Combination of actinic, hypertrophic and typical forms of lichen planus in one patient
- Authors: Shchava S.N.1, Ivanova I.N.1, Serdyukova E.A.1
-
Affiliations:
- Volgograd State Medical University
- Issue: Vol 25, No 1 (2022)
- Pages: 41-47
- Section: DERMATOLOGY
- Submitted: 01.04.2022
- Accepted: 03.05.2022
- Published: 03.08.2022
- URL: https://rjsvd.com/1560-9588/article/view/105743
- DOI: https://doi.org/10.17816/dv105743
- ID: 105743
Cite item
Full Text
Abstract
Lichen planus is a chronically occurring dermatosis of a multifactorial nature, which is characterized by the appearance of flat polygonal itchy papules on the skin and mucous membranes. Dermatosis is often associated with diabetes mellitus and diseases of the gastrointestinal tract, extremely rarely with oncological diseases. Antimalarial drugs with photoprotective, anti-inflammatory, weak immunosuppressive effect are recommended for treatment.
Actinic and hypertrophic forms of lichen planus are atypical forms of the disease. Actinic or tropical lichen planus is rare in the Russian Federation, mainly in the countries of the Middle and Near East, Central Asia, Africa. The actinic form of lichen planus is characterized by localization in open areas of the skin (face, neck). The hypertrophic form of lichen planus is characterized by large papules with a bumpy surface that do not look like a typical form. The rare occurrence of dermatosis and unusual localization leads to difficulty in making a diagnosis.
The article presents a clinical case of a combination of actinic, hypertrophic and typical forms of lichen planus in a patient born in the Caucasus, but having lived in Russia for a long time. The skin process in the patient was widespread, was localized throughout the skin, including the face, neck, mucous membranes of the oral cavity; only the skin of the palms and soles remained free from rashes. The rash was represented by flat polygonal papules, bluish-pink in color, the size of a lentil, and a whitish Wickham mesh on the surface.
Localization in open areas of the skin, combination with hypertrophic papules, outdoor work, severe itching with excoriations led to an incorrect diagnosis, and the ongoing therapy had no effect. To clarify the diagnosis, a histological examination was carried out, which revealed pronounced hyperkeratosis, uneven granulosis, massive papillomatosis, in the papillary and sub-papillary layers of the dermis (stripe-shaped moderate infiltrate of lymphoid elements, histiocytes, minor edema, vasodilation). Adequately selected drug therapy (dexamethasone intramuscularly; chloropyramine intramuscularly; antimalarial agent; nicotinic acid; external ointment dermatol), as well as acupuncture sessions with the second inhibitory method of therapy, led to an improvement in the patient’s condition.
Upon completion of treatment, the patient is recommended photoprotective external agents on exposed skin and a repeated course of acupuncture.
Full Text
ВВЕДЕНИЕ
Красный плоский лишай (КПЛ) ― относительно распространённый хронически протекающий дерматоз мультифакториальной природы, для которого характерно появление плоских полигональных зудящих папул на коже и слизистых оболочках [1, 2]. Частота встречаемости данного дерматоза составляет от 0,5 до 1–5% населения, среди болезней слизистой оболочки полости рта ― до 32,0% [3, 4]. Этиология заболевания остаётся неизвестной. В патогенезе чаще всего играют роль психосоматические расстройства, однако дерматоз часто связан с сахарным диабетом, заболеваниями желудочно-кишечного тракта и крайне редко с онкологическими заболеваниями [2, 5].
Классический КПЛ на коже туловища, конечностей проявляется плоскими полигональными блестящими папулами розовой, лиловой, коричневой окраски. На поверхности элементов часто наблюдается белесоватая сетка Уикхема. В полости рта жемчужно-белые папулёзные элементы расположены по линии смыкания зубов, на языке, красной кайме губ в виде сетки, кружева, листьев папоротника [5, 6]. Высыпания КПЛ на коже сопровождаются мучительным зудом [5, 7]. Кроме классического КПЛ, различают также атипичные варианты заболевания: атрофический, гипертрофический, буллёзный, пигментный, кольцевидный, эрозивно-язвенный, актинический (тропический, субтропический) [2, 5, 6]. Клиническая картина более редких вариантов КПЛ может значительно отличаться от классической формы, что порой приводит к трудностям диагностики. Например, гипертрофическая форма, которая встречается у 15% пациентов с КПЛ, характеризуется папулами и бляшками с бородавчатой поверхностью, розово-красного цвета, покрытыми небольшим количеством чешуек [8]. Очаги округлой или овальной формы с неровными краями и чёткими границами.
