Photo gallery: Lichen planus
- Authors: Olisova O.Y.1, Teplyuk N.P.1, Grabovskaya O.V.1, Kolesova Y.V.1
-
Affiliations:
- I.M. Sechenov First Moscow State Medical University (Sechenov University)
- Issue: Vol 23, No 5 (2020)
- Pages: 356-360
- Section: PHOTO GALLERY
- Submitted: 24.01.2021
- Published: 15.10.2020
- URL: https://rjsvd.com/1560-9588/article/view/59113
- DOI: https://doi.org/10.17816/dv59113
- ID: 59113
Cite item
Full Text
Abstract
Lichen planus (LP) is a chronic inflammatory disease of skin and mucous from group of papular dermatosis, less often affecting nails and hair. The article presents photographs of patients with various clinical forms of LP for a more thorough differential diagnosis of this disease.
Keywords
Full Text
Рис. 1. Типичная форма КПЛ, доказанная гистологически: а – типичные высыпания на слизистой оболочке полости рта и рубец на языке после оперативного вмешательства по поводу предполагаемой лейкоплакии; б – типичные мелкие серовато-белые папулы по 2–3 мм в диаметре, сливающиеся между собой в сетку, образуя рисунок «кружева» на слизистой щёк; в – папулы на запястье.
Рис. 2. Пигментно-атрофическая форма КПЛ: а – очаги атрофии на красной кайме губ; б – сглаженность сосочков языка.
Рис. 3. Веррукозная форма КПЛ: а – симметричное поражение обеих голеней; б – дифференциальный диагноз веррукозной формы КПЛ следует проводить с саркомой Капоши.
Рис. 4. Диссеминированная форма КПЛ: а – преимущественная локализация на коже поясничной области; б – папулёзные высыпания на коже в области крестца; в – классические полигональные папулы красно-фиолетового цвета с пупковидным вдавлением в центре.
Рис. 5. Пигментная форма КПЛ, развившаяся, вероятно, на лосьон после бритья.
