Kaposi's sarcoma: Problems of differential diagnosis
- Authors: Grabovskaya O.V.1, Teplyuk N.P.2, Mishin S.A.2, Grekova E.V.2, Dunaeva E.R.2, Perekhodova A.V.2, Shnakhova L.M.2
-
Affiliations:
- The First Sechenov Moscow State Medical University (Sechenov University)
- Clinic of skin and venereal diseases. V.A. Rakhmanov PMGMU them. I.M. Sechenov (Sechenov University)
- Issue: Vol 26, No 5 (2023)
- Pages: 487-495
- Section: DERMATOLOGY
- Submitted: 14.06.2023
- Accepted: 08.09.2023
- Published: 17.11.2023
- URL: https://rjsvd.com/1560-9588/article/view/492311
- DOI: https://doi.org/10.17816/dv492311
- ID: 492311
Cite item
Abstract
Kaposi's sarcoma is a multifocal malignant disease of vascular origin with a primary lesion of the skin, as well as internal organs and lymph nodes. According to various authors, it is believed that Kaposi's sarcoma is associated with herpes simplex virus type 8 (HHV-8).
According to the literature, the following types of Kaposi's sarcoma are distinguished: classical (European), immunosuppressive, endemic (African) and epidemic (this form of sarcoma is associated with the state of acquired immunodeficiency). Clinically, with Kaposi's sarcoma, rashes can vary depending on the form of the disease, among which there are spotty, papular and tumor forms. Also in the literature, some authors distinguish the 4th form of Kaposi's sarcoma ― bullous.
Diagnostic search for Kaposi's sarcoma is a difficult problem due to the large number of diseases of vascular origin, as well as their clinical similarity. The diagnostic methods described in the literature include many studies, including a blood test for HHV-8, as well as routine histological examination and immunohistochemistry.
The article presents a rare clinical case of Kaposi's sarcoma in a young girl with a long history of the disease.
Full Text
АКТУАЛЬНОСТЬ
Саркома Капоши (СК) ― многоочаговая злокачественная опухоль сосудистого происхождения с преимущественным поражением кожных покровов и вовлечением внутренних органов и лимфатических узлов. Из литературы известно, что дебют СК ассоциирован с вирусом герпеса человека 8-го типа (human herpes virus type 8, HHV-8) и характеризуется множественными кожными и внекожными новообразованиями эндотелиальной природы [1–5].
HHV-8 ― причина развития cаркомы Капоши (Kaposhi sarсoma herpes virus) ― относится к семейству g-herpesviridae, роду Rhadinovirus [1]. HHV-8 подразделяют на три варианта ― А, В и С. К причинам развития СК, а также СПИД-ассоциированным поражениям кожи относят вариант А HHV-8. Варианты В и С связывают с различными лимфопролиферативными заболеваниями (лимфомами, генерализованными лимфаденопатиями, болезнью Кастлемана) [1].
Саркома Капоши имеет несколько разновидностей этиологии, однако чаще всего это злокачественное заболевание, выражающееся появлением множественных узлов. Стоит отметить следующие этиологические разновидности СК, среди которых выделяют классическую (европейская), иммуносупрессивную, эндемическую (африканская) и эпидемическую (ассоциированную со СПИДом). Клинически при СК выделяют следующие разновидности: пятнистую (пятна неправильной формы до 5 мм), папулёзную (узелки до 1 см в диаметре), опухолевую (единичные и множественные узлы до 5 см, склонные к изъязвлению) [6–9].
При морфологическом исследовании выделяют ангиоматозный, фибробластический и смешанный варианты СК. В пятнистых элементах определяется увеличение числа дермальных сосудов, окружённых эндотелиальными клетками, в прилегающих участках ― отложения гемосидерина и экстравазальные эритроциты с умеренным периваскулярным инфильтратом. В бляшках при СК выявляется выраженная сосудистая пролиферация во всех структурах дермы. Характерным признаком также является наличие плотных тяжей и веретенообразных клеток между зазубренными сосудистыми клетками. В узлах больных СК определяются преимущественно веретенообразные клетки, участки ангиоматоза и плотные фиброзные волокна. Воспалительный инфильтрат состоит из лимфоцитов, гистиоцитов и плазмоцитов [10].
