Self-induced dermatosis: a diagnostic problem at the intersection of two specialties
- Authors: Olisova O.Y.1, Teplyuk N.P.1, Kayumova L.N.1, Smirnova L.M.1, Anpilogova E.M.1, Nikulina A.S.1
-
Affiliations:
- I.M. Sechenov First Moscow State Medical University (Sechenov University)
- Issue: Vol 24, No 1 (2021)
- Pages: 61-70
- Section: CLINICAL PICTURE, DIAGNOSIS, AND THERAPY OF DERMATOSES
- Submitted: 25.02.2021
- Accepted: 17.03.2021
- Published: 15.02.2021
- URL: https://rjsvd.com/1560-9588/article/view/61909
- DOI: https://doi.org/10.17816/dv61909
- ID: 61909
Cite item
Full Text
Abstract
Self-induced dermatoses is a group of artificial skin injuries and its appendages caused by self-injuring by the patient in order to get rid of negative emotions and painful sensations or to simulate a well-known dermatitis because of the pathological desire to be hospitalized to meet emotional or financial needs.
A significant similarity of clinical manifestations of self-induced dermatoses and oorganic dermatoses (vasculitis, cystic medicine, gangrenous pyoderma, drug reactions, etc.), the inefficiency of dermatological treatment with the sudden appearance of new lesions, as well as the deliberate concealment by the patient the real causes of skin lesions and giving false anamnesis lead to difficulties in diagnosis of self-induced dermatoses. The article presents current data on the main diagnostic criteria and effective methods of treatment of this disease based on several foreign and russian publications; own clinical cases’ descriptions are also provided.
Self-induced dermatoses must be considered as a possible differential diagnosis in cases when no well-known dermatoses can explain the clinical picture and anamnesis does not match it; new destructive lesions appear spontaneously, despite the ongoing treatment.
Full Text
Патомимия (греч. pathos ― страдание, болезнь, mimesis ― подражание, изображение) ― это группа искусственных повреждений кожи и её придатков, обусловленных аутодеструктивными действиями больного с целью эмоциональной разрядки и ослабления тягостных ощущений или для имитации известного дерматита в связи с патологическим влечением к госпитализациям для удовлетворения моральных или материальных потребностей [1]. Патомимия может возникать не только как проявление психических нарушений при тяжёлых психопатиях, эндогенных и органических психозах с аффективными расстройствами, бредоподобными или галлюцинаторно-параноидными переживаниями, но и встречается у инфантильных личностей, склонных к повышенной тревожности, агрессивности и чувству собственной неполноценности. Так, опубликованы данные о развитии патомимии у 19% неинфантильных, 33,5% среднеинфантильных и 47,5% инфантильных больных, при этом у 87% отмечались высокие показатели личностной и ситуативной тревожности [2]. Считается также, что основным патогенетическим психопатологическим механизмом патомимии является симптомокомплекс ограниченной ипохондрии, включающий алгии и другие телесные сенсации, сопровождающиеся стремлением к элиминации источника патологических ощущений, сопоставимым по степени выраженности с паранойяльной одержимостью [3]. По мнению А.Н. Львова [3], в группе патомимий следует выделять артифициальный дерматит в рамках ограниченной ипохондрии (рис. 1–3), симуляционный дерматит, кожную форму синдрома Мюнхгаузена, невротические экскориации (рис. 4), экскориированные акне (рис. 5), трихотилломанию, онихотилломанию и дерматозойный бред [3].
Рис. 1. Артифициальный дерматит у пациентки с болезнью Альцгеймера: а ― область щёк и подбородка; б ― на спине. / Fig. 1. Artifical dermatitis in a patient with Alzheimer's disease: а ― cheeks and chin; б ― on the back.
Рис. 2. Артифициальный дерматит в рамках ограниченной ипохондрии, развившийся на фоне утраты близкого родственника: а ― на верхнем веке и переносице; б, в ― на спине. / Fig. 2. Artifical dermatitis within the limited hypochondria, which developed against the background of the loss of a close relative: а ― on the upper eyelid and the bridge of the nose; б, в ― on the back.