Понимание разнообразия особенностей КПЛ при его атипичных проявлениях важно для правильной и своевременной диагностики и выработки оптимальной тактики лечения [2, 6].
Согласно обобщённым данным [9], J.A. Fordyce в 1919 г. впервые описал актинический КПЛ, А. Dostrovsky и F. Sagher в 1949 г. представили описание его клинических проявлений и клинико-эпидемиологических особенностей. Тропический КПЛ встречается в основном в странах Среднего и Ближнего Востока, Средней Азии, Индокитая, Африки, Австралии, Америки и Новой Зеландии, редко ― у жителей Кавказа и нетипичен для населения Европы [10–12]. Заболеваемость составляет 1 случай на 1 млн жителей в год [13]. Тропический КПЛ чаще встречается у женщин [7, 12]. Возраст пациентов, как правило, молодой [6, 14, 15]. Болеют преимущественно лица с тёмным фототипом кожи (как правило, от III до V) [13]. Отличием актинической формы КПЛ от классического течения является локализация на коже лица, шеи, в том числе открытых участках кожи, подверженных инсоляции. Заболевание протекает хронически с рецидивами в летнее время года [12, 14, 16]. Клиническая картина характеризуется плоскими блестящими папулами буровато-синюшного цвета, часто кольцевидных очертаний, оставляющими вторичные пигментные пятна [7, 17, 18]. В отличие от классической формы, по мнению A.K. Tiwary [1], для актинического КПЛ нехарактерно вовлечение в патологический процесс слизистых оболочек, отсутствуют феномен Кебнера и зуд. Описаны три формы тропического красного плоского лишая: кольцевидная, пигментная и дисхромическая [14, 15]. Для лечения рекомендуются антималярийные препараты, обладающие фотозащитным, противовоспалительным, слабым иммунодепрессивным эффектом.
В своей практике нам приходилось встречаться с развитием актинической формы КПЛ у студентов из южных регионов земного шара (Индии, Палестины, Узбекистана, Армении). Пациентов с гипертрофической формой КПЛ мы наблюдали чаще. Нами был описан один из клинических случаев веррукозной формы КПЛ и синдрома Фавра–Ракушо [19].
Приводим клинический случай сочетания нескольких форм КПЛ у пациента, родившегося на Кавказе, но проживающего в России.
ОПИСАНИЕ КЛИНИЧЕСКОГО СЛУЧАЯ
О пациенте
Пациент А., 47 лет, гражданин Азербайджана, длительное время проживает в Волгоградской области.
Из анамнеза заболевания. Заболел 12 лет назад, когда впервые появились высыпания в области волосистой части головы, тыла кистей. По месту прежнего проживания неоднократно консультировался дерматовенерологом, где предполагали аллергический дерматит, по поводу чего получал местную глюкокортикоидную терапию без эффекта. Примерно 6 лет назад состояние больного резко ухудшилось: появились зудящие высыпания в области туловища, конечностей. Обращался к врачу, получал лечение, в том числе системными глюкокортикоидами, которые не давали эффекта. В связи с прогрессированием кожного процесса, сильным зудом, отсутствием эффекта от лечения пациент был госпитализирован в дерматовенерологическое отделение с диагнозом «Актинический ретикулоид».
Локальный статус. При осмотре кожный процесс носит распространённый характер, локализуется по всему кожному покрову, включая лицо, шею, слизистые оболочки полости рта; свободными от высыпаний являются кожа ладоней и подошв. Сыпь представлена плоскими папулами полигональной формы, синюшно-розового цвета, размером с чечевицу, с белесоватой сеткой Уикхема на поверхности (рис. 1).
Рис. 1. Пациент А., 47 лет, диагноз «Красный плоский лишай, типичная, актиническая и гиперкератотическая форма». Плоские папулы полигональной формы, синюшно-розового цвета, размером с чечевицу, с белесоватой сеткой Уикхема по поверхности кожи живота.
Fig. 1. Patient A., 47 years old. Diagnosis: Lichen planus typical, actinic and hypertrophic forms. Flat polygonal papules, bluish-pink in color, the size of a lentil, with a whitish Wickham mesh on the surface of the skin of the abdomen.
На лице в области лба папулы гипертрофированы, синюшно-розового цвета значительно выступают над поверхностью кожи, увеличены в размерах (рис. 2).
Рис. 2. Тот же пациент. Гипертрофированные папулы, синюшно-розового цвета значительно выступают над поверхностью кожи, увеличены в размерах в области лба.
Fig. 2. The same patient. Hypertrophied papules, bluish-pink in color, protrude significantly above the surface of the skin, are enlarged in size in the forehead area.
