Clinical efficacy and characteristics of immunological changes in patients with psoriasis following the combined use of sulfide peloids from Lake Saki
- Authors: Kuznetsova M.Y.1, Pritulo O.A.1, Dovgan I.A.2, Sokolova O.N.2
-
Affiliations:
- Medical Academy n.a. V.I. Vernadsky Crimean Federal University
- N.I. Pirogov’s Saki Military Clinical Sanatorium
- Issue: Vol 23, No 5 (2020)
- Pages: 303-311
- Section: CLINICAL PICTURE, DIAGNOSIS, AND THERAPY OF DERMATOSES
- Submitted: 02.11.2020
- Accepted: 02.11.2020
- Published: 15.10.2020
- URL: https://rjsvd.com/1560-9588/article/view/48909
- DOI: https://doi.org/10.17816/dv48909
- ID: 48909
Cite item
Full Text
Abstract
BACKGROUND: Psoriasis is a common disease, and many of its forms are resistant to treatment.
AIM: This study aimed to analyze the effects of complex treatment with Lake Saki sulfide peloids on the clinical and immunological parameters patients with psoriasis.
MATERIALS AND METHODS: The study included 90 patients with steady-state psoriasis of mild or moderate severity (51 men and 39 women) aged 23–65 (mean age 37.3 ± 12.7) years, who received treatment at the N.I. Pirogov Saki Military Clinical Health Resort of the Russian Ministry of Defense. The control group consisted of 30 apparently healthy volunteers.
RESULTS: Taking into account the clinical and immunological parameters of patients with mild and moderate psoriasis, we have developed a complex differentiated method of treatment using Lake Saki peloids and brine supplemented with an alpha-lipoic acid preparation.
CONCLUSION: The presented complex method of peloid balneotherapy in combination with alpha-lipoic acid preparation intensifies the 14-day course of sanatorium-resort treatment, increases the duration of remission, and enhances the quality of life of patients with mild-to-moderate psoriasis.
Full Text
Актуальность
Актуальность проблемы псориаза связана со значительной распространённостью заболевания в большинстве стран, стойкой тенденцией к увеличению тяжёлых, рецидивирующих, резистентных к лечению форм с развитием коморбидных состояний, что является причиной снижения качества жизни пациентов и представляет серьёзную медико-социальную проблему [1–3].
Заболеваемость псориазом в Российской Федерации составляет 65,8 случаев на 100 тыс. населения [4].
Результаты современных исследований подтверждают гипотезу о псориазе как об иммуноассоциированном, высоконаследуемом заболевании, ключевым патогенетическим механизмом которого является нарушение цитокиновой регуляции иммунного ответа с аккумуляцией активированных дендритных клеток, Т-лимфоцитов, макрофагов и других иммунокомпетентных клеток в очаге воспаления c избыточной продукцией провоспалительных цитокинов (TNFα, IL-1α, IL-2, IL-6, IL-8, IL-12, IL-17, IL-23), индуциирующих активность пролиферации Т-лимфоцитов, нарушение кератинизации и воспаление в дерме [5–8].
В настоящее время в патогенезе псориаза определена роль новых молекул цитокинов, в частности IL-15, IL-18, IL-19, IL-20, IL-21, IL-31, обладающих выраженным провоспалительным эффектом, с участием IL-10 как наиболее релевантного фактора в процессах адаптации организма, способного ингибировать избыточный синтез провоспалительных молекул и нивелировать баланс цитокинового профиля крови [9–13].
Cовременная терапия псориаза, несмотря на высокую эффективность, обладает токсическим эффектом, суживающим возможности «терапевтического окна», особенно при наличии у больного сопутствующей патологии.
Природные лечебные факторы являются естественным физиологическим мощным средством локального и системного воздействия на регуляторные системы организма, что обосновывает их активное изучение в дерматологической практике в последние годы [14–16].
Солеродное озеро Саки морского происхождения, расположенное на берегу Каламитского залива юго-западной части Крыма, является известным курортным бальнеологическим центром. К природным факторам озера Саки относят чёрные иловые сульфидные грязи, высокоминерализированную рапу, приморский степной климат с наибольшим количеством солнечного сияния в году (2500 ч) и солнечных дней в период с апреля по октябрь.
Благодаря уникальному климату курорта, здесь есть возможность использования комбинированных лечебных природных факторов (грязевых процедур, минеральных ванн, раполечения, аэро-гелио-талассотерапии) с применением коротких, но интенсивных курсов лечения с достижением максимального терапевтического эффекта, что особенно важно для больных псориазом. Ежегодно на Сакском месторождении добывают до 80 т лечебных грязей.
Сакские пелоиды по своей кондиции соответствуют критериям оценки государственного стандарта [17], являются приоритетными по физико-химическому составу, имеют слабощелочной, близкий к pH крови водородный показатель (7,3) с высоким содержанием сульфатов, карбанатов, магния, лития, марганца, селена, молибдена. Покровная рапа озера имеет высокую минерализацию (до 270–300 г/л) и сульфатно-хлоридно-магниево-натриевый состав с повышенным содержанием карбонатов и сульфидов.
