Successful treatment of pyoderma gangrenosum in a patient winh ulcerative colitis and COVID-19 infection: case report
- Authors: Teplyuk N.P.1, Grabovskaya O.V.1, Kusraeva D.T.1, Grekova E.V.1, Koriakin D.A.1, Kostenko A.Y.1
-
Affiliations:
- I.M. Sechenov First Moscow State Medical University (Sechenov University)
- Issue: Vol 25, No 5 (2022)
- Pages: 373-380
- Section: DERMATOLOGY
- Submitted: 20.10.2022
- Accepted: 04.11.2022
- Published: 11.12.2022
- URL: https://rjsvd.com/1560-9588/article/view/111864
- DOI: https://doi.org/10.17816/dv111864
- ID: 111864
Cite item
Full Text
Abstract
Pyoderma gangrenosum is a rare inflammatory neutrophilic dermatosis, which causes ulceration of the skin. The condition is commonly associated with underlying systemic disorders such as inflammatory bowel disease, arthritis, and hematological disorders. Herein, we describe the case of a familiar association between pyoderma gangrenosum and ulcerative colitis complicated by the newly COVID-19 infection.
It is of particular clinical interest to address pyoderma gangrenosum lesions with concurrent treatment of associated disorders that may have influence on the course of the ulcer. Moreover, the therapy should cover as many diseases as possible while not being excessive to minimize possible side effects.
Thus, the selection of treatment that spans mutual pathophysiological features of all comorbidities represents the best option to make when handling pyoderma gangrenosum patients.
We present a case of the development of gangrenous pyoderma against the background of ulcerative colitis complicated by the new coronavirus infection COVID-19, which will raise awareness of gangrenous pyoderma as a relatively rare cause of ulcerative necrotic skin lesions, which can easily be confused with an infectious process.
Of particular clinical importance in the conditions of the COVID-19 pandemic is the correct treatment of gangrenous pyoderma. Only an integrated approach can give a positive result from the therapy.
Keywords
Full Text
АКТУАЛЬНОСТЬ
Гангренозная пиодермия (ГП) ― редкий полигенный аутовоспалительный нейтрофильный дерматоз, характеризующийся болезненными, быстро развивающимися язвами с валикообразно приподнятыми фиолетовыми краями и периферической эритемой [1]. Патофизиология ГП многофакторна и основана на дисрегуляции врождённой иммунной системы, дисфункции нейтрофилов и генетических нарушениях [2]. В большинстве случаев ГП не является самостоятельным заболеванием: более 50% больных ГП имеют ассоциированное системное заболевание, из них наиболее часто сопутствуют воспалительные заболевания кишечника, ревматоидный артрит, гематологические злокачественные новообразования и моноклональная гаммапатия [3].
В данной статье представлен клинический случай развития ГП на фоне язвенного колита, осложнённого новой коронавирусной инфекцией COVID-19.
ОПИСАНИЕ КЛИНИЧЕСКОГО СЛУЧАЯ
О пациенте
Под наблюдением находилась женщина 72 лет с высыпаниями в области живота в виде обширной болезненной язвы.
Анамнез болезни. Считает себя больной в течение 6 мес, когда впервые появились болезненные высыпания в области голеней. Хирургом по месту жительства проведена хирургическая обработка элементов, назначен курс системной антибиотикотерапии с положительным эффектом в виде полного рубцевания очагов. Через 2 мес в области нижней трети живота появилась болезненная пустула, вскрытие которой привело к образованию язвы, характеризующейся быстрым периферическим ростом и болезненностью. Больная была госпитализирована в хирургическое отделение, состояние расценено как пиодермия передней брюшной стенки, назначены высокие дозы антибиотиков. Во время госпитализации неоднократно проводилась хирургическая обработка очага поражения, однако на фоне проводимой терапии рост язвенного дефекта продолжался, появились высыпания в виде болезненных папул в области внутримышечных инъекций, диарея, отмечен эпизод массивного кишечного кровотечения.