В области наружной поверхности локтевых суставов, тыльной поверхности кистей, на пояснице папулы увеличены в размерах до горошины, бурого цвета, округлой формы с неровной поверхностью и нечёткими контурами; имеются участки лихенификации, экскориации, геморрагические корки (рис. 3, 4).
Рис. 3. Тот же пациент. Папулы бурого цвета, размером с горошину, округлой формы с неровной поверхностью и нечёткими контурами в области поясницы.
Fig. 3. The same patient. Papules are brown in color, the size of a pea, rounded in shape with an uneven surface and indistinct contours in the lumbar region.
Рис. 4. Тот же пациент. Увеличенные в размере до горошины папулы бурого цвета, округлой формы, с неровной поверхностью и нечёткими контурами, экскориациями и геморрагическими корками в области наружной поверхности локтевых суставов.
Fig. 4. The same patient. Papules enlarged to the size of a pea are brown in color, rounded in shape, with an uneven surface and indistinct contours, excoriation and hemorrhagic crusts in the area of the outer surface of the elbow joints.
При осмотре слизистых оболочек полости рта имеются изменения в виде сетки Уикхема белого цвета в области твёрдого нёба и щёк.
Результаты физикального, лабораторного и инструментального исследования
Общий анализ крови, общий анализ мочи, биохимический анализ крови без патологии.
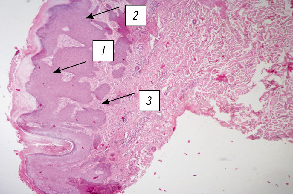
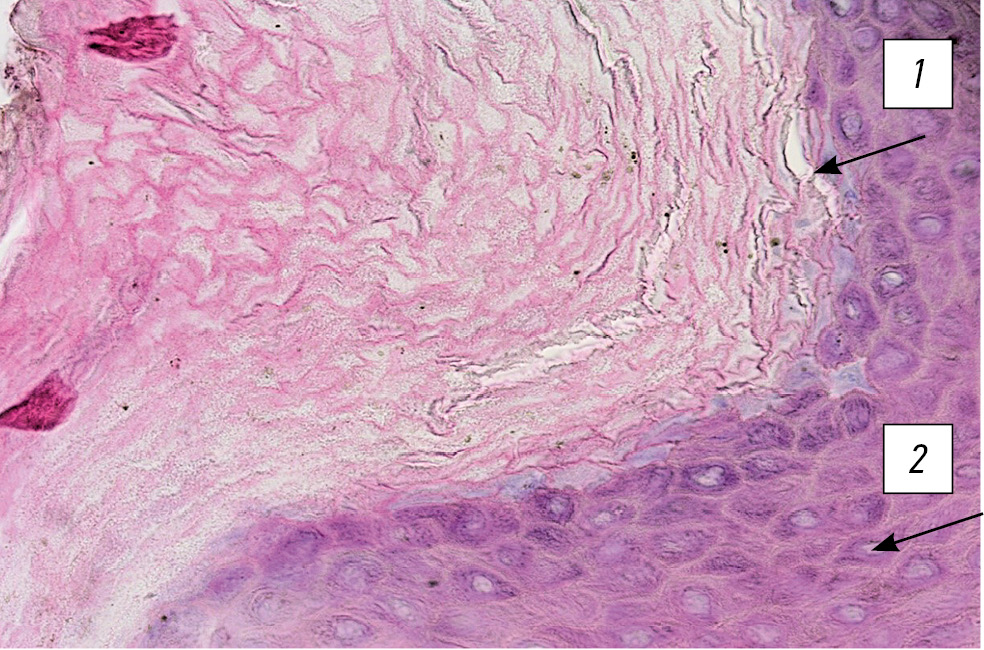
При гистологическом исследовании в эпидермисе выявлены выраженный гиперкератоз, неравномерный гранулёз, массивный папилломатоз. В дерме в сосочковом и подсосочковом слое ― полосовидный умеренный инфильтрат из лимфоидных элементов, гистиоцитов. В дерме незначительный отёк, расширение сосудов.
Заключение: гистологическая картина соответствует диагнозу «Красный плоский лишай» (рис. 5–7).
Рис. 5. Гистологическое исследование: выраженный гиперкератоз (1), неравномерный гранулёз (2) в эпидермисе, массивный папилломатоз (3). Окраска гематоксилином-эозином, ×100.
Fig. 5. Histological examination: pronounced hyperkeratosis (1), uneven granulosis (2) of the epidermis, massive papillomatosis (3). Staining with hematoxylin-eosin, ×100.
Рис. 6. Гистологическое исследование: выраженный гиперкератоз (1), неравномерный гранулёз (2) в эпидермисе. Окраска гематоксилином-эозином, ×400.