Результаты сравнительного анализа с применением современного рентгенофлюоресцентного спектрального метода на содержание биологически активных веществ в образцах лечебных грязей Сакского озера и Мёртвого моря, являющегося глубоководным солеродным озером и расположенного в пределах Афро-Аравийского пояса на территории Израиля, свидетельствуют о превосходстве в Сакских пелоидах сульфатов, карбанатов, бишофита, магния, лития, марганца, селена, молибдена, йода, серы, обладающих значительным терапевтическим эффектом. Мёртвое море по соотношению минеральных солей относится к хлоро-кальцевым растворам с хлоридно-карбонатными грязевыми отложениями, высоким содержанием кальция, калия, очень низкой концентрацией ионов серной кислоты и самой высокой концентрацией брома, при этом минерализация 300–420 г/л и высокий слабощелочной pH (8,5–9) сокращают длительность пребывания в море до 15 мин. По содержанию липидов Сакские пелоиды в 3 раза превосходят илы Мёртвого моря, по количеству витаминов [(каротиноиды, аскорбиновая кислота (С), тиамин (В1), токоферолы (Е), ретинол (А)] и аминокислот – в 10 и 2,5 раза соответственно [18, 19].
Механизм терапевтического воздействия пелоидов и рапы обусловлен влиянием химического, температурного и механического факторов.
Механизм иммунного ответа на воздействие пелоидов и рапы начинается с активации кератиноцитов, фибробластов кожи, секретирующих хемокины, белковые молекулы, активирующие Т-регуляторные лимфоциты. В результате трансэпидермальной резорбции в кровь различных газообразных молекул, экзогенных сульфидов пелоидов и рапы блокируются главные факторы локального воспаления и пролиферации путём воздействия на активность ядерных транскрипционных факторов – NF-kB (nuclear factor kappa В), JNK (c-Jun N-terminalkinase) и NFAT (Nuclear factor of activated T-cells), что понижает цитотоксичность Т-лимфоцитов и уменьшает экспрессию цитокинов в кровь [20, 21].
Грязевые процедуры оказывают на кожу кератолитический, противовоспалительный, очищающий пилинговый, микромассажный эффект, а повторные процедуры приводят к закреплению лечебного действия.
В ряде исследований показана эффективность применения пакетированной сульфидной иловой грязи [22]. Несмотря на хорошие результаты, данный метод терапии имеет ряд недостатков, связанных со снижением содержания сульфидов железа, водорастворимых солей, микроорганизмов, гуминовых веществ. Расфасовка и транспортировка пелоидов приводит к разрушению механических связей, снижению влагоёмкости, поэтому бальнеологические процедуры с использованием пелоидов и рапы непосредственно из термального источника являются приоритетными в лечении псориаза.
Новым походом к лечению признана комбинированная пелоидобальнеотерапия с включением препарата альфа-липоевой кислоты (acidi thioctici) – сернистой, незаменимой жирной кислоты с широким, доказанным современными исследованиями отечественных и зарубежных авторов спектром фармакологической активности – антиоксидантной, нейропротекторной, противовоспалительной, антипролиферативной, иммуномодулирующей, что является актуальным и востребованным в лечении больных псориазом. Благодаря сочетанию гидрофильных и липофильных свойств, вводимая в организм альфа-липоевая кислота восстанавливается из R+-изоформы до дигидролипоевой кислоты, свободно проникает в клеточную мембрану и цитоплазму клеток, уменьшеньшает активацию NF-kB (nuclear factor kappa В), что обусловливает ингибирование процессов пролиферации и воспаления. Молекулярно-клеточный механизм действия альфа-липоевой кислоты осуществляется за счёт ионов серы, обеспечивающих пространственную организацию молекул белков, синтез коллагена кожи, защиту протоплазмы клетки от окисления. Иммуномодулирующий эффект альфа-липоевой кислоты обусловлен ингибированием процессов пролиферации и воспаления путём уменьшения активации ключевого звена иммунных реакций – ядерного фактора NF-kB, который регулирует продукцию провоспалительных цитокинов и молекул адгезии (intercellular adhesion molecule 1, ICAM-1), а также активации генов, кодирующих регуляторы апоптоза и клеточной пролиферации [23].
Современными клиническими исследованиями доказано, что пероральный приём альфа-липоевой кислоты в дозе 600 мг в течение 3 дней способствует достоверному снижению содержания NF-kB в клетках эпидермиса, а в крови – интерлейкинов и молекул межклеточной адгезии (ICAM-1).
Влияние грязевых аппликаций сульфидно-иловых пелоидов на морфологическую структуру и иммунный гомеостаз кожи и крови у больных псориазом недостаточно изучено. В современной литературе отсутствуют публикации по изучению влияния сульфидных пелоидов и рапы озера Саки на иммунные механизмы системного и локального иммунного ответа при псориазе.
