Amelanotic melanoma and pyogenic granuloma. Peculiarities of the differential diagnosis
- Authors: Zikiryachodzhaev A.D.1, Saribekyan E.K.1, Vertieva E.Y.2, Pestin I.S.1
-
Affiliations:
- P.A. Hertsen Moscow Oncology Research Center, Moscow, Russian Federation
- I.M. Sechenov First Moscow State Medical University (Sechenov University)
- Issue: Vol 23, No 4 (2020)
- Pages: 202-207
- Section: CLINICAL PICTURE, DIAGNOSIS, AND THERAPY OF DERMATOSES
- Submitted: 02.11.2020
- Accepted: 02.11.2020
- Published: 15.08.2020
- URL: https://rjsvd.com/1560-9588/article/view/48908
- DOI: https://doi.org/10.17816/dv48908
- ID: 48908
Cite item
Full Text
Abstract
INTRODUCTION: Nodular melanoma is a rapidly progressive skin tumour with a high risk of methastasis even on early stages. This fact leads to necessity of non-invasive procedures, which can verify this diagnosis before surgery. Nodular forms of amelanotic melanoma can be hardly diagnosed because of their unusual diagnostic and dermatoscopic features.
CASE REPORT: Pyogenic granuloma is the most difficult disease for differential diagnosis. It is a benign vascular formation, which mimics nodular amelanotic melanoma.
Full Text
Меланома кожи является особой формой злокачественного новообразования, существенно отличающейся от солидных органоспецифичных опухолей. Меланома имеет характерную клиническую картину, особенности течения болезни, лечения и диагностики. В отличие от всех других опухолей диагностировать меланому до хирургического лечебного вмешательства часто можно с помощью неинвазивных методов диагностики – макроскопического осмотра, дерматоскопии, ультразвукового исследования для определения толщины опухоли и др.
При первичной, недиссеминированной меланоме толщиной менее 0,8 мм по Бреслоу [1] неодъювантная лекарственная терапия не показана, а лечение заключается в хирургическом иссечении, как правило, небольшого участка кожи, что возможно амбулаторно под местной анестезией и не может нанести физический ущерб организму даже в случае ошибочного диагноза.
Однако, в соответствии с современными рекомендациями, при толщине меланомы более 0,8 мм показано удаление сторожевого лимфатического узла, как правило, в подмышечной, паховой или шейной областях для исключения регионарного метастатического процесса. В данной ситуации необходимы интраоперационный изотопный диагностический этап, общий наркоз во время операции, широкое иссечение меланомы кожи и удаление регионарного лимфатического узла из дополнительного разреза кожи. Хирургическое вмешательство в виде иссечения первичной опухоли с одновременной биопсией сторожевого лимфатического узла представляется оптимальным вариантом лечения. Однако, в случаях ошибочной гипердиагностики новообразования могут наблюдаться существенные физические и затратные издержки. Второй вариант лечения осуществляется в два этапа: эксцизионная биопсия опухоли для гистологического подтверждения диагноза и определения толщины и глубины инвазии с последующим реиссечением рубца и исследованием сторожевых лимфатических узлов. У данного варианта также имеются издержки в виде удлинения времени лечения из-за необходимости двукратного хирургического вмешательства [1, 2]. Таким образом, случаи ошибочной диагностики при наличии всех основных клинических признаков меланомы требуют тщательного изучения. При этом наиболее трудно провести дифференциальный диагноз между узловой беспигментной меланомой и пиогенной гранулёмой.
Пиогенная гранулёма – доброкачественная опухоль сосудистого генеза и неясной этиологии – впервые была описана как ботриомикома по предполагаемой роли гриба-возбудителя рода Botriomices [3]. В течение разных лет названия заболевания менялись от телеангиоэктатической гранулёмы, капиллярной гемангиомы до пиогенной гранулёмы (в США), однако связи ни с инфекцией, ни с гранулематозом так и не было выявлено. Наиболее вероятно, что пиогенная гранулёма является реактивным гиперпролиферативным сосудистым ответом на триггерное воздействие. Провоцирующими факторами могут быть травма, действие гормонов (беременность или применение пероральных контрацептивов), приём некоторых лекарственных препаратов (системные ретиноиды, фторурацил, паклитаксел).