Fig. 6. Histological examination: pronounced hyperkeratosis (1), uneven granulosis (2) of the epidermis. Staining with hematoxylin-eosin, ×400.
Рис. 7. Гистологическое исследование: в сосочковом и подсосочковом слое дермы ― полосовидный умеренный инфильтрат из лимфоидных элементов, гистиоцитов (1). В дерме незначительный отёк, расширение сосудов (2). Окраска гематоксилином-эозином, ×400.
Fig. 7. Histological examination: in the papillary and sub-papillary layers of the dermis, there is a strip-like moderate infiltrate of lymphoid elements, histiocytes (1). In the dermis, there is slight edema, vasodilation (2). Staining with hematoxylin-eosin, ×400.
Пациенту был выставлен диагноз: «Красный плоский лишай, типичная, актиническая и гипертрофическая форма».
Лечение, прогноз
Проводилось лечение: дексаметазон в дозе 12 мг внутримышечно с постепенным снижением дозы до полной отмены; хлоропирамин по 1 мл внутримышечно; Делагил по 0,25 г 1 раз в день в течение 10 дней; никотиновая кислота по 0,1 г 3 раза в день после еды в течение 1 мес; наружно 5% дерматоловая мазь; 10 сеансов иглорефлексотерапии вторым тормозным методом.
В результате проведённого лечения наметилась положительная динамика: значительно уменьшился зуд и нормализовался сон, новые высыпания не появлялись, папулёзные элементы несколько уплостились и побледнели, расчёсы эпителизировались. По завершении лечения пациенту рекомендованы фотозащитные наружные средства на открытые участки кожи и повторный курс акупунктуры через 1 мес.
Несмотря на распространённость, длительность течения и выраженность клинических проявлений, прогноз у данного больного благоприятный, ожидается стойкий клинический эффект после 3 курсов иглорефлексотерапии.
ЗАКЛЮЧЕНИЕ
Клинический случай представляет интерес для врачей-дерматовенерологов по причине редкого сочетания нескольких форм красного плоского лишая у одного пациента, что привело к неэффективности ранее проводимой терапии и обусловило позднюю диагностику заболевания.
ДОПОЛНИТЕЛЬНО
Источники финансирования. Работа выполнена по инициативе авторов без привлечения финансирования.
Конфликт интересов. Авторы декларируют отсутствие явных и потенциальных конфликтов интересов, связанных с содержанием настоящей статьи.
Вклад авторов. Авторы подтверждают соответствие своего авторства международным критериям ICMJE (разработка концепции, получение, анализ данных или интерпретация результатов, написание статьи и внесение в рукопись существенной правки с целью повышения научной ценности данной работы). Все авторы одобрили финальную версию статьи перед публикацией, выразили согласие нести ответственность за все аспекты работы, подразумевающую надлежащее изучение и решение вопросов, связанных с точностью или добросовестностью любой части работы.
Согласие пациента. Пациент добровольно подписал информированное согласие на публикацию своей персональной медицинской информации в обезличенной форме в «Российском журнале кожных и венерических болезней».
Благодарности. Выражаем благодарность заведующему организационно-методического отдела ГБУЗ «Волгоградское областное патологоанатомическое бюро», ассистенту кафедры анатомии Волгоградского государственного медицинского университета Матвееву Олегу Владимировичу за техническую помощь в изготовлении фотографий гистологических препаратов.
ADDITIONAL INFORMATION
Funding source. This work was not supported by any external sources of funding.
Competing interests. authors declare that they have no competing interests.
Authors’ contribution. The authors made a substantial contribution to the conception of the work, acquisition, analysis of literature, drafting and revising the work, final approval of the version to be published and agree to be accountable for all aspects of the work.
Patient’s permission. The patients voluntarily signed an informed consent to the publication of their personal medical information in depersonalized form in the journal “Russian journal of skin and venereal diseases”.
Acknowledgments. We express our gratitude to Oleg V. Matveev, Head of the Organizational and Methodological Department of the Volgograd Regional Pathology Bureau, Assistant of the Department of Anatomy of the Volgograd State Medical University, for technical assistance in the production of photographs of histological preparations.
About the authors
Svetlana N. Shchava
Volgograd State Medical University
Author for correspondence.
Email: snchava@rambler.ru
ORCID iD: 0000-0002-4946-6624
SPIN-code: 7449-7277
MD, Cand. Sci. (Med.), Associate Professor
Russian Federation, VolgogradIrina N. Ivanova
Volgograd State Medical University
Email: derma_19@mail.ru
ORCID iD: 0000-0003-3201-6026
SPIN-code: 2122-8683
MD, Cand. Sci. (Med.)