Цель исследования – изучение влияния комплексного лечения сульфидными пелоидами озера Саки на клинические и иммунологические показатели у больных псориазом.
Материал и методы
Проведено когортное контролируемое исследование. Протокол исследования одобрен локальным научным этическим комитетом ФГАУ ВО «Крымский федеральный университет имени В.И. Вернадского».
Работа выполнена на кафедре дерматовенерологии и косметологии Медицинской академии имени С.И. Георгиевского ФГАОУ ВО «Крымский федеральный университет имени В.И. Вернадского» на базе Сакского военного клинического санатория имени Н.И. Пирогова Минобороны РФ.
Всего под наблюдением находились 90 больных псориазом (51 мужчина и 39 женщин) в возрасте от 23 до 65 лет (средний возраст 37,3 ± 12,7 года) и 30 практически здоровых лиц (группа контроля).
Критерии включения в исследование: наличие клинически подтверждённого диагноза (псориаз обыкновенный, стационарная стадия); возраст от 23 до 65 лет; информированное письменное согласие на участие в исследовании.
Критерии исключения больных из исследования: наличие сопутствующих декомпенсированных заболеваний (сердечная и почечная недостаточность; психические заболевания, псориатический артрит, онкологические заболевания, заболевания крови, туберкулёз, прогрессирующая стадия псориаза, осложнённые формы псориаза – пустулёзный псориаз, псориатическая эритродермия, псориатический артрит, каплевидный псориаз), обострение сопутствующих хронических заболеваний; беременность и лактация; отсутствие добровольного информированного согласия на обследование.
Исходя из методов применяемой терапии пациенты были разделены на две группы: 1-ю группу составили 45 больных (27 мужчин и 18 женщин) обыкновенным псориазом стационарной стадии, из них 18 (40%) с лёгкой степенью тяжести, PASI 7,43 ± 1,16 (подгруппа 1А); 27 (60%) со средней степенью тяжести, PASI 15,97 ± 3,53 (подгруппа 1Б). Пациенты 1-й группы получали аппликации лечебной грязи с чередованием рапными ваннами на озере Саки в обычном режиме (подгруппа 1А) и по ослабленной (митигированной) методике (подгруппа 1Б). Обычный режим лечения назначали при псориазе лёгкой степени тяжести (PASI < 10). Продолжительность грязевой аппликации составляла 20–25 мин при температуре 38 °С. В свободные от процедур лечебной грязи дни назначали разводные рапные ванны (концентрация 40 г/л, 37 °C) в течение 15 мин. Курс процедур лечебной грязи и рапных ванн составил 14 дней.
Во 2-ю группу вошли 45 больных (21 женщина и 24 мужчины) обыкновенным псориазом в стационарной стадии, из них 16 (35,6%) с лёгкой степенью тяжести, PASI 7,55 ± 2,29 (подгруппа 2А), 29 (64,4%) со средней степенью тяжести, PASI 15,78 ± 3,45 (подгруппа 2Б). Пациентам 2-й группы проводился комплексный метод лечения – пелоидобальнеотерапия в сочетании с препаратом альфа-липоевой кислоты. Больные псориазом лёгкой степени тяжести в подгруппе 2А получали аппликации лечебной грязи и рапные ванны в общем режиме в сочетании с препаратом альфа-липоевой кислоты по 1 капсуле, 600 мг 1 раз в сутки в течение 14 дней. Пациентам с псориазом средней степени тяжести (подгруппа 2Б) аппликации лечебной грязи и рапные ванны назначали в митигированном (ослабленном) режиме в сочетании с препаратом альфа-липоевой кислоты по 1 капсуле, 600 мг в день в течение санаторно-курортного лечения 14 дней и 14 дней в амбулаторных условиях. Курс 28 дней.
Контрольную группу составили 30 здоровых добровольцев (16 мужчин и 14 женщин), не страдающих кожными заболеваниями, сопоставимых по возрасту и гендерным признакам.
Пациенты анализируемых групп были максимально однородны по полу, возрасту, анамнезу, сопутствующей патологии, исходным клиническим показателям. Большинство пациентов (57; 63,3%) были резистентны к стандартным протоколам терапии. Клинико-лабораторное обследование больных проводили на 1-е и 14-е сут лечения в санатории.
Клинические методы исследования. Для объективной оценки дерматологического статуса и эффективности терапии использовали индекс распространённости и тяжести псориаза (Psoriasis Area and Severity Index, PASI), а в дополнение рассчитывали индекс по статической глобальной оценке врача (static Physician Global Assessment, sPGA). Все пациенты до начала и в конце лечения проходили анкетирование с целью определения дерматологического индекса качества жизни пациента (Dermatology Life Quality Index, DLQI).