Рис. 3. Артифициальный дерматит в рамках ограниченной ипохондрии у больной шизофренией: а ― на лбу; б ― на голени; в ― на колене. / Fig. 3. Artifical dermatitis within the limited hypochondria in a patient with schizophrenia: а ― on the forehead; б ― on the lower leg; в ― on the knee.
Рис. 4. Невротические экскориации, развившиеся на фоне тяжёлого бракоразводного процесса: а ― на лбу; б ― на щеке. / Fig. 4. Neurotic excoriation, developed against the background of a severe divorce process: а ― on the forehead; б ― on the cheek.
Рис. 5. Экскориированные акне. / Fig. 5. Excoriated acne.
Патомимия может встречаться в любом возрасте, чаще у женщин [4]. Как правило, появлению высыпаний предшествует сильнейший эмоциональный стресс (утрата близких, бракоразводный процесс, потеря работы, участие в боевых действиях и т.п.), вызывающий существенные нарушения психического состояния пациентов. Социальный статус также играет немалую роль в развитии заболевания. Так, по данным A. Rodriguez-Pichardo и соавт. [5], проанализировавших 201 случай патомимии в период с 1976 по 2006 г., большинство больных не имели высшего образования, получали низкую зарплату и были одинокими [5].
Диагностика патомимии нередко представляет определённые трудности ввиду клинического сходства с другими дерматозами (васкулиты, пузырные дерматозы, гангренозная пиодермия, лекарственные реакции и др.), неэффективности дерматологического лечения на фоне внезапного появления новых высыпаний, а также целенаправленного утаивания пациентом от врача истинной причины поражений кожи и указания заведомо ложных анамнестических сведений [6]. В зависимости от метода и средства нанесения повреждений (колюще-режущие предметы, кислоты, щелочи, кипяток, подкожные инъекции вазелина, керосина, воды, наркотических средств и т.д.) клиническая картина может быть крайне разнообразной: от поверхностных высыпаний до глубоких язвенно-некротических поражений, напоминающих всевозможные, в том числе и редкие, дерматозы [1].
Для верификации диагноза прежде всего необходимо тщательно собрать анамнез, обращая внимание на малейшие детали в разговоре с больным и его реакцию на уточняющие вопросы. Обычно больные указывают на внезапное появление высыпаний (в основном вторичных) и при этом не могут уточнить, как именно происходила эволюция элементов [7]. Часто во время рассказа истории заболевания пациенты с улыбкой «Моны Лизы» демонстрируют «великолепное безразличие» (франц. la belle indifference) к собственному здоровью [8]. Важнейшим моментом в диагностике патомимии является установление доверительного контакта с пациентом, что позволит ему поделиться с врачом своими настоящими мыслями. Так, например, при дерматозойном бреде больные сообщают о шевелении и ползании у них под кожей неизвестных организмов (насекомые, черви, личинки), нередко принося врачу заранее приготовленные баночки с кусочками своей кожи, корочками, обрывками волос с требованием поиска в них «живности». Важным моментом в постановке диагноза служит характер кожных проявлений патомимии. Высыпания причудливых, линейных, геометрических очертаний локализуются на доступных для рук больного участках, чётко отграничены от окружающей здоровой кожи и представлены в основном вторичными морфологическими элементами деструктивного характера (экскориации, эрозии, язвы и особенно рубцы) при отсутствии первичных. Для дифференциации с органическими дерматозами целесообразно проведение гистологического исследования, как правило, выявляющего неспецифический характер поражения [9].
Лечение патомимии должно проводиться при совместном участии дерматолога и психиатра и в первую очередь быть направленным на скорейшее прекращение самоповреждающих действий больного. Высокоэффективными оказываются защитные окклюзионные повязки на очаг поражения, делающие его недоступным для рук больного, а также нейролептики, антидепрессанты или транквилизаторы [10].
В литературе описаны единичные случаи патомимии. A. Tammaro и соавт. [11] наблюдали келоидные рубцы у стюардессы 29 лет, симметрично расположенные на обоих плечах. Пациентка призналась, что на фоне сильных стрессов на работе испытывала в этих местах постоянный нестерпимый зуд, проходящий только после интенсивного и продолжительного расчёсывания. Интересно, что келоид на левом плече был в 2 раза больше (до 4 см): по-видимому, будучи правшой, пациентка могла прилагать к нему бÓльшие усилия при травматизации кожных покровов.
