremities, and lower extremities. The rashes appeared in early June 2022, coinciding with a mild COVID-19 infection.
Anamnesis morbi. The initial rashes occurred on June 27, 2022, when the patient observed a single lesion on her face in the region of the right temple. It subsequently increased in size, and within a month, the dermatological process disseminated to the entire face. On July 28, 2022, after consuming a small amount of alcohol to celebrate her daughter’s birthday, the patient noticed an abrupt worsening of the dermatological process, with rashes appearing on her chest and shoulders. The patient independently used intramuscular injections of calcium gluconate, antihistamines, Akriderm GK ointment, and dermatoprotector (suspension) Cindol, but no positive effect was observed. In mid-August, the patient was admitted to the Clinic for Skin and Venereal Diseases named after V.A. Rakhmanov.
The patient’s comorbidities included gastritis in remission, and family dermatologic history was negative.
Fig. 1. Patient A., 64 years old, clinical picture of Devergy’s disease after coronavirus infection on admission: Erythematous-papular elements of bright pink colour, merging into large flaky plaques.
Local status. At the time of admission, the clinical pattern of dermatosis was represented by bright pink erythematous-papular elements, which merged into large plaques with desquamation on the surface. These plaques were localized on the skin of the face, chest, abdomen, back, buttocks, and upper extremities (Figure 1).
Diagnostic assessment
The diagnosis of toxiderma was discussed, and a differential diagnosis was conducted with psoriasis and Devergie disease.
Interventions
Laboratory tests, including complete blood count and biochemistry, a coagulation profile, and a urinalysis, did not reveal any pathological changes. The patient was prescribed chloropyramine 20 mg, intramuscularly twice daily, furosemide 40 mg, orally once daily, and Heptral 400 mg, orally twice daily. Topically, the patient was instructed to apply a combination of salicylic ointment and betamethasone ointment to the trunk twice daily, along with Advantan cream to the face twice daily, and four ozone therapy procedures were performed. No improvement was observed.
Given the lack of response, a skin biopsy was performed on the affected area. The histologic pattern was consistent with a diagnosis of psoriasis, exhibiting features such as epidermal hyperkeratosis, acanthosis, and papillomatosis; a loosened dermoepidermal junction; and small perivascular lymphomacrophagal infiltrates. The current therapy was combined with prednisolone 40 mg/day and corrective therapy. A single intravenous injection of dexamethasone (8 mg) and NaCl (200 mL) was administered, and two sessions of plasmapheresis were performed to control the inflammatory process. Topically, a dermatological ointment was prescribed twice daily on the rash sites.
Fig. 2. Dynamics of the skin process: lesion foci merge with each other, acquiring a salmon colour; pronounced palm and plantar keratoderma with nail damage in the form of nail thickening, formation of subnail hyperkeratosis and longitudinal striation.
However, the cutaneous process progressed rather rapidly, the lesions merged and acquired a salmon color. Pronounced palm and plantar keratoderma developed with nail lesions in the form of nail thickening, subungual hyperkeratosis, and longitudinal striation (Figure 2).
Final diagnosis
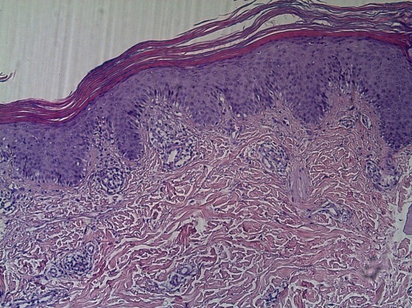
A repeat biopsy was performed due to alterations in the clinical pattern. The second histological examination revealed orthokeratosis and small foci of parakeratosis (alternating areas), irregularly expressed granular layer, vacuolization of basal layer cell groups, and single intraepidermal lymphocytes. In addition, irregularly expressed, wide acantholytic strands of different depth, loosened dermoepidermal junction, and small lymphomacrophage infiltrates located perivascularly in the dermis were observed (Figure 3). The findings indicated the early changes consistent with Devergie disease.