По окончании санаторно-курортного лечения каждому пациенту вручали анкету – схему обратной связи с обязательным указанием количества рецидивов, длительности ремиссии в течение 6 и 12 мес после выписки, адрес учреждения, где проводили исследование.
Иммунологические методы исследования. Определение субпопуляций Т-лимфоцитов периферической крови [(CD3+, CD4+, CD8+, CD3+HLA-DR+, NK (CD3+CD16+CD56+-клетки)], В-лимфоцитов проводили методом проточной лазерной цитофлюорометрии с использованием моноклональных антител (МКА, DAKOCytomation Denmark A/SВ, Дания). Концентрацию провоспалительных цитокинов IL-1α, IL-2, IL-8, TNFα и провоспалительного IL-10 в сыворотке крови определяли методом твёрдофазного иммуноферментного анализа. При морфологическом исследовании кожи (световая микроскопия, иммуногистохимия) иммуногистохимическая панель включала антитела CD3+ Т-лимфоциты, CD4+ (Clone 4B12), CD8 (Clone С8/144В), CD68 (Clone PGM1), TNFα, IL-1α, IL-6. Система визуализации EnVision™ FLEX+, Mouse, High pH (Link), Code K8012 на автостейнере фирмы DAKО.
При статистическом анализе проверки распределения на нормальность использовали критерий Пирсона χ2 и W-тест Шапиро–Уилка, при сравнении средних двух независимых выборок – t-критерий Стьюдента. В расчётах использовали программный пакет Statistica 6.0 (StatSoft Inc., США). Различия считали статистически значимыми при р ≤ 0,05.
Результаты
В результате сравнительного анализа динамики дерматологических показателей в двух анализируемых группах установлена однонаправленная положительная динамика дерматологических индексов (табл. 1).
Таблица 1
Динамика индекса PASI в зависимости от метода терапии у больных псориазом лёгкой и средней степени тяжести (M ± m)
Подгруппа | Природные факторы озера, mean ± SD PASI | Природные факторы озера + АЛК, mean ± SD PASI | ||
1-я группа, n = 45 | 2-я группа, n = 45 | |||
до лечения | после лечения | до лечения | после лечения | |
1А, 2А | 7,55 ± 2,29 (n = 18) | 3,54 ± 1,22 р1 < 0,001 | 7,43 ± 1,16 (n = 16) | 3,46 ± 2,21 р1 < 0,01 р2 > 0,05 |
1Б, 2Б | 15,78 ± 3,45 (n = 27) | 7,46 ± 2,56 р2 < 0,001 | 15,97 ± 3,53 (n = 29) | 4,23 ± 2,32 р2 < 0,001 |
Примечание. р1 – при сравнении в динамике внутри групп; р2 – при сравнении в динамике между группами; mean ± SD – среднее значение показателя и стандартное отклонение. Здесь и в табл. 3: АЛК – альфа-липоевая кислота.
Более интенсивный регресс дерматологических показателей зафиксирован у больных псориазом средней степени тяжести (подгруппа 2Б). Индекс PASI до лечения у пациентов подгруппы 2Б, получавших курс пелоидобальнеотерапии в сочетании с препаратом альфа-липоевой кислоты, на 14-е сут уменьшился в 4,1 раза (с 15,97 ± 3,53 до 4,23 ± 2,32; ΔPASI 75,1 ± 3,45%, p < 0,001) в сравнении с подгруппой 1Б, в которой отмечен регресс ΔPASI в 2,1 раза (53,7 ± 3,42%; p < 0,05). В подгруппах 1А и 2А величина индекса PASI уменьшалась и статистически значимо не зависела от метода проводимой терапии. Под влиянием комплексного метода терапии (2-я группа) зафиксировано интенсивное снижение индекса sPGA в подгруппе 2А на 19,8%, в 2Б на 32,5% (p < 0,05), в подгруппах 1А и 1Б – на 13,4 и 18,3% соответственно (p < 0,05).
В результате исследования установлено, что во 2-й группе пациентов, получавших процедуры лечебных грязей и рапных ванн в сочетании с препаратом альфа-липоевой кислоты, значительное клиническое улучшение PASI 75 зафиксировано у 18 (40%) больных, в то время как в 1-й группе – у 12 (26,6%); клиническое улучшение PASI 50 диагностировано у 29 (64,4%) и 25 (57,6%) больных соответственно. Случаев отсутствия эффекта или ухудшения состояния не зафиксировано ни в одной из исследуемых групп.