Дерматологи из Боснии и Герцеговины [12] опубликовали наблюдение случая 24-летней военной беженки из неполной семьи с болезненной свежей эрозией в области левой скуловой кости и множественными рубцами по всему лицу. Пациентка утверждала, что она была отравлена своими завистливыми коллегами, а высыпания на лице ― следствие действия яда. Лечение окклюзионными повязками привело к полному очищению кожи за 3 нед., однако после выписки пациентка перестала контактировать с лечащим врачом.
G. Adebanjo и соавт. [13] описали пациентку 68 лет, обратившуюся на консультацию во время пандемии COVID-19 с высыпаниями на обеих руках, представленных множественными эрозиями, местами покрытыми желтоватыми корочками. На консультации психиатра выяснилось, что женщина страдает от депрессии и панических атак по поводу постоянных конфликтов с приёмным ребёнком и рака груди в анамнезе. Подробное освещение в средствах массовой информации ситуации с пандемией и страх заразиться опасным вирусом, будучи в группе риска, привели к обострению психопатологии и желанию наносить себе повреждения. Пациентке были назначены эмоленты, антидепрессант (сертралин в дозе 100 мг/сут) и транквилизатор (алпразолам по 1 мг/сут), что уже через 2 нед. позволило достичь значительного улучшения состояния кожи.
M. Laughter и соавт. [14] наблюдали 36-летнюю женщину, поступившую в ожоговое отделение с некрозом кожи на обеих голенях. Со слов пациентки, сначала она заметила небольшие красно-коричневые папулы на одной ноге, которые в течение 24 ч резко трансформировались в чёрные некротические элементы на обеих ногах. Гистологическое исследование выявило обширный некроз эпидермиса, дермы и подкожной жировой клетчатки с тромбозом сосудов и явлениями острого воспаления. В беседе больная призналась, что поливала свои ноги кислотой. Вскоре выяснилось, что на протяжении последних 8 лет её регулярно госпитализировали в разные медучреждения с множественными ожогами и язвенными дефектами, расцениваемыми как гангренозная пиодермия. К сожалению, авторы не сообщают, удалось ли им выяснить у пациентки мотив её аутодеструктивных действий, однако, учитывая большое количество госпитализаций, в данном случае можно думать о кожной форме синдрома Мюнхгаузена, когда больные намеренно наносят себе увечья с рентной установкой (для освобождения от работы, получения инвалидности, улучшения жилищных условий и т.п.).
Индийские дерматологи [15] описали симуляционный дерматит у девушки 25 лет с ярко-лиловой эритемой на коже верхних и нижних век, верхней части груди, а также над проксимальными межфаланговыми и пястно-фаланговыми суставами. Кроме того, больная жаловалась на трудности при расчёсывании, вставании со стула, а также на слабость и нехватку воздуха, потерю 5 кг массы тела. Однако не было выявлено каких-либо отклонений при проведении тестов на мышечную силу и тонус, все лабораторные показатели (в том числе лактатдегидрогеназа и креатинфосфокиназа), данные компьютерной томографии были в норме, не отмечалось периорбитального отёка, повышения температуры и фоточувствительности в анамнезе. После применения марлевых примочек с физраствором все высыпания сразу же исчезли: оказалось, что больная имитировала патогномоничные симптомы дерматомиозита с помощью стойкой губной помады различных оттенков. При подробном расспросе она призналась, что делала это специально, чтобы обратить на себя внимание мужа, который проводил всё свободное время на работе. Кроме того, она была в крайне подавленном депрессивном состоянии в связи с невозможностью принять выгодное предложение о работе в фармкомпании и постоянными конфликтами со свекровью.
Приводим собственные клинические наблюдения патомимии.