Вследствие тяжести общего состояния, усиления кожного процесса, а также в связи со сложной эпидемиологической обстановкой больная была дистанционно проконсультирована дерматологами клиники кожных и венерических болезней им. В.А. Рахманова (УКБ № 2 Клинического центра ПМГМУ им. И.М. Сеченова).
Аллергоанамнез и наследственность не отягощены. Вредные привычки и профессиональные вредности отрицает. Сопутствующие заболевания: неспецифический язвенный колит (диагноз выставлен два года назад, специфическое лечение по поводу данного заболевания пациентка не принимала в течение года); гипертоническая болезнь 2-й степени, II стадии, высокого риска; пароксизмальная наджелудочковая тахикардия.
Локальный статус. Процесс ограниченный, асимметричный, островоспалительного характера, локализован на коже живота, представлен обширной язвой овальной формы с распространением на правую ягодицу, размером 24×45 см, с чёткими контурами, валикообразно приподнятыми краями, багрово-синюшной окраски. Дно язвы покрыто геморрагически-гнойным экссудатом, местами грануляциями фибрина. Вокруг язвы зона ярко-розовой эритемы. Субъективно беспокоит интенсивная болезненность в области язвенного дефекта (рис. 1).
Рис. 1. Пациентка, 72 года. Гангренозная пиодермия, язвенная форма. Язва в области живота размером 24×45 см, с чёткими контурами, валикообразно приподнятыми краями, багрово-синюшной окраски. Дно язвы покрыто геморрагически-гнойным экссудатом, местами грануляциями фибрина. Вокруг язвы зона ярко-розовой эритемы. / Fig. 1. Patient, 72 years old. Ulcerative pyoderma gangrenosum. Оval ulcer on the skin of the abdomen 24×45 cm in size with the undermined edge with violaceous borders, the surface of the ulcer is filled with fibrin granulations.
Результаты физикального, лабораторного и инструментального исследования
Лабораторные исследования. В клиническом анализе крови нейтрофильный лейкоцитоз (25,1×109/л при норме 4–11), тромбоцитоз (470×109/л при норме 150–450), лимфоцитопения (8% при норме 19–37,0). В биохимическом анализе крови повышение мочевой кислоты (634 мкмоль/л при норме 155–357), креатининфосфокиназы (307 ЕД/л при норме 33–211), щелочной фосфатазы (232 ЕД/л при норме 70–290), креатинина (159 мкмоль/л при норме 53,0–97,0), С-реактивного белка (13,13 мг/л при норме 0,0–5,0). По данным коагулограммы повышение фибриногена (5,8 г/л при норме 1,8–4,0) и D-димера (4065 нг/мл при норме 0–550). По данным электрофореза белков сыворотки крови и гаммапатии не выявлено. Все остальные показатели в пределах референсных значений.
При посеве раневого отделяемого и тканей на микрофлору и определении чувствительности к антимикробным препаратам выявлен Pseudomonas aeruginosa 1×108, чувствительный к гентамицину и колистину.
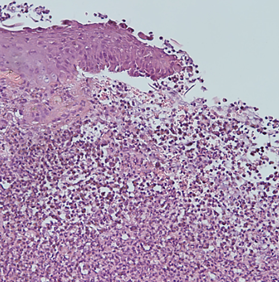
По данным гистологического исследования биоптата с краевой зоны язвы в эпидермисе определяются участок расщепления с формированием внутриэпидермального пузыря; участки отсутствия эпидермиса, покрытые гнойно-некротическим детритом; обильные поля густой нейтрофильной инфильтрации дермы с признаками лейкоцитокластического васкулита; очаги некрозов дермы (рис. 2).
Рис. 2. Тот же пациент. Гистологическая картина: смешанный воспалительный инфильтрат с преобладанием нейтрофилов и признаками лейкоцитокластического васкулита. Окраска гематоксилином и эозином, ×200. / Fig. 2. The same patient. Histologic image: mixed inflammatory infiltrate with a predominance of neutrophils and signs of leukocytoclastic vasculitis. Hematoxylin and eosinstaining, ×200.