Клинически пиогенная гранулёма представляет собой солитарную папулу или узел на визуально неизменённой коже. Опухоль характеризуется быстрым ростом в течение нескольких недель, диаметр варьирует от нескольких миллиметров до нескольких сантиметров. Часто на поверхности образуется кровоточащая эрозия. Наиболее типичными локализациями являются голова, конечности (особенно пальцы), слизистая оболочка полости рта.
Особенностью пиогенной гранулёмы является её способность мимикрировать под злокачественные опухоли кожи, такие как базальноклеточная карцинома, плоскоклеточная карцинома, метастатическая карцинома, беспигментная меланома [4].
Опухоли при морфологическом микроскопическом исследовании часто хорошо отграничены от нормальных тканей, иногда связаны с кожей/слизистой оболочкой. Прилежащие эпителиальные ткани имеют признаки гиперкератоза и акантоза, но эпителий над опухолью чаще уплощён, атрофичен или изъязвлён. Основа опухоли представлена пролиферирующими мелкими капиллярами, имеющими вид многодольчатых структур, окружённых фиброзной, миксоидной или несколько отёчной стромой. Каждая долька гемангиомы образована крупным кровеносным сосудом, зачастую с мышечной оболочкой. Крупный сосуд окружён мелкими капиллярами, просвет которых бывает трудно различим из-за их сжатия. Присоединение признаков вторичного воспаления иногда даёт картину грануляционной ткани. Выраженная митотическая активность может отмечаться в эндотелиальных клетках и фибробластах. Преимущественно в поверхностных отделах опухоли распределены клетки хронического и острого воспаления. При изъязвлении может наблюдаться присоединение вторичной инфекции.
При иммуногистохимическом исследовании выявлено, что клетки эндотелия экспрессируют CD31, CD34, ERG, перицитах – Smooth muscle actin (SMA).
Дифференциальный диагноз следует проводить с ангиоматозной формой саркомы Капоши, ангиосаркомой, бациллярным ангиоматозом, ангиофибромой мягких тканей, кавернозной гемангиомой. Дерматоскопия позволяет предположить наиболее достоверный диагноз на дооперационном этапе. В литературе выделен ряд дерматоскопических критериев для диагностики пиогенной гранулёмы:
- так называемые красные или красно-белые гомогенные зоны выявлены в 97% случаев и гистологически представляют собой множественные капиллярные пролифераты в строме;
- белый венчик в периферической зоне встречается у 74% пациентов и соответствует гиперплазированному эпителию;
- белые перемычки обнаружены у 45% пациентов, гистологически соответствуют септам между капиллярными дольками;
- к прочим дерматоскопическим признакам пиогенной гранулёмы относят изъязвление (46%), сосудистые структуры (линейные неправильные сосуды – 31%, полиморфные атипичные сосуды – 13%), крайне редко встречается голубая гомогенная пигментация (5%) [5].
Однако ни один из перечисленных признаков не является 100% специфичным для пиогенной гранулёмы. По данным литературы [4, 5], красные гомогенные области, изъязвление и сосудистые структуры встречаются соответственно в 89; 66 и 100% случаев беспигментных узловых меланом и 50; 41 и 100% базальноклеточных карцином. Белый венчик и белые перемычки встречаются в злокачественных опухолях намного реже – 11 и 23% при беспигментных меланомах и 5 и 14% при базальноклеточных карциномах [5, 6].