В 1872 году саркома Капоши была выделена австро-венгерским дерматологом М. Kaposi в отдельную нозологическую форму под названием «идиопатическая множественная пигментная саркома кожи». Характерное наличие при этом заболевании геморрагического компонента послужило позже основанием для замены термина «пигментная» на «геморрагическая». В 1898 году G. Koebner предложил термин «саркома Капоши» по имени первооткрывателя [11].
До начала эпидемии СПИДа СК вне стран экваториальной Африки встречалась относительно редко и преимущественно у лиц пожилого возраста на фоне эссенциальной или лекарственной иммуносупрессии [1].
В настоящее время отмечается увеличение заболеваемости в общей популяции. Рост частоты саркомы Капоши может быть связан с совершенствованием методов диагностики, а именно исследованием биоптата из очага поражения на наличие ДНК-последовательностей HHV-8, а также сыворотки крови на наличие антител класса IgG к HHV-8 [12].
Герпесвирус 8-го типа обладает наибольшей тропностью к сосудистым эндотелиальным клеткам, а также к различным видам гемопоэтических клеток и моноцитам [13], однако у больных СК в эндотелиальных клетках непоражённой кожи вирус не обнаруживается. Обнаружение HHV-8 является диагностически значимым критерием для постановки диагноза СК [14]. В патогенезе заболевания ведущая роль отводится иммуносупрессии, в связи с чем наличие HHV-8 является важным, но не ключевым фактором в развитии заболевания. Стоит отметить также, что распространённость HHV-8 среди населения коррелирует с числом диагностированных случаев СК.
В дерматологической практике встречается также псевдосаркома Капоши ― редкое поражение кожи преимущественно нижних конечностей, клинически схожее с саркомой Капоши. Главной причиной развития этой патологии является порок эмбрионального развития сосудистой системы. В связи с этим различают два варианта псевдосаркомы ― ангиодермит, вызванный хронической венозной недостаточностью (описан J. Mali и соавт. в 1965 году [15]), и поражение кожи, связанное с врождённой артериовенозной недостаточностью и множественными артериовенозными анастомозами (описано S. Bluefarb и W. Stewart в 1967 году [16]).
При гистологическом исследовании у больных псевдосаркомой Капоши отмечаются изменения, которые представлены пролиферацией капилляров, просветы которых резко расширены. Сосуды отделены друг от друга прослойками соединительной ткани с преобладанием фибробластов, также отмечаются экстравазаты эритроцитов [16, 17].
ОПИСАНИЕ СЛУЧАЯ
О пациенте
Больная М., 24 года, жительница города Москвы, поступила в Клинику кожных и венерических болезней имени В.А. Рахманова Первого МГМУ имени И.М. Сеченова 19.10.2022 с жалобами на высыпания на коже нижних конечностей без субъективных ощущений.
Сопутствующие заболевания: вульгарный псориаз в стадии ремиссии, кисты правой и левой доли щитовидной железы, признаки эндометриоидной кисты слева, признаки умеренного диффузного внутреннего эндометриоза, расширение вен малого таза I–II степени.
Аллергические реакции и лекарственную непереносимость отрицает.
Из анамнеза известно, что пациентка считает себя больной с лета 2019 года, когда впервые отметила появление пятнистых высыпаний на коже правой голенибез каких-либо субъективных ощущений, в связи с чем неоднократно обращалась к дерматологам. Появление высыпаний ни с чем не связывает. По результатам консультаций в различных клинических центрах пациентке был выставлен предположительный диагноз «Васкулит, ограниченный кожей, неуточнённый». Назначено лечение: местно гепариновая мазь и гель Троксевазин. На фоне проведённой терапии положительной динамики не отметила.