Инструментальные исследования. Дуплексное сканирование артерий и вен нижних конечностей: атеросклероз артерий нижних конечностей со стенозированием; патологии вен не выявлено. Ультразвуковое исследование органов брюшной полости: жировая дистрофия печени, диффузные изменения поджелудочной железы, полип поджелудочной железы (3 мм).
Диагноз и лечение
На основании диагностических критериев, разработанных W.P. Su и соавт. [4], был поставлен диагноз ГП и назначено следующее лечение: метилпреднизолон в дозе 24 мг/день (6 таблеток) перорально в несколько приёмов с интервалом 8 ч в сочетании с месалазином в дозе 500 мг по схеме 2,5 г/сут с учётом ассоциированного заболевания (язвенный колит); ривароксабан по 20 мг, учитывая состояние гипергоагуляции; нестероидный противовоспалительный препарат (Кетонал внутримышечно 2 раза/день) для купирования болевого синдрома. Наружно: раневые липидо-коллоидные неадгезивные повязки на полимерной сетчатой основе + мазь Офломелид; топические глюкокортикостероиды по периферии на область эритемы (рис. 3).
Рис. 3. Тот же пациент. Наружная терапия: а ― топические глюкокортикостероиды по периферии на область эритемы; b ― наложение раневой липидо-коллоидной неадгезивной повязки на полимерной сетчатой основе. / Fig. 3. The same patient. External therapy: а ― topical corticosteroids along the periphery to the area of erythema; b ― application of a nonadhesive lipidоcolloid wound dressing.
На 4-е сутки проводимого лечения в стационаре ― резкое ухудшение общего состояния в виде лихорадки, слабости, одышки; со стороны кожных покровов ― интенсивный рост (на 2 см за сутки) и усиление болезненности язвенного дефекта. Диагностирована новая коронавирусная инфекция COVID-19 с 50% поражением лёгких. Проводилось следующее лечение: системные глюкокортикостероиды (дексаметазон в дозе 12 мг внутривенно в течение 21 дня, затем перешли на 8 мг в течение 14 дней); антибиотики (цефтриаксон + сульбактам внутривенно 7 дней), противовирусные препараты (риамиловир по 250 мг 3 раза/сут 10 дней), антикоагулянты (эноксапарин натрия по 0,4 мл подкожно 1 раз/сут в течение 20 дней); ингибиторы янус-киназ (тофацитиниб по 10 мг внутрь 2 раза/сут в течение 2 дней), ингибиторы IL-6 (левилимаб в дозе 324 мг однократно).
Исходы и прогноз
На фоне проводимого лечения отмечалась стабилизация общего состояния; со стороны кожного процесса ― рубцевание элементов в области ягодиц, уменьшение болезненности и эритемы в области язвенного дефекта. Кроме того, уменьшились симптомы язвенного колита, отмечался регресс проявлений COVID-19.
Наблюдение пациентки и лечение кожного процесса высокими дозами стероидов с постепенным снижением по схеме совместно с препаратами сульфамидной группы продолжено амбулаторно в клинике кожных и венерических болезней им. В.А. Рахманова.
Через 4 нед проводимой терапии язва стала очищаться от гнойно-некротических наслоений, наблюдалось частичное рубцевание язвенного дефекта. Субъективные симптомы купированы, новых высыпаний не отмечено.
Назначенную терапию пациентка переносила хорошо, проходила еженедельный мониторинг, через 4 мес ― полное рубцевание язвенного дефекта (рис. 4).
Рис. 4. Тот же пациент. Клиническая картина после проведённого лечения: отмечается полное рубцевание язвы в области живота. / Fig. 4. The same patient. Clinical image after the conducted treatment: complete scarring of the ulcer.