Анализ показателей клеточного иммунитета крови до лечения у пациентов анализируемых групп представлен в табл. 2
Таблица 2
Изменение субпопуляций Т-лимфоцитов периферической крови у больных псориазом лёгкой и средней степени тяжести до лечения
Показатель | Здоровые лица (контроль), n = 30 | 1-я группа, n = 45 | 2-я группа, n = 45 | ||
подгруппа | |||||
1А, n = 18 | 1Б, n = 27 | 2А, n = 16 | 2Б, n = 29 | ||
Т-лимфоциты (CD3+), % | 70,35 ± 1,43 | 58,18 ± 1,42 р0 < 0,001 | 48,72 ± 0,86 р0 < 0,001 р1 < 0,001 | 56,03 ± 1,12 р0 < 0,001 | 49,72 ± 2,14 р0 < 0,001 р1 > 0,05 |
Т-хелперы (CD3+CD4+), % | 39,47 ± 1,40 | 31,54 ± 1,53 р0 < 0,001 | 25,88 ± 1,24 р0 < 0,001 р1 < 0,01 | 32,53 ± 2,43 р0 < 0,01 | 25,11 ± 2,23 р0 < 0,001 р1 > 0,05 |
Цитотоксические Т-лимфоциты (CD3+CD8+), % | 29,76 ± 1,38 | 26,68 ± 2,18 р0 < 0,001 | 23,74 ± 1,16 р0 < 0,001 р1 < 0,05 | 27,68 ± 2,03 р0 < 0,001 | 22,87 ± 0,61 р0 < 0,001 р1 > 0,05 |
Иммунорегуляторный индекс (CD4+/CD8+) | 1,36 ± 0,10 | 1,27 ± 0,11 р0 < 0,001 | 1,02 ± 0,07 р0 < 0,001 р1 > 0,05 | 1,26 ± 0,11 р0 < 0,001 | 1,07 ± 0,06 р0 < 0,001 р1 > 0,05 |
Активированные Т-лимфоциты, (CD3+HLA–DR+), % | 2,25 ± 0,14 | 1,89 ± 0,17 р0 < 0,001 | 1,41 ± 0,13 р0 < 0,001 р1 > 0,05 | 1,83 ± 0,17 р0 < 0,001 | 1,54 ± 0,18 р0 < 0,05 р1 > 0,05 |
NK-клетки (CD3– CD16+CD56+), % | 11,44 ± 0,72 | 9,58 ± 0,9 р0 < 0,001 | 8,35 ± 0,74 р0 < 0,01 р1 > 0,05 | 9,15 ± 0,61 р0 < 0,001 | 8,68 ± 0,54 р0 < 0,001 р1 > 0,05 |
Естественные Т-киллеры, (CD3+CD16+CD56+), % | 6,51 ± 0,61 | 3,07 ± 0,23 р0 < 0,001 | 2,84 ± 0,22 р0 < 0,001 р1 > 0,05 | 3,07 ± 0,21 р0 < 0,001 | 2,53 ± 0,26 р0 < 0,001 р1 > 0,05 |
В-лимфоциты (CD19+) | 12,73 ± 0,68 | 9,06 ± 0,42 р0 < 0,001 | 8,79 ± 0,18 р0 < 0,001 р1 > 0,05 | 9,01 ± 0,46 р0 < 0,001 | 8,17 ± 0,21 р0 < 0,001 р1 > 0,05 |
Примечание. Cтатистическая значимость различия: р0 – показателей относительно контроля; р1 – между показателями.
Установлен дефицит количества субпопуляций Т-лимфоцитов CD3+, CD4+, CD8+, CD+HLA-DR+, натуральных Т-киллеров (CD3+CD16+CD56+), В-лимфоцитов (CD19+) в обеих анализируемых группах относительно контрольных значений (р < 0,05) с наиболее значительным снижением величины соотношения CD4+/CD8+ в обеих подгруппах больных псориазом средней степени тяжести (1Б и 2Б).
Анализ цитокинового профиля крови показал высокие концентрации большинства определявшихся молекул цитокинов по сравнению со здоровыми лицами. У пациентов 1-й группы повышенными оказались показатели экспрессии IL-1 в 3,8 раза, IL-2 в 1,8 раза, IL-8 в 1,6 раза, TNFα в 5,7 раза, IL-10 в 1,9 раза в сравнении с аналогичными в группе контроля (р < 0,001). Во 2-й группе – IL-1 в 4 раза, IL-2 в 1,7 раза, IL-8 в 1,7 раза, TNFα в 6,1 раза соответственно (р < 0,001).
В результате морфологического исследования биоптатов кожи пациентов 1-й и 2-й групп до лечения обнаружены характерные признаки воспаления и эпидермальной инфильтрации базальных клеток, наиболее выраженные в подгруппах больных псо-риазом средней степени тяжести (1Б и 2Б).
Клеточный воспалительный инфильтрат характеризовался резким повышением клеток лимфоцитарного ряда общего пула CD3+ Т-лимфоцитов с достоверным ростом в 3 раза у больных псориазом средней степени тяжести (подгруппы 1Б и 2Б) с преобладанием цитотоксических CD8+ Т-лимфоцитов и достоверным падением соотношения CD4+/CD8+ до 0,66 ± 0,02 и 0,62 ± 0,12 относительно контроля (1,08 ± 0,1) (р < 0,01); ростом количества CD68-позитивных макрофагов (р < 0,05), повышением экспрессии цитокинов TNFα IL-1α, IL-6, что является патогенетическим признаком псориаза и подтверждает цитотоксическую активность иммунных клеток, наличие пусковых механизмов в очаге воспаления.