В июне 2022 года в связи с прогрессированием кожного процесса пациентка вновь обратилась к дерматологу по месту жительства с жалобами на появление новых, плотных на ощупь высыпаний в области голеней. Пациентке был повторно выставлен диагноз «Васкулит, ограниченный кожей, неуточнённый?»; проведены лабораторные исследования (общий анализ крови, коагулограмма, биохимический анализ крови с определением уровней аланинаминотрансферазы, аспартатаминотрансферазы, билирубина общего ― показатели в пределах референсных значений), а также ультразвуковое исследование щитовидной железы ― признаки кисты правой доли щитовидной железы. Назначено лечение: антигистаминные препараты коротким курсом (левоцетиризин в дозе 5 мг); местно метилпреднизолона ацепонат 0,1% (Адвантан) на область высыпаний 2 раза в день в течение 5 дней; мазь клобетазол 0,05% (Дермовейт) 1 раз в день в течение 14 дней с дальнейшей постепенной отменой препарата; эмоленты; гипоаллергенная диета. Кожный процесс продолжал прогрессировать (рост существующих высыпаний и появление новых элементов). Пациентка была направлена к ревматологу для исключения системной формы васкулита. Исследованы антинуклеарный фактор на клетках HEp-2 ― отрицательно; антитела к цитоплазме нейтрофилов (сериновой протеиназы-3 и миелопероксидазы) не выявлены; показатели общего и биохимического анализа крови, коагулограммы в пределах нормы.
В августе 2022 года обследована аллергологом: выявлено повышение уровня катионного протеина эозинофилов (26,10 нг/мл при норме 0–24).
Консультирована флебологом, проведено ультразвуковое исследование органов малого таза, выявлены признаки эндометриоидной кисты слева (?), признаки аденомиоза (умеренного диффузного внутреннего эндометриоза), расширение вен малого таза I–II степени. Лечение (Трентал в дозе 400 мг внутривенно капельно, Тромбо АСС) не имело положительного эффекта.
16.08.2022 обратилась в Клинику кожных и венерических болезней имени В.А. Рахманова Сеченовского Университета, где пациентке был выставлен предположительный диагноз «Саркома Капоши».
Результаты физикального, лабораторного и инструментального исследования
При осмотре: поражение кожи хронического невоспалительного характера. На передней и боковых поверхностях голеней отмечаются множественные, симметричные, полиморфные высыпания, представленные геморрагическими пятнами, узелками и бляшками багрово-красного цвета, с гладкой поверхностью, округлой формы, размером от 2 мм до 2,5 см (рис. 1). Слизистые оболочки, волосы и ногти не поражены. Субъективные ощущения отсутствуют.
Рис. 1. Больная М., 24 года. Клиническая картина саркомы Капоши при поступлении: на передней и боковых поверхностях голеней множественные симметричные полиморфные высыпания, представленные геморрагическими пятнами, узелками и бляшками багрово-красного цвета с гладкой поверхностью, округлой формы, размером от 2 мм до 2,5 см.
Анализ мазка из ротоглотки выявил наличие Candida albicans (105 ГЭ/мл), Staphylococcus aureus (104 ГЭ/мл), Streptococcus viridans (104 ГЭ/мл).
По данным лабораторных исследований, в анализе крови обнаружено повышение уровня титров IgG к цитомегаловирусу (5,10 Ед/мл при норме 0,8–1,1), повышение уровня IgG к ядерному антигену вируса Эпштейна–Барр (22,09 УЕ при норме 0–9,0). Исследование крови на HHV-8 методом иммуноферментного анализа (IgG и IgM) дало отрицательный результат. В биохимическом анализе крови, общем анализе крови и коагулограмме отклонений от нормы не выявлено. В общем анализе мочи показатели в пределах референсных значений.