ОПИСАНИЕ СЛУЧАЕВ
Клинический случай 1
Больная Д., 29 лет, обратилась в клинику кожных и венерических болезней имени В.А. Рахманова Сеченовского Университета с жалобами на высыпания на коже передней брюшной стенки, сопровождающиеся болезненностью. Из анамнеза: считает себя больной с февраля 2016 г., когда, с её слов, после введения хлористого кальция в область верхней трети левого предплечья по поводу фурункулёза появились гнойно-некротические очаги. Хирург по месту жительства провёл некрэктомию тканей. Впоследствии процесс неоднократно рецидивировал, однако хирургическая обработка в сочетании с общей и местной антибактериальной терапией, включая кожную пластику, оказывали временный положительный эффект в виде частичного рубцевания язвенных дефектов. В августе 2017 г. после самостоятельного вскрытия пузыря на дистальной фаланге второго пальца левой кисти привело к сухой гангрене с последующей ампутацией пальца до уровня средней фаланги. В марте 2018 г. больная отметила появление новых высыпаний на коже живота в виде язвенно-некротических дефектов. Проводимая антибактериальная, противовоспалительная, сосудистая терапия носила слабый и непродолжительный эффект. В течение 1 мес больная находилась на стационарном лечении в ревматологическом отделении Республиканской клинической больницы имени Ш.Ш. Эпендиева (г. Грозный) с диагнозом язвенно-некротического ангиита, получала Метипред в дозе 8 мг/сут, азатиоприн по 100 мг/сут с незначительным улучшением. В ноябре 2018 г. после комплексного консервативного лечения (преднизолон по 20 мг/сут, Клексан, Конкор, Омез, диклофенак, Найз, амитриптилин внутрь; инфузионно Актовегин, Панангин, Трентал, Реополиглюкин, Мексидол, Метрогил, ципрофлоксацин, амоксиклав, Ксефокам) была выполнена серия этапных некрэктомий с последующим закрытием раневых дефектов. С мая по сентябрь 2019 г. трижды больная находилась на госпитализации в хирургическом отделении ГКБ № 23 имени И.В. Давыдовского (Москва) по поводу болезненных гнойно-некротических ран на передней брюшной стенке. В связи с тяжестью и распространённостью кожного процесса, неэффективностью проводимой терапии во время последнего пребывания в стационаре пациентку проконсультировали в нашей клинике, где с предварительным диагнозом гангренозной пиодермии она получила направление на госпитализацию.
При осмотре: на коже передней брюшной стенки имеются глубокие язвы с чёткими границами, округлых очертаний, размером до 12 см в диаметре. Дно язв ярко-красного цвета, с серозно-гнойным отделяемым и неприятным запахом, покрыто грануляциями, вокруг очагов ― кожа застойно-красного цвета, инфильтрирована (рис. 6). На коже живота имеются синюшного цвета рубцы на месте бывших язвенных дефектов, в области левого предплечья ― рубцы после ножевых порезов размером до 30 см (рис. 7). Субъективно беспокоит болезненность в области язв.
Рис. 6. Больная Д., 29 лет. Высыпания на коже живота до лечения. / Fig. 6. Patient D., 29 years old. Rash on the skin of the abdomen before treatment.
Рис. 7. Та же больная. Рубцы после ножевых порезов в области левого предплечья. / Fig. 7. The same patient. Scars after stab cuts in the left forearm.
Общий анализ крови (кроме лимфоцитоза ― 42,3%), общий анализ мочи, биохимические показатели крови без патологии.
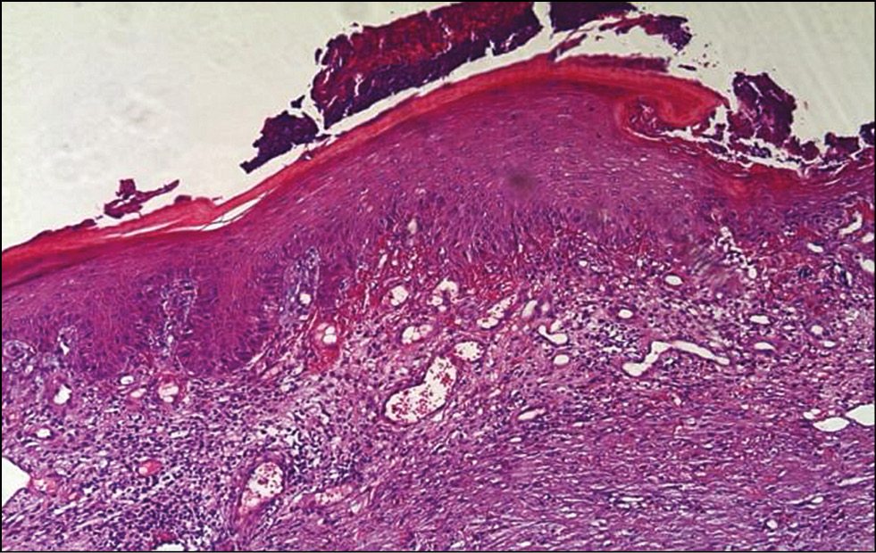
При гистологическом исследовании биоптата очага поражения обнаружено: в дерме диффузный инфильтрат, состоящий из лимфоцитов, лейкоцитов, гистиоцитов. Явления васкулита и лейкоклазии отсутствуют. Просвет сосудов зияет, некоторые сосуды заполнены эритроцитами. Коллагеновые волокна уплотнены (рис. 8).