Russian Federation, VolgogradElena A. Serdyukova
Volgograd State Medical University
Email: eas171@yandex.ru
ORCID iD: 0000-0002-2109-3723
SPIN-code: 3974-3787
MD, Cand. Sci. (Med.), Associate Professor
Russian Federation, VolgogradReferences
- Tiwary AK. Actinic Lichen Planus. Indian Pediatr. 2018;55(8):715.
- Dvoryankova EV. Variety of clinical forms of lichen planus. Dermatology. Appendix J Consilium Medicum. 2018;(4):7–10. (In Russ). doi: 10.26442/24143537.2018.4.180138
- Dvoryankova EV, Krasnikova VN, Korsunskaya IM. Red lichen planus in children’s practice. Pediatrics. Appendix J Consilium Medicum. 2018;(3):116–118. (In Russ). doi: 10.26442/2413-8460_2018.3.116-118
- Tlish MM, Osmolovskaya PS. Red lichen planus. Modern methods of therapy: a systematic review. Kuban Sci Med Bulletin. 2021;(2):104–119. (In Russ). doi: 10.25207/1608-6228-2021-28-2-104-119
- Snarskaya ES, Dorozhenok IY, Mikhailova MM. Clinical phenotypes of lichen planus and transnosological psychosomatic comorbid states. Med Alphabet. 2021;(27):26–30. (In Russ). doi: 10.33667/2078-5631-2021-27-26-30
- Slesarenko NA, Utts SR, Bakulev AL, et al. Clinical polymorphism of lichen planus (review). Saratov Sci Med J. 2017;13(3):652–661. (In Russ).
- Alabi GO, Akinsanya JB. Lichen planus in tropical Africa. Trop Georg Med. 1981;2:143–148.
- Vasilyeva EA, Efanova EN, Rusak YE, Ulitina IV. Atypical forms of lichen planus: clinical observation. Attending Physician. 2017;(2):86. (In Russ).
- Olisova OY, Teplyuk NP, Grabovskaya OV, Kolesova YV. Red lichen planus. Russ J Skin Venereal Diseases. 2020;23(5):356–360. (In Russ). doi: 10.17816/dv59113
- Dekio I, Matsuki S, Furumura M, et al. Actinic lichen planus in a Japanese man: first case in the East Asian population. Photodermatol Photoimmunol Photomed. 2010;6:333–335. doi: 10.1111/j.1600-0781.2010.00548.x
- Williams W. Tropical lichen planus syndrome. Br Med J. 1947;2:901–904. doi: 10.1136/bmj.2.4535.901
- Dorozhenok IY, Snarskaya ES, Mikhailova M. Psychosomatic disorders associated with itching in patients with lichen planus (literature review). Russ J Skin Venereal Diseases. 2020;23(1):42–49. (In Russ). doi: 10.17816/dv2020142-49
- Kennedy AM, Muhaj FF, Tschen JA, Silapunt S. Linear lichen planus pigmentosus of the face with histological findings of lichen planopilaris ― an uncommon variant of lichen planus. Dermatol Online J. 2021;27(4):13030/qt8pg5b33q.
- Mebazaa A, Denguezli M, Ghariani N, et al. Actinic lichen planus of unusual presentation. Acta Dermatovenerol Alp Pannonica Adriat. 2010;19(2):31–33.
- Denguezli M, Nouira R, Jomaa B. [Actinic lichen planus. An anatomoclinical study of 10 Tunisian cases. (In French)]. Ann Dermatol Venereol. 1994;121(8):543–546.
- Munera-Campos M, Castillo G, Ferrandiz C, Carrascosa JM. Actinic lichen planus triggered by drug photosensitivity. Photodermatol Photoimmunol Photomed. 2019;35(2):124–126. doi: 10.1111/phpp.12435
- Böer-Auer A, Lütgerath C. [Lichen planus: fundamentals, clinical variants, histological features, and differential diagnosis. (In German)]. Hautarzt. 2020;71(12):1007–1021. doi: 10.1007/s00105-020-04717-w
- Murao K, Tamaki M, Kinoshita H, Kubo Y. Case of actinic lichen planus: the second Japanese case. J Dermatol. 2019;46(8):304–305. doi: 10.1111/1346-8138.14826
- Ivanova IN, Shchava SN, Eremina GV. Combination of Favre-Rakusho syndrome with a verrucous form of lichen planus. Clin Dermatol Venereol. 2021;20(6):42–45. (In Russ). doi: 10.17116/klinderma20212006142
Supplementary files