По результатам генетического исследования (панель на выявление тромбофилий) выявлены полиморфизмы гена FGB ― G-455A (G-467A) и ITGA2 (C807T), что свидетельствует о полиморфизме генов, предрасполагающих к повышению уровня фибриногена в крови, инсульту с мелкоочаговыми поражениями в гетерозиготной форме, а также повышению агрегации тромбоцитов, послеоперационным тромбозам, инфаркту; также выявлено снижение уровней протеина С (53% при норме 70–140) и протеина S (46,7% при норме 54,7–123,7).
Ультразвуковое исследование почек и органов брюшной полости ― без патологических изменений, нижних конечностей ― без особенностей.
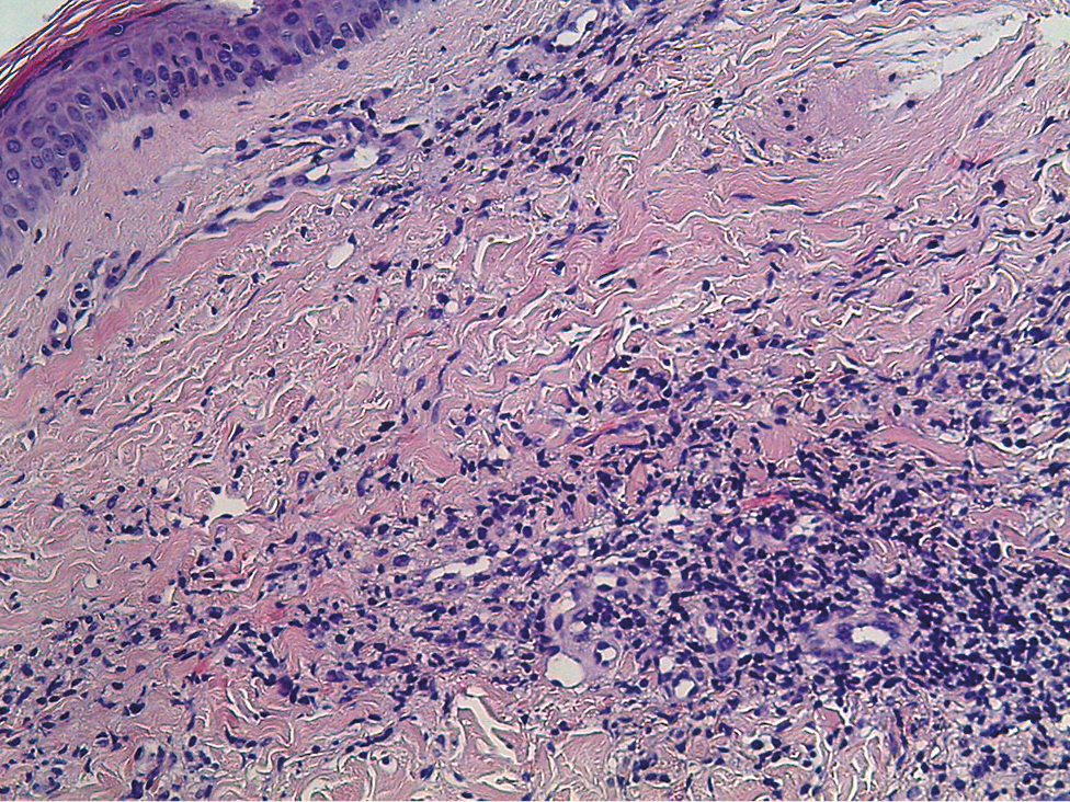
Пациентке проведена диагностическая биопсия кожи с иммуногистохимическим исследованием. По заключению патоморфолога, эпидермис тонкий, сосочки сглажены. Дермоэпидермальный стык уплотнён. В дерме очаговый ангиоматоз с очаговой лимфоидной инфильтрацией (рис. 2). При иммуногистохимическом исследовании в эндотелии выявлена экспрессия СД34+++; СД31 ― отрицательный результат. Заключение: «Найденные при гистологическом исследовании изменения укладываются в раннюю стадию саркомы Капоши».