Рис. 8. Та же больная. Гистологическая картина патомимии. / Fig. 8. The same patient. The histological picture of pathomymia.
Магнитно-резонансная томография (без контрастирования): МР-картина не выявила патологических изменений в головном мозге.
Консультация невролога: идиопатическая эпилепсия.
Консультация психиатра: массивные поражения кожи, по форме сходные с артефактными повреждениями. Из беседы удалось выяснить, что поражение вызвано собственными манипуляциями больной (ногтями путём расчёсывания и сдирания корок), в пользу чего говорит и локализация высыпаний на легкодоступных местах. Неконтролируемые повреждения кожи и уродующие их последствия стали наблюдаться после участия в боевых действиях в Чечне. Со слов больной, она постоянно испытывает неудержимое желание расчёсывать и травмировать кожу в момент чрезмерного волнения, на высоте эмоционального напряжения, что на некоторое время приносит ей удовлетворение. Зуд носит амплифицированный характер на фоне психопатологии. Во время последующих бесед пациентка наносила самоповреждения кожи в присутствии врача, лишь на время останавливаясь после его замечания.
Был установлен диагноз патомимии, с которым пациентка категорически не согласна. С врачами ведёт себя неадекватно, обвиняя их в некомпетентности. Любые попытки расспросить женщину о других заболеваниях вызывают яркую эмоциональную негативную реакцию.
В клинике в течение 16 дней проводили следующую терапию: Депакин в дозе 1000 мг 2 раза/день, Мексидол внутривенно капельно, Ксарелто в дозе 15 мг по 1 таблетке утром, Метипред по 4 мг 10 таблеток с постепенным снижением, корригирующая терапия (омепразол по 20 мг по 1 таблетке 2 раза/сут,
Панангин по 2 таблетки 3 раза/сут, Кальций-Д3
Никомед по 1 таблетке 2 раза/сут); местно мазь
Левомеколь, Белогент. На фоне лечения отмечалась положительная динамика в виде уменьшения воспалительных явлений, эпителизации язвенных дефектов на 50–60% (рис. 9).
Рис. 9. Та же больная. Высыпания на коже живота в процессе лечения. / Fig. 9. The same patient. Rash on the skin of the abdomen during
Клинический случай 2
Больная С., 36 лет, по профессии флорист, поступила в нашу клинику с жалобами на болезненный язвенный дефект на подбородке, сопровождающийся зудом. Считает себя больной в течение 5 мес, когда после семейного отдыха в Таиланде обнаружила наличие «красных двигающихся бугорков» на коже подбородка, которые через некоторое время трансформировались в глубокую язву. Дерматовенерологом по месту жительства были назначены эпителизирующие и антибактериальные средства, которые оказались неэффективны, а язвенный дефект продолжал увеличиваться в размерах. Проведённые лабораторные исследования исключили сифилис, туберкулёз, вирус иммунодефицита человека, гепатиты В и С.
По мнению пациентки, причиной развития высыпаний послужили неизвестные «паразиты-червячки», которыми она заразилась на отдыхе. В доверительной беседе с лечащим врачом больная призналась, что долгое время старалась избавиться от них, методично и скрупулёзно «выковыривая» из-под кожи с помощью зубочисток и маникюрных щипчиков. Кроме того, выяснилось, что сразу после отдыха её супруг подал на развод, что доставило пациентке сильные душевные страдания.