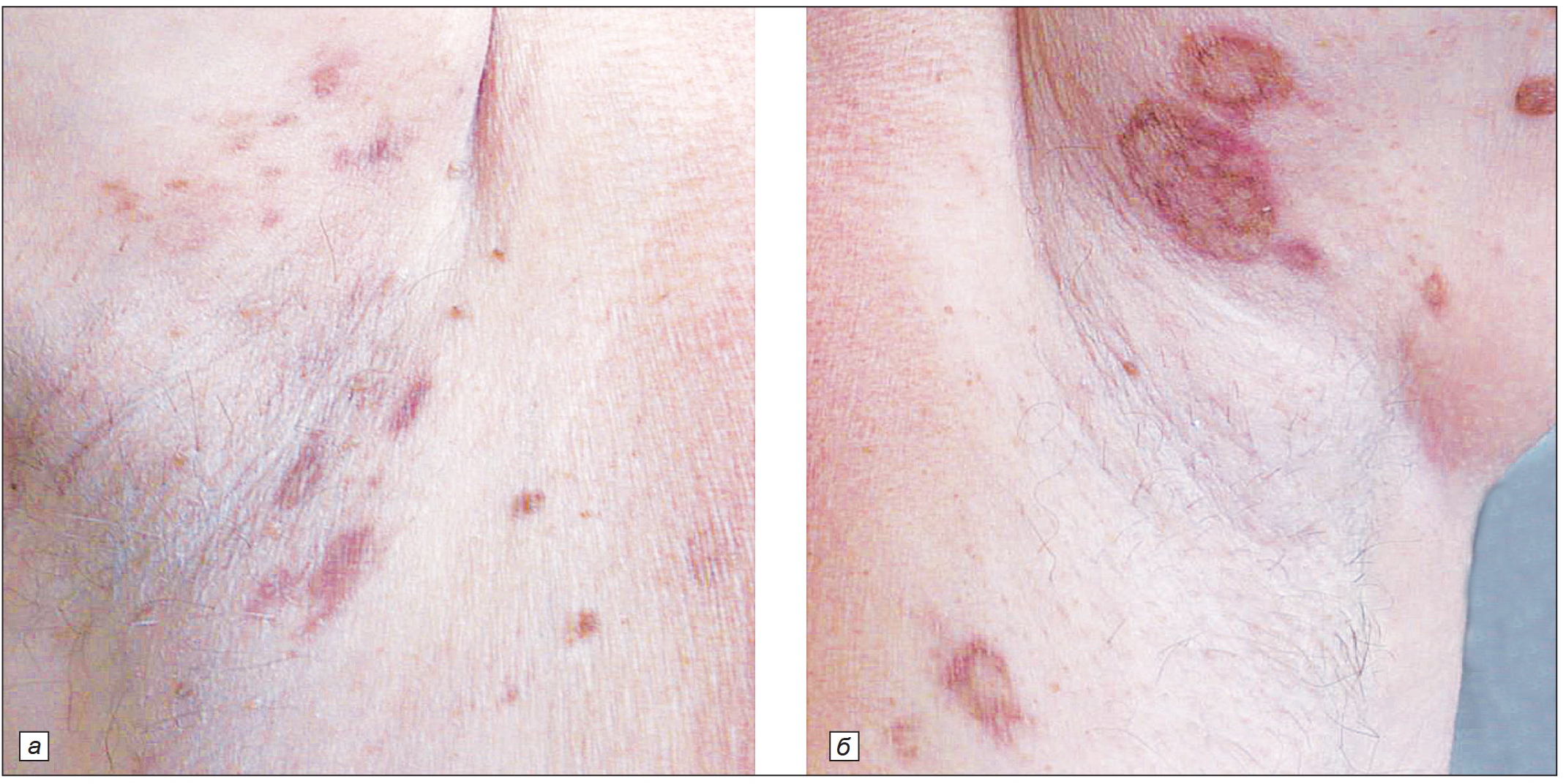
Рис. 6. Пигментно-атрофическая форма КПЛ: а – высыпания в области подмышечных впадин; б – высыпания возникли как реакция на дезодорант
Рис. 7. Веррукозная форма КПЛ на коже голени.
Рис. 8. Очаг рубцовой алопеции у больной синдромом Литтла–Лассюэра.
Рис. 9. Пигментно-атрофическая форма КПЛ: а – на слизистой оболочке твёрдого нёба отмечаются типичные папулы; б – папулы на слизистой оболочке языка и на твёрдом нёбе в области альвеолярных отростков; в – пигментно-атрофические высыпания на головке и стволе полового члена; г – в области паховой складки отмечаются гиперпигментация и очаги атрофии.
Рис. 10. Пигментно-атрофическая форма КПЛ: а – поражение красной каймы губ; б – очаги рубцовой алопеции; в – поражение половых органов у женщины.
About the authors
O. Yu. Olisova
I.M. Sechenov First Moscow State Medical University (Sechenov University)
Email: kolesovamsmu@gmail.com
ORCID iD: 0000-0003-2482-1754
Russian Federation, Moscow
N. P. Teplyuk
I.M. Sechenov First Moscow State Medical University (Sechenov University)
Email: kolesovamsmu@gmail.com
ORCID iD: 0000-0002-5800-4800
Russian Federation, Moscow
O. V. Grabovskaya
I.M. Sechenov First Moscow State Medical University (Sechenov University)
Email: kolesovamsmu@gmail.com
ORCID iD: 0000-0002-1231-1717
Russian Federation, Moscow
Yuliya V. Kolesova
I.M. Sechenov First Moscow State Medical University (Sechenov University)
Author for correspondence.
Email: kolesovamsmu@gmail.com
ORCID iD: 0000-0002-3617-2555
Clinical Resident of the Department of Skin and Veneral Diseases n.a. V.A. Rakhmanov
Russian Federation, MoscowReferences
Supplementary files