ОБСУЖДЕНИЕ
Гангренозная пиодермия представляет собой редкий хронический нейтрофильный дерматоз, в настоящее время относящийся к группе аутовоспалительных заболеваний [5]. В связи с отсутствием общепринятого диагностического алгоритма диагностика заболевания в большинстве случаев представляет большие сложности. ГП следует подозревать у любого пациента с болезненным, быстро увеличивающимся, стерильным язвенно-некротическим поражением кожи, не реагирующим на длительную антибиотикотерапию, т.к. своевременная, грамотная терапия играет решающую роль в исходе этого жизнеугрожающего заболевания [6].
Воспалительные заболевания кишечника встречаются примерно у 41% пациентов с ГП и являются одним из наиболее частых сопутствующих заболеваний [7]. Представленная пациентка страдала язвенным колитом в течение 2 лет и не получала соответствующего лечения, что привело к развитию с дальнейшим прогрессированием кожного поражения [8]. Язвенные дефекты, возникшие на месте внутримышечных инъекций у больной, известны как феномен патергии: их распространённость среди больных ГП может достигать 62,5%. Патергия играет важную роль как в диагностике заболевания, так и при проведении местного лечения язвенных дефектов (проведение хирургической обработки) [9].
В последнее время всё чаще сообщается о манифестации или тяжёлом течении дерматозов на фоне COVID-19 [10]. Механизмы кожных проявлений COVID-19 всё ещё изучаются, но, вероятно, связаны с косвенными эффектами гиперактивности иммунной системы и гиперкоагуляцией [11]. COVID-19 и ГП имеют некоторые иммунологические сходства. Провоспалительные цитокины и нейтрофильные аномалии играют важную роль в патогенезе обоих заболеваний. Высокое соотношение нейтрофилов и лимфоцитов является независимым фактором риска тяжёлого течения COVID-19, а нейтрофилия является показателем неблагоприятных исходов у пациентов с COVID-19 [12]. Наличие нейтрофильных абсцессов и гнойного воспаления при гистопатологическом исследовании биоптатов кожи у пациентов с ГП также свидетельствует о нейтрофильной дисфункции [13]. Резкое ухудшение состояния и активный рост язвенного дефекта в представленном клиническом случае подтверждает тяжёлое, агрессивное течение ГП на фоне новой коронавирусной инфекции.
Иммуносупрессивная терапия является краеугольным камнем успешного лечения ГП. При агрессивных поражениях системные глюкокортикостероиды (0,5–1,0 мг/кг в сутки) остаются наиболее эффективными, безопасными и доступными препаратами. Сульфаниламиды и циклоспорин представляют собой альтернативные методы лечения и могут применяться совместно с глюкокортикоидами, оказывая стероидсберегающее действие [14]. Наличие в анамнезе язвенного колита, а также присоединение новой коронавирусной инфекции у представленной в данной статье пациентки привело к необходимости разработки терапевтических стратегий, которые впоследствии привели к разрешению всех трёх нозологий [15].
Тофацитиниб является пероральным ингибитором янус-киназ 1 и 3 (janus kinase, JAK-1 и JAK-3), первым пероральным препаратом, одобренным Управлением по санитарному надзору за качеством пищевых продуктов и медикаментов США (Food and Drug Administration, FDA) для лечения язвенного колита, а интерлейкин-6 (interleukin, IL) играет важную роль в развитии гипервоспаления при COVID-19, ГП и язвенном колите, именно поэтому данной пациентке был назначен левилимаб [16]. Кроме того, препарат применяется с целью контроля синдрома высвобождения цитокинов при СOVID-19 [17]. B. Kochar и соавт. [18] обнаружили интенсивное окрашивание фосфорилированных JAK-1, JAK-2, JAK-3, сигнальных белков STAT1 и STAT3 в эпидермисе, что указывает на роль активации пути JAK-STAT в патогенезе ГП. Следовательно, ингибиторы JAK являются эффективным методом лечения данного заболевания.