При осмотре: на коже подбородка глубокий язвенный дефект округлых очертаний с чёткими границами до 3,5 см в диаметре. Дно язвы неровное, представлено ярко-красными грануляциями, местами с наслоением гнойного отделяемого (рис. 10).
Рис. 10. Пациентка С. Язвенный дефект до лечения. / Fig. 10. Patient S. Ulcerative defect before treatment.
На основании клинической картины, данных лабораторного обследования и анамнеза нами был установлен диагноз патомимии и назначен цефтриаксон в дозе 1 г/сут внутримышечно (10 дней), 5% ксероформная мазь с анестезином под окклюзионную повязку (14 дней), внутриочаговое введение озона (10 процедур) (рис. 11). Пациентку направили также на консультацию к психиатру, который диагностировал ограниченную ипохондрию с локальными массивными аутодеструкциями (патомимия) и назначил Феназепам в дозе 2 мг/сут (транквилизатор), Анафранил по 75 мг/сут (антидепрессант) и Тиапридал по 100 мг/сут (нейролептик). Проводимое лечение позволило достичь полного заживления язвенного дефекта (рис. 12). Однако вскоре пациентка перестала выходить на связь с лечащим врачом.
Рис. 11. Та же больная. Патомимия в процессе лечения: а ― 8-е сут; б ― 12-е сут; в ― 20-е сут; г ― 27-е сут. / Fig. 11. The same patient. Pathomymia during treatment: а ― 8th day; б ― 12th day; в ― 20th day; г ― 27th day
Рис. 12. Та же больная. После лечения: 36-е сут. / Fig. 12. The same patient. After treatment: 36th day
ОБСУЖДЕНИЕ
Как и в зарубежных наблюдениях [5–7, 11–15], появление аутодеструктивных высыпаний у наших пациенток сопровождалось наличием длительных психотравмирующих ситуаций (бракоразводный процесс, участие в военных боевых действиях), а прежде чем была верифицирована патомимия, им долгое время выставлялись различные диагнозы и проводились многочисленные обследования. Так, в первом случае пациентка на протяжении нескольких лет обращалась в различные медучреждения, где ей проводили комплексное лечение гангренозной пиодермии, в том числе пересадку кожи, однако это приносило слабый непродолжительный эффект и сопровождалось появлением новых высыпаний. Остаётся неясным, почему оставались без внимания обширные рубцы на руках больной, которые обычно встречаются после суицидальных попыток. В то же время в нашей клинике после установления патомимии и применения неснимаемых повязок на язвенный дефект, защищающих его от самоповреждающих действий больной, уже через 3 нед. пребывания в стационаре произошёл регресс высыпаний на 60%, что было бы невозможно при таком незначительном объёме терапии в случае гангренозной пиодермии. Во втором наблюдении пациентка также ранее проходила многочисленные обследования с целью исключения сифилиса, туберкулёза и других инфекций, получала антибактериальную терапию и эпителизирующие мази, однако на фоне лечения язвенный дефект все равно продолжал увеличиваться. После тщательно собранного анамнеза и доверительной беседы с врачом, в ходе которой пациентка призналась в аутодеструктивном характере очага поражения, ей были назначены окклюзионные повязки, прекращающие доступ к нему рук больной и приведшие, в сочетании с внутри-очаговым обкалыванием озоном и психотропными препаратами к полному рубцеванию глубокой язвы за месяц. Важным моментом, с диагностической точки зрения, в первом случае было несоответствие тяжёлых клинических проявлений и гистологической картины, при которой отсутствовали характерные для гангренозной пиодермии явления васкулита и лейкоклазии. Кроме того, высыпания у обеих пациенток имели очень чёткие границы и располагались в местах, доступных для манипуляций руками.
Описанные нами клинические случаи демонстрируют важность и сложность диагностики патомимии, устанавливаемой, как правило, после исключения всех известных дерматозов.
