Перспективные направления в изучении патогенеза липоидного некробиоза
- Авторы: Теплюк Н.П.1, Шимановский Н.Л.2, Варшавский В.А.1, Королёва В.С.3
-
Учреждения:
- ФГАОУ ВО «Первый Московский государственный медицинский университет им. И.М. Сеченова» Минздрава России (Сеченовский Университет)
- ФГАОУ ВО «РНИМУ им. Н.И. Пирогова» Минздрава России
- ФГАОУ ВО «Первый Московский государствен-ный медицинский университетим. И.М. Сеченова» Минздрава России (СеченовскийУниверситет)
- Выпуск: Том 23, № 1 (2020)
- Страницы: 23-28
- Раздел: КЛИНИКА, ДИАГНОСТИКА И ЛЕЧЕНИЕ ДЕРМАТОЗОВ
- Статья получена: 24.07.2020
- Статья одобрена: 24.07.2020
- Статья опубликована: 15.02.2020
- URL: https://rjsvd.com/1560-9588/article/view/41724
- DOI: https://doi.org/10.17816/dv2020123-28
- ID: 41724
Цитировать
Полный текст
Аннотация
В связи с ростом заболеваемости сахарным диабетом, особую актуальность приобретает диагностика липоидного некробиоза. Существует несколько теорий этиопатогенеза липоидного некробиоза, которые указывают на особую роль транспортных белков семейства Glut, а также роль матриксной металлопротеиназы в развитии данного дерматоза.
Ключевые слова
Полный текст
Согласно глобальному докладу по диабету Всемирной организации здравоохранения (2018), за период с 1980 по 2014 г. число людей, живущих с диабетом, во всем мире существенно возросло – со 108 млн (4,7% всего населения) до 422 млн (8,7% всего населения) человек, т.е. в 4 раза [1].
Учитывая рост заболеваемости сахарным диа- бетом (СД), особую актуальность приобретает диаг- ностика и разработка этиопатогенетического лечения липоидного некробиоза (ЛН) – заболевания кожи, часто ассоциированного с СД.
Липоидный некробиоз (син.: болезнь Оппенгейма– Урбаха, липоидный диабетический некробиоз) – хронический дерматоз, отличительной чертой которого являются деструкция соединительной ткани, дегенерация коллагена и отложение липидов, связанные с метаболическими и микроциркуляторными нарушениями при СД.
По данным зарубежных источников, ЛН страдают в среднем 0,1–3% больных СД [2, 3]. В 1/4 случаев он проявляется до развития СД (в течение 1–10 лет), в 1/4 случаев – одновременно с ним, в 1/2 случаев СД предшествует ЛН [4]. В работе отечественных ученых прямая зависимость между тяжестью течения СД, клинической картиной и прогрессированием ЛН не обнаружена [5].
Имеются сообщения, что ЛН часто сочетается с нефропатией, ретинопатией и является неблагоприятным прогностическим фактором развития сердечно-сосудистых заболеваний [6, 7].
При исследовании углеводного обмена биохимическими методами (глюкозотолерантный тест, прандиальная и постпрандиальная гликемия, гликемический профиль) у больных ЛН в 80% случаев выявляется СД [8, 9]. Показано, что больные СД 1-го типа и ЛН имели более высокий уровень гликемии, а продолжительность СД была дольше, чем у пациентов без ЛН [10].
Существует несколько теорий этиопатогенеза ЛН. Одна из них предполагает, что данный дерматоз ассоциирован с СД и развивается независимо от степени его тяжести и компенсации [11–13]. Другие ученые [6, 14] рассматривают ЛН как специфическую «дерматологическую стигму» измененного углеводного обмена при диабетической микроан-гиопатии или как латентное состояние, характерное для СД. Латентное состояние характеризуется отсутствием клинических и лабораторных проявлений СД, однако могут наблюдаться симптомы ЛН. На основании длительного отсутствия проявлений СД у ряда больных ЛН условно разделяют на диабетические и недиабетические формы. Однако 40% пациентов с ЛН без лабораторных проявлений СД отмечают субъективные жалобы, связанные с ним – общую слабость, повышенную жажду, сухость во рту, зуд кожи [15].