Таким образом, при дерматоскопии пиогенной гранулёмы чаще всего визуализируются гомогенные красные области, белый венчик и белые перемычки. Однако необходимо помнить, что данные признаки могут редко встречаться и в злокачественных новообразованиях, в том числе в беспигментных узловых меланомах. В связи с этим дерматоскопия в качестве вспомогательного инструмента может способствовать правильной постановке диагноза. Всем пациентам с пиогенной гранулёмой следует проводить цитологическое (при наличии эрозивной поверхности) и гистологическое исследование.
Наибольшее сходство пиогенная гранулёма демонстрирует с узловой формой беспигментной меланомы. Узловая меланома – быстро прогрессирующая опухоль с высоким риском метастазирования даже на ранних стадиях в связи с фазой вертикального роста. Узловые формы беспигментной меланомы представляют трудности в диагностике в связи с тем, что не отвечают стандартным диагностическим критериям. Классические дерматоскопические алгоритмы не работают. При дерматоскопии часто встречаются фрагменты остаточной пигментации, синие гомогенные области, а также красные гомогенные области или глобулы в сочетании с полиморфными сосудами [7].
При подозрении на беспигментную меланому необходимо в первую очередь проводить оценку сосудистого паттерна. Обилие различных сосудов (сосуды-шпильки, сосуды в виде запятых, точечные сосуды и линейные неправильные сосуды) требует в первую очередь исключения диагноза беспигментной меланомы [8].
Ниже приводим истории болезни трёх пациентов, демонстрирующие особенности диагностики пиогенной гранулёмы и беспигментной меланомы.
Описание случаев клинических наблюдений
Клинический случай 1
В МНИОИ им. П.А. Герцена обратился мужчина в возрасте 58 лет по поводу быстрорастущего образования кожи спины. Появилось много лет назад, точно назвать дату не может. Последние 2 мес опухоль стала быстро расти, увеличилась в размере в 2 раза, появились изъязвление, геморрагическое отделяемое.
Макроскопическая картина представлена узлом в правой лопаточной области диаметром около 1 см ярко-красной окраски, мягкой консистенции, поверхность эрозирована, имеется геморрагическое отделяемое (рис. 1, а).
Рис. 1. Больной М., 58 лет. Пиогенная гранулёма. а – макроскопическая картина; узел ярко-красной окраски, мягкой консистенции, на поверхности имеется геморрагическое отделяемое; б – дерматоскопическая картина: красные гомогенные зоны, слабовыраженные белые перемычки, голубая гомогенная пигментация по периферии.
Дерматоскопическая картина неоднозначна: красные гомогенные зоны, слабовыраженные белые перемычки, голубая гомогенная пигментация (рис. 1, б).
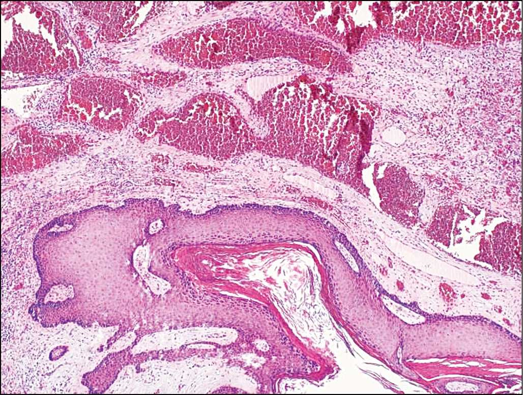
Патоморфологическое заключение. Макроскопически: кожный лоскут размером 8 × 4 × 2,3 см; на расстоянии от 1,3 до 1,5 см от ближайших краёв резекции со стороны кожи определяется бляшковидная опухоль размером 1,3 × 1,2 × 0,6 см, тёмно-серого цвета, с относительно чёткими границами, бугристой изъязвлённой поверхностью. На разрезе ткань опухоли серо-красного цвета, визуально не врастает в подкожную жировую клетчатку.