Fig. 3. Histological picture: orthokeratosis with areas of parakeratosis; irregular granular layer; irregular broad acantholytic strands; loosened dermoepithelial junction; small lymphomacrophage infiltrates located perivascularly in the dermis.Bon sum modiena
Interventions
In light of the severity of the dermatological process and the lack of efficacy of the previous therapy, as well as the unavailability of systemic retinoids in the Russian Federation at that time, a decision was made to add intramuscular injections of methotrexate at a dose of 20 mg once a week (No. 3) with a parallel reduction of prednisolone dose to 1 tablet per week until complete withdrawal. However, no positive clinical response was observed during the treatment. A multidisciplinary team meeting was held and it was agreed that netakimab (Efleira) should be initiated off-label. The dosage was 120 mg subcutaneously once a week for three weeks following a negative result of Diaskintest for tuberculosis. The patient tolerated the first injections without any side effects and was discharged with recommendations to continue therapy with netakimab with monthly injections.
Fig. 4. Skin exacerbation after repeated COVID-19 infection: Marked erythroderma with islets of healthy skin.
In early February 2023, the patient was readmitted to the clinic with a marked exacerbation following a repeated coronavirus infection in late January 2023 (Figure 4). The glucocorticoid Diprospan (2 mL) was administered intramuscularly once to relieve the acute process. The treatment regimen was continued with one injection per month, with laboratory tests used to monitor the patient’s condition.
Outcomes and prognosis
The dermatological process regressed very slowly. Following the fifth injection of netakimab, an improvement was observed in the form of pale rashes and partial regression of palm and plantar keratoderma. Nearly complete regression of the rashes occurred after the eleventh injection of the drug (Figure 5).
Fig. 5. Clinical picture at the time of treatment (11 injections of netakimab were performed): Significant regression of rashes, almost complete disappearance of keratoderma, restoration of healthy nail growth.
The therapy resulted in improvements in both the dermatological condition and the patient’s quality of life. Given the persistence of some rashes, netakimab was continued until the complete resolution of all symptoms.
DISCUSSION
Devergie disease is a rare dermatosis that presents with follicular hyperkeratotic papules, orange-red plaques, palmar and plantar hyperkeratosis, and, in some cases, progression to erythroderma with a salmon tint and characteristic islets of apparently healthy skin. The etiopathogenesis of this condition remains unknown, which makes it challenging to select an effective therapy. Systemic retinoids, systemic glucocorticoids, and methotrexate are used, but these drugs are not always effective. Currently, the role of genetically engineered biologic therapy drugs is increasingly discussed, including TNF-α inhibitors such as infliximab, etanercept, and adalimumab, and inhibitors of interleukins IL-17 (ixekizumab and secukinumab) and IL-12/23 (ustekinumab) [28, 34]. The rationale for the use of genetically engineered biological therapy in Devergie disease is supported by elevated levels of Th17 and Th1 cytokines, including IL-17A, IL-17F, IL-22, TNF, IL-6, IL-12, IL-23, and IL-1b, in the affected skin. A number of studies have proven the clinical efficacy of using biological drugs aimed at suppressing the IL-23/Th17 axis [35]. Importantly, netakimab was not used in any of these studies.
Netakimab is a Russian original drug for the treatment of moderate to severe psoriasis, which is a monoclonal antibody to IL-17.
This case represents a unique example of Devergie disease manifestation following two COVID-19 infections. The dermatological process in this case was notably rapid, severe, and resistant to standard therapies, including systemic glucocorticoids and methotrexate (systemic retinoids were not available in Russia at the time). Considering the lack of response and resistance of the skin process, the multidisciplinary team decided to initiate netakimab. As typical in psoriasis, the therapeutic effect of netakimab did not manifest immediately during the treatment. Following five injections, there was an improvement in the clinical pattern, manifested as a pale coloration of the rashes. Only after the eleventh injection, a pronounced positive effect was observed, manifested as the regression of the majority of the rashes and an improvement in the quality of life and psycho-emotional state of the patient. Our observation showed for the first time that the IL-17 inhibitor netakimab was highly effective in the treatment of Devergie disease.