По данным C. Holland и соавт. [16], в патогенезе ЛН определенная роль принадлежит экспрессии человеческого эритроцитарного транспортера глюкозы Glut-1 в области склеротически измененного коллагена.
Glut-1 является членом семейства белков Glut – трансмембранных структур, способствующих переносу глюкозы в клетку. Он присутствует конститутивно в плазматической мембране (конститутивный путь везикулярного транспорта внутри клетки между аппаратом Гольджи к плазматической мембране), где обеспечивает базовую потребность в глюкозе для многих клеток. Регуляция уровня Glut-1 частично зависит от другого белка Glut – Glut-4. Когда происходит снижение показателей глюкозы в крови, уровень Glut-1 повышается, обеспечивая увеличение потока глюкозы через мембрану. При повышении уровня глюкозы в крови Glut-4 экспрессируется на клеточную мембрану в ответ на инсулин [17]. Вместе с тем исследования продемонстрировали, что Glut-4 и Glut-1 взаимно регулируют друг друга [16, 18].
C. Miele и соавт. [19] продемонстрировали, что существует первичная аномалия в транспорте глюкозы и содержании Glut-1 на клеточной поверхности фибробластов у больных СД 2-го типа и ожирением, при этом уровень базальной глюкозы и содержание Glut-1 на поверхности клетки повышаются, а выработка инсулинозависимого Glut-4 на клеточной поверхности уменьшается в 3 раза. Полученные результаты свидетельствуют о том, что увеличенное содержание Glut-1 способствует резистентности к инсулину в этих тканях, возможно, в связи с уменьшением переноса на клеточную поверхность Glut-4 [19].
U. Saarialho-Kere и соавт. [20] не исключают того, что гранулематозное воспаление и дегенерация коллагеновых и эластических волокон связаны с осаждением измененного внеклеточного матрикса, экспрессией интерстициальной коллагеназы, 92-кДа-желатиназы и тканевого ингибитора металлопротеиназ (tissue inhibitor metalloproteinases, TIMP-1). Интерстициальная коллагеназа мРНК была выделена в гистиоцитоподобных клетках у 4 из 12 пациентов, у которых отмечались начальные поражения и локальные формы ЛН, а также наличие кольцевидной гранулемы; 92-кДа-желатиназа мРНК наблюдалась только у 5 больных кольцевидной гранулемой и у 3 с ЛН. TIMP-1 мРНК экспрессируются гистиоцитоподобными клетками как при ЛН, так и при кольцевидной гранулеме. У больных кольцевидной гранулемой TIMP-1 мРНК была обнаружена на внешней части гранулемы, при ЛН ингибитор экспрессировался в местах скопления воспалительных клеток периваскулярно и в области придатков кожи. Следовательно, коллагеназу и TIMP-1 мРНК возможно выявлять на раннем этапе как при кольцевидной гранулеме, так и при ЛН, и, вероятно, именно они способствуют развитию некробиоза.
Общепринятой классификации ЛН не существует; условно выделяют следующие формы течения: типичную (классическая), склеродермоподобную, пятнисто-папулезно-бляшечную, атрофическую, язвенную и атипичную. Согласно К.А. Кочет [21], при классической (типичной) форме ЛН характер высыпаний отражает стадийность развития процесса: прогрессирование заболевания проявляется в виде исхода очагов поражения в атрофию и/или изъязвление.