Роль биологических препаратов в плане одновременного лечения всех трёх заболеваний представляется неоднозначной. Использование IL-17 в некоторых случаях приводит к разрешению ГП, однако описаны парадоксальные случаи развития или обострения воспалительных заболеваний кишечника на фоне их приёма [19]. Было показано, что инфликсимаб, моноклональное антитело к фактору некроза опухоли α (tumor necrosis factor alpha, TNF-α), эффективен у пациентов с ГП в сочетании с воспалительными заболеваниями кишечника [20]. Другие ингибиторы TNF-α, такие как адалимумаб и этанерцепт, также могут быть эффективным вариантом терапии у пациентов с ГП, но, к сожалению, не во всех случаях [21]. Кроме того, есть некоторые доказательства того, что устекинумаб, нацеленный на IL-12 и IL-23, также может улучшать исход поражений ГП [22].
Роль хирургических вмешательств, таких как аутотрансплантация кожи и терапия ран отрицательным давлением, является спорной, поскольку эти методы могут ещё больше усугубить состояние (феномен патергии) и должны выполняться на фоне иммуносупрессивной терапии [23].
ЗАКЛЮЧЕНИЕ
Представленный клинический случай повысит осведомлённость о ГП как об относительно редкой причине язвенно-некротических поражений кожи, которую легко можно спутать с инфекционным процессом, и при ложной диагностике лечить неэффективно. Особое клиническое значение в условиях пандемии COVID-19 имеют правильное лечение ГП и учёт того, что только комплексный подход может дать положительный результат от проводимой терапии.
ДОПОЛНИТЕЛЬНО
Источник финансирования. Работа выполнена в соответствии с планом научных исследований Первого Московского государственного медицинского университета им. И.М. Сеченова Минздрава России (Сеченовский Университет). Спонсорскую поддержку авторы не получали.
Конфликт интересов. Авторы данной статьи подтвердили отсутствие конфликта интересов, о котором необходимо сообщить.
Вклад авторов. Все авторы подтверждают соответствие своего авторства международным критериям ICMJE (все авторы внесли существенный вклад в разработку концепции, проведение исследования и подготовку статьи, прочли и одобрили финальную версию перед публикацией). Наибольший вклад распределён следующим образом: Н.П. Теплюк ― консультация больной, определение диагноза и тактики ведения, внесение в рукопись существенной правки с целью повышения научной ценности статьи; О.В. Грабовская ― консультация больной, определение диагноза и тактики ведения, корректировка текста статьи; Д.Т. Кусраева ― консультация больной, определение диагноза и тактики ведения, непосредственное ведение и наблюдение больной, сбор литературных данных, составление текста статьи; Д.А. Корякин ― составление текста статьи, сбор литературных данных; А.Ю. Костенко ― непосредственное ведение и наблюдение больной, представление её на консультацию сотрудникам кафедры, составление текста статьи; Е.В. Грекова ― корректировка текста статьи, направление рукописи в редакцию журнала.
Согласие пациента. Пациент добровольно подписал информированное согласие на публикацию персональной медицинской информации в обезличенной форме в «Российском журнале кожных и венерических болезней».
ADDITIONAL INFORMATION
Funding source. The research was carried out at the expense of the organization’s budgetary funds.
Competing interests. The authors declare that they have no competing interests.
Authors contribution. The authors made a substantial contribution to the conception of the work, acquisition, analysis of literature, drafting and revising the work, final approval of the version to be published and agree to be accountable for all aspects of the work. N.P. Teplyuk ― consultation of the patient, determination of diagnosis and management tactics, making significant changes to the manuscript in order to increase the scientific value of the article; O.V. Grabovskaya ― consultation of the patient, determination of diagnosis and management tactics, correction of the text of the article; D.T. Kusraeva ― consultation of the patient, determination of diagnosis and management tactics, direct management and supervision of the patient, collection of literary data, drafting of the text of the article; D.A. Koriakin ― collection of literary data, drafting of the text of the article; A.Yu. Kostenko ― direct management and supervision of the patient, presentation of her for consultation with the staff of the department, drafting of the text of the article; E.V. Grekova ― correction of the text of the article, sending the manuscript to the editorial office of the journal.