CONCLUSION
The presented case exemplifies a rare and challenging dermatosis, the manifestation of which was caused by two coronavirus infections. Our observation is also distinctive, representing the fifth documented case of Devergie disease following COVID-19 infection and the first case of effective off-label use of netakimab for the treatment of Devergie disease.
ADDITIONAL INFORMATION
Funding source. This study was not supported by any external sources of funding.
Competing interests. The authors declare that they have no competing interests.
Authors’ contribution. All authors made a substantial contribution to the conception of the work, acquisition, analysis, interpretation of data for the work, drafting and revising the work, final approval of the version to be published and agree to be accountable for all aspects of the work. O.Yu. Olisova, N.P. Teplyuk ― study design and conception, editing and making significant edits to the article in order to increase the scientific value of the clinical case; D.M. Martynenko ― collection and processing of material, text writing; E.R. Dunaeva, E.V. Grekova ― collection and processing of material.
Patients permission. The patient voluntarily signed an informed consent to the publication of personal medical information in depersonalized form in the journal “Russian journal of skin and venereal diseases”.
About the authors
Olga Yu. Olisova
The First Sechenov Moscow State Medical University (Sechenov University)
Email: olisovaolga@mail.ru
ORCID iD: 0000-0003-2482-1754
SPIN-code: 2500-7989
MD, Dr. Sci. (Med.), Professor, Corresponding member of the Russian Academy of Sciences
Russian Federation, 8-2 Trubetskaya street, 1199921 MoscowNatalya P. Teplyuk
The First Sechenov Moscow State Medical University (Sechenov University)
Email: Teplyukn@gmail.com
ORCID iD: 0000-0002-5800-4800
SPIN-code: 8013-3256
MD, Dr. Sci. (Med.), Professor
Russian Federation, 8-2 Trubetskaya street, 1199921 MoscowDaria M. Martynenko
The First Sechenov Moscow State Medical University (Sechenov University)
Author for correspondence.
Email: dariamart19@mail.ru
ORCID iD: 0000-0002-5123-6473
SPIN-code: 7402-2532
ResearcherId: ADY-0267-2022
Russian Federation, 8-2 Trubetskaya street, 1199921 Moscow
Ekaterina R. Dunaeva
The First Sechenov Moscow State Medical University (Sechenov University)
Email: dunaevaer@gmail.com
ORCID iD: 0000-0002-5458-4991
SPIN-code: 3551-6329
MD
Russian Federation, 8-2 Trubetskaya street, 1199921 MoscowEkaterina V. Grekova
The First Sechenov Moscow State Medical University (Sechenov University)
Email: grekova_kate@mail.ru
ORCID iD: 0000-0002-7968-9829
SPIN-code: 8028-5545
https://journals.eco-vector.com/1560-9588/user/registerUser#formErrors
MD, Cand. Sci. (Med.)
Russian Federation, 8-2 Trubetskaya street, 1199921 MoscowReferences
- Pityriasis pityriasis red papillary hair. Clinical Recommendations of the Russian Federation 2013-2017 (Russia). (In Russ). Available from: https://diseases.medelement.com/disease/питириаз-красный-отрубевидный-волосяной-рекомендации-рф/15247?ysclid=ls37ytpr7f810784853. Accessed: 15.01.2024.
- Borzova EY, Vertieva EY, Grabovskaya OV, et al. Illustrated guide to dermatology. For preparation of doctors for accreditation. Ed. by O.Y. Olisova, N.P. Teplyuk. Moscow: GEOTAR-Media; 2023. 376 p. (In Russ). EDN: YEPGAA doi: 10.33029/9704-7375-7-DER-2023-1-376
- Bonnier E. Traite theorique et pratique des preuves en droit civil et en droit criminel. Vol. 2. 4 ed. Henri Plon, Editeur: Maresq aine, Editeur; 1873. 572 p.