Преимущественной локализацией высыпаний ЛН является передняя поверхность голеней. Однако встречается и атипичное расположение сыпи: лицо и кожа головы, живот, спина, верхние конечности, гениталии. При классической форме ЛН первые клинические проявления, как правило, представлены высыпаниями хронического воспалительного характера, единичными мономорфными элементами, а именно папулами диаметром преимущественно от 1 до 3 мм, плоской формы с приподнятыми краями, округлых очертаний, с четкими, но не резкими границами, розово-красного или бордово-красного цвета, с гладкой поверхностью, плотно-эластической консистенции (рис. 1). При дермоскопии определяются удлиненные серпантинные телеангиэктазии с беловатым бесструктурным фоном [22]. Со временем отмечаются периферический рост и формирование бляшек с неправильными очертаниями, формирующимся склерозом в центральной их части; цвет бляшек – от розово-желтого до багрово-коричневого с бурым оттенком (рис. 2). При склеродермоподобной форме изначально наблюдается центральное западение папул, цвет элементов – желтый или коричневый, либо цвета слоновой кости; пальпаторно может определяться деревянистая плотность, как при склеродермии. Атрофическая форма характеризуется западением всей поверхности очага, синюшным оттенком высыпаний, гладкой блестящей поверхностью, на которой видны «древовидно ветвящиеся» сосуды [21, 23].
Рис. 1. Клиническая картина типичной папулезной формы липоидного некробиоза: наблюдается папула округлых очертаний с четкими границами.
Рис. 2. Клиническая картина сформировавшейся бляшки с центральной атрофией у пациентки с липоидным некробиозом.
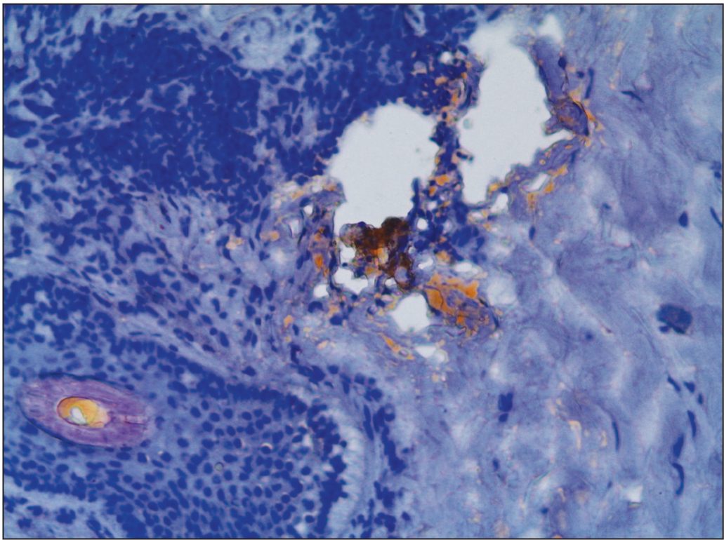
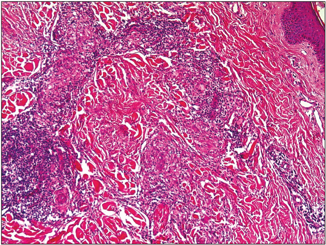
Гистологически основная область некробиоза коллагена располагается в нижних отделах дермы; вокруг нее наблюдается инфильтрат, состоящий из фибробластов, лимфоидных клеток и гистиоцитов (рис. 3). При окраске Суданом III обнаруживается характерное внеклеточное отложение липидов (рис. 4), а при окраске толуидиновым синим возможно выявление муцина [24].
Поскольку клинические рекомендации по терапии ЛН в Российской Федерации, а также европейских странах отсутствуют, лечение проводится на основании клинического опыта дерматологов и немногочисленных опубликованных исследований и наблюдений. Общая терапия заключается в назначении пентоксифиллина [25], циклоспорина [26], талидомида [27], эфиров фумаровой кислоты [28, 29] и гидроксихлорохина [30]. По данным литературы последних лет, с успехом применяют ПУВА-терапию (от англ. psoralen and ultraviolet A – псорален и длинноволновое ультрафиолетовое излучение) [31], ультрафиолетовые лучи группы А [32, 33] и биологические препараты, такие как инфликсимаб [34] и этанерцепт [35, 36]. Местно используют топические глюкокортикостероиды [37] и ингибиторы кальциневрина [38].