Patient permission. Patient voluntarily signed an informed consent to the publication of personal medical information in depersonalized form in the journal “Russian journal of skin and venereal diseases”.
About the authors
Nataliya P. Teplyuk
I.M. Sechenov First Moscow State Medical University (Sechenov University)
Email: Teplyukn@gmail.com
ORCID iD: 0000-0002-5800-4800
SPIN-code: 8013-3256
MD, Dr. Sci. (Med.), Professor
Russian Federation, MoscowOlga V. Grabovskaya
I.M. Sechenov First Moscow State Medical University (Sechenov University)
Email: olgadoctor2013@yandex.ru
ORCID iD: 0000-0002-5259-7481
SPIN-code: 1843-1090
MD, Cand. Sci. (Med.), Associate Professor
Russian Federation, MoscowDiana T. Kusraeva
I.M. Sechenov First Moscow State Medical University (Sechenov University)
Author for correspondence.
Email: kysra1992@mail.ru
ORCID iD: 0000-0002-5633-7986
SPIN-code: 1478-3503
Postgraduate Student
Russian Federation, 4 build. 1, Bolshaya Pirogovskaya str., Moscow, 119991Ekaterina V. Grekova
I.M. Sechenov First Moscow State Medical University (Sechenov University)
Email: grekova_kate@mail.ru
ORCID iD: 0000-0002-7968-9829
SPIN-code: 8028-5545
MD, Cand. Sci. (Med.)
Russian Federation, MoscowDanila A. Koriakin
I.M. Sechenov First Moscow State Medical University (Sechenov University)
Email: danila110920021@gmail.com
ORCID iD: 0000-0003-3619-206X
Student
Russian Federation, MoscowAnastasia Yu. Kostenko
I.M. Sechenov First Moscow State Medical University (Sechenov University)
Email: anastasiya.k9716@gmail.com
ORCID iD: 0000-0002-4115-540X
MD
Russian Federation, MoscowReferences
- Marzano AV, Damiani G, Ceccherini I, et al. Autoinflammation in pyoderma gangrenosum and its syndromic form (pyoderma gangrenosum, acne and suppurative hidradenitis). Br J Dermatol. 2017;176(6):1588–1598. doi: 10.1111/bjd.15226
- Alavi A, French LE, Davis MD, et al. Pyoderma gangrenosum: an update on pathophysiology, diagnosis and treatment. Am J Clin Dermatol. 2017;18(3):355–372. doi: 10.1007/s40257-017-0251-7
- Kridin K, Cohen AD, Amber KT. Underlying systemic diseases in pyoderma gangrenosum: a systematic review and meta-analysis. Am J Clin Dermatol. 2018;19(4):479–487. doi: 10.1007/s40257-018-0356-7
- Su WP, Davis MD, Weenig RH, et al. Pyoderma gangrenosum: clinicopathologic correlation and proposed diagnostic criteria. Int J Dermatol. 2004;43(11):790-800. doi: 10.1111/j.1365-4632.2004.02128.x
- Georgin-Lavialle S, Ducharme-Benard S, Sarrabay G, et al. Systemic autoinflammatory diseases: Clinical state of the art. Best Pract Res Clin Rheumatol. 2020;34(4):101529. doi: 10.1016/j.berh.2020.101529
- Barbosa NS, Tolkachjov SN, El-Azhary RA, et al. Clinical features, causes, treatments, and outcomes of peristomal pyoderma gangrenosum (PPG) in 44 patients: The Mayo Clinic experience, 1996 through 2013. J Am Acad Dermatol. 2016;75(5):931–939. doi: 10.1016/j.jaad.2016.05.044
- Ashchyan HJ, Butler DC, Nelson CA, et al. The association of age with clinical presentation and comorbidities of pyoderma gangrenosum. JAMA Dermatol. 2018;154(4):409–413. doi: 10.1001/jamadermatol.2017.5978