Таким образом, патомимия всегда должна входить в перечень дифференциальных диагнозов в тех случаях, когда ни одно из известных заболеваний кожи не может объяснить имеющуюся клиническую картину дерматоза, данные анамнеза не соответствуют клиническим проявлениям, а новые высыпания деструктивного характера обнаруживаются спонтанно, несмотря на проводимое дерматологическое лечение. Как правило, полное очищение кожных покровов быстро наступает при исключении доступа к очагу поражения для рук больного с помощью защитных повязок и назначения психотропных препаратов. Очень важно динамическое наблюдение пациентов с патомимией, так как после снятия защитных повязок и отсутствия круглосуточного наблюдения медсестёр и врачей в стационаре они снова получают доступ к очагу поражения и продолжают самоповреждающие действия. К сожалению, именно это зачастую является причиной избегания пациентами любых последующих контактов с врачом и, как следствие, может привести к неблагоприятному исходу.
ЗАКЛЮЧЕНИЕ
Патомимия ― психодерматологическое заболевание, часто ошибочно принимаемое врачами за другие органические дерматозы, что ведёт к череде безуспешных госпитализаций и обследований на фоне постепенного усугубления психического состояния больных и утяжеления характера постоянно наносимых себе увечий с возможным развитием инвалидизации и суицидальных рисков. В тех случаях, когда долгое время не удаётся поставить правильный диагноз, а стандартное дерматологическое лечение оказывается неэффективным, всегда необходимо исключать психогенную основу высыпаний, что подразумевает необходимость взаимодействия специалистов дерматологического и психиатрического профиля не только на этапе диагностики и лечения, но и при последующем динамическом наблюдении таких пациентов.
ДОПОЛНИТЕЛЬНО
Источник финансирования. Авторы заявляют об отсутствии внешнего финансирования при подготовке публикации.
Конфликт интересов. Авторы декларируют отсутствие явных и потенциальных конфликтов интересов, связанных с публикацией настоящей статьи.
Участие авторов. О.Ю. Олисова — концепция и дизайн исследования, подбор пациентов, редактирование; Н.П. Теплюк — проведение гистологического исследования, подбор пациентов; Л.Н. Каюмова — подбор пациентов, написание текста; А.С. Никулина — подбор пациентов; Е.М. Анпилогова — подбор пациентов, написание текста, форматирование статьи для публикации.
Все авторы подтверждают соответствие своего авторства международным критериям ICMJE (все авторы внесли существенный вклад в разработку концепции и подготовку статьи, прочли и одобрили финальную версию перед публикацией).
Согласие пациентов. Пациенты добровольно подписали форму информированного согласия на публикацию персональной медицинской информации в обезличенной форме в журнале «Российский журнал кожных и венерических болезней».
ADDITIONAL INFO
Funding source. This work was not supported by any external sources of funding.
Competing interests. The authors declare that they have no competing interests.
Author contribution. O.Yu. Olisova — the concept of the work, patients’ recruitment, editing; N.P. Teplyuk — histological examination, patients’ recruitment; L.N. Kayumova — patients’ recruitment, writing the text; A.S. Nikulina — patients’ recruitment; E.M. Anpilogova — patients’ recruitment, writing the text, formatting the article for publication.
All authors made a substantial contribution to the conception of the work, drafting and revising the work, final approval of the version to be published and agree to be accountable for all aspects of the work.
Patients permission. Patients voluntarily signed an informed consent to the publication of personal medical information in depersonalized form in the journal «Russian journal of skin and venereal diseases».
About the authors
Olga Yu. Olisova
I.M. Sechenov First Moscow State Medical University (Sechenov University)
Email: olisovaolga@mail.ru
ORCID iD: 0000-0003-2482-1754
SPIN-code: 2500-7989
Dr. Sci. (Med.), Professor
Russian Federation, 8-2, Trubetskaya street, Moscow, 119992Natalia P. Teplyuk
I.M. Sechenov First Moscow State Medical University (Sechenov University)
Email: teplyukn@gmail.com
ORCID iD: 0000-0002-5800-4800
SPIN-code: 8013-3256
Dr. Sci. (Med.), Professor
Russian Federation, 8-2, Trubetskaya street, Moscow, 119992Lyailya N. Kayumova
I.M. Sechenov First Moscow State Medical University (Sechenov University)
Email: mika20-04@mail.ru
ORCID iD: 0000-0003-0301-737X
Cand. Sci. (Med.), Assistant
Russian Federation, 8-2, Trubetskaya street, Moscow, 119992Lyudmila M. Smirnova
I.M. Sechenov First Moscow State Medical University (Sechenov University)
Email: slm@mma.ru
ORCID iD: 0000-0002-6581-4529
SPIN-code: 8355-4040
Cand. Sci. (Med.), Assistant Professor
Russian Federation, 8-2, Trubetskaya street, Moscow, 119992Ekaterina M. Anpilogova
I.M. Sechenov First Moscow State Medical University (Sechenov University)
Author for correspondence.