Рис. 2. Гистологическое исследование, окраска гематоксилином-эозином, ×10. Эпидермис тонкий, сосочки сглажены. Дермоэпидермальный стык уплотнён. В дерме очаговый ангиоматоз с очаговой лимфоидной инфильтрацией.
Диагноз и дифференциальный диагноз
Для постановки диагноза требовалось проведение дифференциальной диагностики с псевдосаркомой Капоши и кожными формами васкулитов (полиморфным дермальным ангиитом).
Для исключения псевдосаркомы Капоши проводилось исследование магистральных и коммуникантных вен ― признаков флеботромбоза не выявлено. Кроме того, в биоптате выявлены признаки ангиоматоза и маркеры HHV-8, чего не бывает при псевдосаркоме.
Дифференциальная диагностика с васкулитами проводится на основании результатов гистологического исследования. Данных за повреждение сосудов (фибриноидный некроз, лейкоцитоклазия, экстравазация эритроцитов) не обнаружено. При иммуногистохимическом исследовании отложения IgM и IgG не обнаружены.
Для подтверждения диагноза саркомы Капоши проводились исследования венозной крови на антитела класса IgG к HHV-8 и биоптата кожи для обнаружения ДНК-последовательности HHV-8. По результатам исследования сыворотки крови, антител IgG к HHV-8 не найдено, однако по результатам биопсии кожи ― маркер HHV-8 обнаружен.
Таким образом, учитывая клиническую картину, неэффективность сосудистой терапии, данные морфологического (ангиоматоз) и иммуногистохимического (обнаружение СД34+++, ДНК-последовательности HHV-8) исследований, на консилиуме профессоров был выставлен диагноз саркомы Капоши.
Лечение
В процессе обследования проводилось лечение: преднизолон (5 мг) по 20 мг (4 таблетки), утром после еды в течение месяца со снижением суточной дозы по схеме; Валтрекс (500 мг) по 1 таблетке 2 раза в день, 7 дней, далее по 1 таблетке 1 раз в сутки, 1,5 месяца; Омез (20 мг) по 1 капсуле за 30 минут до еды 2 раза в сутки; Панангин по 1 таблетке 3 раза в день; Кальций-Д3 Никомед по 1 таблетке 2 раза в сутки; Трентал (400 мг) по 1 таблетке 2 раза в сутки; местно мазь Акридерм Гента 2 раза в день. Проводился регулярный контроль общего и биохимического анализа крови, коагулограммы. После проведённой терапии положительной динамики не наблюдалось, появились новые высыпания синюшно-багрового цвета узловатого характера.
С целью выявления возможного поражения внутренних органов проведены эзофагогастродуоденоскопия и колоноскопия ― отклонений не выявлено.
После обсуждения данных результатов обследования на консилиуме профессоров больной начато лечение Проспидином, начиная с 50 мг, через день, затем по 100 мг ежедневно до курсовой дозы 3000 мг. Больная закончила первый курс лечения препаратом: наблюдалась положительная динамика (уменьшилась яркость высыпаний, узлы уплостились, два мелких узелка полностью регрессировали); рис. 3. Планируется очередной курс через 2 месяца.
ОБСУЖДЕНИЕ
Из-за многообразия сосудистых заболеваний кожи и их клинического сходства дифференциальный диагноз проводился между такими заболеваниями, как саркома и псевдосаркома Капоши, а также кожной формой васкулита. Приведённый клинический случай служит ещё одним подтверждением сложности дифференциальной диагностики в дерматологии [8, 10].