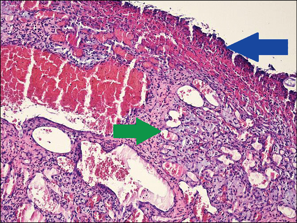
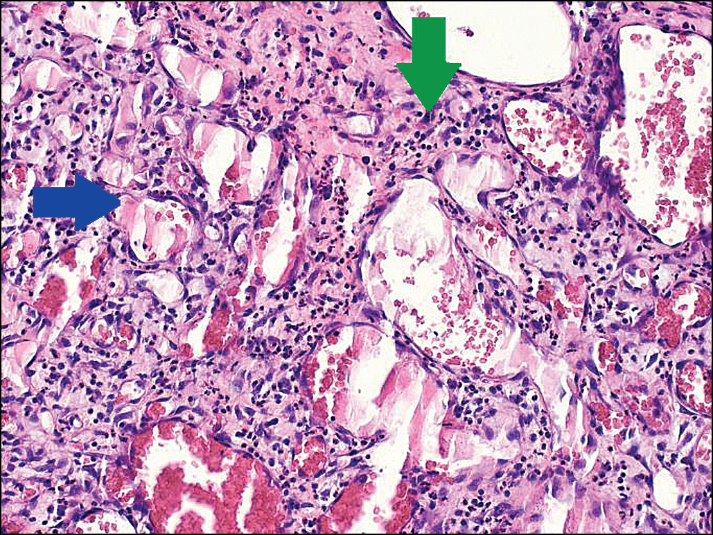
При микроскопическом исследовании опухоль хорошо отграничена от нормальных тканей, эпидермис над опухолью с признаками изъязвления (рис. 2). Основа опухоли представлена пролиферирующими мелкими капиллярами, имеющими вид многодольчатых структур, окружённых фиброзной или несколько отёчной стромой (рис. 3). Каждая долька гемангиомы образована крупным кровеносным сосудом. Клетки хронического и острого воспаления распределены в опухоли, преимущественно в её поверхностных отделах. Заключение: дольчатая капиллярная гемангиома (пиогенная гранулёма) кожи (см. рис. 3).
Рис. 2. Гистологический препарат. Опухоль с изъязвленной по- верхностью кожи (синяя стрелка), многодольчатые сосудистые структуры (зелёная стрелка). Окраска гематоксилином и эозином. Ув. 100.
Рис. 3. Гистологический препарат. Опухоль представлена пол- нокровными капиллярами (синяя стрелка). В строме имеется выраженное смешанноклеточное воспаление (зелёная стрелка). Окраска гематоксилином и эозином. Ув. 200.
Клинический случай 2
Женщина, возраст 32 года, 34-я нед беременности, обратилась с жалобами на быстрорастущее образование в области среднего пальца правой кисти. Отмечает интенсивный рост в течение 1 мес, кровоточивость.
Макроскопическая картина представлена узловым образованием кожи в области среднего пальца правой кисти, диаметром около 8 мм, плотноэластической консистенции, на поверхности которого имеется геморрагическая корочка (рис. 4, а).
Рис. 4. Больная Л., 32 года. Пиогенная гранулёма на фоне беременности, срок 34 нед. а – узел розовой окраски с геморрагической коркой на поверхности; б – дерматоскопическая картина: молочно-красные глобулярные зоны, белые перемычки, зона изъязвления.
Дерматоскопическая картина представлена молочно-красными гомогенными зонами, белыми перемычками и зоной изъязвления (рис. 4, б). Патоморфологическое заключение: дольчатая капиллярная гемангиома (пиогенная гранулёма) кожи (рис. 5).
Рис. 5. Гистологический препарат. Опухоль с прилежащими тканями. Гиперплазия эпителия над опухолью. Расширенные полнокровные капилляры опухоли. Окраска гематоксилином и эозином. Ув. 50.
Клинический случай 3
Пациентка Ш., 78 лет, обратилась с жалобами на образования на коже левой щеки. В течение нескольких месяцев отмечает рост опухоли, кровоточивость.