Рис. 3. Гистологический препарат. Лимфогистиоцитарный инфильтрат вокруг области некробиоза коллагена.
Рис. 4. Гистологический препарат. Внеклеточное отложение липидов.
Таким образом, этиопатогенетические аспекты ЛН до настоящего времени неясны, остается открытой проблема диагностической значимости тканевых маркеров Glut-1, Glut-4 в сочетании с сахарным диабетом или без него, что требует дальнейших исследований как в области дерматологии, так и эндокринологии для разработки персонифицированного подхода к ведению больных ЛН.
Об авторах
Н. П. Теплюк
ФГАОУ ВО «Первый Московский государственный медицинский университет им. И.М. Сеченова» Минздрава России (СеченовскийУниверситет)
Автор, ответственный за переписку.
Email: koroleva_v_s1@student.sechenov.ru
ORCID iD: 0000-0002-5800-4800
Кафедра кожных и венерических болезней им. В.А. Рахманова Института клинической медицины им. Н.В. Склифосовского
Россия, 119991, г. МоскваН. Л. Шимановский
ФГАОУ ВО «РНИМУ им. Н.И. Пирогова» Минздрава России
Email: koroleva_v_s1@student.sechenov.ru
Кафедра молекулярной фармакологии и радиобиологии им. акад. П.В. Сергеева медико-биологического факультета
Россия, 117997, г. МоскваВ. А. Варшавский
ФГАОУ ВО «Первый Московский государственный медицинский университет им. И.М. Сеченова» Минздрава России (СеченовскийУниверситет)
Email: koroleva_v_s1@student.sechenov.ru
ORCID iD: 0000-0002-5855-3092
Кафедра патологической анатомии им. академика А.И. Струкова института клинической медицины им. Н.В. Склифосовского
Россия, 119991, г. МоскваВ. С. Королёва
ФГАОУ ВО «Первый Московский государствен-ный медицинский университетим. И.М. Сеченова» Минздрава России (СеченовскийУниверситет)
Email: koroleva_v_s1@student.sechenov.ru
ORCID iD: 0000-0002-9945-7830
врач-дерматовенеролог, аспирант кафедры кожных и венерических болезней им. В.А. Рахманова Института клинической медицины им. Н.В. Склифосовского
Россия, 119991, г. МоскваСписок литературы
- Глобальный доклад по диабету. Женева: ВОЗ; 2018. Лицензия: CC BY-NC-SA 3.0 IGO.
- Marchetti F., Gerarduzzi T., Longo F., Faleschini E., Ventura A., Tonini G. Maturity-onset diabetes of the young with necrobiosis lipoidica and granuloma annulare. Pediatric. Dermatol. 2006; 23(3):247-50.
- Lause M., Kamboj A., Fernandez Faith E. Dermatologic manifestations of endocrine disorders. Transl. Pediatr. 2017; 6(4):300-12. doi: 10.21037/tp.2017.09.08
- Каламкарян А.А., Мордовцев В.Н., Трофимова Л.Я. Клиническая дерматология. Редкие и атипичные дерматозы. Ереван: Айастан; 1989: 339-42.
- Теплюк Н.П., Кошелева И.В., Плиева Л.Р., Лепехова А.А. Системная кислородно-озоновая терапия липоидного некробиоза. Российский журнал кожных и венерических болезней. 2012; 15(2): 35-40.
- Семёнова Д.А., Токмакова А.Ю. Липоидный некробиоз у больных сахарным диабетом: патогенетические и клинические особенности, Сахарный диабет. 2011; (4): 51-4.