По данным анамнеза известно, что пациентка с 2019 года наблюдается с диагнозом «Васкулит, ограниченный кожей», в связи с чем при поступлении в Клинику кожных и венерических болезней имени В.А. Рахманова Сеченовского Университета были проведены следующие лабораторные исследования: антинейтрофильные цитоплазматические антитела, генетические маркеры тромбофилии в крови, электрофорез белков сыворотки крови, ревмопробы. В результатах генетических исследований выявлены маркеры сосудистой патологии — полиморфизмы гена FGB ― G-455A (G-467A) и ITGA2 (C807T). Показатели антинейтрофильных цитоплазматических антител и электрофорез белков крови отклонений не выявили.
В связи с подозрением на саркому Капоши в период госпитализации была выполнена диагностическая биопсия кожи и проведён ряд исследований: рутинное гистологическое исследование, иммуногистохимическое исследование с целью индентификации антигенов HHV-8, а также иммуногистохимическая пероксидазная реакция с антителами к белку CD34, который, по данным литературы, определяется в эндотелиальных и периваскулярных клетках и является маркером саркомы Капоши [6, 8, 10, 17]. По результатам исследований у пациентки были обнаружены ангиоматоз с очаговой лимфоидной инфильтрацией, маркеры HHV-8 и мембранный белок CD34, что свидетельствует о диагнозе саркомы Капоши и исключает диагноз кожной формы васкулита. Кроме того, для исключения псевдосаркомы Капоши было проведено ультразвуковое исследование нижних конечностей с исследованием клапанного аппарата коммуникантных вен, по результатам которого никаких отклонений от нормы не выявлено.
ЗАКЛЮЧЕНИЕ
Таким образом, следует ещё раз подчеркнуть необходимость комплексного обследования больных с подозрением на саркому Капоши. Заболевание представляет собой злокачественную сосудистую нозологию с поражением кожи и вовлечением в процесс внутренних органов и лимфатической системы, что подтверждает необходимость проведения гистологического и иммуногистохимического исследования на антигены HHV-8, а также определения маркера CD34 ― наиболее важных диагностических признаков саркомы Капоши.
ДОПОЛНИТЕЛЬНО
Источник финансирования. Работа выполнена в соответствии с планом научных исследований Первого Московского государственного медицинского университета имени И.М. Сеченова Минздрава России (Сеченовский Университет). Спонсорскую поддержку авторы не получали.
Конфликт интересов. Авторы декларируют отсутствие явных и потенциальных конфликтов интересов, связанных с проведением поисково-аналитической работы и публикацией настоящей статьи.
Вклад авторов. Все авторы подтверждают соответствие своего авторства международным критериям ICMJE (все авторы внесли существенный вклад в разработку концепции, поисково-аналитическую работу и подготовку статьи, прочли и одобрили финальную версию перед публикацией). Наибольший вклад распределён следующим образом: О.В. Грабовская ― консультация больной, определение диагноза и тактики ведения, корректировка текста статьи, одобрение подачи статьи в печать; Н.П. Теплюк ― консультация больной, определение диагноза и тактики ведения, внесение в рукопись существенной правки с целью повышения научной ценности статьи; С.А. Мишин ― консультация больной, определение диагноза и тактики ведения, непосредственное ведение и наблюдение больной, сбор литературных данных, составление текста статьи, направление рукописи в редакцию журнала; Е.В. Грекова ― консультация больной, определение диагноза и тактики ведения, корректировка текста статьи; Е.Р. Дунаева ― непосредственное ведение и наблюдение больной, представление её на консультацию сотрудникам кафедры, составление текста статьи; А.В. Переходова ― ведение и наблюдение больной, представление её на консультацию сотрудникам кафедры, составление текста статьи; Л.М. Шнахова ― консультация больной, корректировка текста статьи.
Согласие пациента. Пациент добровольно подписал информированное согласие на публикацию персональной медицинской информации в обезличенной форме в «Российском журнале кожных и венерических болезней».
ADDITIONAL INFORMATION
Funding source. The work was carried out in accordance with the research plan of the First Moscow State Medical University (Sechenov University). This study was not supported by any external sources of funding.
Competing interests. The authors declare that they have no competing interests.