При повторном исследовании на 14-е сут лечения в санатории отмечалась положительная динамика иммунологических показателей клеточного звена иммунитета у пациентов 1-й и 2-й групп.
Под влиянием комплексной терапии (2-я группа: лечебная грязь, рапные ванны, альфа-липоевая кислота) отмечалось более значительное (на 23,6%) увеличение общего количества CD3+ до 60,5 ± 1,6; Т-хелперов-индукторов CD4+ до 34,6 ± 2,4 (на 13,6%), цитотоксических CD8+ до 28,39 ± 2,6 (на 29,2%); р < 0,001, по сравнению с 1-й группой, где выявлена тенденция к увеличению исследуемых показателей CD3+, CD4+, CD8+ Т-лимфоцитов (р > 0,05).
Изменение цитокинового профиля крови в зависимости от метода терапии представлено в табл. 3.
Таблица 3
Динамика изменения цитокинового профиля в крови больных псориазом в зависимости от метода проводимой терапии (M ± m)
Показатель | Здоровые лица (контроль), n = 30 | 1-я группа, n = 45 (пелоидобальнеотерапия) | 2-я группа, n = 45 (пелоидобальнеотерапия + АЛК) | ||
до лечения | 14-й день | до лечения | 14-й день | ||
IL-1α | 3,4 ± 0,22 | 13,22 ± 0,86 р < 0,001 | 12,66 ± 0,74 р < 0,001 р1 > 0,05 | 13,78 ± 0,63 р < 0,001 | 8,4 ± 0,31 р < 0,001 р1 < 0,001 |
IL-2 | 5,27 ± 0,34 | 9,56 ± 0,56 р < 0,001 | 8,09 ± 0,67 р < 0,001 р1 > 0,05 | 9,18 ± 0,56 р < 0,001 | 7,02 ± 0,4 р > 0,05 р1 < 0,001 |
IL-8 | 31,32 ± 2,28 | 50,88 ± 2,57 р < 0,001 | 49,17 ± 3,07 р < 0,001 р1 > 0,05 | 52,64 ± 2,52 р < 0,001 | 45,83 ± 2,1 р < 0,01 р1 < 0,001 |
TNFα | 1,71 ± 0,18 | 9,61 ± 0,72 р < 0,001 | 7,03 ± 0,82 р < 0,001 р1 > 0,05 | 10,48 ± 0,33 р < 0,001 | 5,63 ± 0,29 р > 0,05 р1 < 0,001 |
IL-10 | 6,67 ± 0,56 | 12,71 ± 0,55 р < 0,001 | 10,87 ± 0,61 р < 0,001 р1 < 0,05 | 11,53 ± 0,49 р < 0,001 | 8,03 ± 0,57 р > 0,05 р1 < 0,001 |
Примечание. Cтатистическая значимость различий показателей: р – по сравнению со здоровыми донорами; р1 – до и после лечения.
Как видно из представленных данных, комплексный метод пелоидобальнеотерапии с применением препарата альфа-липоевой кислоты способствовал более интенсивному уменьшению экспрессии цитокинов – IL-2 на 24,2%, IL-8 на 44,7%, IL-10 на 31,2%, TNFα на 43,2% относительно значений до лечения (р < 0,001), но при этом показатели имели статистически значимые различия с группой здоровых лиц (р < 0,001). У больных псориазом средней степени тяжести различия в подгруппах 1Б и 2Б достигали статистической значимости лишь по содержанию IL-2, IL-10, TNFα (р < 0,05).
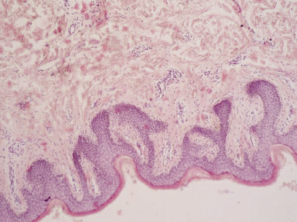
Результаты гистологического исследования на 14-е сут показали уменьшение объёма воспалительного инфильтрата, явлений паракератоза и акантоза в обеих исследуемых группах (рис. 1).
На фоне уменьшения объёма воспалительного инфильтрата снижались показатели Т-лимфоцитов (табл. 4).