- Griffiths A. Edited version of the dowling oration delivered to the British Association of Dermatologists in Liverpool, England, March 2003. Available from: https://prpsurvivalguide.org/wp-content/uploads/2017/05/Dowling-Oration-2003-Liverpool-England.pdf. Accessed: 15.01.2024.
- Devergie MG. Pityriasis pilaris, maladie de peau non décrite par les dermatologists. Gazette Hebdomadaire de médicine et de chirurgie. 1856;3:197-201.
- Olisova OY, Fedina AV. Deverzhi disease: Etiology, pathogenesis, clinic, treatment. Russian journal of skin and venereal diseases. 2017;20(2):112. (In Russ). EDN: WALKSW
- Wang D, Chong VC, Chong WS, Oon HH. A review on pityriasis rubra pilaris. Am J Clin Dermatol. 2018;19(3):377-390. EDN: OVFWBQ doi: 10.1007/s40257-017-0338-1
- Roenneberg S, Biedermann T. Pityriasis rubra pilaris: Algorithms for diagnosis and treatment. J Eur Acad Dermatol Venereol. 2018;32(6):889-898. doi: 10.1111/jdv.14761
- Vance P, Wyles S, Alavi A. Paraneoplastic pityriasis rubra pilaris preceding leukemia. Adv Skin Wound Care. 2022;35(6):1-4. doi: 10.1097/01.ASW.0000826828.53117.8c
- Fuchs-Telem D, Sarig O, van Steensel MA, et al. Familial pityriasis rubra pilaris is caused by mutations in CARD14. Am J Hum Genet. 2012;91(1):163-170. doi: 10.1016/j.ajhg.2012.05.010
- Mellett M. Regulation and dysregulation of CARD14 signalling and its physiological consequences in inflammatory skin disease. Cell Immunol. 2020;354:104147. doi: 10.1016/j.cellimm.2020.104147
- Griffiths WA. Pityriasis rubra pilaris. Clin Exp Dermatol. 1980;5(1):105-112. doi: 10.1111/j.1365-2230.1980.tb01676.x
- Miralles ES, Núñez M, De Las Heras ME, et al. Pityriasis rubra pilaris and human immunodeficiency virus infection. Br J Dermatol. 1995;133(6):990-993. doi: 10.1111/j.1365-2133.1995.tb06939.x
- Klein A, Landthaler M, Karrer S. Pityriasis rubra pilaris: A review of diagnosis and treatment. Am J Clin Dermatol. 2010;11(3):157-170. doi: 10.2165/11530070-000000000-00000
- Cohen PR, Prystowsky JH. Pityriasis rubra pilaris: A review of diagnosis and treatment. J Am Acad Dermatol. 1989;20(5 Pt 1):801-807. doi: 10.1016/s0190-9622(89)70093-1
- Grebenyuk VN, Simanovskaya EYu, Zatorskaya NF, et al. Atypical juvenile type of the devergie disease. Russ J Clin Dermatol Venereol. 2019;18(5):572-578. EDN: HENYZJ doi: 10.17116/klinderma201918051572
- De D, Dogra S, Narang T, et al. Pityriasis rubra pilaris in a HIV-positive patient (Type 6 PRP). Skinmed. 2008;7(1):47-50. doi: 10.1111/j.1540-9740.2007.07167.x
- Resnick SD, Murrell DF, Woosley JT. Pityriasis rubra pilaris, acne conglobata, and elongated follicular spines: An HIV-associated follicular syndrome? J Am Acad Dermatol. 1993;29(2 Pt 1):283. doi: 10.1016/s0190-9622(08)81854-3
- Aromolo IF, Pisapia A, Riva D, et al. COVID-19 induced pityriasis rubra pilaris: A superantigenic disease? J Eur Acad Dermatol Venereol. 2023;37(1):e26-e28. doi: 10.1111/jdv.18556
- Duncan P, Flood D, Dietz C. A rare post-infectious rash: pityriasis rubra pilaris after COVID-19 infection. Cureus. 2023;15(8):e43810. doi: 10.7759/cureus.43810
- Kadylak D, Barańska-Rybak W. Acute postinfectious pityriasis rubra pilaris as a cutaneous manifestation in COVID-19: A case report and its dermoscopic features. J Eur Acad Dermatol Venereol. 2021;35(10):e622-624. doi: 10.1111/jdv.17424
- Aguilar-Gamboa FR, Cubas-Alarcon D, Villegas-Chiroque M, Failoc-Rojas VE. Pityriasis rubra pilaris post-infection due COVID-19: Case report. Colomb Med (Cali). 2021;52(1):e7014577. doi: 10.25100/cm.v52i1.4577
- Larregue M, Champion R, Bressieux JM, et al. [Acute pityriasis rubra pilaris in the child. Apropos of 4 cases] (In French). Ann Dermatol Venereol. 1983;110(3):221-228.