Authors’ contribution. All authors made a substantial contribution to the conception of the work, acquisition, analysis, interpretation of data for the work, drafting and revising the work, final approval of the version to be published and agree to be accountable for all aspects of the work. O.V. Grabovskaya ― consultation of the patient, determination of the diagnosis and tactics of management, correction of the text of the article, approval of the submission of the article to the press; N.P. Teplyuk ― consultation of the patient, determination of the diagnosis and tactics of management, making significant changes to the manuscript in order to increase the scientific value of the article; S.A. Mishin ― consultation of the patient, determination of the diagnosis and tactics of management, direct management and observation of the patient, collection of literature data, drafting the text of the article, sending the manuscript to the editorial office of the journal; E.V. Grekova ― consultation of the patient, determination of the diagnosis and tactics of management, correction of the text of the article; E.R. Dunaeva ― direct management and observation of the patient, presenting her for consultation to the staff of the department, drafting the text of the article; A.V. Perekhodova ― maintaining the management and observation of the patient, presenting her for consultation to the staff of the department, drafting the text of the article; L.M. Shnakhova ― consultation of the patient, correction of the text of the article.
Patient permission. The patient voluntarily signed an informed consent to the publication of personal medical information in depersonalized form in the journal “Russian journal of skin and venereal diseases”.
About the authors
Olga V. Grabovskaya
The First Sechenov Moscow State Medical University (Sechenov University)
Email: olgadoctor2013@yandex.ru
ORCID iD: 0000-0002-5259-7481
SPIN-code: 1843-1090
MD, Dr. Sci. (Med.); Professor
Russian Federation, 4/1 Bolshaya Pirogovskaya street, 119991, MoscowNatalia P. Teplyuk
Clinic of skin and venereal diseases. V.A. Rakhmanov PMGMU them. I.M. Sechenov (Sechenov University)
Email: Teplyukn@gmail.com
ORCID iD: 0000-0002-5800-4800
SPIN-code: 8013-3256
MD, Dr. Sci. (Med.), Professor
Russian Federation, Bolshaya Pirogovskaya Str., 4/1, 119991, MoscowSergey A. Mishin
Clinic of skin and venereal diseases. V.A. Rakhmanov PMGMU them. I.M. Sechenov (Sechenov University)
Author for correspondence.
Email: sergey.mischin1995@gmail.com
ORCID iD: 0000-0002-4387-3085
SPIN-code: 4644-2560
Graduate Student
Russian Federation, Bolshaya Pirogovskaya Str., 4/1, 119991, MoscowEkaterina V. Grekova
Clinic of skin and venereal diseases. V.A. Rakhmanov PMGMU them. I.M. Sechenov (Sechenov University)
Email: grekova_kate@mail.ru
ORCID iD: 0000-0002-7968-9829
SPIN-code: 8028-5545
MD, Cand. Sci. (Med.)
Russian Federation, Bolshaya Pirogovskaya Str., 4/1, 119991, MoscowEkaterina R. Dunaeva
Clinic of skin and venereal diseases. V.A. Rakhmanov PMGMU them. I.M. Sechenov (Sechenov University)
Email: dunaevaer@gmail.com
ORCID iD: 0000-0002-5458-4991
SPIN-code: 3551-6329
Russian Federation, Bolshaya Pirogovskaya Str., 4/1, 119991, Moscow
Alina V. Perekhodova
Clinic of skin and venereal diseases. V.A. Rakhmanov PMGMU them. I.M. Sechenov (Sechenov University)
Email: Alina.pereh17@mail.ru
ORCID iD: 0009-0005-2292-409X
SPIN-code: 5925-7275
Russian Federation, Bolshaya Pirogovskaya Str., 4/1, 119991, Moscow
Lidia M. Shnakhova
Clinic of skin and venereal diseases. V.A. Rakhmanov PMGMU them. I.M. Sechenov (Sechenov University)
Email: lika-slm@mail.ru
ORCID iD: 0000-0003-3000-0987
SPIN-code: 5549-5823
MD, Cand. Sci. (Med.)