Таблица 4
Экспрессия CD3, CD4 и CD8 Т-лимфоцитов в воспалительном инфильтрате кожи на 14-е сут в процессе комбинированной пелоидобальнеотерапии на озере Саки (M ± m)
Маркер | Здоровые лица (контроль), n = 10 | 1-я группа, n = 10 | 2-я группа, n = 10 | ||
подгруппа 1А, n = 5 | подгруппа 1Б, n = 5 | подгруппа 2А, n = 5 | подгруппа 2Б, n = 5 | ||
CD3+ | 21,4 ± 3,21 | 39,4 ± 5,91 24,6 ± 3,69 р < 0,05 | 63,1 ± 9,4 31,8 ± 4,7 р < 0,01 | 38,43 ± 5,89 21,9 ± 3,2 р1 < 0,05 | 62,3 ± 8,7 26,5 ± 3,98 р < 0,05 р1 < 0,05 |
CD4+ | 11,1 ± 1,67 | 15,6 ± 2,34 13,8 ± 2,02 р > 0,05 | 21,1 ± 3,17 20,8 ± 4,7 р < 0,05 | 14,78 ± 2,87 11,5 ± 1,73 р1 > 0,050 | 20,61 ± 2,89 13,5 ± 2,03 р > 0,05 р1 > 0,05 |
CD8+ | 10,3 ± 1,55 | 23,8 ± 3,5 12,7 ± 1,91 р < 0,05 р1 < 0,01 | 41,9 ± 6,29 18,7 ± 2,81 р < 0,01 | 23,47 ± 3,89 10,9 ± 1,64 р1 < 0,01 | 41,13 ± 5,27 13,9 ± 2,01 р < 0,01 р1 > 0,05 |
CD4+/CD8+ | 1,08 ± 0,16 | 0,66 ± 0,1 1,08 ± 0,12 р < 0,05 | 0,56 ± 0,07 0,83 ± 0,11 р < 0,05 | 0,62 ± 0,12 1,05 ± 0,16 р1 < 0,0 | 0,52 ± 0,06 0,97 ± 0,10 р > 0,05 р1 > 0,05 |
Примечание. Cтатистическая значимость различий показателей: р – группы до лечения и контроля; р1 – между группами до лечения и в процессе лечения больных.
В подгруппе больных псориазом средней степени тяжести (2Б) под влиянием комбинированной терапии количество CD3+ Т-лимфоцитов в воспалительном инфильтрате дермы снизилось вдвое – до 26,50 ± 1,08, экспрессия CD4+ и CD8+ Т-лимфоцитов – до 13,3 ± 2,03 и 13,9 ± 2,01 соответственно, что привело к повышению величины соотношения (CD4/CD8) до 1,08 ± 0,02 и соответствию допустимым значениям контроля (р > 0,05).
Под влиянием комплексного метода пелоидобальнеотерапии в подгруппе 2А достигнутый эффект сохранялся до 6 мес у 20,51% с ростом количества пациентов до 33,3% в подгруппе 2Б, до 12 мес – у 10,26 и 17,95% соответственно.
На основании полученных результатов исследования нами разработан комплексный дифференцированный метод лечения пелоидами и рапой на озере Саки с включением препарата альфа-липоевой кислоты у больных псориазом лёгкой и средней степени тяжести с учётом клинических и иммунологических показателей (рис. 2).
Заключение
Таким образом, разработанный комплексный метод пелоидобальнеотерапии в условиях курорта в сочетании с препаратом альфа-липоевой кислоты усиливает терапевтический эффект природных факторов озера Саки, интенсифицирует 14-дневный курс пелоидобальнеотерапии, повышает длительность ремиссии и качество жизни больных псориазом лёгкой и средней степени тяжести.
About the authors
Marina Yu. Kuznetsova
Medical Academy n.a. V.I. Vernadsky Crimean Federal University
Author for correspondence.
Email: mary.kuznetz2013@yandex.ru
ORCID iD: 0000-0001-9227-4751
MD, assistant of S.I. Georgievsky Department of Dermatovenereology and Cosmetology
Russian Federation, SimferopolO. A. Pritulo
Medical Academy n.a. V.I. Vernadsky Crimean Federal University
Email: mary.kuznetz2013@yandex.ru
ORCID iD: 0000-0001-6515-1924
Russian Federation, Simferopol
I. A. Dovgan
N.I. Pirogov’s Saki Military Clinical Sanatorium
Email: mary.kuznetz2013@yandex.ru
ORCID iD: 0000-0002-9395-2873
Russian Federation, Saki
O. N. Sokolova
N.I. Pirogov’s Saki Military Clinical Sanatorium
Email: mary.kuznetz2013@yandex.ru
ORCID iD: 0000-0002-7237-0268
Russian Federation, Saki
References
- Kubanov АА, Kubanova АА, Karamova AE, Mineyeva AA. Prevalence of genetic risk factors of psoriasis among the population of the Russian Federation. Bulletin of Dermatology and Venereology. Russian Journal. 2014;90(6):69-76. (in Russian)
- Michalek IM, Loring В, John S. A systematic review of worldwide epidemiology of psoriasis. J Eur Acad. Dermatol Venereol. 2017;31(2):205-12.