Email: truelass@hotmail.com
ORCID iD: 0000-0001-9478-5838
MD, Assistant
Russian Federation, 8-2, Trubetskaya street, Moscow, 119992Alena S. Nikulina
I.M. Sechenov First Moscow State Medical University (Sechenov University)
Email: a.niku@mail.ru
ORCID iD: 0000-0002-0736-8022
MD
Russian Federation, 8-2, Trubetskaya street, Moscow, 119992References
- Ivanov OL. Skin and venereal diseases: manual. Мoscow: Мedicine; 2007. Р. 190–191. (In Russ).
- Pashinyan AG, Subbotina RA, Akopyan AN, et al. Psychoemotional features of patients with self-destructive dermatosis. Lechebnoe delo. Russian Journal. 2018;(3):26–28. (In Russ).
- Lvov AN. Pathomimia in dermatology practice. Continuing Postgraduate Eeducation. Russian Journal. 2010;(5):71–78. (In Russ).
- Kansal NK. Dermatitis artefacta: an update. Skinmed. 2019;17(5):311–316.
- Rodriguez-Pichardo A, Hoffner MV, Garcia-Bravo B, Camacho FM. Dermatitis artefacta of the breast: a retrospective analysis of 27 patients (1976–2006). J Eur Acad Dermatol Venereol. 2010;24(3):270–274. doi: 10.1111/j.1468-3083.2009.03403.x
- Gupta MA, Gupta AK. Self-induced dermatoses: a great imitator. Clin Dermatol. 2019;37(3):268–277. doi: 10.1016/j.clindermatol.2019.01.006
- Fatima F, Das A, Jafferany M, Gharami RC. A 37-year-old woman with dermatitis artefacta: A case report. Dermatol Ther. 2020;33(6):e14139. doi: 10.1111/dth.14139
- Lee HG, Stull C, Yosipovitch G. Psychiatric disorders and pruritus. Clin Dermatol. 2017;35(3):273–280. doi: 10.1016/j.clindermatol.2017.01.008
- Goulding JM, Mughal F. Self-induced skin conditions: differential diagnosis and management. Br J Gen Pract. 2019;69(686):464–465. doi: 10.3399/bjgp19X705449
- Mohandas P, Bewley A, Taylor R. Dermatitis artefacta and artefactual skin disease: the need for a psychodermatology multidisciplinary team to treat a difficult condition. Br J Dermatol. 2013;169(3):600–606. doi: 10.1111/bjd.12416
- Tammaro A, Magri F, Chello C, et al. Occupational dermatitis artefacta: a clinical case in a flight attendant. Clin Ter. 2020;171(4):e288–e290. doi: 10.7417/CT.2020.2229
- Brkic J, Gunaric A, Tomic I, et al. Report of two psychodermatological cases: neurotic excoriation and dermatitis artefacta. Psychiatr. Danub. 2020;32(Suppl 2):298–301.
- Adebanjo GA, Parisella FR, Cittadini A, et al. A case of dermatitis artefacta during a pandemic. Dermatol Ther. 2020;33(6):e14235. doi: 10.1111/dth.14235
- Laughter MR, Florek AG, Wisell J, Newman S. Dermatitis artefacta, a form of factitial disorder imposed on self, misdiagnosed as pyoderma gangrenosum for eight years. Cureus. 2020;12(7):e9054. doi: 10.7759/cureus.9054
- Raizada A, Panda M, Dixit N, Hassanandani T. Dermatitis artefacta presenting as dermatomyositis: a diagnostic conundrum. Indian Dermatol Online J. 2020;11(4):629–631. doi: 10.4103/idoj.IDOJ_594_19
Supplementary files