- de Pablos Vicente M.A., Leal Hernandez M., Balanza Galindo S., Abellan Aleman J. Evaluation of therapeutic inertia in lipid lowering treatment of primary care patients with high cardiovascular risk. Aten. Primaria. 2012; 44(3): e14--5. doi: 10.1016/j.aprim.2011.02.011
- Петрова Г.А., Левин Г.Я. Некоторые показатели гемореологии у больных липоидным некробиозом. Вестник дерматологии и венерологии. 1989; 65(12):45-8.
- Абрамова Е.А. Полянская Н.П. Взаимосвязь липоидного некробиоза с сахарным диабетом. Вестник дерматологии и венерологии. 1985; 61(2):36-8.
- Hammer E., Lilienthal E., Hofer S.E., Schulz S., Bollow E., Holl R.W.; DPV Initiative and the German BMBF Competence Network for Diabetes Mellitus. Risk factors for necrobiosis lipoidica in Type 1 diabetes mellitus. Diabet. Med. 2017; 34(1): 86-92.
- Кривошеев А.Б. Особенности течения дерматозов у больных инсулинзависимым и инсулиннезависимым сахарным диабетом. Вестник дерматологии и венерологии. 1988; 64(11): 24-7.
- Бутов Ю.С., Ильина Т.А., Вавилов А.М. Клинико-гистологические признаки липоидного некробиоза. Российский журнал кожных и венерических болезней. 2003; 6(4):38-42.
- Mendes A.L., Miot H.A., Haddad V. Junior. Diabetes mellitus and the skin. An Bras. Dermatol. 2017; 92(1):8-20. doi: 10.1590/abd1806-4841.20175514
- Шапошников О.К., Хазизов И.Е. Современные аспекты патогенеза и терапии кольцевидной гранулемы и липоидного некробиоза. Вестник дерматологии и венерологии. 1985; 61(5):4-8.
- Кривошеев А.Б., Кондратова М.А., Тугулева Т.А., Морозов Д.В., Липоидный некробиоз и метаболический синдром. Российский журнал кожных и венерических болезней. 2013; 16(6):31-6.
- Holland C., Givens V., Smoller B.R. Expression of the human erythrocyte glucose transporter Glut-1 in areas of sclerotic collagen in necrobiosis lipoidica. J. Cutan. Pathol. 2001; 28(6):287-90.
- Stanirowski P.J., Szukiewicz D., Pyzlak M., Abdalla N., Sawicki W., Cendrowski K. Impact of pre-gestational and gestational diabetes mellitus on the expression of glucose transporters GLUT-1, GLUT-4 and GLUT-9 in human term placenta. Endocrine. 2017; 55(3):799-808.
- Stanirowski P.J., Szukiewicz D., Pazura-Turowska M., Sawicki W., Cendrowski K. Placental expression of glucose transporter proteins in pregnancies complicated by gestational and pregestational diabetes mellitus. Can. J. Diabetes. 2018; 42(2):209-17.
- Miele C., Formisano P., Condorelli G., Caruso M., Oriente F., Andreozzi F., et al. Abnormal glucose transport and GLUT1 cell-surface content in fibroblasts and skeletal muscle from NIDDM and obese subjects. Diabetologia. 1997; 40(4):421-9.
- Saarialho-Kere U.K., Chang E.S., Welgus H.G., Parks W.C. Expression of interstitial collagenase, 92-kDa gelatinase, and tissue inhibitor of metalloproteinases-1 in granuloma annulare and necrobiosis lipoidica diabeticorum. J. Invest. Dermatol. 1993; 100(3):335-42.
- Кочет К.А. Особенности эпидемиологии и клинических проявлений у пациентов с липоидным некробиозом. Дерматологiя та Венерологiя. 2017; 4(78):47-51.
- Pellicano R., Caldarola G., Filabozzi P., Zalaudek I. Dermoscopy of necrobiosis ipoidica and granuloma annulare. Dermatology. 2013; 226(4): 319-23.