- Goodarzi H, Sivamani RK, Garcia MS, et al. Effective strategies for the management of pyoderma gangrenosum. Adv Wound Care (New Rochelle). 2012;1(5):194–199. doi: 10.1089/wound.2011.0339
- Teplyuk NP, Grabovskaya OV, Kusraeva DT, Varshavsky VA. Pyoderma gangrenosum: examination and treatment experience. Russian journal of skin and venereal diseases. 2022;25(1):61–72. (In Russ). doi: 10.17816/dv105685
- Olisova OY, Anpilogova EM. New coronavirus infection (COVID-19): a dermatologist’s view. Annals of the Russian academy of medical sciences. 2020;75(4):292–299. (In Russ). doi: 10.15690/vramn1359
- Genovese G, Moltrasio C, Berti E, Marzano AV. Skin manifestations associated with COVID-19: current knowledge and future perspectives. Dermatology. 2021;237(1):1–12. doi: 10.1159/000512932
- Borges L, Pithon-Curi TC, Curi R, Hatanaka E. COVID-19 and neutrophils: the relationship between hyperinflammation and neutrophil extracellular traps. Mediators Inflamm. 2020;2020:8829674. doi: 10.1155/2020/8829674
- Patel F, Fitzmaurice S, Duong C, et al. Effective strategies for the management of pyoderma gangrenosum: A comprehensive review. Acta Derm Venerol. 2015;95(5):525–531. doi: 10.2340/00015555-2008
- Soto Vilches F, Vera-Kellet C. Pyoderma gangrenosum: classic and emerging therapies. Medicina Clínica (English Edition). 2017;149(6):256–260. doi: 10.1016/j.medcle.2017.08.007
- Schwartz RA, Pradhan S, Murrell DF, et al. COVID-19 and immunosuppressive therapy in dermatology. Dermatologic Therapy. 2020;33(6):e14140. doi: 10.1111/dth.14140
- Tatiya-Aphiradee N, Chatuphonprasert W, Jarukamjorn K. Immune response and inflammatory pathway of ulcerative colitis. J Basic Clin Physiol Pharmacol. 2018;30(1):1–10. doi: 10.1515/jbcpp-2018-0036
- Syed K, Chaudhary H, Balu B. Pyoderma gangrenosum following COVID-19 infection. J Community Hosp Intern Med Perspect. 2021;11(5):601–603. doi: 10.1080/20009666.2021.1958492
- Kochar B, Herfarth N, Mamie C, et al. Tofacitinib for the treatment of pyoderma gangrenosum. Clin Gastroenterol Hepatol. 2019;17(5):991–993. doi: 10.1016/j.cgh.2018.10.047
- Fauny M, Moulin D, D’Amico F, et al. Paradoxical gastrointestinal effects of interleukin-17 blockers. Ann Rheum Dis. 2020;79(9):1132–1138. doi: 10.1136/annrheumdis-2020-217927
- Mikail M, Wilson A. Infliximab treatment for large, multifocal, abdominal pyoderma gangrenosum associated with ulcerative colitis: a case report. SAGE Open Med Case Rep. 2020;8:2050313X20964113. doi: 10.1177/2050313X20964113
- Kleinpenning MM, Langewouters AM, van De Kerkhof PC, Greebe RJ. Severe pyoderma gangrenosum unresponsive to etanercept and adalimumab. J Dermatolog Treat. 2011;22(5):261–265. doi: 10.3109/09546631003797106
- Guenova E, Teske A, Fehrenbacher B, et al. Interleukin 23 expression in pyoderma gangrenosum and targeted therapy with ustekinumab. Arch Dermatol. 2011;147(10):1203–1205. doi: 10.1001/archdermatol.2011.168
- Pichler M, Thuile T, Gatscher B, et al. Systematic review of surgical treatment of pyoderma gangrenosum with negative pressure wound therapy or skin grafting. J Eur Acad Dermatol Venereol. 2017;31(2):e61–e67. doi: 10.1111/jdv.13727
Supplementary files