- Ferrándiz-Pulido C, Bartralot R, Bassas P, et al. [Acute postinfectious pityriasis rubra pilaris: A superantigen-mediated dermatosis] (In Spanish). Actas Dermosifiliogr. 2009;100(8):706-709. doi: 10.1016/s0001-7310(09)72284-7
- Hamdy A, Leonardi A. Superantigens and SARS-CoV-2. Pathogens. 2022;11(4):390. EDN: KICAPH doi: 10.3390/pathogens11040390
- Cheng MH, Zhang S, Porritt RA, et al. Superantigenic character of an insert unique to SARS-CoV-2 spike supported by skewed TCR repertoire in patients with hyperinflammation. Proc Natl Acad Sci USA. 2020;117(41):25254-25262. EDN: ZKTHIS doi: 10.1073/pnas.2010722117
- Chan H, Liu FT, Naguwa S. A review of pityriasis rubra pilaris and rheumatologic associations. Clin Dev Immunol. 2004;11(1):57-60. doi: 10.1080/10446670410001670008
- Abduljawad M, Alsharif TH, Gronfula AG, et al. The effectiveness of anti-interleukin-17A treatment for pityriasis rubra pilaris: A systematic review. Cureus. 2023;15(6):e41125. doi: 10.7759/cureus.41125
- Sood S, Akuffo-Addo E, Yeung J, Mufti A. Biologic treatment options for pityriasis rubra pilaris: An evidence-based systematic review. J Am Acad Dermatol. 2023;89(6):1306-1308. doi: 10.1016/j.jaad.2023.08.057
- Wu KK, Dao H. Off-label dermatologic uses of IL-17 inhibitors. J Dermatolog Treat. 2022;33(1):41-47. doi: 10.1080/09546634.2020.1737638
- Ringin SA, Daniel BS. Treatment modalities for pityriasis rubra pilaris subtypes: A review. J Dermatolog Treat. 2022;33(1):587-588. doi: 10.1080/09546634.2020.1729954
- Chu S, Michelle L, Ekelem C, et al. Oral isotretinoin for the treatment of dermatologic conditions other than acne: A systematic review and discussion of future directions. Arch Dermatol Res. 2021;313(6):391-430. doi: 10.1007/s00403-020-02152-4
- Zhukova OV, Kruglova LS, Portnov VV, Kotenko KV. Ultra-violet therapy and system retinoid in the treatment of patients with disease of Devergie. Vestnik novyh medicinskih tehnologij (Online). 2014;(1). doi: 10.12737/5811
- Boudreaux BW, Pincelli TP, Bhullar PK, et al. Secukinumab for the treatment of adult-onset pityriasis rubra pilaris: A single-arm clinical trial with transcriptomic analysis. Br J Dermatol. 2022;187(5):650-658. doi: 10.1111/bjd.21708
- Napolitano M, Abeni D, Didona B. Biologics for pityriasis rubra pilaris treatment: A review of the literature. J Am Acad Dermatol. 2018;79(2):353-359.e11. doi: 10.1016/j.jaad.2018.03.036
Supplementary files