- Гаджимурадов М.Н., Асадулаева З.Г. Клинические особенности липоидного некробиоза. Клиническая дерматология и венерология. 2016; 15(4):32-5.
- Souza F.H., Ribeiro C.F., Pereira M.A., Mesquita L., Fabrício L. Simultaneous occurrence of ulcerated necrobiosis lipoidica and granuloma annulare in a patient: case report. An Bras. Dermatol. 2011; 86(5):1007-10.
- Wee E., Kelly R. Pentoxifylline: An effective therapy for necrobiosis lipoidica. Australas J. Dermatol. 2017; 58(1):65-8. doi: 10.1111/ajd.12420.
- Gualdi G., Monari P., Farisoglio C., Calzavara-Pinton P. Juvenile ulcerated necrobiosis lipoidica successfully treated with oral cyclosporin A. G. Ital. Dermatol. Venereol. 2013; 148(6):703-4.
- Shah S.D., Kale G.V. Treatment of refractory ulcerative necrobiosis lipoidica diabeticorum with oral thalidomide. Indian Dermatol. Online J. 2016; 7(1):43-5.
- Eberle F.C., Ghoreschi K., Hertl M. Fumaric acid esters in severe ulcerative necrobiosis lipoidica: a case report and evaluation of current therapies. Acta Derm. Venereol. 2010; 90(1):104-6.
- Kreuter A., Knierim C., Stucker M., Pawlak F., Rotterdam S., Altmeyer P., Gambichler T. Fumaric acid esters in necrobiosis lipoidica: results of a prospective noncontrolled study. Br. J. Dermatol. 2005; 153(4):802-7.
- Kavala M., Sudogan S., Zindanci I., Kocaturk E., Can B., Turkoglu Z., Altintas S. Significant improvement in ulcerative necrobiosis lipoidica with hydroxychloroquine. Int. J. Dermatol. 2010; 49(4):467-9.
- Narbutt J., Torzecka J.D., Sysa-Jedrzejowska A., Zalewska A. Long-term results of topical PUVA in necrobiosis lipoidica. Clin. Exp. Dermatol. 2006; 31(1):65-7.
- Attili S.K., Dawe R.S., Ibbotson S.H. Ultraviolet A1 phototherapy: One center’s experience. Indian J. Dermatol. Venereol. Leprol. 2017; 83(1):60-5.
- Radakovic S., Weber M., Tanew A. Dramatic response of chronic ulcerating necrobiosis lipoidica to ultraviolet A1 phototherapy. Photodermatol. Photoimmunol. Photomed. 2010; 26(6):327-9.
- Basoulis D., Fragiadaki K., Tentolouris N., Sfikakis P.P., Kokkinos A. Anti-TNFalpha treatment for recalcitrant ulcerative necrobiosis lipoidica diabeticorum: A case report and review of the literature. Metabolism. 2016; 65(4):569-73.
- Guedes R., Leite I., Baptista A., Rocha N. Ulcerative necrobiosis lipoidica: is there a place for anti-TNFalpha treatment? Case Rep. Med. 2012; 2012:854738.
- Suarez-Amor O., Perez-Bustillo A., Ruiz-Gonzalez I., Rodriguez-Prieto M.A. Necrobiosis lipoidica therapy with biologicals: an ulcerated case responding to etanercept and a review of the literature. Dermatology. 2010; 221(2):117-21.
- Peckruhn M., Tittelbach J., Elsner P. Update: Treatment of necrobiosis lipoidica. J. Deutsch. Dermatol. Ges. 2017; 15(2): 151-7. https://doi.org/10.1111/ddg.13186.
- Bonura C., Frontino G., Rigamonti A., Battaglino R., Favalli V., Ferro G., et al. Necrobiosis lipoidica diabeticorum: A pediatric case report. Dermatoendocrinol. 2014; 6(1):e27790.
Дополнительные файлы