Макроскопическая картина представлена узловым уплотнением в области левой щеки, диаметром около 1 см, плотноэластической консистенции, поверхность эрозирована (рис. 6, а).
Рис. 6. Больная Ш., 78 лет. Узловая беспигментная меланома кожи левой щеки. а – узел плотной консистенции с эрозивной поверхностью; б – дерматоскопия беспигментной меланомы: полиморфные атипичные сосуды.
Дерматоскопическая картина представлена пре-имущественно полиморфными атипичными сосудами (рис. 6, б).
Заключение
В настоящее время ни одна из существующих диагностических методик не позволяет установить на дохирургическом этапе точный дифференцированный диагноз между пиогенной гранулёмой и узловой беспигментной меланомой. Приоритетом является метод дерматоскопии, при котором наличие таких критериев, как красные гомогенные зоны, белый венчик и белые перемычки, заставляет думать в первую очередь о пиогенной гранулёме. Если при анализе сосудистого паттерна визуализируются полиморфные сосуды – неправильные линейные, в виде шпильки, точки, запятых, то требуется исключение диагноза беспигментной меланомы.
About the authors
Azizzhon D. Zikiryachodzhaev
P.A. Hertsen Moscow Oncology Research Center, Moscow, Russian Federation
Email: ivertieva@gmail.com
ORCID iD: 0000-0001-7141-2502
Russian Federation, Moscow
E. K. Saribekyan
P.A. Hertsen Moscow Oncology Research Center, Moscow, Russian Federation
Email: ivertieva@gmail.com
ORCID iD: 0000-0002-1559-1304
Russian Federation, Moscow
E. Yu. Vertieva
I.M. Sechenov First Moscow State Medical University (Sechenov University)
Author for correspondence.
Email: ivertieva@gmail.com
ORCID iD: 0000-0002-1088-2911
MD, PhD
Russian Federation, MoscowI. S. Pestin
P.A. Hertsen Moscow Oncology Research Center, Moscow, Russian Federation
Email: ivertieva@gmail.com
Russian Federation, Moscow
References
- Guggenheim M, Hug U, Jung F, Rousson V, Aust M, Calcagni M, et al. Morbidity and recurrence after completion lymph node dissection following sentinel lymph node biopsy in cutaneous malignant melanoma. Ann Surg. 2008;247(4):687-93. doi: 10.1097/SLA.0b013e318161312a
- Mack L, McKinnon J. Controversies in the management of metastatic melanoma to regional lymphatic basins. J Surg Oncol. 2004;86(4):189-99. doi: 10.1002/jso.20080
- Yoradjian A, Azevedo M, Cattini L, Basso R. Pyogenic granuloma: Description of two unusual cases and review of the literature. Surg Cosmetic Dermatol. 2013;5(3):263-8.
- Lin R, Janniger C. Pyogenic granuloma. Cutis. 2004;74(4):229-33.
- Zaballos P, Carulla M, Ozdemir F, Zalaudek I, Bañuls J, Llambrich A, et al. Dermoscopy of pyogenic granuloma: a morphological study. Br J Dermatol. 2010;163(6):1229-37. doi: 10.1111/j.1365-2133.2010.10040.x
- Lacarrubba F, Caltabiano R, Micali G. Dermoscopic and histological correlation of an atypical case of pyogenic granuloma. Pediatr Dermatol. 2013;30(4):499-501. doi: 10.1111/pde.12123
- Papageorgiou C, Ioannides D, Apalla Z. Dermoscopy of difficult-to-diagnose Melanomas. Serbian J Dermatol Venereol. 2016;8(3):121-7.
- Togawa Y. Dermoscopy for the diagnosis of melanoma: an overview. Austin J Dermatol. 2017;4(3):1080.
Supplementary files