- Suskova VS, Pinson IYa, Оlisova OYu. Immunopathological mechanisms of psoriasis. Russian Journal of Clinical Dermatology and Venereology. 2006;4(1):68-70. (in Russian)
- Kubanova AA, Kubanov AA, Melekhina LE, Bogdanova EV. The assessment of the incidence of skin disorders in Russian Federation in 2003-2016. Bulletin of Dermatology and Venereology. Russian Journal. 2017;93(6):22-33. (in Russian)
- Khairutdinov VR, Belousova IE, SamtsovAV. Immune pathogenesis of psoriasis. Bulletin of Dermatology and Venereology. Russian Journal. 2016;92(4):20-6. (in Russian)
- Samtsov AV, Khairutdinov VR, Bakulev AL, Kubanov AA, Karamova AE, Artemyeva AV, Korotaeva TV. Efficacy and Safety of BCD-085, a Novel Interleukin-17 Inhibitor. Results of Phase II Clinical Trial in Patients with Moderate-to-Severe Plaque Psoriasis. Bulletin of Dermatology and Venereology. Russian Journal. 2017;93(5):52-63. (in Russian)
- Olisova OYu, Teplyuk NP, Pinegin VB. Modern methodes of psoriasis treatment. Russian Journal of Medicine. 2015;23(9):483-4. (in Russian)
- Kokhan MM, Keniksfest YuV, Grishaeva EV, Shefer AYu, Rimar OG. Mechanisms of psoriatic plaques formation and combined balneophoto-chemotherapy of psoriasis vulgaris patients. Lechasсhi Vrach. Russian Journal. 2013;(10):16-9. (in Russian)
- Anupam M, Fallen RS, Cavalcante LH. Cytokine-based therapy in psoriasis. Clin Rev Allergy Immunol. 2013;44(2):173-82.
- Antoniu SA. Targeting the TNF-alpha pathway in sarcoidosis. Expert Opin Ther Targets. 2010;14(1):21-9.
- Baker BS, Laman JD, Powles A. Peptidoglycan and peptidoglycan-specific Th1 cells in psoriatic skin lesions. J Pathol. 2006;209(2):174-81.
- Gudjonsson JE, Ding J, Johnston А. Assessment of the psoriatic transcriptome in a large sample: additional regulated genes and comparisons with in vitro models. J Invest Dermatol. 2010;130(7):1829-40.
- Warren RB, Smith CH, Yiu Zenas ZN, Ashcroft DM, Barker JN, Burden AD, et al. Differential drug survival of biologic therapies for the treatment of psoriasis: a prospective observational cohort study from the British Association of Dermatologists Biologic Interventions Register (BADBIR). J Invest Dermatol. 2015;135(11):2632-40.
- Kulikov AG, Shakhova AS. The role of physical factors in the combined treatment of psoriasis (a scientific review). Russian Journal of Physiotherapy, Balneology and Rehabilitation. 2013;(1):44-51. (in Russian)
- Badalov NG, Konchugova TV, Marchenkova LA, Persiyanova-Dubrova AL, Martynova EYu. Role of nondrug methods in a package of measures for the prevention and treatment of osteoporosis: A review of literature. Modern Rheumatology. Russian Journal. 2016;10(3):62-8. (in Russian)
- Shani J, Harari M, Hristakieva E, Seidl V, Bar-Giyora J. Dead-Sea climatotherapy versus other modalities of treatment for psoriasis: comparative cost-effectiveness. Int J Dermatol. 1999;38(4):252-62.
- Popov YuV, Gulov OA, Vasenko VI. On the structure and composition of the silt strata of Lake Saki (Crimea). Journal of Domestic Geology. Russian Journal. 2015;(3):45-52. (in Russian)
- Harari M, Sela Y, Ingber A, Vardy D. Dead-Sea climatotherapy for psoriasis vulgaris: analysis of short-term results. Glob Dermatol. 2016;3(3):295-301. doi: 10.15761/GOD.1000177
- Kotova IK, Kayukova EP, Mordukhai-Boltovskaya LV, Hlatonova NV, Kotov SR. Pattern of the composition formation of oozy mud from the Dead Sea and salt lakes of Crimea. Vestnik of St.Peresburg State University. Series 7. Geology. Geography. 2015;(2):85-102. (in Russian)
- Mi Young Kim, Eun Jin Kim, Young-Nam Kim, Changsun Choi, Bog-Hieu Lee. Effects of a-lipoic acid and L-carnosine supplementation on antioxidant activities and lipid profiles in rats. Nutr Res Pract. 2011;5(5):421-8.
- Kolpakova AF, Sharipov RN, Kolpakov FA. Transcription factor NF-kB plays a key role in the regulation of genes involved in inflammatory and immune responses. Siberian Medical Review. Russian Journal. 2009;(3):7-12. (in Russian)
- Fedotchenko AA. Mud Treatment (Peloidotherapy). Siberian Medical Journal. Russian Journal. 2010;(6):273-75. (in Russian)
- Imanaeva AYa, Zalyalyutdinova LN. Pathogenetic raionale for antioxidant administration in treatment of rheumatoid arthritis. Modern Problems of Science and Education. Russian Journal. 2013;(2):100. (in Russian)