Russian Federation, Bolshaya Pirogovskaya Str., 4/1, 119991, MoscowReferences
- Kubanova AA, Kubanov AA, Dubenskiy VV, Dubenskiy VV. Kaposi’s sarcoma of the skin. In: Federal clinical guidelines. Dermatology, 2015: Skin diseases. Sexually transmitted infections. Moscow: Delovoy ekspress; 2016. 547 р. (In Russ).
- Cesarman E, Damania B, Krown SE, et al. Kaposi sarcoma. Nat Rev Dis Primers. 2019;5(1):9. doi: 10.1038/s41572-019-0060-9
- Régnier-Rosencher E, Guillot B, Dupin N. Treatments for classic Kaposi sarcoma: A systematic review of the literature. J Am Acad Dermatol. 2013;68(2):313–331. doi: 10.1016/j.jaad.2012.04.018
- Iftode N, Rădulescu MA, Aramă SS, Aramă V. Update on Kaposi sarcoma-associated herpesvirus (KSHV or HHV8): Review. Rom J Intern Med. 2020;58(4):199–208. doi: 10.2478/rjim-2020-0017
- Kazantseva KV, Molochkov AV, Molochkov VA, et al. Kaposis sarcoma: Pathogenesis, clinic, diagnosis and modern treatment principles. Russ J Skin Venereal Dis. 2015;18(1):7–15. (In Russ).
- Illustrated guide to Dermatology. To prepare doctors for accreditation. Ed. by O.Y. Lisova, N.P. Teplyuk. Moscow: GEOTAR-Media; 2023. 376 p. (In Russ). doi: 10.33029/9704-7375-7-DER-2023-1-376
- Molochkov AV, Kartashova MG, Shatalova OA. Kaposis sarcoma. Directory Polyclinic Doctor. 2007;(12):4–6. (In Russ).
- Schneider JW, Dittmer DP. Diagnosis and treatment of kaposi sarcoma. Am J Clin Dermatol. 2017;18(4):529–539. doi: 10.1007/s40257-017-0270-4
- Khairutdinov VR, Belousova IE, Samtsov AV. Skin vasculitis: Classification, diagnosis. Bulletin Dermatol Venereol. 2020;97(2):14–23. (In Russ).
- Rassokhin VV, Krestyaninova AR. Kaposis sarcoma. Diagnostics and treatment. Practical Oncol. 2012;13(2):114. (In Russ).
- Romanenko KV, Romanenko VN, Ermilova NV, et al. Classical (idiopathic) Kaposis sarcoma. Arch Clin Exp Med. 2021;20(1):75–82. (In Russ).
- Molochkov AV. Kaposis sarcoma. Med Business. 2006;(3):3–12. (In Russ).
- Olisova OYu, Grabovskaya OV, Varshavsky VA, et al. On the issue of differential diagnosis of Kaposis sarcoma and pseudosarcoma. Russ J Skin Venereal Dis. 2015;18(6):8–13. (In Russ).
- Egorova EK, Melikyan AL, Subortseva IN, et al. Kaposis sarcoma in an HIV-negative patient with primary myelofibrosis. Hematol Transfusiol. 2021;66(3):433–444. (In Russ).
- Gainulin SM, Grebenyuk VN, Olisov AO, et al. Kaposis pseudosarcoma (type of Mali). Clinical observation. Bulletin Dermatol Venereol. 2011;(4):70–72. (In Russ).
- Golousenko IY, Abesadze GA, Mikhailenko NY, Sazonova MA. The case of Kaposis pseudosarcoma. Consilium Medicum. 2016(4):39–40. (In Russ).
- Derizhanova IS, Balyshev OO. On the histological structure of Kaposis sarcoma. Med Bulletin South Russ. 2020;11(2):122–128. (In Russ).
Supplementary files





